N.Y.Bayramov, N.Novruzov
Təsnifatı
|
Gedişinə görə
|
- Birincili xoş xassəli
- Birincili bəd xassəli
- İkincili - metastatik
|
|
Hormonal aktivliyinə görə
|
- Hormonal qeyri-aktiv
- Hormonal aktiv
|
|
İnkişaf yerinə görə
|
Qabıq qatdan inkişaf edən törəmələr:
- kortikosteroma
- aldosteroma
- androsteroma
- kortikoesetroma
- adrenal karsinoma
Beyin qatdan inkişaf edən törəmələr:
|
Hiperkortizolizm – Cushing sindromu
Tərifi
Orqanizmdə kortizolun artması ilə xarakterizə olan vəziyyət hiperkortizolizm və ya Cushing sindromu adlanır. Hipofiz vəzin AKTH sintez edən adenoması ilə əlaqadar baş verən hiperkortizolimə isə Cushing xəstəliyi deyilir.
Səbəbləri
- Yatrogenik – ekzogen qlikokortikoid və ya AKTH qəbulu ilə əlaqədar baş verir, Cushing sindromunun ən çox rast gəlinən səbəbidir.
- Hipofizin AKTH ifraz edən adenoması (Cushing xəstəliyi) – endogen hiperkortizolizmin ən çox rast gəlinən ikinci səbəbi, patoloji səbəblər arasında isə birincisidir (65-70%). Hipotalamusun AKTH-ifraz etdirən törəməsi nadirdir. Aşırı AKTH ifrazı böyrəküstü vəzilərin ikitərəfli hiperplaziyasına və kortizol artmasına gətirib çıxarır. Bu vəziyyətdə xarakterik olaraq həm AKTH, həm də kortizol yüksək olur.
- Kortikosteroid ifraz edən adrenal törəmə (kortikosteroma) – hiperkortizolimin 10-20% hallarda səbəbini təşkil edir. Hormonal aktiv adrenal törəmə AKTH-dan asılı olmayaraq sərbəst şəkildə çoxlu kortizol ifraz edir, nəticədə AKTH azalır, törəmə ətrafındakı sağlam adrenal toxuma və əks-tərəfdəki böyrəküstü vəzi atrofiyaya uğrayır. Kortikosteromaların 3 forması ayrıd edilir: solitar (>90%), adrenokortikal karsinoma (10%) və ikitərəfli nodulyar hiperplaziya (1%)
- Paraneoplastik sindrom – ektopik AKTH hormon ifrazı Cushing sindromunun 15% hallarda səbəbini təşkil edir. Kiçik hüceyrəli bronxogenik kanser, karsinoid şişlər, pankreatik, timik, medulyar tiroid və digər neyroendokrin törəmələr AKTH və ya AKTH-bənzəri maddələr ifraz edərək hiperkortizolizm törədə bilirlər.
Klinikası
- arterial hipertenziya (70%).
- üzdə ay sifəti
- gövdə piylənməsi
- əzələ zəifliyi
- diabet
- depressiya
- cinsi pozulma (qadınlarda virilizm, kişilərdə demaskulinizasiya)
Diaqnostikası
Prinsip
Cushing sindromuna şübhə olan hallarda əvvəlcə biokimyəvi testlərlə hiperkortizolemiya dəqiqləşdirilir, sonra səbəbi və yeri müəyyənləşdirilir (Şəkil 1).

Şəkil 1. Cushing sindromu üçün diaqnostik alqoritm.
Şübhə
- Dərmana rezistent hipertoniya
- Gənc yaşlarda osteoporoz
- Ayşəkilli üz və gövdədə piylənmə
- Hiperqlikemiya
- Cinsiyyət zəifliyi, aybaşı pozulması
- Hiperpiqmentasiya
- Böyrəküstü vəzidə törəmə (insidentaloma)
Dəqiqləşdirmə
- Günlük sidikdə sərbəst kortizolun ekskresiyası – 2 dəfə aparılır və hər ikisində də 3 dəfədən yüksək və ya >100 mkq/gün olarsa diaqnoz dəqiqləşmiş sayılır. Kortizolun 90%-i plazma proteinləri ilə birləşmiş vəziyyətdə sirkulyasiya edir. Sərbəst kortizol isə əsasən sidikdə və ağız suyunda olduğu üçün bu bioloji mayelərin təhlili daha əhəmiyyətli sayılır.
- Ağız suyunda sərbəst kortizol – səviyyəsinin >550 ng/dl yüksək olması Cushing sindromu lehinədir.
- Dekzametazon supressiya testi – piylənməli, depressiyalı xəstələrdə və günlük sidik testi şübhəli olanlarda aparılır. Gecə (saat 11) xəstəyə 1 mg oral deksametazon verilir və səhər saat 8-də plazmada kortizola baxılır. Avtonom kortizol ifraz edən törəmələrdə hipofiz-adrenal əlaqə pozulduğu üçün deksametazona cavab alınmır və kortizol səviyyəsi 5 mkg/dl-dən aşağı düşmür.
Səbəbin və yerin təyini
Hiperkortizolizm dəqiqləşdirdikdən sonra ilk növbədə AKTH-dan asılı olan və asılı olmayan formalar arasında differensiasiya aparmaq lazım gəlir və bu məqsədlə ilk növbədə qanda AKTH təyin edilir.
AKTH konsentrasiyası <5 pg/mL dən aşağı olanlarda adrenokortikal adenoma ehtimalı yüksəlir və yerini müəyyən etmək üçün abdominal KT müayinəsi edilir.
AKTH səviyyəsi normal və ya yüksək olması AKTH ifraz edən hipofiz və ya ektopik törəmələri göstərə bilir. Bunları diferensiasiya etmək üçün əvvəlcə hipofizin MRT müayinəsi aparılır. Hipofizin kortikotrop mikroadenomaları 50% hallarda radioloji müayinə ilə görünür.
MRT-də hipofizin 6 mm-dən böyük törəməsi və AKTH yüksəkliyi varsa hipofiz adenoması təsdiqlənir.
MRT müayinədə şiş görülmədikdə yüksək doza deksametazon supressiya testi aparılır (2 gün müddətində hər 6 saatda 2 mq deksametazon təyinindən sonra qanda və sidikdə kortizol səviyyəsi 50% azalması pozitiv deksametazon supressiya testi sayılır). Ektopik AKTH ifraz edən şişlərdən və adrenal törəmələrdən fərqli olaraq hipofiz adenomaları yüksək dozadakı deksametazona cavab verirlər və kortizol səviyyəsi düşür.
MRT müayinədə hipofizdə şiş kütləsi təyin edilmirsə və yüksək doza deksametazon testi də şübhəlidirsə bilateral aşağı piramidal ciblərdə AKTH sınağı aparılır (inferior petrosal sinus sampling (IPSS)). Bu sınaqda mərkəzi və periferik AKTH fərqinin olması hipofiz adenoması (və ya hipotalamus törəməsi) üçün xarakterik sayılır.
Mərkəzi və periferik AKTH fərqi olmadıqda AKTH ifraz edən ektopik törəmə axtarmaq üçün tapılması üçün döş və qarın boşluqlarının KT müayinəsi və somatostatin reseptor ssintiqrafiyası tövsiyə edilir (Ektopik AKTH sindromu).
Müalicəsi
Yatrogenik hiperkortizolizm istisna olmaqla Cushing sindromunun digər formaları adətən cərrahi müalicə edilir.
Adrenal adenomalarda adrenalektomiya 90% hallarda effektivdir. Adrenalektomiyadan 1 gün əvvəl hidrokortizon 100 mq x 3 dəfə təyin edilir, əməliyyatdan sonra simptomların itməsi bir neçə aydan bir neçə ilə qədər davam edə bilər.
Hipofiz adenomalarında transnazal transsfenoidal hipofiz mikrocərrahiyyəsi tövsiyyə edilir. Cərrahi müdaxilə 75-90% xəstələrdə effektivdir. Remissiya zamanı bazal kortizol səviyyəsi yüksək qaldıqda təkrar hipofiz cərrahiyyəsi və ya hipofiz vəzin radiasiya müalicəsi aparılır. Hipofiz cərrahiyyəsi müvəffəqiyyətsiz olduqda bilateral laparoskopik adrenalektomiya məsləhət görülür.
Ektopik AKTH ifraz edən törəmələrdə lokal cərrahi rezeksiya və ya ablasiya edilir.
Hiperaldosteronizm
Tərifi
Hiperaldosteronizm aldosteron səviyyəsinin yüksəlməsidir, hipertoniya və hipokalemiya ilə büruzə verir. Birincili və ikincili ola bilir. Birincili forma böyrəküstü vəzidən avtonom aldosteron ifrazına bağlıdır və Conn sindromu adlanır, ikincili forma isə renin ifrazının artmasına bağlı meydana gəlir.
Səbəbləri
Birincili hiperaldosteronizmin ən çox rast gəlinən səbəbləri aldosteron ifraz edən adenoma – aldosteroma (60%), ikitərəfli adrenal hiperplaziya (30-40%) və adrenokortikal karsinomadır.
İkincili hiperaldosteronizmdə adrenal vəzilərin funksiyası və quruluşu normal olur, fizioloji və patoloji səbəblərdən aktivləşmiş angiotenzin-renin sistemi aldosteronun artmasına gətirib çıxarır (böyrək arteriyasının stenozu, sirroz, ürək yetməzliyi, hamiləlik).
Orta pay bronxunda obstruksiya törədən səbəblər (böyümüş peribronxial limfa düyünü, bronxial fibroz, bronx daşları, bronxoektaziya, törəmələr, yad cisim və s) orta payda durğunluğa, atelektaza və pnevmoniyaya səbəb olur.
Klinikası
- Ağır hipertoniya
- hipokalemiya əlamətləri
Diaqnostikası
Yeni başlayan ağır hipertoniya və hipokalemiya hiperaldosteronemiyaya yüksək şübhə yaradır.
Diaqnozu dəqiqləşdirmək üçün qanda aldesteron və renin yoxlanılır. Birincili hiperaldosteronizmdə aldosteron yüksək, renin isə normal və ya aşağı olur, ikincili formada isə həm renin, həm də aldosteron yüksək olur.
Birincili formanın səbəbini müəyyənləşdirmədə KT və ya MRT yüksək həssaslıq göstərir (90%). Diaqnostik çətinlik olarsa adrenal vəzin venoz qanında aldosteron və kortizol yoxlanılır.
Müalicəsi
Adenomanın və birtərəfli hiperplaziyanın müalicəsi cərrahidir – adrenalektomiya edilir və əməliyyatətrafı dövrdə spironolakton istifadə edilir.
İkitərəfli adrenal hiperplaziyada isə konservativ müalicə - aldosteron antaqonisti olan spironolakton tətbiq edilir.
Klinik olaraq təkrarlanan pnevmoniya əlamətləri ilə təzahür edir (hərarət, öskürək, tərləmə, halsızlıq, leykositoz və s.).
Androsteroma və kortikoestroma
Böyrəküstü vəzin qabıq qatından inkişaf edən və cinsiyyət hormonları ifraz edən törəmələrinə androsteroma və kortikoestroma aid edilir.
Androsteroma androgen ifraz edən törəmədir, adətən 20-40 yaşlarında görünür, qadınlarda kişilərdən 2 dəfə çox rast gəlir və 50% hallarda bəd xassəlidir. Qadınlarda androgenlərin yüksəkliyinə bağlı masklunizasiya əlamətləri ortaya çıxır, oğlan uşaqlarında erkən fiziki və cinsi yetkinlik izlənilir. Diaqnozu qanda dehidroepiandrosteron, androstendion və testosteron səviyyəsinin yüksəlməsi ilə təsdiqlənir, görüntüləmə ilə lokalizasiyası müəyyənləşdirilir.
Kortikoestroma böyrəküstü vəz qabıq maddədən inkişaf edərək estrogenlər sintez edən törəmələrdir, əksəriyyəti bəd xassəlidir. Qanda estrogen səviyyəsinin yüksəkliyi kişilərdə feminizasiya simptomları ilə (ginekomastiya, dərialtı piy qatının qadın tipdə paylanması, səs tembrinin yüksəlməsi, xayaların atrofiyası), oğlanlarda cinsi inkişafda ləngiməsi ilə, qızlarda isə erkən fiziki və cinsi inkişafla büruzə verir. Diaqnozu qanda estradiolun artması ilə təsdiqlənir, görüntüləmə ilə lokalizasiyası təyin edilir.
Böyrəküstü vəzin androgen və estrogen ifraz edən törəmələrinin müalicəsi üçün adrenalektomiya edilir.
Adrenokortikal karsinoma
Adrenokortikal karsinoma böyrəküstü vəzin qabıq maddəsindən inkişaf edən bəd xassəli törəmədir. Xoş xassəli törəmələrdən histologiyasına görə yox, ətraf toxumalara invaziya və metastazlara görə fərqlənir.
40-50 yaşlı kontingent arasında 1:1 000 000 nisbətində rast gəlinir.
Adrenokortikal karsinomalar 50% hallarda hormonal funksionaldır.
Klinik olaraq Cushing sindromu əlamətləri və virilizasiya müşahidə edilir. Adətən xəstəliyin əlamətləri üzə çıxdıqda ölçüləri 6 sm-dən böyük olur və adrenal vəzdən kənara yayılmış olur.
KT müayinədə kənarları qeyri düzgün, mərkəzi nekrozlaşan və ətraf orqanlara invaziya edən heterogen kütlə görülür. Limfa düyünlərinə, qaraciyərə və ağciyərlərə metastazlar görülə bilər. 9 sm dən böyük sağtərəfli törəmələr aşağı boş venaya və sağ qulaqcığa invaziya edə bilər.
Müalicəsi radikal adrenalektomiya və limfadenektomiyadan ibarətdir. Simptomları azaltmaq üçün palliativ şişkiçildici əməliyyatlar edilə bilər.
Adrenokortikal karsinomalar zamanı cərrahi rezeksiyadan sonra 5 illik həyat göstəricisi 40% təşkil edir. Şiş kütləsi tam rezeksiya edilmədikdə yaşam müddəti 1 ilə qədər azalır. Yüksək letallıq göstəriciləri xəstə yaşı, pozitiv cərrahi sərhədlər, uzaq metastazların olması ilə əlaqəli sayılır. Müvəffəqiyyətli cərrahi əməliyyatdan sonra belə lokal residivlər ilk 2 il müddətində müşahidə edilir.
Kimya terapiyası qeyri-rezektabel törəmələr zamanı aparılır, cərrahi müalicədən sonra adyuvant kimya terapiyası effektivdir.
Feoxromositoma
Tərifi
Feoxromasitoma böyrəküstü vəzin beyin maddəsindəki xromaffin hüceyrələrdən inkişaf edən və katexolamin ifraz edən şişdir. Böyrəküstü vəzidən kənardakı simpatik qanqlionlardan inkişaf edən şişlər katexolamin ifraz edən paraqanqlioma və ya ekstra-adrenal feoxromasitoma adlanır. Paraqanqliomalar qarın aortası boyu simpatik sinir kələfi, günəş kələfi, qaraciyər qapısı, böyrək qapısı, sidik kisəsi, uşaqlığın girdə bağı, bağırsaqlar ətrafı, divararalığı, miokard, boyun və kəllə daxilidə rast gəlinə bilər.
Feoxromositoma üçün "10-lar qaydası" mövcuddur:
- 10% hallarda ekstraadrenal lokalizasiyalıdır, 90% hallarda böyrəküstü vəz mənşəlidir.
- 10% hallarda bilateraldır
- 10% hallarda ailəvidir
- 10 % hallarda bədxassəlidir (feoxromoblastoma)
- 10% hallarda uşaqlarda rastlanır
Klinikası
Asimptomatik forma katexolamin ifrazından əvvəlki fazanı əhatə edir.
Simptomatik forma xəstələrin yarısında rast gəlinir, adətən yüksək katexolamin ifrazı ilə əlaqadar adrenergik stimulyasiya əlamətləri ortaya çıxır: taxikardiya, hipertoniya, hiperqlikemiya, tərləmə və lipoliz.
Xəstəlik üçün baş ağrısı, ürəkdöyünmə və tərləmə kimi klassik triada xarakterikdir.
Simptomatik formanın 3 klinik gedişatı ola bilər:
- paroksizmal forma - 85% qədər rast gəlinir, simptomlar birdən-birə başlayır və təkrarlayır: arterial təzyiqin yüksəlməsi 250-300 mm c.s., baş ağrısı, başgicəllənmə, ürəkdöyünmə, qorxu hissiyyatı, titrəmə, döş qəfəsi və qarında ağrılar, təngnəfəslik, ürəkbulanma, qusma, poliuriya, hərarətin yüksəlməsi, görmə pozuntusu.
- davamlı forma - əlamətlər daimi xarakterli olur.
- qarışıq forma
Diaqnostikası
Prinsip
Feoxromasitomanın diaqnozu biokimyəvi olaraq təyin olunur, görüntüləmə ilə törəmənin yeri dəqiqləşdirilir. Katexolamin ifrazından əvvəlki fazada tapılan asimptomatik törəmələrdə (insidentaloma) diaqnoz görüntüləmə xarakteristikasına əsaslanır.
Şübhə
Aşağıdakı hallardan hər hansı biri varsa feoxromositomadan şübhələnmək lazımdır:
- Paroksizmal klassik triada: baş ağrısı, taxikardiya, tərləmə
- Paroksizmal hipertoniya
- Gənc yaşlarda rast gəlinən və dərmana çətin cavab verən hipertoniya
- Ailədə feoxromasitoma
- İnsidentaloma
- İdiopatik kardiomiopatiya
Dəqiqləşdirmə
- İlk olaraq plazmada və sidikdə katexolaminlərin və onların metabolitlərinin konsentrasiyası ölçülür. Plazmada metanefrin səviyyəsi yüksək olduqda (həssaslıq 99%) sutkalıq sidikdə metanefrin və katexolaminlərin konsentrasiyası təyin edilir.
- Sidikdə metanefrin və katexolaminlərin konsentrasiyasının normadan 2 dəfə yüksək olması feoxromositoma lehinədir (spesifiklik 95%).
- Sidik testi mənfi olarsa yüksək şübhəli xəstələrdə müayinəni tutmalar vaxtı təkrarlamaq lazımdır.
- Sidik testi pozitiv olduqda topik diaqnostika üçün KT ə ya MRT edilir.
- Feoxromasitomanın bəd və ya xoş xassəli olması patohistoloji müayinə ilə yox, ətrafa invaziyaya və metastazlara görə müəyyən edilir. Ona görə də KT/MRT-də böyrəküstü vəzidə törəmə tapılarsa, törəmənin bəd və ya xoş xassəli olduğunu müəyyənləşdirmək üçün, xüsusən də 10 sm-dən böyük törəmələrdə PET-KT edilir.
- Biokimyəvi testlər müsbət, lakin KT/MRT-də törəmə tapılmayan xəstələrdə paraqanqliomadan şübhələnmək lazımdır və PET-KT tövsiyə edilir.
- Paraqanqliomaların diaqnostikası üçün genetik testlər də lazım gələ bilir.
 |
 |
|
a
|
b
|
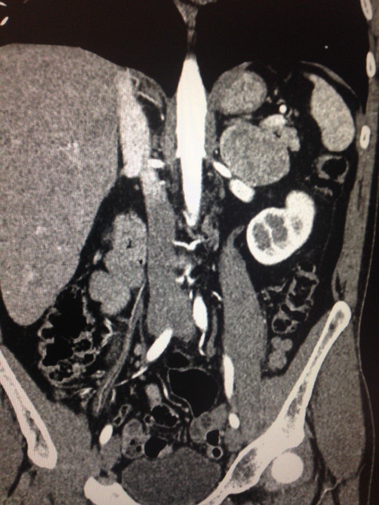
Şəkil 2. Soltərəfli Feoxromasitoma: a) abdominal Kompyuter tomoqrafiya, b) cərrahi əməliyyat görüntüsü.
Müalicəsi
Feoxromasitomanın əsas müalicəsi radikal rezeksiyadır və bu 90% xəstələrdə effektivdir. Əməliyyat laparoskopik və açıq adrenalektomiyadan ibarətdir və laparoskopik üsul ilk seçimdir.
Əməliyyatdan əvvəl mütləq adrenergik krizin profilaktikasına yönəlmiş hazırlıq aparmaq lazımdır: hipertoniya və taxikardiyanı nəzarətə almaq üçün əvvəlcə α-adrenergik blokatorlar başladılır sonra β-adrenergik blokatorlar əlavə edilir. Xəstə stabilləşdikdən sonra (adətən 1 həftə) əməliyyat edilir.
Malign törəmələrin cərrahi müalicəsindən sonra 5 illik həyat göstəricisi 20-45% təşkil edir. Metastazlar aksial skelet sümüklərinə, limfa düyünlərinə, qaraciyərə, ağciyərlərə və böyrəklərə yayılır. Malign feoxromositomalar radioloji və kimyəvi müalicəyə az həssasdır.
İnsidentaloma
Tərifi
Başqa xəstəliyə görə aparılan qarın boşluğunun görüntüləmə müayinələrində təsadüfən tapılan və diametri 1 sm-dən böyük adrenal törəmələrə insidentalomalar deyilir. Təxminən 1-4% hallarda rastlanır.
Səbəbləri
İnsidentalomalar böyrəküstü vəzin birincili və ikincili törəmələri ola bilər.
Böyrəküstü vəzin aşağıdakı birincili törəmələri insidentaloma kimi ortaya çıxa bilir:
- qeyri-funksional adenoma
- adrenokortikal karsinoma
- feoxromasitoma
- aldosteroma
- adenomatoz və diffuz düyünlü hiperplaziya
- sistlər (parazitar, retension)
- psevdosistlər
- lipomalar, angiomielolipomalar
- limfomalar
- böyrəküstü vəzin damar törəmələri
Böyrəküstü vəzin ən çox rast gəlinən metastatik törəmələri insidentaloma kimi tapıla bilər:
- ağciyər şişləri metastazı
- süd vəzi şişləri metastazı
- yoğun bağırsaq şişləri metastazı
- böyrək şişləri metastazı
- melanoma metastazı
İnsidentalomaların əksəriyyəti (75%) hormonal qeyri-aktiv xoş xassəli adenomalardır.
Diaqnostikası
İnsidentalomalar tapıldıqdan sonra müayinələr apararaq klinik əhəmiyyətli 2 məsələ həll edilir:
- törəmə bəd xassəlidirmi?
- törəmə hormonal aktivdirmi?
Bədxassəliliyin təyini
- Törəmənin bəd və ya xoş xassəli olmasını müəyyən etmək üçün ilk növbədə görüntüləmə əlamətlərinə, xüsusən, törəmənin ölçüsünə, tərkibinə, kənarlarına, kontrast tutma xüsusiyyətlərinə diqqət edilir.
- Ölçüsü 4 sm-dən böyük, qarışıq, kənarı nahamar, KT-də sıxlığı 20 HU-dan çox, kontrastı yavaş buraxan (10 dəq ərzində 50%-dən azı), hipervaskulyar və kalsifikasiyalı törəmələrin bəd xassəli olma ehtimalı çox yüksəkdir.
- Bəd xassəli olma ehtimalı 6 sm-dən böyük törəmələrdə 25%, 4-6 sm ölçüdə 6%, 4 sm-dən kiçik törəmələrdə isə 2% təşkil edir. Ona görə də bəd və xoş xəssəliliyin hüdudi olçüsü “4 sm” qəbul edilir.
- Ölçüsü 4 sm-dən kiçik, homogen, kənarı hamar, KT-də sıxlığı 10 HU-dan az, sürətli kontrast yuyulması (10 dəq ərzində 50%-dən çoxu) olan törəmələrin xoş xassəli olma ehtimalı çox yüksəkdir.
- Anamnezində və hazırda ağciyər, süd vəzi, böyrək, kolon, MAV xərçəngi olanlarda və melanomalarda metastatik törəmə ehtimalı da unudulmamalıdr.
- Biopsiya diaqnostik çətinlikdə aparıla bilər, lakin feoxromasitoma şübhəsi varsa tövsiyə edilmir, çünki hipertonik kriz baş verə bilər.
Hormonal aktivliyin təyini
- Görüntüləmədə bəd və ya xoş xassəli görünməsindən asılı olmayaraq bütün insidentalomalar ilk növbədə feoxromasitoma, kortikosteroma və aldosteroma, yönünüdən qiymətləndirilməlidir.
- Feoxromasitomanı təsdiq və ya inkar etmək üçün 24 saatlıq sidikdə metanefrin və katexolaminlər təyin edilir.
- Kortikosteromanı (Cushing sindromu) təsdiq və ya inkar etmək üçün ilk növbədə deksametazon supressiya testi aparılır (gecə saat 11-də 1 mq deksametazon verilir, sabah saat 8-də plazmada kortizol ölçülür). Testin nəticəsi müsbətdirsə (kortizol >5 mcg/dL ) 24 saatlıq sidikdə sərbəst kortizol, plazmada AKTH və yüksək doza deksametazon sınaqları apararaq AKTH-dan asılı olan (Cushing xəstəliyi) və ya olmayan avtonom (kortikosteroma) hiperkortizolemiyalar arasında diferensiasiya aparılır.
- Aldosteromanı təsdiq və ya inkar etmək üçün plazmada aldosteron/renin nisbəti təyin edilir. Aldosteron yüksək, renin aşağı olarsa aldesteroma, hər ikisi yüksəkdirsə ikincili hiperaldesteroma düşünülür.
Müalicəsi
Müalicə yanaşması hormonal aktivliyə, bədxassəlilik ehtimalına və izləmədə böyüməyə əsaslanır (Şəkil 3).
- Funksional aktiv və ya bəd xassəli ehtimalı yüksək olan insidentalomalar (4 sm-dən böyük, nahamar kənar, kontrastı gec buraxan, kalsifikasiya və s.) cərrahi yolla müalicə edilir. Bu məqsədlə laparoskopik adrenalektomiya ilk seçimdir.
- Qeyri-funksional və bəd xassəli ehtimalı az olan insidentalomalar (ölçüsü 4 sm-dən kiçik, tez yuyulan və s.) ən azı iki il ərzində 6 aylıq fasilələrlə tomoqrafik müşahidə edilir. Əgər ölçüsü 1 sm-dən çox böyüyərsə cərrahi yolla çıxarılır.

Şəkil 3. İnsidentalomalar zamanı müayinə və təqib alqoritmi
Özət
- Adrenal törəmələr birincili xoş və bəd xassəli, ikincili, hormonal aktiv və qeyri-aktiv, qabıq və beyin maddədən inkişaf edən törəmələr ola bilər.
- Hiperkortizolizm və ya Cushing sindromu orqanizmdə kortizolun artması ilə xarakterizə olan vəziyyətdir, yatrogenik, AKTH ifraz edən hipofiz adenoması (Cushing xəstəliyi), kortikosteroid ifraz edən adrenal törəmə (kortikosteroma) və paraneoplastik səbəbli ola bilər. Klinik olaraq arterial hipertenziya, ay sifəti, gövdə piylənməsi, əzələ zəifliyi, diabet, depressiya və digər əlamətlərlə biruzə verir. Diaqnostikası üçün əvvəlcə biokimyəvi testlərlə hiperkortizolemiya dəqiqləşdirilir (günlük sidikdə sərbəst kortizolun ekskresiyası, ağız suyunda sərbəst kortizol və ya dekzametazon supressiya testi), sonra səbəbi və yeri müəyyənləşdirilir (AKTH testi, beyin MRT, qarın KT). Yatrogenik hiperkortizolizm istisna olmaqla Cushing sindromunun digər formaları adətən cərrahi müalicə edilir.
- Hiperaldosteronizm aldosteron səviyyəsinin yüksəlməsidir, hipertoniya və hipokalemiya ilə büruzə verir, brincili və ikincili ola bilir. Birincili forma böyrəküstü vəzidən avtonom aldosteron ifrazına bağlıdır (aldosteroma, ikitərəfli adrenal hiperplaziya və adrenokortikal karsinoma) və Conn sindromu adlanır, ikincili forma isə renin ifrazının artmasına bağlı meydana gəlir. Diaqnozu dəqiqləşdirmək üçün qanda aldesteron və renin yoxlanılır. Adenomanın və birtərəfli hiperplaziyanın müalicəsi cərrahidir, ikitərəfli adrenal hiperplaziyada isə aldosteron antaqonisti olan spironolakton tətbiq edilir.
- Androsteroma androgenlər ifraz edən törəmədir, yarısı bəd xassəlidir. Qadınlarda masklunizasiya əlamətləri ortaya çıxır, oğlan uşaqlarında erkən fiziki və cinsi yetkinlik izlənilir. Diaqnozu qanda dehidroepiandrosteron, androstendion və testosteron səviyyəsinin yüksəlməsi ilə təsdiqlənir, görüntüləmə ilə lokalizasiyası müəyyənləşdirilir. Müalicəsi cərrahidir.
- Kortikoestroma böyrəküstü vəz qabıq maddədən inkişaf edərək estrogenlər sintez edən törəmələrdir, əksəriyyəti bəd xassəlidir. Kişilərdə feminizasiya simptomları ilə (ginekomastiya, dərialtı piy qatının qadın tipdə paylanması, səs tembrinin yüksəlməsi, xayaların atrofiyası),oğlanlarda cinsi inkişafda ləngiməsi ilə, qızlarda isə erkən fiziki və cinsi inkişafla büruzə verir. Diaqnozu qanda estradiolun artması ilə təsdiqlənir, görüntüləmə ilə lokalizasiyası təyin edilir. Müalicəsi cərrahidir.
- Adrenokortikal karsinoma böyrəküstü vəzin qabıq maddəsindən inkişaf edən bəd xassəli törəmədir, yarısı hormonal aktiv olur. Xoş xassəli törəmələrdən histologiyasına görə yox, ətraf toxumalara invaziya və metastazlara görə fərqlənir. Klinik olaraq Cushing sindromu əlamətləri və virilizasiya müşahidə edilir. Müalicəsi radikal adrenalektomiya, limfadenektomiyadan və kimyaterapiyadan ibarətdir. Simptomları azaltmaq üçün palliativ şişkiçildici əməliyyatlar edilə bilər.
- Feoxromasitoma böyrəküstü vəzin beyin maddəsindəki xromaffin hüceyrələrindən inkişaf edən katexolamin ifraz edən şişdir. Xəstələrin yarısında simptomatik olur, baş ağrısı, ürəkdöyünmə və tərləmə kimi klassik triada Sidikdə metanefrin və katexolaminlərin konsentrasiyasının normadan 2 dəfə yüksək olması feoxromositoma diaqnozunu göstərir, yerini dəqiqləşdimək üçün KT/MRT edilir. Müalicəsi radikal rezeksiyadır.
- İnsidentaloma görüntüləmə müayinələrində təsadüfən tapılan və diametri 1 sm-dən böyük adrenal törəmələrə deyilir. Səbəbləri birincili və ikincili adrenal törəmələr ola bilər. İnsidentalomalarda əsas diaqnostik məsələ törəmənin bəd xassəli və hormonal aktiv olub olmadığını dəqiqləşdiməkdir. Bu məqsədlə törəmənin ölçüsünə, tərkibinə, kənarlarına, kontrast tutma xüsusiyyətlərinə diqqət edilir və hormonlar yoxlanılır. Funksional aktiv və ya bəd xassəli ehtimalı yüksək olan insidentalomalar (4 sm-dən böyük, nahamar kənar, kontrastı gec buraxan, kalsifikasiya və s.) cərrahi yolla müalicə edilir. Qeyri-funksional və bəd xassəli ehtimalı az olan insidentalomalar (ölçüsü 4 sm-dən kiçik, tez yuyulan və s.) ən azı iki il ərzində 6 aylıq fasilələrlə tomoqrafik müşahidə edilir.
Böyrəküstü vəzi üzrə suallar
N.Y.Bayramov, A.Səfiyeva, Ş.Məmmədova
Cushing sindromu
|
Suallar
|
Cavablar
|
|
Cushing sindromu nədir?
|
Həddən artıq kortizol ifrazı ilə xarakterizə edilir (Yaddaş: Cushing Cortisol)
|
|
Ən çox rast gələn səbəbi nədir?
|
Yatrogenik (prednizolon istifadəsi)
|
|
İkinci ən çox rastlanan səbəbi nədir?
|
Cushing xəstəliyi
|
|
Cushing xəstəliyi nədir?
|
Ön hipofizdən artıq miqdarda AKTH ifrazı
|
|
Ektopik AKTH mənbəyi haradır?
|
Hipofiz xaricində olan törəmələr
|
|
Cushing sindromunun klinik əlamətləri hansılardır?
|
- Gövdə piylənməsi;
- Hirsutizm;
- “Ay sifətlilik”;
- Akne;
- “Öküz donqarı” – boyunda piyin toplanması;
- Dəridə bənövşəyi xətlər;
- Arterial hipertoniya;
- Depressiya;
- Əzələ zəifliyi;
|
|
Qanda kortizol təyini testinin sağlam şəxslərdə nəticəsi necədir?
|
Səhər kortizol səviyyəsi yüksək, axşamlar isə aşağı olur.
|
|
Cushing sindromunda ilkin olaraq hansı testi yoxlamaq lazımdır?
|
- Elektrolit;
- Serumda kortizol;
- Sidikdə sərbəst kortizol;
- Aşağı doza deksametazon supresiya testi;
|
|
Aşağı doza deksametazon supresiya testi nədir?
|
Deksametazon verilir və qanda kortizol səviyyəsinə baxılır. Sağlam şəxslərdə deksametazondan sonra kortizol azalır, avtonom kortizol sintez edən törəmələrdə isə kortizol azalmır.
|
|
Deksametazon testindən sonra hansı test aparılır?
|
AKTH səviyyəsi yoxlanılır.
|
|
AKTH-dan asılı forma Cushing sindromunda hipofiz adenomasını və ektopik AKTH mənbəyini necə differensasiya etmək olar?
|
Yüksək doza deksametazon testi ilə:
- Hipofiz adenomalarında kortizol səviyyəsi aşağı düşür;
- Ektopik AKTH ifraz edən şişlərdə kortizol səviyyəsi aşağı düşmür
|
|
“Cushing sindromu” olan xəstələrin laborator dəyərlərinin xülasəsi:
|
|
|
Sağlam şəxslər:
|
- Normal kortizol və AKTH;
- Aşağı və ya yüksək doza deksametazonun təsirindən supresiya
|
|
Cushing xəstəliyi (hipofiz-AKTH hiperseksresiyası):
|
- Yüksək kortizol və AKTH;
- Aşağı doza deksametazon təsirindən supresiya yoxdur;
- Yüksək doza deksametazon təsirindən supresiya;
|
|
Adrenal törəmə:
|
- Yüksək kortizol və aşağı AKTH;
- Yüksək və aşağı doza deksametazon testində kortizol səviyyəsində supresiya yoxdur;
|
|
Ektopik AKTH ifraz edən törəmə:
|
- Yüksək kortizol və AKTH;
- Yüksək və aşağı doza deksametazon testində kortizol səviyyəsində azalma yox
|
|
Ektopik AKTH ifraz edən törəmənin ən çox rast gəlinən səbəbi nədir?
|
Törəmələrin 2/3 hissədən çoxu ağciyərin kiçik hüceyrəli ağciyər xərçəngidir. hüceyrəli törəməsi (II karsinoid) sayılır
|
|
Adrenal adenomanın müalicəsi nədir?
|
Adrenalektomiya (hər zaman unilateral)
|
|
Adrenal karsinomanın müalicəsi nədir?
|
Cərrahi eksiziya (yalnız 1/3 hallarda əməliyyat oluna bilir)
|
|
Ektopik AKTH ifraz edən törəmənin müalicə üsulları hansılardır?
|
Cərrahi eksiziya (əgər mümkündürsə)
|
|
Cushing sinromunda cərrahi əməliyyatdan əvvəl hansı dərman preparatı vermək lazımdır?
|
Kortizol (adətən hidrokortizon)
|
|
Kəskin kortizol artıqlığı olan xəstələrə nə vermək lazımdır?
|
- Ketokonazol;
- Metyrapon (kortizol inhibitoru);
- Aminoglytethimide;
- Mitotan;
|
|
Bilateral adrenalektomiyanın fəsadı nədir?
|
Nelson sindromu
|
|
Nelson sindromu nədir?
|
Funksional hipofiz adenomasıdır, hədindən artıq AKTH ifraz edir və görməə sinirini sıxır, hiperpiqmentasiya, amenoreya, AKTH səviyyəsinin yüksəlməsi izlənilir.
|
|
Nelson sindromunun rastgəlmə tezliyi nə qədərdir?
|
İkitərəfli drenalektomiya olan xəstələrin 10%-də rast gəlinir.
|
Hiperaldosteronizm
|
Suallar
|
Cavablar
|
|
Conn sindromu nədir?
|
Yükək aldosteron səviyyəsinə bağlı I-li hiperaldosteronizm
|
|
Ən çox rast gəlinən səbəbi nədir?
|
Adrenal adenoma və ya hiperplaziya
|
|
Aldosteronun fizioloji effekti necədir?
|
Aldosteron böyrəklərdə kalimun itkisini, natriumun reabsorbsiyasını artırır, maye həcmi artır və qan təzyiqi yüksəlir.
|
|
Klinik əlamətləri hansılardır?
|
- Hipertoniya - diastolik;
- Baş ağrısı;
- Poliuriya;
- Zəiflik;
|
|
Conn sindromunun klassik “açarıları” nədir?
|
- Hipertoniya - diastolik;
- Hipokalemiya;
|
|
Conn sindromunda renin səviyyəsi necə olur?
|
Normal və ya aşağı
|
|
Hipertoniyası olan xəstələrin neçə faizində Conn sindromu olur?
|
1%
|
|
Dəqiqləşdimək üçün hansı diaqnostik testlər aparılır?
|
- Plazma aldosteron;
- Plazma renin aktivliyi;
|
|
Ikincili hiperaldosteronizm nədir?
|
Yüksək renin səviyyəsində yaranan hiperaldosteronizm
|
|
Hansı diaqnostik test aprılmalıdır?
|
KT, aldestron səviyyəsi, nazik kəsiklər, duz infuziyası
|
|
Duz infuziya testi nədir?
|
Duz infuziyası normal xəstələrdə aldosteron səviyyəsini aşağı salır, lakin Conn sindromu olanlarda yox
|
|
Əməliyyat öncəsi müalicə nədir?
|
Sprinolaktan
|
|
Sprinolaktan nədir?
|
Aldesteron antaqonisti (böyrək yumaqcıqlarına təsir edir)
|
|
Adrenal adenomanın müalicəsi nədir?
|
Birtərəfli adrenalektomiya (laparoskopik)
|
|
Birtərəfli hiperplaziyanın müalicəsi nədir?
|
Birtərəfli adrenalektomiya
|
|
İkitərəfli hiperplaziyanın müalicəsi nədir?
|
Sprinolakton
|
Feoxromasitoma
|
Suallar
|
Cavablar
|
|
Feoxromasitoma nədir?
|
Adrenal medulladan və katexolamin ifraz edən simpatik qanqliondan (xromaffin hüceyrələri) inkişaf edən törəmə (norepinefrin˃epinefrin)
|
|
Rastgəlmə tezliyi nə qədərdir?
|
Hipertenziyası olan xəstələrdə 1/500 tezlikdə rast gəlir.
|
|
Hansı yaş qrupuna daha çox rast gəlinir?
|
Bütün yaşlarda (daha çox 40-60 yaş)
|
|
Feoxromasitomanın ən çox rast gəldiyi yer?
|
Adrenal vəz (˃90%)
|
|
Feoxromasitomanın digər rastlandığı yer?
|
Zuckerkandle orqanları, toraks (divararalağı), sidik kisəsi və skrotum
|
|
Zuckerlandle orqanları nədir?
|
Abdominal aorta ətrafında embrionik xromaffin hüceyrələr
|
|
Səbəbi və ya risk faktorları nələrdir?
|
- MEN-II;
- Ailə anamnezi;
- Von Recklinhausen xəstəliyi;
- Von Hippel Lindau xəstəliyi;
|
|
Klinik əlamətləri hansılardır?
|
- “Klassik” triada:
- ürəkdöyünmə;
- baş ağrısı;
- tərləmə;
- Hipertoniya (50% hallarda);
- Avazıma-qızarmalar;
- Həyəcanlıq;
- Arıqlama;
- Hiperqlikemiya;
|
|
Feoxromasitomanın ənən çox rast gəlinən əlaməti hansıdır?
|
Hipertoniya
|
|
Differensial diaqnostikası?
|
- Renovaskulyar hipertoniya;
- Menopauza;
- Miqren başağrıları;
- Karsinoid sindrom;
- Preeklampsiya;
- Neyroblastoma;
- Panik ataklar;
- Hipertiroidizm;
- İnsulinoma;
|
|
Dəqiqləşdimək üçün hansı müayinələr lazımdır?
|
Sidikdə katexolamin məhsulları:
- vanilmandil turşusu (VMA);
- metanefrin və normetanefrin;
|
|
Ən çox rast gəlinən digər labarator əlamətləri nələrdir?
|
- Hiperqlikemiya (epinefrin qlükozanı artırır, norepinefrin insulini azaldır);
- Polisitemiya (intravaskulyar həcm azalması hesabına);
|
|
Yerini təyin etmək üçün hansı müayinələr aparılır?
|
KT, MRT, PET-KT
|
|
Necə faiz xəstələrdə bədxassəli törəmə olur?
|
10%
|
|
Bədxassəliyi differensasiya etmək üçün histolojidən istifadə etmək yararlıdrmı?
|
Xeyr, bədxəssəlili histologiyay görə yox, metastazlar və ya invaziyaya görə müəyyənləşdirilir.
|
|
Klassik feoxromasitomada “10qaydası” nədir?
|
10% malignizasiya
10% bilateral
10% usaqlarda
10% çox saylı törəmə
10% ekstraadrenal
|
|
Əməliiyatöncəsi müalicə nədir?
|
α-blokatrorlar (fenoksibenzamin və ya prazosin)
|
|
Cərrahi müalicəsi nədir?
|
Erkən vaskulyar ligasiya ilə bərabər törəmə rezeksiyası
|
|
Preoperativ fəsadlar hansılardır?
|
Anestezioloji olaraq-hipertonik kriz, törəmə tam çıxdıqdan sonra hipotoniya, aritmiya
|
|
Feoxromasitoması olan xəstələrdə nəyi inkar etmək lazımdır?
|
MEN II
|
Adrenal insidentaloma
|
Suallar
|
Cavablar
|
|
İnsidentaloma nədir?
|
Görüntüləmə müayinəsi zamanı adrenal vəzlərdə təsadüfən tapılan törəmə
|
|
Rastgəlmə tezliyi nə qədərdir?
|
KT müayinələrinin 1-4 %-də
|
|
Ən çox rast gəlinən səbəbi nədir?
|
Nonfunksional adenoma (˃75%)
|
|
Insidentalomanın digər səbələri hansılardır?
|
- Feoxromasitoma;
- Adrenokortikal karsinoma;
- Aldosteroma;
- Metastatik diaqnoz;
- Nodulyar hiperplaziya;
|
|
Hansı törəmələrin bəd xəssəli olma ehtimalı yüksəkdir?
|
4 sm böyük solid törəmələr
|
|
Müalicəsi nədir?
|
- Hormonal aktiv və bəd xəssəlilik əlaməti olanlarda əməliyyat
- Hormonal-qeyri-aktiv və bəd xəssəlilik əlmətləri olmayanlarda izləmə
|
|
4 sm dən kiçik olan insidentalomalarda cərrahi rezeksiyaya göstəriş nədir?
|
- MRT müayinədə T2 signal ˃2 olması;
- Hormonal aktiv - hiperfunksiya edici törəmə;
- Sistik törəmənin böyüməsi;
- Görüntüdə adenoma oxşamaması;
|
|
Adrenal kütlələrdə biopisyadan və əməliyyatdan əvvəl hansı törəmə inkar olunmalıdır?
|
Feoxromasitoma
|