DİAFRAQMANIN XƏSTƏLİKLƏRİ
N.Y.Bayramov, S.F.Rəfiyev
ANATOMİYASI
Diafraqma mərkəzi vətərdən, ətrafı isə eninəzolaqlı əzələdən ibarət olan yastı arakəsmədir. Formaca gümbəzə bənzəyən bu orqan qarın və döş boşluqları arasında yerləşir, öndə döş sümüyünə, arxada 1-3-cü bel fəqərələrinə, yanlarda isə qabırğa qövsünə birləşir. Diafraqmanın bel fəqərələrinə birləşən qalınlaşmış hissələri ayaqcıqlar adlanır.
Diafraqma yuxarıdan plevra ilə aşağıdan isə periton ilə örtülüdür.
Diafraqmada 3 böyük (aorta, ezofageal, aşağı boş vena) və kiçik 4 dəliklər mövcuddur. (parasternal – Morgan, Lorrey, plevroperotoneal - Bokdalek)
Qan təchizatı diafraqmal arteriya və venaları vasitəsi, innervasiyası isə diafrqamal sinirlərlə həyata keçirilir.
![]() |
![]() |
Şəkil 1. Diafraqmanın anatomiyası
FİZİOLOGİYASI
Diafraqma 3 əsas funksiya yerinə yetirir:
- Tənəffüs – diafraqma yığıldaqda döş boşluğunun həcmini artırır (diafraqmanın 1 sm-lik yerdəyişməsi döş boşluğunun həcmini təxminən 250-270 ml dəyişir). Nəfəsalmanın 50-70%-i diafraqmanın təqəllüsü hesabına olur.
- Qarındaxili təzyiqi artırma - defekasiya, gücənmə, qusma, asqırma və s. kimi fizioloji aktarın həyata keçirilməsinə yardımçı olur.
- Sərhəd – döş və qarın boşluqları arasında arakəsmə rolunu həyata keçirir.
XƏSTƏLİKLƏRİ VƏ MÜAYİNƏLƏRİ
Xəstəlikləri
- Diafraqmal yırtıqlar
- Diafraqmanın travmaları
- Diafraqmanın relaksasiyası
- Diafraqmanın törəmələri
Müayinələri
- Klinik
- Görüntüləmə
- Rentgenoloji;
- KT;
- MRT;
- Laparoskopiya;
- Torakoskopiya
- Digər
Əməliyyyatları
- Girişlər –laparoskopiya, torakoskopiya, laparotomiya, torakotomiya;
- Diafraqmarafiya;
- Diafraqmapeksiya;
- Yamaqla təmir
DİAFRAQMANIN YIRTIQLARI
Tərifi
Qarındaxili orqanların diafraqmanın təbii və ya qazanılmış dəliklərindən döş boşluğuna keçməsi diafraqmal yırtıqlar adlanır.
Növləri
Yerinə görə diafraqamal yırtıqlar aşağıdakı növlərə ayrılır:
- Hiatal yırtıqlar- ezofageal dəlikdən keçən yırtıqlardır, sürüşkən, paraezofageal və qarışıq tipləri var;
- Parasternal – Morgan dəliyiyindən keçən yırtıaqlardır;
- Kosto-vertebral - Bokdalek dəliklərindən keçən yırtıqlardır;
- Postravmatik – travma və ya əməliyyat nəticəsində diafraqmada meydana çıxan defektlərdən baş verən yırtıqlara deyilir.
Səbəbləri
Digər yırtıqlarda olduğu kimi diafarqamal yırtıqların meydana gəlməsində əsas səbəblər divar zəifliyi və qarındaxili təzyiqin artmasıdır.
Gedişi və ağırlaşmaları
Diafrqamal yırtıqlar başlanğıcda əlamət vermirlər, lakin böyüməyə və boğulmaya meyilli olduqları üçün ağırlaşma törətmə ehtimalları da yüksəkdir. Gedişində lokalizasiyası və ölçüsü önəmlidir. Sürüşgən yırtılar boğulma törətməzlər lakin QERX törədə bilirlər, paraezofageal yırtıqlar isə boöulma törədə bilirlər. Sağtərəfli parasternal, paravertebral və postravmatik yırtıqların ağırlaşma ehtimalı azdır (qaraciyər üzərini örtür), soltərəfli yırtıqlarda isə ağırlaşma və böyümə ehtimalı yüksəkdir. Aşağıdakı ağırlaşmalar çox rast gəlinir:
- Boğulma
- Atelektaz
- Kardiopulmonar kompressiya
- Keçməzlik
- Fistul
Klinikası
Kiçik və ağırlaşmamış yırtıqlar adətən asimptomatik olur. Yırtıqlar böyüyərək döşdaxili orqanları sıxdıqda və ya ağırlaşmalar baş verdikdə əlamətlərlə biruzə verir - təngənəfəslik, ağrı, öksürək və s
Diaqnostikası
Şübhə
Diafraqmal yırtıqlara sübhə əlamətlərinə təngənəfəslik, döş qəfəsində ağrı aid edilə bilər. Obyektiv döş qəfəsində bağırsaq səsləri, perkutor kütlüyün olması bu şübhəni daha da artırır.
Dəqiqləşdimə
Difrqamal yırtıqların dəqiqləşdirmək üçün kontrastlı müayinələr, bəzən də endoskopik müayinə aparmaq lazım gəlir. Kontrastlı müayinədə mədə və bağırsaqların döş boşluğunda olması diaqnozu dəqiqləşdirir. KT daha informativdir. Təcili vəziyyətlərdə nazoqastrik zondun yerini rentgenlə təyin etməklə də postravmatik yırıtıqları müəyyənləşdirmək olar.
Bəzi hallarda diafrqamal yırtıqları atelektaz, diafraqma relaksasiyası və törəmələrdən diferensasuya etmək lazım gələ bilir. Belə hallarda KT ən vacib müayinə sayılır.
Müalicəsi
Diafrqamal yırtıqların müalicəsi adətən cərrahi bərpadır. Cərrahi üsul isə yırtığın yerindən və ölçüsündən asılı olaraq dəyişir.
Hiatal yırtıqlar
Hiatal yırtıq dedikdə diafraqmanın qida borusu dəliyindən baş verən yırtıqlar nəzərdə tutulur. Qastroezofageal birləşmənin yerinə və mədə-qida borusu münasibətinə görə hiatal yırtıqların sürüşgən, paraezofageal və qarışıq tipləri var. Sürüşgən yırtıqda qastro-ezofageal birləşmə diafraqmadan yuxarıda yerləşir. Paraezofageal yırtıqda qastro-ezofageal birləşmə öz təbii yerində yerləşir (diafraqmadan aşağıda), lakin ətrafından mədə və ya qarındaxili orqanlar döş boşluğuna yerdəyişir. Qarşıq tipdə isə həm qastroezofagela birləşmə, həm də mədə və ya digər orqnalar döş boşluğuna yerdəyişir. Köklük, irəli yaş, toxuma zəifliyi, genetik meyillik hiatal yırtıqlar üçün risk amilləri sayılır.
Sürüşgən yırtıqlar asimptomatik ola bilir və ya QERX əlamətləri ilə biruzə verir (60%) və boğulma rastlanmır. Paraezofgeal və qarışıq yırtıqlar isə postbrandial diskomfort, köp, disfagiya, qıcqırma digər əlamətlərlə biruzə verirlər, lakin orqanların boğulması, burulması, qanaxama kimi ağırlaşma törədə bilirlər. Diaqnostikada endoskopiya, rentgenkontrast müayinə və KT istifadə edilir. Sürüşgən yırtıqlar üçün endoskopiyada qastroezofageal birləşmənin diafraqmadan yuxarıda yerləşməsi, aşağı sfinkterik gövşəkliyi, refleks ezofagit və qida borusunun qısalması xarakterikdir. Paraezofagela yırtıqların diaqnostikası üçün KT daha həssas müayinədir və mədənin və digər qarındaxili olrqanların (nazik və yoğun bağırsaqlar, həttda dalaq) qida borusu dəliyindən döş boşluğuna keçməsi xarakterikdir.
Asimptomatik sürüşgən yırtıqlarda müşahidə tövsiyə edilir, yüngül dərəcəli QERX əlamətləri olanlarda əvvəlcə hidrogen körüyü blokatorları istifadə edilir. Konservativ müalicə ilə yaxşılaşmayan və ya ağır ezofagiti olan sürüşgən yırtıqlarda cərrahi müalicə - antirefluks əməliyyatları (fundoplikasiya) lazım gəlir. Paraezofageal yırtıqlarda hiatal dəliyin bərpası gündəmə gəlir və bu məqsədlə bioloji yamaqlar ilk seçim sayılır. Yaşlı və ağırlaşması olmayan xəstələrdə izləmə tətbiq edilə bilər.
![]() |
![]() |
Şəkil 2. Fundoplikasiya üsulları
Morgan və Bokdalek yırtıqları
Morgan yırtığı diafraqmanın parasternal, Bokdalek yırtığı isə kostovertebral dəliklədindən baş verən yırtıqlardır. Bu yırtıqlar dəliklərin anadangəlmə zəifləməsi nəticəsində baş verir. Hər iki yırtıq proqressiv böyüməyə, atelektaz və boğulma kimi ağırlaşmaya meyillidir. Klinik olaraq adətən təngənəfəslik və ağrı əlamətləri ilə biruzə verirlər. Diaqnozu KT ilə dəqiqləşdirlir, rentgen müayinəsi bəzən faydalı olur. Müalicəsi cərrahi bərpadan ibarətdir və laparaotomik giriş ilk seçimdir. Bərpa üçün yerli toxuma və ya yamaqlar istifadə edilə bilər.
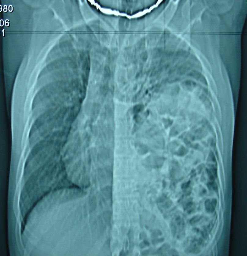
Postravmatik yırtıqlar
Postravmatik yırtıqlar diafraqmanın yaralanmasından sonra baş verən yırtıqlardır, diafraqmanın hər iki tərəfində və hər hansı bir yerində ola bilir, lakin ən çox sol tərəfdə və əzələ hissəsində rast gəlinir.
Açıq və odlu silah yaralanmalarında diafraqma birbaşa zədələnir, küt travmalarda isə qarının sıxılması və ya ətalatə bağlı yaralanmalar baş verir.
Diafrqama zədələnmələrinin gedişində iki dövrü qeyd etmək olar – erkən kəskin dövr və gec dövr. Erkən kəskin dövr travmadan sonrakı ilk günləri əhatə edir, adətən digər orqanların zədələnməsi, şok və tənəffüs yetməzliyi əlamətləri ilə biruzə verir. Gec dövr isə diafrqamal yırtıq əlaməti ilə ortaya çıxır. Sağtərəfli yırtıq defektini qaraciyər örtə bilər və klinik biruzə verməyə bilər.
Diaqnozu rentgenoloji müayənə və KT ilə dəqiqləşdimək olar. Müalicəsi cərrahi bərpadan ibarətdir, laparotomiya, torakotomiya və laparo-torakoskopik yollarla bərpa edilə bilər.
![]() |
![]() |
Şəkil 3. Diafraqma yırtığı
DİAFRAQMANIN RELAKSASİYASI
Diafraqmanın relaksasiyası əzələ hissəsinin yığılabilməməsi deməkdir.
Relaksasiya anadangəlmə və qazanılmış olur. Anadangəlmə- diafraqma əzələ liflərinin aplaziyası nəticəsində, qazanılmış isə diafraqma sinirinin iflici (zədələnməsi) nəticəsində yaranır. Relaksasiya total və ya hissəvi ola bilir.
Relaksasiya qarın boşluğu orqanlarının döş qəfəsinə doğru yerdəyişməsinə, ağciyərin sıxılmasına və divararalığının yedəyişməsinə səbəb olaur. Nəticədə dənəffüs və hemodinamika pozulur.
Klinika və diaqnostika
Yüngül dərəcəli sağtərəfli relaksasiya simptomsuz keçir. Soltərəfli relaksasiya simptomları diafraqmal yırtıq klinikasını xatırladır (ağciyər və divararalığı sıxılması əlamətləri). Lakin yırtıq qapısının olmaması səbəbindən boğulma baş vermir.
Diaqnozu dinamik rentgen və KT ilə dəqiqləşdirlir, qarın orqanlarının döş boşluğuna prolapsusu xarakterik əlamətdir.
Müalicəsi
Klinik forma əməliyyata göstərişdir - diafraqmanın duplikaturası və ya yamaqla bəkridilməsi icra olunur.
DİAFRAQMA TÖRƏMƏLƏRİ
Tərifi və növləri
Diafraqmanın törəmələrinin əksəriyyəti ikincilidir, birincili şişləri nadir rast gəlinir.
Birincili törəmələri epitelial, əzələ, vətər, sinir və damar mənşəli ola bilər, əksəriyyəti xoş xəassəlidir (95%). Xoş xəssəli törəmələr arasında ən çox rast gəlinənləri fibroma, lipoma, neyrofibroma, limfangiomadır, törəmələrin təxminən yarısı sistlərdir
Bədxassəli törəmələr arasında ən çox rast gəlinəni leyomiosarkorma, fibrosarkoma və metastatik adenokarsinomadır.
Klinikası
Kiçik (10 sm-dən kiçik) xoşxassəli törəmələr adətən asimptomatik olurlar. Böyük törəmələr özlərini ətraf orqanlara təzyiq, sıxmaya bağlı əlamətlərlə biruzə verə bilirlər. Metastatik törəmələrdə adətən əsas xəstəliyin ələmətləri ön planda olur.
Diaqnostikası
Şübhə
Aşağıdakı əlamətlər olduqda diafraqmada törəmədən şübhələnmək olar:
- Tez doyma hissi
- Epiqastral və ya qabırğaaltı nahiyələrdə palpator kütlə
- Sağ və ya sol qabırğa altında ağrı
- Təngənəfəslik
Dəqiqləşdirmə
Diafraqma törəmələrini dəqiqləşdirmək üçün KT edilir, törəmənin kistik və ya toxumalı olduğunu məyyənləşdirmək üçün isə USM və ya MRT lazım gəlir. Toxumalı törəmənin diaqnozu isə biopsiya ilə dəqiqləşdirlir.
Müalicəsi
Diafrqama törəmələrinin, xüsusən də böyük və simptomatik törəmələrin müalicəsi cərrahi yolladır - şiş radikal xaric olunur, defekt isə yerli toxuma ilə və ya yamaqla bərpa olunur.
İkincili şişlərdə əsas ocaq aradan qaldırılıbsa diafraqmada radikal əməliyyat aparılır.
Özət
Diafraqma qarın və döş boşluqları arasında yerləşən əzələ-vətər tərkibli orqandır, arakəsmə, tənəffüs və qarındaxili təzyiqi artırma funskiyalarını daşıyır.
Diafrqamanın xəstəlikləri arasında ən çox rast gəlinənləri yırtıqlardır, lakin relaksasiya və törəmələrdə rast gəlinə bilir.
Yırtıqlar diafrqamanın təbii və qazanılmış defektlərindən baş verə bilir, yerinə görə hiatal (sürüşgən, parazofageal, qarışıq), Morqan, Bokdalek, postravmatik ola bilir. Sürüşgən yırtıqlar istisna olmaqla bütün diafrqama yırtıqları boğulma və döşdaxili orqanları sıxma kimi ağırlaşmalar törədə bilərlər. Sürüşgən yırtıqlar üçün qıcıqrma və refluks ezofagit, digərləri üçün isə ağrı və təngənəfəslik xarakterik əlamətlərdir. Sürüşgən yırtıqların diaqnozu adətən endoskopiya ilə, digərlərininki isə rentgen və KT ilə qoyulur. Cərrahi üsul bütün yırtıqlarda əsas müalicədir, sürüşgən yırtıqlarda fundoplikasiya, digərlərində isə plastika tövsiyə edilir və bioloji yamaqlar ilk seçim sayılır.
Diafrqama relaksasiyası əzələ hissəsinin yığılabilməməsidir, andangəlmə əzələ aplasziyası və diafrqamal sinir zədələməsi nəticvəsində baş verə bilir. Klinik olaraq asimptomatik ola bilər və ya yırtıq əlamətləri ilə ortaya çıxa bilir. Diaqnozu dinamik rentgen və KT ilə dəqiqləşdirilir. Simtomatik hallarda cərrahi müalicə- plastic lazım gəlir.
Diafraqma törəmələrinin əksəriyyəti ikincilidir, birincili şişləri nadir rast gəlinir. Birincili törəmələrin əksəriyyəti xoş xassəlidir, kistlər, fibroma, lipoma, neyrofibroma, limfangioma və kistlər.r, törəmələrin təxminən yarısı sistlərdir.
Bədxassəli törəmələr arasında ən çox rast gəlinəni leyomiosarkorma, fibrosarkoma və metastatik adenokarsinomadır.
Kiçik (10 sm-dən kiçik) xoşxassəli törəmələr adətən asimptomatik olur, bəd xassəli törəmələrdə isə əsas xəstəliyin əlamətləri ön planda durur. Diaqnozu klinik və KT əlamətlərinə görə qoyulur. Müalicəsi cərrahi eksiziyadır.
Diafrqama üzrə suallar
N.Y.Bayramov, Ş.Ə.Məmmədova
|
Suallar |
Cavablar |
|
Diafraqma nədir? |
Döş və qarın boşluğu arasında əzələ-vətər araskəsməsi |
|
Funksiyası nədir? |
Arakəsmə, tənəffüs və qarındazili təzyiqi artırma |
|
Diafrqamada hansı təbii dəliklər var? |
Böyük dəliklər – ezofageal, aortal və aşağı boş vena dəlikləri Kiçik – parasternal (Morgan) və kosto-vertebral (Bokdalek) |
|
Diafrqamanın hansı yırtıqları ola bilir? |
|
|
Hiatal yırtıq nədir? |
Qida borusu dəliyindən baş verən yırtıq |
|
Hiatal yırtıqların hansı növləri var? |
Sürüşkən Paraezofageal Qarışıq |
|
Sürüşgən yırtıq nədir? |
Mədə və qastroezofageal birləşmənin ezofageal hiatusdan döş boşluğuna yırtığıdır. |
|
Rast gəlmə tezliyi nə qədərdir? |
Bütün hiatal yırtıqların 90% ni təşkil edir |
|
Simptomları hansılardır? |
Əksər hallarda asimptomatik gedir. Lakin xəstələrdə reflüks, disfagiya, ağciyər problemləri ola bilər. |
|
Diaqnoz necə qoyulur? |
Rentgenoskopiya, manometriya, endoskopiya |
|
Ağırlaşmaları hansılardır? |
|
|
Müalicəsi nədir? |
|
|
Cərrahi müalicəsi nədir? |
Laparoskopik fundoplikasiya – Toupet və ya Nissen |
|
Paraezofageal yırtıq nədir? |
Mədənin və digər orqanların ezofageal hiatusdan döş qəfəsinə keçməsidir, qastroezofageal birləşmə yerini dəyişmir. |
|
Rastgəlmə tezliyi nə qədərdir? |
Bütün hiatal yırtıqların 5%-ni təşkil edir. |
|
Hansı əlamətləri var? |
Kəskin və ya xroniki mexaniki keçməzlik, disfagiya, strangulyasiya, bəzən asimptomatik. |
|
Hansı ağırlaşmaları var? |
Qanaxma, boğulma, strangulyasiya, obstruksiya |
|
Müalicəsi nədir? |
Cərrahi |
|
Postravmatik yırtıq nədir? |
Diafrqama yralanamalarından sonra baş verən yırıtq |
|
Relaksasiya nədir? |
Diafraqamanın yığıla bilməməsi |
|
Difrqamada ən çox hansı törəmələr rast gəlinir? |
İkincili |
Ədəbiyyat
- Ağayev B.A. Cərrahi xəstəliklər. Bakı 2010.
- Blackbourne LH. Surgical Recall. 4 edition, 2006, LWW, Philadelphia
- Doherty GM. Current Diagnosis and Treatment: Surgery, 13th edition, 2010, Lang International Edition.
- Əmiraslanov Ə.T., Qazıyev A.Y. Onkologiya. Bakı, 2010.
- İsayev H.B. Cərrahi xəstəliklərin patofizologiyası. Bakı 2005
- Klingensmith ME, Aziz A, Bharat A, Fox AC, Porembka MR. The Washington Manual of Surgery, 6th edition, 2012, LWW, Philadelphia.
- Medscape, http://www.medscape.com
- Oxford Handbook of Clinical Surgery, 3d edition, 2011, Oxford Press
- Sayek İ. Sayek Temel Cerrahi 1-2. 4-cü baskı, 2016, Güneş Tıp Kitabevleri.
- Topçubaşov M.A. Xüsusi cərrahlıq. Bakı, 1979
- UpToDate, http://www.uptodate.com





