N.Y. Bayramov, M.G. Mahmudov
AĞCİYƏR YIRTIĞI
Tərifi
Ağciyər yırtığı ağciyər toxumasının təbii dəliklərdən (döş qəfəsinin yuxarı aperturası, diafraqma) və ya döş qəfəsi divarındakı patoloji defektlərdən dərialtına çıxmasına deyilir.
Etiologiyası
Ağciyər yırtığı anadangəlmə (1/5) və ya qazanılmış səbəblərdən ola bilir. Qazanılmış səbəblər arasında əsas yerləri travmalar və əməliyyatlar tutur. Öskürək, sterioid dərmanların istfadəsi, ağır fiziki iş kimi amillər yırtığın əmələ gəlməsinə şərait yaradırlar.
Klinikası
- Asimptomatik
- İnhalyasiya, öskürmə və asqırma zamanı kəskin ağrı
- Dərin tənəffüsün çətinləşməsi və təngnəfəslik
- Döş divarının müvafiq hissəsində həssaslıq
- Döş divarının müvafiq hissəsində şişkinlik
- Qızdırmanın olması
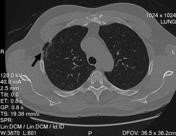
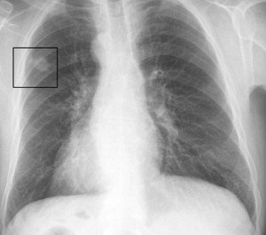
Şəkil
Diaqnostika
Kliniki müayinə zamanı döş qəfəsi divarında yumşaq konsistensiyalı, tənəffüs aktı zamanı ölçüsünü dəyişən, ağrısız şişkinlik müəyyən olunur. Rentgenoloji müayinə zamanı diaqnozu təsdiqləmək olur. Şübhəli hallarda KT müayinəsi çox faydalıdır, defektin ölçüsünü müəyyən etməyə imkan verir.
|

|

|
|
Şəkil
|
Şəkil
|
Müalicəsi
Tənəffüsü pozmayan asimptomatik və yüngül formalarda konservativ müalicə tövsiyə olunur:
- Yataq rejimi
- Analgetik
- Antibiotik
- Öskürək əlehinə dərmanlar
Tənəffüsü pozan ağır və böyükölçülü yırtıqlarda cərrahi müdaxilə göstərişdir. Əməliyyatın mərhələləri:
- Dəri və dərialtı toxumanın kəsilməsi
- Yırtığın əldə edilməsi, parietal plevranın ağciyərdən ayrılması
- Kiçik defektlərdə auto, böyük defektlərdə alloplastikanın tətbiqi
Defekt ya yerli toxuma ilə ya da sintetik torlarla bərpa olunur.
Özət
Ağciyər yırtığı döş qəfəsi divarının anadangəlmə və ya qazanılmış defektlərindən ağciyər toxumasının kənara çıxmasına deyilir. Klinik olaraq tənəffüs hərəkətləri ilə ölçüsünü dəyişən dərialtı yumşaq kütlə kimi biruzə verir, diaqnozu rentgen və ya KT ilə dəqiqləşdirilir. Müalicəsi yüngül hallarda izləmə, ağır hallarda isə cərrahi bərpadır.
Ağciyər yırtığı üzrə suallar
N.Y. Bayramov, M.G. Mahmudov, F.A. Qəhrəmanova
|
Suallar
|
Cavablar
|
|
Ağciyər yırtığı nədir?
|
Ağciyər toxumasının təbii dəliklərdən və ya döş qəfəsi divarındakı patoloji defektlərdən dərialtına çıxması
|
|
Səbəbi və ya risk faktorları nələrdir?
|
Travma
Xəstəlik və ya cərrahi müdaxilə
Kəskin öskürək
Ağır fiziki iş
Döş divarının anadangəlmə deformasiyası
Steroidlərin xronik istifadəsi
|
|
Klinik əlamətləri hansılardır?
|
Öskürmə və asqırma zamanı kəskin ağrı
Dərin tənəffüsün çətinləşməsi və təngnəfəslik
Döş divarının müvafiq hissəsində həssaslıq, şişkinlik
Qızdırma
|
|
Dəqiqləşdimək üçün hansı müayinələr lazımdır?
|
Rentgen, KT
|
|
Laborator əlamətləri nələrdir?
|
Yoxdur
|
|
Müalicə üsulları hansılardır?
|
Konservativ (yataq rejimi, analgetik, antibiotik, öskürək əlehinə dərmanlar)
|
|
Əməliyyata göstərişlər nələrdir?
|
Böyük ölçülü yırtıqlar
|
|
Əməliyyat üsulları hansılardır?
|
Auto vəya allolastika
|
DÖŞ DİVARI OSTEOMİELİTİ
Tərifi
Osteomielit – patogen mikroflora tərəfindən törədilən, sümük, sümük iliyi və bunları əhatə edən yumşaq toxumada baş verən irinli-nekrotik prosesdir. Döş qəfəsi sümüklərinin osteomieliti az rast gələn, ağır gedişli, yerli və ümumi əlamətlərlə xarakterizə olunan, yayılmağa meyilli, cərrahi müalicədən sonra residivlərlə müşahidə olunan patologiyadır.
Etiopatogenezi
Döş divarı sümüklərinin osteomielitlərinin ən çox rast gəlinən səbəbləri əməliyyat və travmalardır. Çox hallarda döş sümüyü osteomieliti qabırğa osteomieliti və qabırğa xondriti ilə birgə olur.
Osteomielit zamanı bakterioloji müayinədə qarışıq flora aşkarlansa da, qızılı stafilakoklar üstünlük təşkil edir. İnfeksiya müxtəlif yollarla sümük toxumasına daxil olur:
- Hematogen yol
- Limfogen yol
- Ətraf toxumalardan (kontakt)
- Travmalar zamanı bilavasitə
Son zamanlar ürək əməliyyatlarının (aorto-koronar şuntlama-AKŞ) sayının artması ilə əlaqədar sternal osteomielitlərin rastgəlmə tezliyi yüksəlmişdir, 0,5-3% təşkil edir. AKŞ əməliyyatına bağlı və digər mənşəli sternal osteomielitin risk amilləri müxtəlifdir:
- assimetrik sternotomiya
- sternumun köndələn sınığı
- mammaria-nın ayrılması zamanı yaranın kobud distraksiyası
- əməliyyatın travmatikliyi
- aseptikanın pozulması
Döş qəfəsi əməliyyatlarından sonra qabırğaların osteomielitinin rast gəlmə tezliyi 1% təşkil edir.
Postravmatik və hematogen osteomielit az rast gəlinir. Kontakt osteomielit və xondritlərdə infeksiya mənbəyi döş qəfəsi divarının fleqmonası, plevranın empieması, mediastinit olur.
Klinikası
Osteomielit zamanı döş sümüyü və qabırğa boyunca küt ağrı, qızartı, şişkinlik, müxtəlif xarakterli ifrazatın, hətta sekvestrlərin xaric olması, qızdırmanın olması müşahidə edilir.
Diaqnostikası
Kliniki və instrumental (Rentgen, KT, MRT, fistuloqrafiya) müayinələr əsasında qoyulur.
MRT müayinəsi ətraf yumşaq toxumalarda olan dəyişikliyi və fistulanı dəqiq müəyyən edir. Fistuloqrafiya zamanı prosesin ölçüsü, fistula yolunun istiqaməti və sümük toxuması ilə əlaqəsi aşkarlanır.

Müalicəsi
Döş qəfəsi osteomielitlərinin müalicəsində əsas tədbirlər nekrektomiya və antibiotikoterapiyadır. Prosesin yayılmasından asılı olaraq qabırğanın, döş sümüyünün ekstirpasiyası və ya rezeksiyası, qabırğa qövsü qığırdaqlarının rezeksiyası və s. kimi əməliyyatlar tətbiq olunur.
Nekrektomiyalardan sonra əmələ gələn böyük defektlərin bərpası üçün automioplastika, omentoplastika və autodermoplastika əməliyyatlarından istifadə oluna bilər:
- Automioplastika məqsədilə damar ayaqcığı üzərində böyük döş əzələsi, belin enli əzələsi, qarnın düz əzələsi istifadə edilir.
- Omentoplasika zamanı isə damar ayaqcığı ilə böyük piylik istifadə edilir. Əgər proses döş qəfəsinin sağ yarısındadırsa böyük piylik sağ qastroepiploik damarlar saxlanılmaqla, sol tərəfdədirsə sol qastroepiplok damarlar saxlanılmaqla istifadə olunur.
- Autodermoplastika zamanı deffekti bərpa etmək üçün dəri köçürülür.
 |
 |
 |
|
Omentoplasika
|
Omentoplasika
|
Autodermoplastika
|
Özət
Döş sümüyü və qabırğaların ostemielitləri ən çox əməliyyatdan, az hallarda isə travma və yayılmalardan sonra baş verir. Diaqnozu klinik və görüntüləmə üsulları ilə dəqiqləşdirlir. Nekrektomiya və antibiotikoterapiya əsas müalicə tədbirləridir.
Döş divarı osteomieliti üzrə suallar
N.Y.Bayramov, M.G. Mahmudov, F.A.Qəhrəmanova
|
Suallar
|
Cavablar
|
|
Döş divarı osteomieliti nədir?
|
Döş sümüyü və qabırğaların iltihabı
|
|
Səbəbi və ya risk faktorları nələrdir?
|
Əməliyyat və travma
|
|
Klinik əlamətləri hansılardır?
|
Küt ağrı, qızartı, şişkinlik, müxtəlif xarakterli ifrazat, hətta sekvestrlərin xaric olması, qızdırma
|
|
Dəqiqləşdimək üçün hansı müayinələr lazımdır?
|
Rentgen, KT, MRT, fistuloqrafiya
|
|
Görüntüləmə əlamətləri nələrdir?
|
Sümüklərdə destruksiya, sekvestrlər
MRT – ətraf yumşaq toxumalarda olan dəyişiklik və fistulanı müəyyən edir.
|
|
Müalicə nədən ibarətdir?
|
Nekrektomiya, antibiotik
|
DÖŞ DİVARI TÖRƏMƏLƏRİ
Tərifi və təsnifatı
Döş divarı törəmələri dedikdə dəri, süd vəzi və parietal plevra törəmələri istisna olmaqla qabırğa, əzələ və digər toxumalardan inkişaf edən xoş və bədxassəli törəmələr nəzərdə tutulur.
Xoşxassəli törəmələr
Xoşxassəli törəmələrə lipoma, kavernoz limfangioma, hemangioma, xondroma, osteoma, eozinofil qranuloma, osteoblastoklastoma aiddir.
Lipoma
Döş divarının xoşxassəli törəmələri içərisində ən çox rast gələni lipomalardır. Döş qəfəsin istənilən yerində yarana bilir.
Klinik əlamətləri olduqca zəifdir. Xəstələr yumşaq konsistensiyalı şişkinliyin mövcudluğundan şikayət edirlər. Belə şişkinlik yumşaq konsistensiyalı olub, palpasiya zamanı ağrı vermir, hərəkətli olur. Lipomanın ölçüsünün böyüməsi və yanaşı damar-sinir dəstəsini sıxması nəticəsində ağrı yaranır.
Diaqnostikası asandır, kliniki müayinə və USM faydalıdır.
Müalicəsi cərrahi yolla olub, törəmənin sağlam toxuma sərhəddində kəsilib çıxarılması yetərlidir. Diaqnozun təsdiqi üçün çıxarılmış material patohistoloji müayinəyə göndərilməlidir.
Xoşxassəli sümük və qığırdaq törəmələri
Döş sümüyü və qabırğalardan inkişaf edən xoşxassəli sümük və qığırdaq mənşəli törəmələrin də klinikası zəif olur. Belə törəmələr bərk konsistensiyalı, hərəkətsiz olur, qonşu strukturlara sirayət etdikdə və ya qabırğaarası sinirləri sıxdıqda ağrı verir. Bəzən törəmənin böyüməsi və döşdaxili strukturları zədələməsi nəticəsində öskürək, təngnəfəslik, qanhayxırma, arıqlama kimi simptomlar yaranır.
Diaqnostikasında rentgenoqrafiya, KT, biopsiya, göstərişə görə angioqrafiya və bronxoskopiya istifadə olunur.
Radikal müalicəsi qabırğanın və döş sümüyünün rezeksiyasından ibarətdir.
Bədxassəli şişlər
Döş divarının bədxassəli törəmələri birincili və ikincili olur.
- Birincili bəd xassəli törəmələr bilavasitə döş qəfəsi divarındakı toxumalardan inkişaf edir – bunlara sarkomalar aiddir. Sarkomaların 45%-i yumşaq toxumalardan, 55%-i isə qığırdaq və sümük toxumasından inkişaf edir. Sarkomalar histoloji quruluşundan asılı olaraq fibrosarkoma, osteosarkoma, xondrosarkoma, retikulosarkoma, angioleyomiosarkoma və hemangioperisitar sarkomalara bölünür.
- İkincili törəmələr ağciyər və ya mediastinum mənşəli şişlərin döş divarına sirayət etməsi və digər orqanların bədxassəli törəmələrinin metastazı zamanı yaranır.
Klinikası
Erkən mərhələdə simptomsuz olur. Şişin böyüməsi ilə əlaqədar döş qəfəsində diskomfort, ağrı, qızdırma, iştahsızlıq, arıqlama, döş qəfəsinin deformasiyası özünü biruzə verir.
Diaqnostikası
Rentgen, KT, MRT, biopsiya diaqnostikada faydalıdır.
Şəkil
Müalicəsi
Əsas müalicəsi radikal rezeksiyadır. Bəd xassəli plevral eksudatın olması radikal müalicəyə əks göstərişdir. Sarkomaların radikal müalicəsindən sonra 5 illik yaşama 16,8% təşkil edir. Cərrahi müalicə, şüa və kimya terapiya törəmənin histoloji quruluşundan asılı olaraq tətbiq olunur. Yaranmış defektlər dəri-əzələ loskutu və ya sintetik materialla bərpa edilir.
Özət
Döş divarının əzələ, sümük-qığırdaq və digər birləşdirici töxumlalardan bəd və xoşxassəli törəmələr inkişaf edə bilir. Lipoma ən çox rast gəlinən xoş xassəli, sarkoma isə bəd xassəli törəmələrdəndir. Diaqnozları adətən klinik, görüntüləmə və biopsiya ilə qoyulur, müalicələri üçün radikal rezeksiya tətbiq edilir.
Döş divarı törəmələri üzrə suallar
N.Y.Bayramov, F.A.Qəhrəmanova
|
Suallar
|
Cavablar
|
|
Döş divarı törəmələrinin hansı formaları var?
|
Xoşxassəli və bədxassəli
|
|
Xoşxassəli törəmələr hansılardır?
|
Lipoma, hemangioma, kavernoz limfangioma, xondroma, osteoma, eozinofil qranuloma, osteoblastoklastoma
|
|
Döş divarının ən çoxrast gələn xoş xassəli törəməsi hansıdır?
|
Lipoma
|
|
Klinik əlamətləri hansılardır?
|
Yumşaq konsistensiyalı, hərəkətli, palpasiyada ağrısız şişkinlik. Böyüməsi və damar-sinir dəstəsini sıxması nəticəsində ağrı yaran bilər.
|
|
Müalicə üsulları hansılardır?
|
Cərrahi – törəmənin sağlam toxuma sərhəddindən kəsilib xaric edilməsi
|
|
Bədxassəli törəmələr hansılardır?
|
Fibrosarkoma, osteosarkoma, xondrosarkoma, retikulosarkoma, angioleyomiosarkoma, hemangioperisitar sarkoma, metatsatik törəmələr
|
|
Klinik əlamətləri hansılardır?
|
Erkən mərhələdə simptomsuz.
Şişin böyüməsi ilə əlaqədar döş qəfəsində diskomfort, ağrı, qızdırma, iştahsızlıq, arıqlama, döş qəfəsinin deformasiyası
|
|
Dəqiqləşdimək üçün hansı müayinələr lazımdır?
|
Rentgen, KT, MRT, biopsiya.
|
|
Müalicə üsulları hansılardır?
|
Cərrahi müalicə, şüa və kimya terapiya
|
MONDOR XƏSTƏLİYİ
Tərifi
Mondor xəstəliyi süd vəzinin və döş divarının səthi venoz damarların (V. torasica lateralis, V. toracoepigastrica, V. epigastrica superficialis)- venaların tromboflebitinə deyilir. Daha çox 30-60 yaş arası qadınlarda görülür (75%).
Etiopatogenezi
Süd vəzin travmasına bağlı yaranması daha çox ehtimal edilsə də, etiologiyası dəqiq məlum deyil. Mondor xəstəliyi diaqnozu qoyulan xəstələrin 50-60%-i idiopatikdir, 40-50% xəstələrdə səbəb müəyyən olunur. Bu səbəblərə lokal travma, keçirilmiş süd vəzi cərrahiyyəsi, süd vəzi biopsiyası, süd vəzi xərçəngi, dar geyimlər, limfangit, radiasiya və qoltuqaltı tüklərin təmizlənməsi aiddir. Nadir hallarda mastektomiya əməliyyatından sonra yaranır. Xəstəlik əsasən birtərəfli olur, kişilərdə az görülür. Bu xəstəlik zamanı lateral toraksik venada, torakoepiqastrik venada və səthi epiqastrik venalarda tromboflebit bas verir. Bu venalar arasında ən çox tromboflebitə məruz qalanı torakoepiqastrik venadır.
Klinikası
Xəstəlik ani olaraq süd vəzidə əllənən şişkinlik, qızartı və ağrının olması ilə başlayır. Simptomlar 2-8 həftə davam edir (tromblaşmiş venanın rekanalizasiyası ilə əlaqədar), tromboembolizm və başqa ağırlaşma vermir.
Şəkil
Diaqnostika
Xəstəliyin diaqnozu klinik və instrumental müayinələrdən sonra qoyulur. Kliniki olaraq süd vəzin bayır səthində ağrılı şişkinlik müəyyən olunur. İnstrumental müayinələrdən mammoqrafiya, USM, doppler USM aparılır. Doppler USM-də damar(lar)da qan axınının olmaması diaqnozun qoyulmasına kömək edir. Mammoqrafiya zamanı bir qayda olaraq patologiya aşkarlanmır, belə ki, proses vəzin səthində və damarlarda gedir. Bu müayinə digər xəstəlikləri təsdiq və ya inkar etmədə faydalıdır. USM-də proses olan sahədə hipo və izoexoik sahə, ətrafındakı toxumanın infiltrasiyasına bağlı hiperexoik sahə görünür. Mondor xəstəliyinin diaqnostikasında biopsiya mütləq deyil, lakin klinik və radioloji olaraq diaqnoz qoyula bilmədikdə faydalıdır. Ümumiyyətlə birinci olaraq neoplazma inkar edilməlidir.
Diaqnostik əlamətləri:
- Kliniki olaraq süd vəzin bayır səthində ağrılı şişkinlik, qızartı
- Doppler USM-də damar(lar)da qan axınının olmaması
Müalicəsi
Xəstəliyin müalicəsi konservativdir. İsti kompres, antibiotik və ağrıkəsicilər verilə bilər. Son zamanlar ciddi yanaşi xəstəliyi olan xəstələrdə yüngül molekul çəkili heparinin verilməsi tövsiyyə olunur.
Özət
Mondor xəstəliyi süd vəzinin və döş divarının səthi venoz damarlarının tromboflebitidir. Xəstəlik əsasən birtərəfli olur, daha çox 30-60 yaş arası qadınlarda görülür (75%), kişilərdə az görülür. 50-60%-i idiopatikdir, 40-50% xəstələrdə səbəb müəyyən olunur. Bu səbəblərə lokal travma, keçirilmiş süd vəzi cərrahiyyəsi, süd vəzi biopsiyası, süd vəzi xərçəngi, dar geyimlər, limfangit, radiasiya və qoltuqaltı tüklərin təmizlənməsi aiddir. Xəstəlik ani olaraq süd vəzidə əllənən şişkinlik, qızartı və ağrının olması ilə başlayır, simptomlar 2-8 həftə davam edir, tromboembolizm və başqa ağırlaşma vermir. Diaqnozu dəqiqləşdirmək üçün mammoqrafiya, USM, doppler USM istifadə olunur. Doppler USM-də damar(lar)da qan axınının olmaması xarakterik əlamətlərdir. Müalicəsi konservativdir. İsti kompres, antibiotik və ağrıkəsicilər verilə bilər.
Mondor xəstəliyi üzrə suallar
N.Y.Bayramov, F.A.Qəhrəmanova
|
Suallar
|
Cavablar
|
|
Mondor xəstəliyi nədir?
|
Süd vəzinin və döş divarının səthi venoz damarlarının tromboflebiti
|
|
Səbəbi və ya risk faktorları nələrdir?
|
50-60%-i idiopatikdir,
40-50% xəstələrdə səbəb – lokal travma, keçirilmiş süd vəzi cərrahiyyəsi, süd vəzi biopsiyası, süd vəzi xərçəngi, dar geyimlər, limfangit, radiasiya və qoltuqaltı tüklərin təmizlənməsi
|
|
Klinik əlamətləri hansılardır?
|
Süd vəzin bayır səthində şişkinlik, qızartı və ağrı
|
|
Dəqiqləşdimək üçün hansı müayinələr lazımdır?
|
Mammoqrafiya, doppler USM
|
|
Görüntüləmə əlamətləri nələrdir?
|
Doppler USM-dədamarlarda qan axınının olmaması
|
|
Müalicə üsulları hansılardır?
|
Konservativ (isti kompres, antibiotik və ağrıkəsici və s.)
|
TİETZE SİNDROMU
Tərifi
Tietze sindromu ve ya kostoxondrit xondropatiyaların bir forması olub, bir və ya bir neçə yuxarı qabırğa qığırdaqlarının döş sümüyü ilə birləşdikləri yerdə, döş sümüyü-körpücük oynağında aseptik iltihabın yaranması ilə xarakterizə olunur. Adətən proses II –III, az hallarda isə I və IV qabırğalarda baş verir.
Rast gəlməsi
Tietze sindromunda 80% hallarda iltihabi proses bir tərəfli olur. Xəstəlik adətən 20-40 yaş arasındakı insanlarda rast gəlsə də, daha erkən yaşlarda da (12-14 yaş) müşahidə olunur.
Etiologiyası
Tietze sindromunun baş vermə səbəbləri tam aydınlaşdırılmasa da problemin inkişaf mexanizmi haqqında bir necə nəzəriyyə var.
Travma nəzəriyyəsi: bu sindromdan əziyyət çəkən insanların əksəriyyəti (idmançılar, ağır fiziki iş görənlər) anamnezində qabırğa (döş qəfəsi) travması almış olanlardır. Bu nəzəriyyənin tərəfdarları hesab edirlər ki, bir başa travma, davamlı mikrotravmalar və ya bazu qovşağının yüklənməsi ilə əlaqədar qabırğalar zədələnir, sümük və qığırdaq hissələrinin sərhəddində mikrosınıqlar baş verir. Buna bağlı olaraq qığırdaqüstlüyü qıcıqlanır, onun az diferensiasiya olmuş hüceyrələrindən normal toxumadan fərqli yeni qığırdaq toxuması yaranır. Yeni və artıq yaranmış qığırdaq toxuması sinir liflərini sıxdığı üçün ağrı yaranır. Bu nəzəriyyə dünyada daha çox qəbul olunub.
İnfeksion-allergik nəzəriyyə: Bu nəzəriyyənin tərəfdarları Tietze sindromunun yaranmasını keçirilmiş kəskin respirator infeksiyalara bağlı orqanizmin immunitetinin azalması ilə əlaqələndirirlər. Həmçinin sindromun narkotiklərdən asılılığı olan insanlarda və ya döş qəfəsindən əməliyyat keçirənlərdə rast gəlməsi bu xəstəliyin yaranmasında infeksion-allergik nəzəriyyəni təsdiq edir.
Alimentar-distrofik nəzəriyyə: Hesab edilir ki, qığırdaqdakı degenerativ dəyişikliklər C və B qrup vitamin və Ca mübadiləsinin pozğunluğuna bağlı yaranır. Bu hipotezi sindrom haqqında ilk dəfə 1921-ci ildə məlumat verən Tietzenin özü irəli sürmüşdür. Lakin hal hazırda bu nəzəriyyənin obyektiv təsdiqi olmadığı üçün şübhə doğurur.
Klinikası
Xəstələr döş sümüyünün yuxarı hissəsində, sternuma yaxın kəskin və ya tədricən artan ağrılardan şikayət edir. Ağrılar adətən birtərəfli olur və hərəkət, öskürək, asqırma, dərin tənəffüs zamanı şiddətlənir. Ağrı zədələnmə tərəfdə qola, çiyinə irradiasiya edir. Ağrılar davamlı olur, remissiya və kəskinləşmə bir-birini əvəz edir. Kəskin dövrdə xəstənin ümumi vəziyyətində dəyişiklik olmur. Xəstənin palpasiyası zamanı ağrı artır. Obyektiv müayinə zamanı zədələnmə zonasında qızartı ilə birgə, 3-4 sm ölçüdə bərk, ağrılı şişkinlik müəyyən olunur.

Şəkil
Diaqnostika
Döş qəfəsində ağrı verə bilən digər xəstəliklər inkar olunduqdan sonra xəstəliyin diaqnozu qoyulur. Əsas xarakterik əlamətlərdən biri ağrı sahəsində aydın kənarlı, bərk şişkinliyin olmasıdır. Ağrılar bir neçə saat, bəzən bir neçə gün davam edə bilir.
Differensial diaqnostikasında döş qəfəsinin kəskin travmasından, ürək-damar xəstəliklərindən, eyni kliniki əlamət verən daxili orqan xəstəliklərindən, müxtəlif infeksion və bədxassəli proseslərdən fərqləndirmək lazımdır. Xəstədə göstərişə uyğun olaraq qan analizi, döş qəfəsinin R-ji müayinəsi, KT, MRT, USM ve digər müayinələr aparıla bilər.
Xəstəliyin ilk dövrlərində R-ji müayinə zamanı nəzərəçarpan dəyişiklik olmur, proses irəlilədikcə (3-4 ay sonra) qabırğa qığırdağının strukturunda dəyişiklik olur, qalınlaşır, vaxtındanqabaq kirəcləşməsi baş verir, periostal sahədə çöküntülər yaranır, bunun hesabına qabırğa bir qədər qalınlaşır, qabırğaarası sahə daralır. Nəticədə qığırdaq və sümük hissələrinin bir-birinə bu proses nəticəsində bitişməsi olur, qabırğa-döş sümüyü oynağında deformasiyaedici osteoartroz yaranır. Xəstəliyin erkən mərhələsində və şübhəli hallarda KT göstərişdir. Bədxassəli proseslərdən differensasiya etmək üçün Tc ve Ga ilə skanerləşmə və punksion biopsiya göstərişdir.
Ürəyin işemik xəstəliklərini differensasiya etmək üçün EKQ, EXO göstərişdir (göstərişə uyğun)
Revmatik xəstəlikləri təsdiqləmək üçün (spondilit, fibrozit, revmatoid artrir) xüsusi müayinələr aparılmalıdır. Kliniki olaraq Tietze sindromundan fərqli olaraq bu xəstəliklər zamanı qığırdağın hipertrofiyası aşkarlanmır.
Qabırğaarası nevralgiyada eyni ağrı olsa da, qığırdağın hipertrofiyası müşahidə edilmir.
Qanın biokimyəvi tərkibində, qanın və sidiyin ümumi analizində dəyişikliklər olmur, immun reaksiyalar normal olur.
Müalicəsi
Xəstəliyin kəskin dövründə sakitlik rejimi, QSİƏD təyin olunur. Ağrılar azalmasa novokain və hidrokortizon qarışığı ağrılı zonaya vurulur (həftədə 1 dəfə, 3 ay müddətində). Konservativ müalicənin effektsizliyi hallarında isə cərrahi əməliyyat—xondrektomiya göstərişdir. Cərrahi əməliyyatdan sonra residiv baş vermir.
Özət
Tietze sindromu qabırğa qığırdaqlarının döş sümüyü ilə birləşdikləri yerdə və ya döş sümüyü-körpücük oynağında aseptik iltihabına deyilir. Xəstəlik adətən 20-40 yaş arasındakı, yük daşıyan insanlarda çox ast gəlir. Ağrı və şişkinlik xarakterik əlamətləridir. Diaqnostikası üçün digər xəstəlikləri inkar etmək və görüntüləmə müayinələri etmək lazım gəlir. Müalicəsi əsasən konservativdir, effekt vermədikdə xondrektomiya əməliyyatı icra edilir.
Tietze sindromu üzrə suallar
N.Y.Bayramov, F.A.Qəhrəmanova
|
Suallar
|
Cavablar
|
|
Tietze sindromu nədir?
|
Qabırğa qığırdaqlarının döş sümüyü ilə birləşdikləri yerdə, döş sümüyü-körpücük oynağında aseptik iltihab
|
|
Səbəbi və ya risk faktorları nələrdir?
|
Ağır yük daşıma
|
|
Gediş xüsusiyyəti necədir?
|
Remisiya və kəskinləşmələrlə gedir
|
|
Klinik əlamətləri hansılardır?
|
Ağrı, şişkinlik, qızartı
|
|
Dəqiqləşdimək üçün hansı müayinələr lazımdır?
|
Rentgen, KT, MRT, USM
|
|
Laborator əlamətləri nələrdir?
|
Yoxdur
|
|
Görüntüləmə əlamətləri nələrdir?
|
Qabırğa qığırdağının strukturunda dəyişiklik – qalınlaşma, kirəcləşmə, periostal sahədə çöküntülər, qabırğanın bir qədər qalınlaşması, qabırğaarası sahənin daralması
|
|
Müalicə üsulları hansılardır?
|
Konservativ və cərrahi
|
|
Əməliyyata göstərişlər nələrdir?
|
Konservativ müalicənin effektsizliyi
|
|
Əməliyyat üsulları hansılardır?
|
Xondrektomiya
|