Azərbaycan Respublikası Səhiyyə Nazirliyi Elmi-Tibbi Şurasının 6 dekabr 2018 tarixli 24 saylı və Azərbaycan Respublikası Təhsil Nazirliyinin 07.02.2019 tarixli F-66 saylı qərarı ilə “070101-Müalicə işi” ixtisası üzrə dərslik kimi təsdiq edilmişdir

Divararalığı xəstəlikləri

N.Y.Bayramov, N.Xıdırova

Ədəbiyyat

  • Ağayev B.A. Cərrahi xəstəliklər. Bakı 2010.
  • Blackbourne LH. Surgical Recall. 6th edition, 2012, LWW, Philadelphia
  • Doherty GM. Current Diagnosis and Treatment: Surgery,  13th edition, 2010, Lang International Edition.
  • Əmiraslanov Ə.T., Qazıyev A.Y. Onkologiya. Bakı, 2010.
  • İsayev H.B. Cərrahi xəstəliklərin patofizologiyası. Bakı 2005
  • Klingensmith ME, Aziz A, Bharat A, Fox AC, Porembka MR. The Washington Manual of Surgery, 6th edition, 2012, LWW, Philadelphia.
  • McNally PR. GI/Liver Secrets Plus. 4th edition. Mosby, Elsevier, 2010
  • Medscape, http://www.medscape.com
  • Oxford Handbook of Clinical Surgery, 3rd edition, 2011, Oxford Press
  • Sayek İ. Sayek Temel Cerrahi 1-2. 4-cü baskı, 2016,  Güneş Tıp Kitabevleri.
  • Topçubaşov M.A. Xüsusi cərrahlıq. Bakı, 1979
  • UpToDate, http://www.uptodate.com

DİVARARALIĞI TÖRƏMƏLƏRİ

N.Y.Bayramov, N.Xıdırova

 

Rastgəlməsi

  • Bütün döş qəfəsi törəmələri arasında 20% təşkil edir.
  • xoşxassəli törəmələr – 75%
  • bədxassəli törəmələr – 25%
  • Ən çox rast gələn törəmələr:
  • ön mediastinumda – timoma, tiroid törəmələri, teratoma və limfoma
  • orta mediastinumda – limfoma və sistlər
  • arxa mediastinumda – neyrogen törəmələr.

 

Növləri

Yerləşməsinə görə

  • Ön mediastinal törəmələr
    • Timoma
    • Limfoma
    • Germ-hüceyrə törəmələri (teratoma, seminoma və s.)
    • Tiroid törəmələri
    • Paratiroid törəmələri
    • Lipoma

 

  • Orta mediastinal törəmələr
    • Lipoma
    • Miksoma
    • Bronxogen sistlər
    • Perikardial sistlər
    • Ezofageal törəmələr
    • Feoxromasitoma

 

  • Arxa mediastinal törəmələr
    • Neyrogen törəmələr
    • Feoxromasitoma

 

Histologiyasına görə

  • Timus törəmələri
  • Germ-hüceyrə törəmələri
  • Limfomalar
  • Tiroid törəmələri
  • Neyrogen törəmələr
  • Mezenximal törəmələr

Mənşəyinə görə

  • Birincili medastinal törəmələr
    • Timoma
    • Teratoma
    • Neyrogen
    • İkincili mediastinal (metastatik) törəmələr
    • Limfoma
    • Seminoma və qeyri-seminoma

 

Klinikası

Divararalığı törəmələri klinik olaraq 1/3 hallarda simptomsuz keçir və təsadüfi müayinələrdə tapılır. Xoşxassəli törəmələrin simptomsuz, bədxassəlilərin isə simptomatik  olma ehtimalı daha çoxdur.

Klinik əlamətlər divararalığı strukturlarının sıxılmasına, invaziyasına və ya sistemik əlamətlərə (metastaz, paraneoplastik sindromlar) bağlı ortaya çıxır:

  • bronxopulmonal simptomlar (50%) – öksürək, təngnəfəslik, təkrarlayan pnevmoniyalar
  • disfagiya (10%)
  • ağrı (10%)
  • arıqlama
  • invaziya əlamətləri – səsin dəyişməsi, Horner sindromu, yuxarı boş vena sindromu və s.
  • digər (miasteniya, hərarət, hormonal və s.)

 

Diaqnostika

Prinsip

Divararalığı törəmələrinin olub-olmadığını dəqiqləşdirmək üçün tomoqrafiya edilir, təbiətini dəqiqləşdirmək üçün yeri, klinik, laborator və tomoqrafik  məlumatlar nəzərə alınır, lakin histoloji müayinə həlledicidir.

Şübhə

Mediastinal törəmələrə şübhə adətən klinik əlamətlər olduqda (təngnəfəslik, öskürək, disfagiya, ağrı, yuxarı boş vena sindromu, paraneoplastik sindromlar və s.) və  rentgendə divararalığında genişlənmə göründükdə meydana çıxır.

Dəqiqləşdirmə

Törəmənin varlığını dəqiqləşdirmək üçün tomoqrafiya aparılır, təbiətini dəqiqləşdirmək üçün yeri, endokopik nəticələr və laborator göstəricilər nəzərə alınır, lakin histoloji müayinə həlledicidir.

  • KT ilkin və əksər hallarda həlledici üsuldur. MRT damara və sinirə invaziyanı daha yaxşı göstərə bilir. Diferensiasiya məqsədi ilə bronxoskopiya və ezofaqoskopiya geniş istifadə edilir.
  • Ön divarararlığında tapılan törəmələrdə limfoma, timoma, teratoma, tiroid törəmələri, orta divararalığında tapılan törəmələrdə limfomalar, arxa divararalığındakılarda isə neyrogen törəmələr ilk planda tutulur.
  • Laborator müayinələrdən alfa-fetoprotein və betta-HCG germ-hüceyrə törəmələrində, LDH limfomalarda, asetilxolin reseptor anticimləri timomalarda faydalı ola bilər.
  • Həlledici müayinə kimi biopsiya və histoloji müayinə əksər hallarda lazım gəlir. Biopsiyanı aşağıdakı üsullardan biri ilə aparmaq olar:
  • dəridən keçən (perkutan) kəsici biopsiya (aspirasyon biopsiyanın rolu azdır)
  • bronxoskopik biopsiya
  • operativ biopsiya – diaqnostik torakotomiya, torakoskopiya, mediastinoskopiya
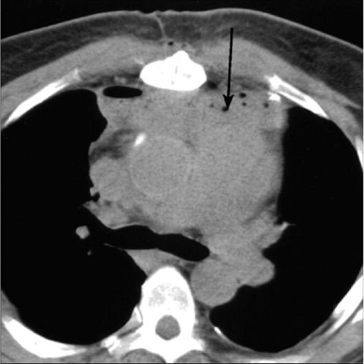
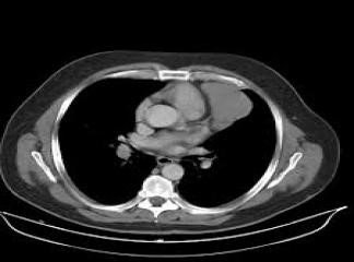
  • Klinik, laborator və tomoqrafik üsullarla törəmənin təbiəti məlum olmursa rezektabelliyə görə qərar verilir (Şəkil 20). Rezektabel törəmələrdə kütlə əməliyyatla (torakoskopik və ya açıq) çıxarılır və histoloji müayinə edilir (həm diaqnostika, həm də müalicə məsələsi həll edilir). Qeyri-rezektabel törəmələrdə isə perkutan, bronxoskopik və ya torakoskopik yolla biopsiya edilir.

 

 

Şəkil 20. Divararalığında kütlə

Müalicə

Mediastinal törəmələrin müalicəsi törəmənin təbiətinə görə dəyişir və 3 növ müalicə yanaşması tətbiq edilə bilir:

  • Cərrahi eksiziya – xoşxassəli timoma, neyrogen, sistik törəmələr, teratoma
  • Əvvəl kimyaterapiya, residiv qalarsa cərrahi rezeksiya – germ hüceyrəli törəmələr
  • Radio-kimyaterapiya – limfomalar

 

DİVARARALIĞININ ÇOX RAST GƏLİNƏN TÖRƏMƏLƏRİNİN XÜSUSİYYƏTLƏRİ

Neyrogen törəmələr

  • Divararalığının neyrogen törəmələri qabırğaarası sinirlərin və ya simpatik kələfin  sinir hüceyrələrindən və ya sinir örtüyündən inkişaf edən törəmələrdir.
  • Həm uşaqlarda, həm də böyüklərdə arxa mediastinumda ən çox rast gəlinən törəmədir.
  • Neyrogen törəmələrin əksəriyyəti sinir örtüyündən inkişaf edir (40-65%).
  • Böyüklərdə bu törəmələrin 95%-i, uşaqlarda isə 90%-i xoşxassəlidir.
  • Histoloji olaraq aşağıdakı növləri var:
    • şvannoma – qabırğaarası sinirlərin örtüyündəki Şvann hüceyrələrindən əmələ gəlir, xoş xassəlidir (Şəkil 21).
  • neyrofibroma – qabırğaarası sinirlərin örtüyündən əmələ gəlir, xoşxassəlidir.
  • neyrosarkoma – bəd xassəlidir.
  • qanqlioneyroma – simpatik kələfdən əmələ gəlir, xoşxassəlidir.
  • neyroblastoma – simpatik kələfdən inkişaf edir, bədxassəlidir.
  • Diaqnozu əksər hallarda biopiya ilə dəqiqləşdirilir.
  • Müalicəsi cərrahi eksiziyadan ibarətdir.

 

Sistik törəmələr

  • Divararalığındakı sistik törəmələr aşağdakı orqanlardan inkişaf edə bilər:
  • perikard
  • bronx
  • qida borusu
  • timus
  • Divararalığı sistlərinin əksəriyyəti xarakterik olaraq orta divararalığında yerləşir.
  • Perikardial sistlər mezotelial sist də adlanır, əksəriyyəti kardio-frenik bucaqda yerləşirlər, bəzilərinin divertikulda olduğu kimi perikard boşluğu ilə əlaqəsi olur.
  • Bronxial sistlərin əksəriyyəti bronxətrafı sahədə yerləşir, divarında bronxial epitel və tərkibində bəzən qığırdaq görünür (Şəkil 22).
  • Ezofageal sistlər enterik sist, alimentar duplikasiya da adlanır, divarında yastı epitel, mədə epiteli görünür və əksəriyyəti ezofaqusətrafı sahədə yerləşirlər. Bu sistlər adətən anadangəlmə anomaliyalarla birlikdə çox rast gəlinir.
  • Sistlərin 10% hallarda mənşəyini təyin etmək mümkün olmur.
  • Divararalığı sistlərinin əksəriyyəti xoşxassəldirlər.
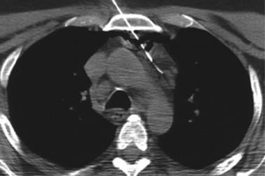
  • Bronxial və enterik sistlərin diaqnozu adətən çıxarıldıqdan sonra dəqiqləşir. Perikardial sistlərin diaqnozu görüntüləmə ilə dəqiqləşdirilə bilir (Şəkil 23), lakin diferensiasiya çətinliyi və simptomatik olanlarda cərrahi eksiziya lazım gəlir.

 

 

 

 

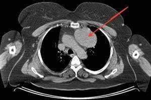
Şəkil 21. KT. Şvannoma. Sol  parakardial sahədə dəqiq kənarlı, homogen törəmə

Şəkil 22. KT. Bronxial sist

Şəkil 23. KT. Perikardial sist


Germ-hüceyrə törəmələri (teratoma, seminoma, qeyri-seminoma)

  • Germ-hüceyrə törəmələri, embrional pluripotent hüceyrələrdən inkişaf etdikləri üçün tərkibində ektodermal, endodermal və mezodermal tərkibli toxumalar ola bilər.
  • Germ hüceyrə törəmələri gedişinə görə iki qrupa ayrılır:
  • xoşxassəli – teratoma və dermoid kist (20-30%)
  • bəd xassəli – seminoma (40%) və qeyri-seminoma (40%).
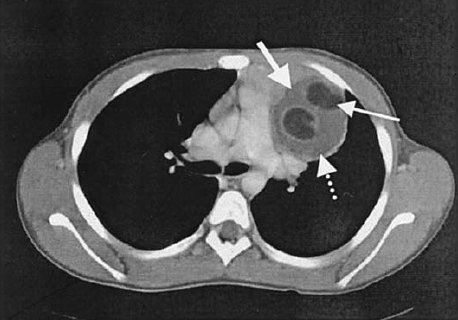
  • Teratomalar həm qadınlarda, həm də kişilərdə eyni tezlikdə rast gəlinir, əksəriyyəti ön divarararlığında yerləşir və tərkibində ektodermal mənşəli toxumalar (diş, saç və sümük) rastlanır. Xoşxassəli gedişə malikdirlər, adətən AFP və betta-HCG artmır. Diaqnozunu KT ilə dəqiqləşdirmək mümkün olur (diş, kalsifikasiya). Malign potensialını nəzərə alaraq total cərrahi çıxarma tövsiyə edilir (Şəkil 24a,b,c).
  • Seminoma və qeyri-seminomaların əksəriyyəti kişilərdə rast gəlinir və metastatik xarakterli olur. Ona görə də bunlara şübhə olduqda xayaları və retroperitonu da yoxlamaq lazımdır.
  • Qeyri-seminomlara sarı cisim karsinoması, embrional hüceyrə karsinoması və xorionokarsinoma aid edilir.
  • Seminomalarda adətən AFP və betta-HCG artmır, lakin qeyri-seminomlarda artır.
  • Seminomalarda əvvəl kimyaterapiya aparılır, rezidual törəmə qalarsa cərrahi rezeksiya tətbiq edilir.
  • Qeyri-seminomlarda da əvvəl kimyaterapiya aparılır. Müalicədən sonra rezidual törəmə varsa və şiş markerləri normallaşıbsa cərrahi rezeksiya edilir, markerlər normallaşmayıbsa  təkrari kimyaterapiya  aparılır.

 

Şəkil 24. Teratoma. A - KT görüntüsü

B - makropreparat

C - tərkibində ektodermal  toxumalar

 

Limfoma

  • Mediastinumda tapılan limfomaların əksəriyyəti ön mediastinumda yerləşir, əksəriyyəti metastatik xarakterlidir.
  • Mediastinumda ən çox Hodgkin və mediastinal B-hüceyrə limfomasına rast gəlinir. 
  • Limfomalar adətən ümumi əlamətlərlə biruzə verir (hərarət, arıqlama, gecə tərləmələri), bəzən lokal əlamətlər də ortaya çıxır (öksürək, xırıltı, təngnəfəslik, yuxarı boş vena sindromu,  disfagiya, və s.).
  • Diaqnozu dəqiqləşdirmək üçün biopsiya vacibdir.
  • Limfomaların müalicəsində kimya və radioterapiya istifadə edilir.

 

TİMUS TÖRƏMƏLƏRİ

Ön divararalığında rast gəlinən törəmələrin əksəriyyətini (təxminən yarısını) timus törəmələri təşkil edir, ikinci yerdə limfomalar durur. Timusda bir çox neoplastik törəmələrə rast gəlinir ki, bunlara timoma, timus karsinoması, limfoma, Hodgkin qranulomasını aid etmək olar. Bu törəmələr arasında ən çox rast gəlinəni timomadır.

Timoma

Timoma ən çox rast gələn timus törəməsidir və histoloji olaraq limfositik (25%), epitelial (25%), limfoepitelial (50%) formaları var (Şəkil 25).

 

Şəkil 25. Timus

Gedişi

Timomaların əksəriyyəti xoşxassəlidir, az hissəsi isə bəd xassəlidir. Kapsulyar invaziya bədxassəli timomaların xarakterik histoloji əlamətidir. Xəstələrin təxminən yarısında paraneoplastik sindroma rast gəlinir: miasteniya gravis, hipoqammaqlobulinemiya, aplastik anemiya, multiorqan autoimmun vəziyyət. Müalicədən sonra xoşxassəli timomada 10 illik yaşam – 75-100%, bədxassəlidə 25% təşkil edir.

Klinikası

Timomalar 3 klinik formada təzahür edə bilərlər:

  • Asimptomatik
  • Yerli əlamətlər (öskürək, disfagiya, yuxarı boş vena sindromu, ağrı və s.)
  • Paraneoplastik sindrom – miasteniya gravis (30%), anemiya, immunodefisit, autoimmun vəziyyət

Diaqnostikası

Timomalar təsadüfi müayinələrdə tapıla bilərlər və ya döş qəfəsi əlamətləri (öksürək, təngnəfəslik, yuxarı boş vena sindromu və s.) və paraneoplastik əlamətləri (əzələ zəifliyi, təkrarlayan infeksiyalar, anemiya, diareya və enzim yüksəkliyi) olanlarda şübhələnilə bilər.

Timusda kütlənin olub olmadaığını dəqiqləşdirmək üçün KT və ya MRT lazımdır (Şəkil 26,27).

Diaqnozu dəqiqləşdimək üçün ön divarararlığında rast gəlinən törəmələrdən (limfoma, germ hüceyrəli törəmələr, tiroid törəmələri) diferensiasiya etmək lazım gəlir. Bunun üçün klinik, laborator (tiroid hormonları, AFP, betta-HCG,LDH)  və görüntüləmə nəticələri nəzərə alınır.

Tiroid hormon müayinələri (TSH, sərbəst T3 və  T4) qalxanvari vəzidən fərqləndirmədə faydalı ola bilir.

Görüntüləmədə kalsifikasiya və digər ektodermal görüntülər teratomalar üçün xarakteridir. AFP və betta-HCG artması qeyri-seminoma germ hüceyrəli törəmələr üçün xarakterikdir. Seminomalar və qeyri-seminomalar üçün xayalarda və retroperitonda törəmələr rast gəlinir.

Ən çox diaqnostik çətinlik limfomalarla diferensasiyada rast gəlinir.

Klinik, laborator və görüntüləmə ilə diferenasiya mümkün olmursa biopsiya üçün  törəmənin rezektabelliyinə əsaslanan üsul seçilir. Rezektabel törəmələr rezeksiya edilir, qeyri-rezektabel törəmələrdə isə biopsiya yerinə yetirilir.

Timus karsinoması ilə timomanı fərqləndirmək üçün histoloji müayinəyə ehtiyac var.

 

 

 

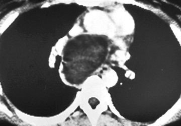
Şəkil 26. KT. Timoma

Şəkil 27. KT. Timoma

 

Müalicəsi

Timomalarda və timus karsinomalarında kombinasiyon müalicə tətbiq edilir: timektomiya və kimyaradioterapiya.

Müalicə yanaşması mərhələsinə əsaslanır. Rezektabel vaziyyətlərdə əvvəl əməliyyat sonra göstərişə görə kimyaterapiya verilir. Qeyri-rezektabel vəziyyətlərdə isə əvvəl kimyaterapiya edilərək törəmə rezektabel vəziyyətə gətirilir və əməliyyat edilir. Metastatik hallarda isə kimyaterapiya tətbiq edilir.

 

Miasteniya gravis

Tərifi

Misateniya qravis iradi əzələlərdə neyromuskulyar zəifliklə xarakterizə olunan xəstəlikdir və adətən asetilxolin reseptorlarının azalması və reseptorlara qarşı anticisimlərlə əlaqədar baş verir.

Etiopatogenezi

Neyromuskulyar sinapsda asetilxolin reseptorlarının azalması və asetilxolin reseptorlarına qarşı anticisimlər sinapsda siqnal ötürücülüyünü kəskin azaldır və əzələ zəifliyi baş verir.

Timus və miasteniya gravis arasında əlaqə

  • Miasteniya qravis timomalarda rast gəlinən paraneoplastik sindromlardan biridir (digərləri hioqammaqlomulinemiya, anemiya və multiorqan autoimmun xəstəliklərdir).
  • Timomalarda miasteniya 50% rast gəlir, miasteniya gravisdə 85% halda timusda dəyişiklik (70% germinal mərkəz formasiyası, 15% hallarda timoma) tapılır. Timus karsinomalarında miasteniya nadir rast gəlinir.
  • Timektomiya 80% halda miasteniyanı yaxşılaşdırır.
  • Timoma olmayan halda timektomiya edilərsə miasteniyanın proqnozu daha yaxşıdır.

Gedişi

  • Müalicə olunmayan hallarda – hərəkət və tənəffüs zəifliyi, pulmonar ağırlaşmalar, asfiksiya
  • Xolinoblokatorlar və relaksantlar – əks göstəriş hesab olunur

Klinikası

Əzələ zəifliyi əlamətləri ilə biruzə verir: diplopiya, ptoz,  disfaqiya, mimikanın pozulması, yorğunluq (Şəkil 28,29).

 

 

 

Şəkil 28. Miasteniya qravis. İki tərəfli ptoz, hipomimiya

Şəkil 29. Miasteniya qravis mimikası

 

Diaqnostikası

Əzələ zəifliyi, xüsusən ptoz və diplopiya (televizora baxarkən tez yorulma) xəstəliyə şübhə yaradan önəmli əlamətlərdir. Əzələ gücü testləri, xüsusən də anti-asetilxolin anticisimləri (90%) diaqnozu dəqiqləşdirir. Timusda törəmə tapılması (15%) timoma mənşəli olduğunu göstərən önəmli əlamətlərdir.

Müalicəsi

Müalicəsində konservativ və cərrahi üsullar tətbiq edilir:

  • Cərrahi müalicə (timektomiya)  ən effektiv müalicədir və xəstəliyi 80% yaxşılaşdırır.
  • Konservativ müalicələr (kortikosteroid, xolinesteraza inhibitorları, plazmoferez) preoperativ hazırldıqda köməkçi vasitə kimi, əməliyyat oluna bilməyənlərdə isə daimi müalicə kimi tətbiq edilir.

 

Özət

Divararalığı törəmələri nisbətən az rast gəlinən patologiyalardır, histoloji, yerləşmə və klinik xüsusiyyətlərinə görə müxtəlif növləri var. Əksəriyyəti xoşxassəlidir, ön mediastinumda - timoma, tiroid, teratoma və limfoma, orta mediastinumda limfoma və sistlər, arxa mediastinumda isə neyrogen törəmələr çox rast gəlinir. Bu törəmələr klinik olaraq 1/3 hallarda simptomsuz keçir və təsadüfi müayinələrdə tapılır, xoşxassəli törəmələrin simptomsuz, bədxassəlilərin isə simptomatik  olma ehtimalı daha çoxdur. Törəmələrinin olub-olmadığını dəqiqləşdirmək üçün tomoqrafiya edilir, təbiətini dəqiqləşdirmək üçün yeri, klinik, laborator və tomoqrafik  məlumatlar nəzərə alınır, lakin histoloji müayinə həlledicidir. Müalicəsi üçün törəmənin təbiətindən asılı olaraq cərrahi, kimyaterapiya, radioterapiya üsulu seçilir.

  • Divararalığının neyrogen törəmələri qabırğaarası sinirlərin və ya simpatik kələfin  sinir hüceyrələrindən və ya sinir örtüyündən inkişaf edən törəmələrdir, əksəriyyəti xoşxassəlidir, müalicəsi üçün cərrahi rezeksiya tətbiq edilə bilir.
  • Sistik törəmələr perikarddan, bronxdan, qida borusundan, timusdan inkişaf edə bilir, əksəriyyəti xoş xassəlidir, simptomatik formalarda cərrahi rezeksiya lazım gəlir.
  • Germ-hüceyrə törəmələri (teratoma, seminoma, qeyri-seminoma), embrional pluripotent hüceyrələrdən inkişaf etdikləri üçün tərkibində ektodermal, endodermal və mezodermal tərkibli toxumaları ola bilər təxminən yarısı bədxassəlidir. Teratomalarda cərrahi eksiziya, seminoma və qeyr-seminomalarda əvvəl kimyaterapiya edilir, rezidual törəmə qalarsa və ya markerlərlər normallaşmazsa cərrahi rezeksiya edilir.
  • Limfomaların əksəriyyəti ön mediastinumda yerləşir, əksəriyyəti metastatik xarakterlidir, ən çox  Hodgkin və mediastinal B-hüceyrə limfomasına rast gəlinir. Müalicəsi üçün kimya və radioterapiya istifadə edilir.
  • Timoma ən çox rast gələn timus törəməsidir və histoloji olaraq limfositik, epitelial, limfoepitelial (50%) formaları var, əksəriyyəti xoşxassəlidir, az hissəsi isə bədxassəlidir. Xəstələrin təxminən yarısında paraneoplastik sindroma rast gəlinir: miasteniya gravis, hipoqammaqlobulinemiya, aplastik anemiya, multiorqan autoimmun vəziyyət. Timoma asimptomatik ola bilir, yerli əlamətlərlə (öskürək, disfagiya, yuxarı boş vena sindromu, ağrı və s.) və xəstələrin təxminən yarısında paraneoplastik sindromlarla biruzə verə bilir (miasteniya gravis, hipoqammaqlobulinemiya, aplastik anemiya, multiorqan autoimmun vəziyyət və s). Diaqnozu dəqiqləşdimək üçün ön divarararlığında rast gəlinən törəmələrdən (limfoma, germ hüceyrəli törəmələr, tiroid törəmələri) diferenasiya etmək lazım gəlir. Bunun üçün klinik, laborator tiroid hormonları, AFP, betta-HCG,LDH)  və görüntüləmə nəticələri nəzərə alınır. Bu müayinələrlə  diferenasiya mümkün olmursa biopsiya üçün  törəmənin rezektabelliyinə əsaslanan üsul seçilir: rezektabel törəmələr rezeksiya edilir, qeyri-rezektabel törəmələrdə isə biopsiya yerinə yetirilir. Müalicəsi üçün kombinasiyon müalicə tətbiq edilir: timektomiya və kimyaradioterapiya.
  • Miasteniya gravis iradi əzələlərdə neyromuskulyar zəifliklə xarakterizə olunan xəstəlikdir və adətən asetilxolin reseptorlarının azalması və reseptorlara qarşı anticisimlərlə əlaqədar baş verir. Bu xəstəlik timusla çox əlaqəlidir: timomalarda miasteniya 50% rast gəlir, miasteniya gravisdə 85% halda timusda dəyişiklik tapılır, timektomiya 80% halda miasteniyanı yaxşılaşdırır. Əzələ zəifliyi əlamətləri ilə biruzə verir: diplopiya, ptoz,  disfagiya, mimikanın pozulması, yorğunluq. Anti-asetilxolin anticisimləri (90%) diaqnozu dəqiqləşdirir. Cərrahi  müalicə (timektomiya)  ən effektiv müalicədir və xəstəliyi 80% yaxşılaşdırır, konservativ müalicələr (kortikosteroid, xolinesteraza inhibitorları, plazmoferez) preoperativ hazırldıqda köməkçi vasitə kimi, əməliyyat oluna bilməyənlərdə isə daimi müalicə kimi tətbiq edilir.

 

Divararalığı törəmələri üzrə suallar

N.Y.Bayramov, F.A.Qəhrəmanova

 

Suallar

Cavablar

Neyrogen törəmələr nədir?

Qabırğaarası sinirlərin  və ya simpatik kələfin  sinir hüceyrələrindən və ya sinir örtüyündən inkişaf edən törəmələr

Rastgəlmə tezliyi nə qədərdir?

Arxa mediastinumda ən çox rast gəlinən törəmə

Hansı formaları var? (histoloji olaraq)

Şvannoma, neyrofibroma, neyrosarkoma, qanqlioneyroma, neyroblastoma 

Dəqiqləşdimək  üçün hansı müayinələr lazımdır?

Biopiya

Müalicə üsulları hansılardır?

Cərrahi eksiziya

Limfomalar divararalığının daha çox hansı hissəsində yerləşir?

Adətən anterosuperior

Rastgəlmə tezliyi nə qədərdir?

Bütün limfomaların təxminən 50%-i

Klinik əlamətləri hansılardır?

­Ümumi – hərarət, arıqlama, gecə tərləmələri

Lokal – öskürək, xırıltı, təngnəfəslik, yuxarı boş vena sindromu,  disfagiya

Dəqiqləşdimək  üçün hansı müayinələr lazımdır?

Rentgen, KT, mediastinoskopiya və ya mediastinotomiya – biopsiya ilə

Müalicə üsulları hansılardır?

Kimya və radioterapiya

Timoma nədir?

Ən çox rast gələn timus törəməsidir.

Gediş xüsusiyyəti necədir?

Əksəriyyəti xoşxassəli, az hissəsi isə bədxassəli

Klinik əlamətləri hansılardır?

Asimptomatik

Yerli əlamətlər – öskürək, disfagiya, YBS, ağrı və s.

Paraneoplastik sindrom – Miasteniya gravis (30%), anemiya, immunodefisit, autoimmun  vəziyyət

Dəqiqləşdimək  üçün hansı müayinələr lazımdır?

KT və ya MRT, biopsiya

Müalicə üsulları hansılardır?

Timektomiya və kimyaradioterapiya

Əməliyyata göstərişlər nələrdir?

Rezektabel törəmələr

Əməliyyatdan sonra radioterapiyaya göstəriş nədir?

İnvaziv bəsxassəli törəmələr

Əməliyyatdan əvvəl kimyaterpiyaya göstəriş nədir?

6 sm-dən böyük və KT-də invaziya görünən törəmələr

 

Test sualları

  1. Miasteniya gravis diaqnozu məlum olan xəstə kortikosteroid və antixolinesteraz müalicəsi alır, vəziyyəti stabildir. Tomoqrafik müayinədə timusda törəmə tapılmayıb. Bu xəstəyə aşağıdakıların hansını tövsiyə edərsiniz?
    1. Konservativ müalicəyə davam etmək
    2. Kortikosteroidi kəsmək
    3. Plazmoferez əlavə etmək
    4. Cərrahi müalicə
    5. Antixolixolinesteraza inhibitorlarını kəsmək

 

  1. Divararalığının hansı törəməsində cərrahi rezeksiya yetərlidir və əməliyyatdan əvvəl və sonra kimya-radioterapiyaya ehtiyac yoxdur?
    1. Teratoma
    2. Seminoma
    3. Neyroblastoma
    4. Bədxassəli timoma
    5. Timus karsinoması

 

  1. Divararalığında ən çox rast gələn törəmə aşağıdakılardan hansıdır?
    1. Limfoma
    2. Timoma
    3. Neyrogen törəmə
    4. Germ-hüceyrəli törəmələr
    5. Feoxromasitoma

 

  1. Divararalığı törəmələrindən hansının diaqnostikasında laborator müayinənin rolu yoxdur?
    1. Timoma
    2. Qeyri-seminoma
    3. Limfoma
    4. Feoxromasitoma
    5. Lipoma

 

  1. Diavraralığının hansı törəməsi əsasən konservativ yolla müalicə olunur?
    1. Neyrogen törəmə
    2. Timoma
    3. Feoxromasitoma
    4. Limfoma
    5. Sistlər

 

  1. Kəskin mediastinit haqqında hansı ifadə doğru deyil?
    1. Müalicə olunmazsa letallığı çox yüksəkdir
    2. Diaqnostikasında KT önəmlidir
    3. Diaqnozunu dəqiqləşdirmək üçün punksiya mütləq aparılmalıdır
    4. Drenaj, antibiotik və dəstək müalicələri vacibdir
    5. Plevrit və ya pnevmotoraks varsa əməliyyatdan əvvəl drenaj edilməlidir

 

  1. Mediastinal törəmələrin diaqnostikası ilə əlaqədar hansı ifadə doğru deyil?
    1. Mediastinal törəmələrin əksəriyyəti simptom törətmir
    2. Diaqnostikada törəmənin yerləşmə yerinin də rolu var
    3. Bəzi divararalığı törəmələrində şiş markerləri yüksələr
    4. Mediastinal törəmələrin diaqnostikasında biopsiya çox vacibdir
    5. Biopsiya üçün çox hallarda əməliyyata ehtiyac olur

 

  1. Yuxarı boş vena sindromu haqqında hansı ifadə doğrudur?
    1. Əksəriyyətini xoş xassəli törəmələr törədir
    2. Əksər hallarda beyində ödem olmur
    3. Diaqnostikasında birbaşa kontrast venoqrafiya vacibdir
    4. Antikoaqulyantlar mütləq istifadə olunmalıdır
    5. Qida borusu varikozu və qanaxma ola bilər

 

 
 
 
 

YUXARI BOŞ VENA SİNDROMU

N.Y.Bayramov, N.Xıdırova

 

Tərifi

Yuxarı boş vena sindromu dedikdə  yuxarı boş venada baş verən durğunluğun törətdiyi simptomokompleks nəzərdə tutulur.

 

Təsnifatı

Səbəbinə görə

  • Bədxassəli
  • Xoşxassəli

Mexanizminə görə

  • Sıxılma
  • İnvaziya
  • Tromboz

Gedişinə görə

  • Kəskin
  • Xroniki
  • Ağırlaşma

Klinikasına görə

  • Asimptomatik
  • Simptomatik: kəskin, xroniki

 

Səbəbləri

Yuxarı boş vena sindromunu çoxsaylı səbəblər törədə bilir ki, bunları aşağıdakı qruplarda cəmləşdirmək olar:

  • bədxassəli törəmələr (60-80%) – ağciyər xərçəngi, timoma, limfoma, metastatik törəmələr
  • xoşxassəli törəmələr – retrosternal ur, atrial miksoma, xoşxassəli divararalığı törəmələri
  • tromboz – trombofiliya, mediastinal infeksiya, kateter
  • travmalar – hematoma
  • xroniki mediastinit – fibroz, qranulomatoz

Bu səbəblər arasında ilk yeri bəd xassəli törəmələr (xüsusən ağciyər xərçəngi), ikinci yeri isə tromboz (müdaxilələrə bağlı) tutur.

 

Patogenezi

Etioloji amillər venoz durğunluğu aşağıdakı üç yoldan biri və ya bir neçəsi ilə törədə bilir:

  • sıxılma – törəmələr, fibroz, hematoma
  • invaziya
  • tromboz (birincili və durğunluğa bağlı ikincili)

Venoz durğunluq və hipertenziya bir tərəfdən başda və yuxarı ətraflarda  ödemə və venoz işemiyaya, digər tərəfdən isə kollateralların meydana gəlməsinə səbəb olur (Şəkil 16).

Qanı yuxarı boş venadan sağ qulaqcığa daşımaq üçün alternativ yollar kimi meydana gələn kollaterallara aziqos, daxili mammar, lateral torasik, paraspinal, qida borusu venalarını göstərmək olar. Kollaterallar yuxarı boş venada durğunlluğu və təzyiqi azaltsa da heç vaxt normal səviyyəyə endirə bilmirlər, ona görə həmişə durğunluq qeyd edilir.

Venoz durğunluq ilkin olaraq selikli qişalarda (qırtlaq və udlaqda, burunda) və beyində, sonra isə  üz, boyun və ətraflarda ödemlərlə ortaya çıxır.

 

Gedişi və ağırlaşmaları

YBV sindromunun meydana gəlməsinin  və gedişinin səbəbindən və tıxanma sürətindən asılı olaraq kəskin və xroniki formaları ola bilər:

  • Kəskin gediş sürətli tıxanmalarda rast gəlinir (birincili və ya ikincili trombozlar – mövcud hissəvi tıxanma fonunda olan trombozlar, təkrari trombozlar, surətlə inkişaf törəmələr, travma, hematoma və s.). Bu formada kollateralların inkişafı üçün yetərli vaxt olmadığı üçün venoz təzyiq yüksək olur və kəskin ödem əlamətləri və ağırlaşmalar ortaya çıxır: beyin ödemi, udlaq-qırtlaq ödemi, tənəffüs pozulması, hətta qanaxma.
  • Xroniki gediş adətən yavaş inkişaf edən daralmalarda təsadüf edir (xoş xassəli törəmələr, mediastinal fibroz və s.). Bu halda durğunluq zəif inkişaf edir, kollaterallar yetərli olur və təzyiqi kompensasiya edə bildikləri üçün durğunluq əlamətləri  tədricən ortaya çıxır.

Ağırlaşmaları

  • Beyin ödemi, koma
  • Udlaq-qırtlaq ödemi – asfiksiya, tənəffüs yetməzliyi, qanaxma
  • Yuxarı ətraflarda ödem

 

Klinikası

Klinik olaraq YBV sindromu durğunluq əlamətləri ilə biruzə verir və üç formada ortaya çıxa bilir:

  • asimptomatik
  • kəskin simptomatik
  • xroniki simptomatik
  • Asimptomatik forma adətən zəif inkişaf edən, hissəvi və ya kollateralların hesabına kompensasiya baş verən hallarda müşahidə edilir. Bu halda venoz durğunluq əlamətləri görüntüləmə müayinələrində ortaya çıxır, klinik əlamətsiz keçir və ya zəif biruzə verir.
  • Kəskin formada udlaq-qırtlaq, beyin, baş-boyun və yuxarı ətraflarda kəskin ödem əlamətləri, hətta ağırlaşmalar meydana gəlir:
  • beyin ödemi əlamətləri – baş ağrısı, bulantı, qusma, görmə pozulması, yuxululuq, hətta koma
  • udlaq-qırtlaq ödemi – xırıltılar, disfagiya, asfiksiya, təngnəfəslik
  • qida borusu əlamətləri – disfagiya, qanaxma
  • üz, boyun və ətraf simptomları – ödem, venoz genişlənmə, pulsasiyanın itməsi,  sianoz
  • plevra əlamətləri – hidrotoraks
  • əlamətlərin uzananda artması
  • Xroniki formada müəyyən dərəcədə yuxarı venoz hövzə durğunluğu əlamətləri ilə yanaşı kollateral damar genişlənmələri müşahidə edilir.

 

Diaqnostikası

Şübhə

YBV sindomuna şübhə əlamətlərinə aşağıdakıları aid etmək olar:

  • durğunluq əlamətləri: baş-boyun, yuxarı ətraflarda ödem, sianoz, xırıltı, səsli tənəffüs, boğulma əlamətləri, təngnəfəslik, beyin ödemi əlamətləri (baş ağrısı, bulantı-qusma, koma), disfagiya və s.
  • genişlənmiş venoz damarlar – klinik olaraq və ya görüntüləmədə boyunda, döş qəfəsində
  • venoz hipertenziya – venoz təzyiqin 350 mm su st-dan yüksək olması

Dəqiqləşdirmə

YBV sindromunu dəqiqləşdirmək üçün boş venanın tıxanmasını təsdiq etmək lazımdır ki, bu da adətən angioqrafiya ilə mümkün olur. KT angioqrafiya ilk seçimdir (Şəkil 17) və həm tıxanmanı, həm də yerini və səbəbini dəqiqləşdirə bilir.

Diaqnostik əlamətləri:

  • Asimptomatik və ya klinik olaraq yuxarı boş vena hövzəsində durğunluq, venoz genişlənmə və ya hipertenziya əlamətləri
  • KT angioqrafiyada yuxarı boş venada tıxanma (tromboz, invaziya, sıxılma)

 

 

 

Şəkil 16. Boyun venalarında durğunluq

Şəkil 17. KT. Yuxarı boş vena sindromu

 

Diferensial diaqnoz

YBV sindromunu aşağıdakı xəstəliklərdən diferensiasiya etmək lazım gəlir və KT-də venoz tıxanmanın görünməsi diferensiasiyada ən önəmli əlamətdir.

  • angionevrotik ödem
  • ürək yetməzliyi
  • konstruktiv perikardit
  • digər

Səbəbin təyini

YBV sindromu təyin edildikdən sonra vacib məsələ səbəbin təyinidir. Əksər hallarda anamnez və KT səbəbi müəyyənləşdirməyə imkan verir (kateter, travma, tromboz, törəmə və s.). Lakin mediastinal törəmə tapıldıqda  onun təbiətini müəyyənləşdirmək üçün biopsiya lazım gələ bilər. Əvvəllər kəskin formalı YBV sindromunda diaqnozu dəqiqləşdirmə müddətində sıxılmanı azaltmaq və vəziyyəti yüngülləşdirmək üçün təcili olaraq radioterapiya aparılırdı. Lakin radioterapiya histologiyanı dəyişdirir. Ona görə də hazırda kəskin durğunluğu azaltmaq üçün venoz stentlərdən istifadə edilir (Şəkil 18).

 

Müalicəsi

Prinsipi

Kəskin və həyati təhlükəli əlamətlər olduqda təcili olaraq venoz stent yerləşdirərək təzyiqi azaltmaq və sonra səbəbə yönəlmiş diaqnostik və müalicə işləmlərini həyata keçirmək.

Müalicə tədbirləri

YBV sindromunda müalicə tədbirləri aşağıdakılardır:

  • Səbəbin aradan qaldırılması – törəməni çıxarma, radioterapiya, kimyaterapiya, trombozlarda antikoaqulyant və s.
  • Venoz axını bərpa etmə – stentlər, fibrinolitik, yan yol
  • Venoz ödemi azaltma – diuretik, kortikosteroid, su-duz qəbulunun azaldılması, yuxarı venalara infuziya edilməməsi, baş tərəfi qaldırma

 

   

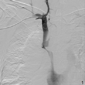
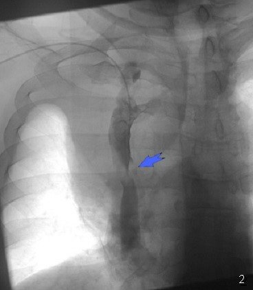
Şəkil 18. Kavaqrafiya.  YBV-ya stentin qoyulması (1-2)

 

Müalicə taktikası

  • YBV sindromunda müalicə səbəbdən və klinik formadan asılı olaraq seçilir (Şəkil 19). Həyati təhlükə əlamətləri olan kəskin formalarda ilk olaraq venoz durğunluğu azaltmaq üçün venoz stent qoyulur və sonra səbəbi axtarılır və uyğun etiotrop müalicələr aparılır.
  • Kimyaterapiyaya həssas törəmələrdə (limfoma, timoma, kiçik hüceyrəli ağciyər xərçəngi və s.) kimyaterapiya tətbiq edilir.
  • Digər törəmələrdə cərrahi rezeksiya ilk planda tutulur. Təəssüf ki, əksər hallarda törəmələri çıxartmaq mümkün olmur.
  • Trombozlarda antikoaqulyant və fibrinolitik müalicələr tətbiq edilir. Lakin antikoaqulyantlar beyin metastazları və qanaxmalarda əks göstərişdir.
  • Mediastinal fibrozda stend və ya yan yollar tətbiq edilə bilər.
  • Səbəbi aradan qaldırmaq mümkün olmadıqda ödeməlehinə müalicə və stent tətbiq edilir.

 

 

Şəkil 19. Yuxarı boş vena sindromunda müalicə taktikası

 

Profilaktika

  • Törəmələrin erkən diaqnostikası və müalicəsi
  • Venoz kateterlərin az istifadəsi

 

Özət

Yuxarı boş vena sindromu dedikdə  yuxarı boş venada baş verən durğunluğun törətdiyi simptomokompleks nəzərdə tutulur. Yenitörəmələr, tromboz ən çox rast gəlinən, travma və xroniki mediastinit isə az rast gəlinən səbəbləridir. Sindrom üç klinik formada ortaya çıxa bilir: asimptomatik, kəskin və xroniki durğunluq əlamətləri ilə (beyin durğunluğu, udlaq-qırtlaq ödemi, disfagiya, üzdə və boyunda ödem, sianoz, venoz genişlənmə və s.). Diaqnozu dəqiqləşdimək üçün KT-angioqrafiya lazım gəlir. Həyatı təhlükə əlamətləri olan kəskin formalarda əvvəlcə venoz durğunluğu azaltmaq üçün venoz stent qoyulur, sonra səbəbi axtarılır və uyğun etiotrop müalicələr aparılır.

 

Yuxarı boş vena üzrə suallar

N.Y.Bayramov, F.A.Qəhrəmanova

 

Suallar

Cavablar

Yuxarı boş vena sindromu nədir?

Yuxarı boş venada baş verən durğunluğun törətdiyi simptomokompleks

Hansı klinik formaları var?

Asimptomatik

Simptomatik: kəskin, xroniki

Səbəbi  və ya risk faktorları nələrdir?

Bədxassəli törəmələr (60-80%), xoşxassəli törəmələr, tromboz, travmalar, xroniki mediastinit

Patogenezi nədən ibarətdir?

Venoz durğunluq və hipertenziya → ödem, venoz işemiya

Gediş xüsusiyyəti necədir?

Kəskin və xroniki gedişli

Ağırlaşmaları nələrdir?

Beyin ödemi, koma

Udlaq-qırtlaq ödemi – asfiksiya, tənəffüs yetməzliyi, qanaxma

Yuxarı ətraflarda ödem

Klinik əlamətləri hansılardır?

Beyin ödemi əlamətləri  – baş ağrısı, bulantı, qusma, görmə pozulması, yuxululuq, hətta koma

Udlaq-qırtlaq ödemi – xırıltılar, disfagiya, asfiksiya, təngnəfəslik

Qida borusu əlamətləri – disfagiya, qanaxma, üz,  boyun və ətraf simptomları – ödem, venoz genişlənmə, pulsasiyanın itməsi,  sianoz

Plevra əlamətləri – hidrotoraks

Hansı xəstələrdə şübhələnmək lazımdır?

Durğunluq əlamətləri, genişlənmiş venoz damarlar, venoz hipertenziya  olanlarda

Dəqiqləşdimək  üçün hansı müayinələr lazımdır?

KT angioqrafiya

Laborator əlamətləri nələrdir?

Spesifik əlamətləri yoxdur

Görüntüləmə əlamətləri nələrdir?

Yuxarı boş venada tıxanma (tromboz, invaziya, sıxılma)

Diaqnostik kriteriyalarını sadala?

Asimptomatik və ya simptomatik durğunluq

Angioqrafiyada damarda daralma

Müalicə üsulları hansılardır?

Səbəbin aradan qaldırılması, venoz axını bərpa etmə, venoz ödemi azaltma

Əməliyyata göstərişlər nələrdir?

Rezektabel törəmələr

Əməliyyat üsulları hansılardır?

Rezeksiya

Proqnozu nədir?

Əsas xəstəliyin proqnozundan asılıdır

 

Proqnoz

YBV sindromunun proqnozu daha çox əsas xəstəliyin proqnozundan asılıdır. Aşağı boş vena sindromunun özünə bağlı ölüm halları çox azdır (1-2%)

XRONİK MEDİASTİNİT

N.Y.Bayramov, N.Xıdırova

 

Tərifi

Xroniki mediastinit divararalığında qranulomatoz iltihab və fibroz toxumanın inkişafı ilə xarakterizə olunan xəstəlikdir, divararalığı orqanlarının sıxılması ilə nəticələnə bilir. Az rast gəlinən və bəzən proqressiv xarakter daşıyan bu xəstəlik fibroz mediastinit də adlanır.

 

Təsnifatı

Səbəbinə görə

  • Histoplazmoz
  • Vərəm
  • İdiopatik
  • Digər

Morfologiyasına görə (mərhələsinə görə)

  • Qranuloma
  • Fibroz

Klinikasına görə

  • Asimptomatik
  • Simptomatik

 

Etiologiyası

Xroniki mediastinitə səbəb olan amillər adətən mediastinal limfadenopatiya törədən infeksiyalar və iltihabı xəstəlikərdir. Xroniki mediastinitin ən çox rast gəlinən səbəbi Histoplazmosis hesab edilir (təxminən 60-80%). Vərəm (20-25%) və idiopatik (sarkoidoz və  autoimmun) səbəblər də rast gəlinir.

 

Patogenez

Patogen amilə qarşı aşırı iltihabı reaksiya nəticəsində limfa düyünlərində qranuloma və fibroz xroniki mediastinitin əsas mexanizmi hesab edilir.

Bəzi mənbələrə görə xroniki medisatinit mərhələli prosesdir və  ilkin etapda qranulomalar əmələ gəlir, sonra isə fibrozlaşma və kalsifikasiya meydana gəlir. Fibrotik mərhələdə 80%-dən çox hallarda kalsifikasiya müşahidə olunur. Mediastinal fibrozun retroperitoneal fibroza oxşarlığı olsa da, sonuncudan fərqli olaraq səbəbləri arasında histoplazmoz əsas yer tutur.

Gedişi və ağırlaşmaları

Xroniki mediastinitin gedişində yaxşılaşma, stabil gediş və proqressivləşmə qeyd edilə bilər. Gedişə səbəbi və yayılma dərəcəsi önəmli təsir göstərir. Klinik olaraq ortaya çıxan obstruksiya xəstələrin 25-30%-ində müşahidə edilir.  Proqressiv gedişdə adətən 6 ildən sonra ürək yetməzliyinə bağlı letallıq müşahidə edilir.

Ağırlaşmaları

  • Yuxarı boş vena sindromu
  • Qida borusu obstruksiyası
  • Traxeo-bronxial obstruksiya
  • Pulmonar qapı obstruksiyası və sağ ürək yetməzliyi
  • Aşağı boş vena obstruksiyası

 

Klinikası

Xroniki mediastinit iki klinik formada ortaya çıxa bilir:

  • asimptomatik (75%)
  • simptomatik – sıxılma simptomları ilə (25%)

Simptomatik forma obstruksiya baş verən orqanın əlamətləri ilə ortaya çıxır:

  • yuxarı boş vena sindromu (80%) – üzdə və yuxarı ətrafda şişkinlik, sianoz
  • qida borusu obstrukasiyası – disfagiya
  • traxeo-bronxial obstruksiya – təngnəfəslik, öskürək və s.
  • pulmonar arteriya obstruksiyası – sağ ürək yetməzliyi

Diaqnostika

Şübhə

Xroniki mediastinit az rast gəlinən xəstəlikdir və adətən “istisna diaqnozudur”. Bu xəstəliyə divararalığı orqanlarında obstruksiya və ya divararalığında kütlə (qranuloma) tapıldıqda və digər xəstəliklər inkar edildikdə yüksək şübhə yaranır.

Dəqiqləşdirmə

Xroniki mediastinitin diaqnostikasında rentgen müayinəsi spesifik deyil, biopsiya isə məsləhət deyil və təhlükəlidir. Diaqnozu dəqiqləşdirmək üçün ən uyğun müayinə  KT-dir. Divararalığında qranuloma, infiltrat, xarakterik kalsifikasiya (nöqtəvari kalsifikasiyalar – “qarğıdalı partlaması”), fibroz, orqanlarda sıxılma əlamətləri xroniki mediastinitin xarakterik KT əlamətləridir (Şəkil 14,15).  MRT fibrozu daha yaxşı göstərir, lakin kalsifikasiyaları yaxşı göstərə bilmir.

Diaqnostik əlamətləri:

  • Divararalığı orqanlarında sıxılma (striktura) əlamətləri
  • KT-də divararalığında infiltrasiya, kalsifikasiya və orqanlarda striktura

 

 

 

Şəkil 14. Histoplazmoz

Şəkil 15. KT. Fibroz mediastinit

                                                                                                                 

Müalicəsi

Mediastinal fibrozun radikal müalicəsi yoxdur və mövcud olan  konservativ, cərrahi və stent kimi tədbirlər palliativ məqsəd daşıyır. 

İnfeksiya dəqiqləşərsə antimikrob (vərəm əlehinə) və ya antifunqal (histoplasmosisə görə itrakonazol, amfoterisin B) müalicə verilə bilər. Autoimmun və sarkoidoz mənşəli xroniki mediastinitlərdə kortikosteroidlər faydalı ola bilər.

Cərrahi müalicə simptomatik obstruksiya törədən mediastinal kütlələrdə və fibrozlarda ilk seçimdir:

  • kütləni çıxartmaq üçün torakotomiya və rezeksiya edilir.
  • bronxlarda, traxeyada, qida borusunda obstruksiya olarsa rezeksiya və anastomoz tətbiq edilir.
  • yuxarı boş vena sindromunda venoz yan yollar tətbiq edilə bilər.

Stend bronxial, ezofageal və venoz daralmalarda cərrahiyyə mümkün olmayanda və ya müvəqqəti effekt almaq üçün tətbiq edilir. 

 

Profilaktika

Ağciyər histoplazmozunun, vərəminin, sarkoidozunun erkən müalicəsi faydalı ola bilər.

 

Proqnoz

Mediastinal qranulomatoz kütlələrdə əməliyyatdan sonra proqnoz yaxşıdır. Fibrozda isə əməliyyat fibrozu artırmasa da nəticələri proqnozlaşdırmaq çətindir. Əməliyyatdan sonra xəstələrdə simptomlar azalsa da davam edə bilir.

 

Özət

Xroniki medistinit divararalığının qranulomatoz iltihabı və fibrozu olub, adətən xroniki iltihabi xəstəliklərin (infeksion və digər) nəticəsində meydana gəlir. Az rast gəlinən və bəzən proqressiv xarakter daşıyan bu xəstəlik fibroz mediastinit də adlanır. Histoplazmoz və vərəm ən çox rast gəlinən səbəblərdir, idiopatik (sarkoidoz və  autoimmun) səbəblər də rast gəlinir. Xəstəlik əksər hallarda asimptomatik olur, ¼ halda isə divararalığı orqanlarının fibrotik sıxılması əlamətləri ilə biruzə verir (yuxarı boş vena sindromu, disfagiya, tənənəfəslik, öskürək, sağ ürək yetməzliyi və s.) Diaqnozu dəqiqləşdirmək üçün ən uyğun müayinə  KT/MRT-dir, qranuloma, infiltrat, səciyyəvi  kalsifikasiya (nöqtəvari kalsifikasiyalar – “qarğıdalı partlaması”), fibroz, orqanlarda sıxılma əlamətləri xarakterik əlamətləridir. Müalicəsi üçün konservativ, cərrahi və stent kimi tədbirlər  tətbiq edilir. Cərrahi müalicə kütlə və sıxılmalarda ilk seçimdir.

 

Xroniki mediastinit üzrə suallar

N.Y.Bayramov, F.A.Qəhrəmanova

 

Suallar

Cavablar

Xroniki mediastinit nədir?

Divararalığında qranulomatoz iltihab və fibroz toxumanın inkişafı

Hansı klinik formaları var?

Səbəbinə görə – histoplazmoz, vərəm, idiopatik, digər

Morfologiyasına görə – qranuloma, fibroz

Klinikasına görə – asimptomatik, simptomatik

Səbəbi  və ya risk faktorları nələrdir?

Histoplazmoz – ən çox rast gəlinən səbəbi (60-80%)

Vərəm (20-25%), idiopatik (sarkoidoz, autoimmun)

Patogenezi nədən ibarətdir?

Patogen amilə qarşı aşırı iltihabı reaksiya → qranuloma → fibroz → kalsifikasiya

Gediş xüsusiyyəti necədir?

Yaxşılaşma, stabil gediş və ya  proqressivləşmə

Ağırlaşmaları nələrdir?

Yuxarı boş vena sindromu

Qida borusu obstruksiyası

Traxeo-bronxial obstruksiya

Pulmonar qapı obstruksiyası və sağ ürək yetməzliyi

Aşağı boş vena obstruksiyası

Klinik əlamətləri hansılardır?

Asimptomatik (75%)

Simptomatik – sıxılma simptomları (25%): üzdə və yuxarı ətrafda şişkinlik, sianoz, disfagiya, təngnəfəslik, öskürək, sağ ürək yetməzliyi

Hansı xəstələrdə şübhələnmək lazımdır?

Divararalığı orqanlarında obstruksiya və ya divararalığında kütlə var və digər xəstəliklər inkar edilirsə

Dəqiqləşdimək  üçün hansı müayinələr lazımdır?

KT

Laborator əlamətləri nələrdir?

Yoxdur

Görüntüləmə əlamətləri nələrdir?

Divararalığında qranuloma, infiltrat, xarakterik kalsifikasiya (nöqtəvari kalsifikasiyalar – “qarğıdalı partlaması”), fibroz, orqanlarda sıxılma əlamətləri

Diaqnostik kriteriyalarını sadala?

Divararalığı orqanlarında sıxılma (striktura) əlamətləri

KT-də divararalığında infiltrasiya, kalsifikasiya və orqanlarda striktura

Müalicə üsulları hansılardır?

Konservativ (antimikrob, antifunqal, kortikosteroid),  cərrahi və stent

Əməliyyata göstərişlər nələrdir?

Obstruksiya törədən kütlə və fibroz

Əməliyyat üsulları hansılardır?

Rezeksiya, anastomozların qoyulması, venoz yan yolların tətbiqi və s.

 

KƏSKİN MEDİASTİNİT

N.Y.Bayramov, N.Xıdırova

 

Tərifi

Mediastinit divararalığı toxumasının iltihabı xəstəliyidir, kəskin və xroniki formada ortaya çıxa bilir.

Kəskin mediastinit divararalığı toxumasının irinli iltihabı xəstəliyi olub, əksər hallarda döş qəfəsi orqanlarındakı zədələnmələrin, boyun və qarın boşluğundakı iltihabın yayılması nəticəsində ikincili olaraq meydana çıxır. Adətən sepsisə səbəb olur və vaxtında müalicə olunmazsa yüksək letallığa gətirib çıxarır.

Xroniki medisatinit isə divararalığının qranulomatoz iltihabı və fibrozu olub, adətən xroniki iltihabi xəstəliklərin (infeksion və digər) nəticəsində meydana gəlir.

 

Təsnifatı

Yayılmasına görə

  • Diffuz
  • Məhdud (abses)

Mexanizminə görə

  • Kontaminasiya
  • Birbaşa yayılma
  • Uzaqdan yayılma

 

Səbəbləri və patogenezi

Kəskin mediastinit əksər hallarda ikincili xəstəlikdir, başqa sözlə, döş qəfəsi və ya ətraf orqanlarda baş verən zədələnmə və ya irinli iltihabi xəstəliklərin ağırlaşmasıdır (Şəkil 8).

Digər irinli xəstəliklərdə olduğu kimi divararalığında irinli iltihabın baş verməsi  üçün iki  əsas şərt  toxuma zədələnməsi və infeksiyadır. Nekrotik və ya işemik toxuma irinli  infeksiyanın inkişafına şərait yaradır. Bir tərəfdən inkişaf edən infeksiya,  digər tərəfdən isə nekroza və infeksiyaya cavab kimi ortaya çıxan iltihabi reaksiya yeni zədələnmələrə səbəb olur. Beləliklə,  “zədələnmə – irinli infeksiya – zədələnmə” qüsurlu dövranı meydana gəlir və proses proqressivləşir.

Patogenetik baxımdan kəskin mediastinitin səbəblərini 3 qrupda cəmləşdirmək olar:

  • kontaminasiya – zədələnmə və infeksiyalaşma nəticəsində meydana gəlir
  • birbaşa yayılma – irinli iltihabın divararalığına keçməsi
  • distant (uzaqdan) yayılma – hematogen və ya limfogen yayılma

 

  • Kontaminasiya boşluqlu orqanların perforasiyası nəticəsində divararalığının “möhtəviyyatla kirlənməsi” və ya döş boşluğunda aparılan əməliyyatlardan sonrakı irinləmə nəticəsində baş verir. Qida borusunun müayinələr və ya qusma nəticəsində  perforasiyası kəskin mediastinitin ən çox rast gəlinən səbəbidir (90%).
  • Ətraf orqanlarda baş verən irinli iltihabın divararalığına keçməsi nəticəsində baş verən mediastinitlərə də az rast gəlinmir. Plevra və ağciyərin xəstəlikləri (irinli plevrit, abses), boyun, retroperitoneal fleqmona, qabırğaların, fəqərələrin, döş sümüyünün osteomielitləri divararalığına yayıla bilər.
  • Uzaqda yerləşən infektiv ocaqdan hematogen və limfogen yolla yayılan septik embollar divararalığı toxumalarında işemiya-nekroz törədərək kəskin mediastinitə səbəb ola  bilərlər.

 

 

Şəkil 8. Kəskin mediastinitin səbəbləri və patogenezi

 

Gedişi və ağırlaşmaları

Kəskin mediastinit ağır gedişli xəstəlikdir və yüksək letallığa səbəb ola bilir (30-60%). Kəskin mediastinitin ağır gedişli olmasının  səbəbləri aşağıdakılardır:

  • Divararalığında qoruyucu örtüyün olmaması iltihabın asanlıqla yayılmasına və orqanların zədələnməsinə şərait yaradır.
  • Divararalığı orqanlarının daim hərəkətdə olması (tənəffüs, qida borusunun peristaltikası, ürəyin və damarların pulsasiyası) iltihabın yayılmasına şərait yaradır.
  • Divararalığının mürrəkəb quruluşlu olması və çoxsaylı strukturların olması ilə əlaqədar çoxsaylı ciblər əmələ gəlir ki, bu da irinin drenajını çətinləşdirir.
  • Divararalığında həyati vacib orqanların yerləşməsi onların funksiyasının tezliklə pozulmasına  səbəb olur.

 

Ağırlaşmaları

Kəskin mediastinitin özü ağırlaşmadır və ağırlaşmalar da törədir ki, bunun da başında sepsis, plevrit, pnevmotoraks gəlir.

 

Klinikası

Kəskin mediastinit adətən qida borusu müayinəsindən, döş qəfəsi əməliyyyatlarından, travmalarından, boyun və ya retroperitoneal fleqmonalardan, döş qəfəsi divarı, ağciyər və ya plevranın irinli xəstəliklərindən sonra vəziyyətin sürətlə pisləşməsi, xüsusən sepsisin ortaya çıxması və ya dərinləşməsi, döş qəfəsində ağrı, məcburi vəziyyət, üşütmə-hərarət əlamətləri ilə ortaya çıxır. 

Ağrı daimi xarakterli olur və döş qəfəsinin genişlənməsi ilə artır (dərin nəfəsalma,  arxası üstdə uzanma, başı arxaya çəkmə).  Ağrını azaltmaq üçün xəstələr məcburi vəziyyət alırlar: başı önə əyilmiş yarımoturaq vəziyyət.

İnfeksiyanın sürətlə yayılması nəticəsində  bir neçə saat ərzində sepsis ortaya çıxır ki, bu da ilk olaraq tənəffüs yetməzliyi (taxipnoe, dispnoe, hipoksiya), sonra isə digər orqan və sistem yetməzlikləri, hətta şok əlamətləri ilə təzahür edir.

Obyektiv müayinədə boyunda emfizema, döş sümüyünün palpasiyada ağrılı olması, ağır septik vəziyyət görünür. 

 

Diaqnostikası

Prinsipi

Kəskin mediastinit təcili müalicə tələb edən xəstəlikdir, ona görə də cüzi şübhə əlamətləri yaranan xəstələrdə təcili olaraq diaqnoz təsdiq və ya inkar edilməli, sonra isə səbəb müəyyənləşdirilməlidir.

Şübhə

Anamnezində qida borusu müayinəsi, şiddətli qusma, döş qəfəsi əməliyyatları, boyun və qarında irinli iltihabı olan xəstələrdə vəziyyətin sürətlə pisləşməsi baş verərsə (döş qəfəsində ağrılar, üşütmə-hərarət, sepsis əlamətləri, boyunda emfizema, döş qəfəsinin palpasiyasında və dərin tənəffüsdə ağrının artması, məcburi vəziyyət) kəskin mediastinitdən şübhələnmək lazımdır.

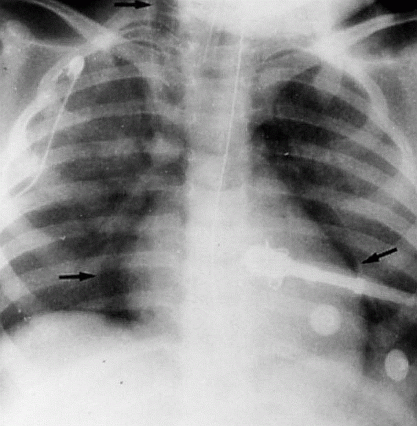
Sepsisli xəstələrdə rentgenoloji müayinədə mediastinumda hava görünməsi yüksək şübhə əlamətidir (Şəkil 9).

 

 

 

Şəkil 9. Mediastinal emfizema

Şəkil 10. KT. Kontrastın qida borusundan ekstravazasiyası

Şəkil 11. R-qramma. Kontrastın ekstravazasiyası

 

Dəqiqləşdirmə

Kəskin mediastinitin diaqnozunu dəqiqləşdimək üçün ən vacib müayinə KT-dir. KT-də divararalığında ödem, maye, hava, kontrast ekstravazasiyası mediastinitin xarakterik əlamətləridir.

Diaqnostik əlamətləri:

  • Anamnezdə qida borusu müayinəsi, güclü qusma, əməliyyatlar, travma, boyunda, qarında və ya döş qəfəsi divarında irinli iltihab olan xəstənin sürətlə pisləşməsi (ağrı, təngnəfəslik və sepsis əlamətləri)
  • KT-də divararalığında ödem, maye, hava, bəzən də kontrast ekstravazasiyası (Şəkil 10)

 

Səbəbin təyini

Səbəbin təyin edilməsində anamnez mühüm rol oynayır. Boyun, retroperitoneal fleqmonalardan, döş divarı, ağciyər və plevranın irinli xəstəliklərindən sonrakı mediastinitlərdə səbəb aydındır. 

Endoskopiyadan sonra emfizemanın ortaya çıxması, oral kontrastlı rentgendə və ya KT-də kontrast ekstravazasiyası qida borusu perforasiyasını göstərən əlamətlərdir (Şəkil 11).

Əməliyyatlardan və travmalardan sonra meydana gələn mediastinitlərdə hematomanın irinləməsi ilk planda tutulsa da boşluqlu orqan zədələnməsini inkar etmək üçün kontrastlı müayinələr və endoskopiya gərəkə bilir.

 

Müalicəsi

Prinsipi

Digər irinli iltihabı xəstələliklərdə olduğu kimi kəskin mediastinitin də müalicəsi “təcili 4 prinsip“ üzərində qurulur:

  • sepsisə görə dəstək müalicəsi
  • antibiotikoterapiya
  • irinliyin drenajı və sanasiyası
  • səbəbin aradan qaldırılması

Cərrahi müalicə

Kəskin mediastinit şübhəsi olan xəstə təcili xəstəxanaya yatırılır, diaqnoz qoyulan kimi aktiv dəstək, antibiotikoterapiya başlanılır və cərrahi müalicə həyata keçirilir. Kəskin mediastinitin müalicəsində cərrahi müalicə əsas tədbirdir və iki məqsədlə yerinə yetirilir: irinliyin sanasiyası-drenajı və səbəbin aradan qaldırılması (Şəkil 12).

 

   

Şəkil 12. Divararalığının drenajı

 

Sanasiya-drenaj üçün divararalığına yuxarıdan, transsternal, transtorakal yollarla müdaxilə etmək olar. Səbəbi aradan qaldırmaq üçün edilən əməliyyatlar səbəbdən asılı olaraq dəyişir.

  • Qida borusu perforasiyalarında ezofaqusda xəstəliyin olub-olmamasından, perforasiyanın yeri və ya müddətindən asılı olaraq müalicələr seçilir: perforasiyanı tikmə, rezeksiya, diversiya, stend, drenaj (Şəkil 13).

 

Şəkil 13. Qida borusu perforasiyasında müalicə prinsipləri

 

  • Traxeya və bronxların zədələnmələrində tikmə, rezeksiya və ya stent tətbiq edilə bilər.
  • İltihabın ətrafdan yayılmasında boyun və ya retroperitonun geniş drenajı, plevranın və ya ağciyər absesinin drenajı yerinə yetirilir.
  • Hemato-limfogen yayılmada – mənbəyə nəzarət həyata keçirilir.

 

Profilaktikası

Kəskin mediastinitin profilaktikası üçün səbəbləri vaxtında və erkən aradan qaldırmaq lazımdır:

  • qida borusu müayinələrini ehtiyatla aparmaq və zədələnmə ehtimalı varsa erkən diaqnozunu dəqiqləşdirmək
  • döş qəfəsi əməliyyatlarında aseptika və hemostaz tədbirlərinə riayət etmək
  • travmalarda xəstələri diqqətlə izləmək, şübhə olarsa erkən KT və digər müayinələr etmək
  • boyun, qarın və döş qəfəsi orqanlarının irinli xəstəliklərini erkən və effektiv müalicə etmək

 

Proqnozu

  • Hazırki radikal cərrahi və dəstək müalicələrinə baxmayaraq kəskin mediastinitdə letallıq yüksəkdir və 30-60% təşkil edir.
  • Səbəb aradan qaldırılmadıqda və ya nəzarət altına alınmadıqda letallıq ehtimalı daha da artır.

 

Özət

Kəskin mediastinit divararalığı toxumasının irinli iltihabı xəstəliyi olub, əksər hallarda döş qəfəsi orqanlarındakı zədələnmələrin, boyun və qarın boşluğundakı iltihabın yayılması nəticəsində ikincili olaraq meydana çıxır. Adətən qida borusu müayinəsindən, döş qəfəsi əməliyyyatlarından, travmalarından, boyun və ya retroperitoneal fleqmonlardan, döş qəfəsi divarı, ağciyər və ya plevranın irinli xəstəliklərindən sonra vəziyyətin sürətlə pisləşməsi baş verir, sepsis, döş qəfəsində ağrı, məcburi vəziyyət, üşütmə-hərarət əlamətləri meydana gəlir, müalicə olunmazsa adətən letallığa səbəb olur. Diaqnozunu dəqiqləşdimək üçün ən vacib müayinə KT-dir və divararalığında ödem, maye, hava, kontrast ekstravazasiyası xarakterik əlamətləridir. Müalicəsi “təcili 4 prinsip“ üzərində qurulur (antibiotikoterapiya, dəstək, drenaj və səbəb), əməliyyat təcili olaraq həyata keçirilir, mediastinum drenaj edilir və səbəbi aradan qaldırma və ya nəzarət altına alma tədbirləri görülür.

 

Kəskin mediastinit üzrə suallar

N.Y.Bayramov, F.A.Qəhrəmanova

 

Suallar

Cavablar

Kəskin mediastinit nədir?

Divararalığının irinli iltihabi xəstəliyi

Hansı formaları var?

Yayılmasına görə – diffuz və məhdud (abses)

Mexanizminə görə – kontaminasiya, birbaşa yayılma, uzaqdan yayılma

Səbəbi  və ya risk faktorları nələrdir?

Qida borusunun perforasiyası, döş qəfəsi əməliyyyatları, travmalar, boyun və ya retroperitoneal fleqmonlar, döş qəfəsi divarı, ağciyər və ya plevranın irinli xəstəlikləri

Patogenezi nədən ibarətdir?

“zədələnmə – irinli infeksiya – zədələnmə” qüsurlu dövranı

Gediş xüsusiyyəti necədir?

Ağır gedişli

Ağırlaşmaları nələrdir?

Sepsis, plevrit, pnevmotoraks

Klinik əlamətləri hansılardır?

Döş qəfəsində ağrı, üşütmə-hərarət, sepsis əlamətləri, boyunda emfizema, döş qəfəsinin palpasiyasında və dərin tənəffüsdə ağrının artması, məcburi vəziyyət

Hansı xəstələrdə şübhələnmək lazımdır?

Anamnezində qida borusu müayinəsi, şiddətli qusma, döş qəfəsi əməliyyatları, boyun və qarında irinli iltihabı olan xəstələrdə vəziyyətin sürətlə pisləşməsi baş verərsə

Sepsisli xəstələrdə rentgenoloji müayinədə mediastinumda hava görünməsi

Dəqiqləşdimək  üçün hansı müayinələr lazımdır?

KT

Laborator əlamətləri nələrdir?

SİRS və sepsis əlamətləri

Görüntüləmə əlamətləri nələrdir?

KT-də divararalığında ödem, maye, hava, kontrast ekstravazasiyası

Diaqnostik kriteriyalarını sadala?

Anamnezdə qida borusu müayinəsi, güclü qusma, əməliyyatlar, travma, boyunda, qarında və ya döş qəfəsi divarında irinli iltihab olan xəstənin sürətlə pisləşməsi (ağrı, təngnəfəslik və sepsis əlamətləri

KT-də divararalığında ödem, maye, hava, bəzən də kontrast ekstravazasiyası

Müalicə üsulları hansılardır?

“Təcili 4 prinsip“

  • sepsisə görə dəstək müalicəsi
  • antibiotikoterapiya
  • irinliyin drenajı və sanasiyası
  • səbəbin aradan qaldırılması

Əməliyyata göstərişlər nələrdir?

Kəskin irinli mediastinit

Əməliyyat üsulları hansılardır?

Qida borusu perforasiyasını, traxeya və bronx zədəsini tikmə, rezeksiya, stent, drenaj

Proqnozu nədir?

Yüksək letallıq

Xəstəliyin ən xaraketrik özəlliyini bir cümlə ilə necə ifadə edərsiniz?

Sürətlə pisləşən və boynunu arxaya çevirə bilməyən sepstik xəstədə kəskin mediastiniti unutma.

 

DİVARARALIĞININ ANATOMİYASI, XƏSTƏLİKLƏRİ VƏ MÜAYİNƏLƏRİ

N.Y.Bayramov, N.Xıdırova

 

ANATOMİYASI

Döş boşluğu anatomik olaraq bir birindən anatomik strukturlarla ayrılan üç bölgəyə bölünür: sağ və sol plevra boşluqları və divararalığı. Divararalığı plevra boşluqları arasında qalan bölgədir.

 

Sərhədləri

Divararalığının sərhədlərini ön tərəfdən döş sümüyü, arxa tərəfdən 1-11-ci döş fəqərələri, sağ və sol tərəfdən eyniadlı parietal plevralar, yuxarıdan boyun sahələri, aşağıdan isə diafraqma təşkil edir.

Divararalığı yuxarı tərəfdən boynun əzələ-fassiya arası sahələri ilə sərbəst əlaqəlidir, aşağıdan isə diafraqmadakı dəliklərlə (aorta, qida borusu, aşağı boş vena dəlikləri və digər) qarın boşluğu ilə əlaqəlidir. 

 

Hissələri və yerləşən anatomik strukturlar

Divararalığının mühüm anatomik xüsusiyyəti ondan ibarətdir ki, burada tənəffüs, kardiovaskulyar, həzm və limfatik sistemlərin bir çox orqanları yerləşmişdir. Ona görə də burada baş verən patoloji proseslər bir və ya bir neçə sistemin funksiyasını poza bilir.

Divararalığının hissələri ilə əlaqədar müxtəlif təsnifatlar var. Ən sadəsinə görə divararaqlığı şərti olaraq 3 hissəyə ayrılır (Şəkil 1,2):

   

Şəkil 1,2. Divararalığının hissələri

 

Ön divararalığı

Ön divararalığı döş sümüyünün arxası ilə perikard və böyük damarlar arasında olan sahədir. Burada timus vəzi, daxili döş arteriyaları, limfa düyünləri, kövşək toxuma və piy toxuması yerləşir.

Bu hissədə ən çox rastlanan törəmələr – timoma, limfoma, teratoma və tiroid törəmələridir.

Orta divararalığı

Orta divararalığı perikard ilə döş fəqərələrinin ön səthi arasındakı sahəyə deyilir. Burada ürək və perikard, böyük damarlar, traxeya və bronxlar, qida borusu, diafraqmal sinirlər, limfa düyünləri və kövşək toxuma yerləşir.

Bu hissədə ən çox rast gəlinən törəmələr limfatik törəmələrdir (sarkoidoz, limfoma, metastatik).

Arxa divararalığı

Arxa divararalığı döş fəqərə cisimləri ilə qabırğalar arasındakı sahəni əhatə edir (fəqərə-qabırğa şırımı). Burada qabırğaarası sinir və damarların proksimalı, simpatik qanqlionlar və kələf, limfatik axacaq, limfatik düyünlər və kövşək toxuma yerləşir.

Bu hissədə ən çox rast gəlinən törəmələr neyrogen törəmələrdir.

 

DİVARARALIĞI XƏSTƏLİKLƏRİ

  • Mediastinitlər
  • Kəskin mediastinit
  • Xroniki mediastinit
  • Divararalığı törəmələri
  • Limfomalar
  • Timoma və timus karsinoması
  • Germ hüceyrəli törəmələr (teratoma, dermoid sist, seminoma, qeyri-seminoma)
  • Sistlər (enterik, bronxogen, perikardial və s.)
  • Neyrogen törəmələr
  • Digər törəmələr
  • Yuxarı boş vena sindromu
  • Traxeoezofageal fistul

 

MÜAYİNƏLƏR

Klinik müayinələr

Divarararlığı xəstəlikləri üç klinik formada biruzə verə bilərlər:

  • asimptomatik
  • yerli əlamətlərlə (strukturların kompressiyası əlamətləri) – öksürək, təngnəfəslik, disfagiya, yuxarı boş vena sindromu, plevral maye, ağrı və s.
  • ümumi əlamətlərə – sepsis, paraneoplastik sindromlar (miasteniya qravis, anemiya, immunodefisit, multiorqan autoimmun xəstəliklər)

 

Laborator müayinələr

Divarararlığı xəstəlikərində laborator müayinələrə sepsis göstəricilərini, şiş markerlərini və paraneoplastik sindromların əlamətlərini göstərmək olar:

  • sepsisdə – leykositoz, CRP və prokalsitonin
  • tuberkuloz və histoplazmozda bakterioloji müayinələr
  • germ hüceyrə törəmələrində AFP, beta-HCG, LDH
  • timomalarda asetilxolin reseptor anticisimlər
  • tiroid törəmələrində TSH, sərbəst T3 və T4

 

Görüntüləmə

Mediastinum xəstəliklərində görüntüləmə müayinələri çox vacib müayinələrdir.

  • Rentgen ilkin müayinə olsa da qeyri-spesifikdir (adətən divarararlığı genişlənməsi görünür) (Şəkil 3).
  • KT – standart müayinədir. Əksər xəstəlikləri dəqiqləşdirmək üçün ən önəmli müayinə sayılır. KT mediastinitləri, törəmələrin lokalizasiyasını, formasını, ölçüsünü, sərhədlərini, ətraf toxumalarla əlaqəsini, qismən də strukturunu dəqiqləşdirən müayinədir (Şəkil 4). Lakin törəmələrin təbiətini dəqiqləşdirmək üçün adətən yetərli deyil və biopsiya ehtiyacı yaranır.
  • MRT törəmələrdə faydalı ola bilər, lakin KT-dən yüksək üstün deyil.
  • Bronxoskopik USM – peribronxial törəmələrdə diaqnostika və biopsiya üçün aparılır, ağciyər xərçəngində limfatik yayılmanı dəqiqləşdirmədə mediastinoskopiyanı əvəz etməkdədir.
  • Mediastinoskopiya az hallarda tətbiq edilir. Bu zaman divararalığının arxa və aşağı hissələrini müayinə etmək olmur (Şəkil 5).

 

 

 

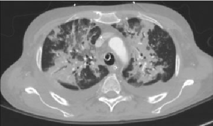
Şəkil 3. Rentgen. İrinli mediastinit                     

Şəkil 4. KT. Mediastinit. Divararalığı toxumasının infiltrasiyası, maye yığıntıları və qaz qabarcıqları (ox)


Biopsiya

Mediastinal törəmələrin diaqnostikasında dəqiqləşdirici müayinə kimi biopsiya öz yerini qoruyub saxlamaqdadır (Şəkil 6). Biopsiya aşağıdakı üsullarla aparıla bilər:

  • cərrahi rezeksiya (adətən rezektabel törəmələrdə tövsiyə edilir)
  • perkutan kəsici biopsiya (aspirasion biopsiya tövsiyə edilmir)
  • bronxoskopik biopsiya
  • mediastinoskopik biopsiya
  • torakoskopik biopsiya

 

 

 

Şəkil 5. Mediastinoskopiya

Şəkil 6. Transtorakal iynə biopsiyası

 

DİVARARALIĞI XƏSTƏLİKLƏRİNƏ DİAQNOSTİK YANAŞMA

Şübhə

Aşağıdakı klinik, laborator və görüntüləmə əlamətləri  divararalığı xəstəliklərinə şübhə yaradır (Şəkil 7):

  • yerli olaraq orqanlarda kəskin və ya xroniki sıxılma əlamətləri: hava yolları, qida borusu, yuxarı boş vena və digər strukturların sıxılma əlamətləri
  • sistemik əlamətlər: sepsis əlamətləri, paraneoplastik əlamətlər
  • simptomatik olub-olmamasından asılı olmayaraq görüntüləmədə mediastinumda genişlənmə, plevral maye, törəmə görünməsi
  • AFP, betta-HCG artması

Sıxılma adətən törəmələr, iltihab, aorta anevrizma partlaması və travma nəticəsində baş verir, kəskin və xroniki şəkildə ortaya çıxa bilir. Qida borusunun sıxılması disfagiya, ağciyər və traxeya-bronxların sıxılması   öksürək və təngnəfəsliklə, venaların sıxılması boyun, üz və aşağı ətraf venalarının genişlənməsi, pulsasiyanın itməsi ilə, ürəyin və magistral damarların sıxılması  hipotenziya, plevral maye əlamətləri ilə, diafraqmal sinirlərin sıxılması diafraqmanın parezi ilə özünü biruzə verir.

 

Dəqiqləşdirmə

Divararalığı xəstəliklərinə şübhə olanlarda  ilkin olaraq hərtərəfli klinik və KT müayinələri aparılaraq mediastinal patologiyanın olub-olmadığı dəqiqləşdirilir. Bu müayinələrin nəticəsinə görə aşağıdakı variantlar ortaya çıxa bilər:

  • təcili vəziyyətlər – kəskin mediastinit, kəskin yuxarı boş vena sindromu
  • divararalığı fibrozu – xroniki mediastinit
  • divararalığı törəməsi (törəmələri)
  • divararalığında patologiya tapılmır.

Kəskin mediastinitin diaqnozu əksər hallarda ilkin klinik və tomoqrafik müayinə ilə dəqiqləşir. Mediastinitin səbəbini müəyyənləşdirmək üçün endooskopik (bronxoskopiya, ezofaqoskopiya, ezofaqoqrafiya) və əlavə tomoqrafik müayinələr lazım gələ bilir.

Kəskin  və xroniki yuxarı boş vena sindromunun diaqnozu əksər hallarda ilkin klinik və  KT ilə dəqiqləşdirilir. Belə hallarda təcili venoz stent yerləşdirərək xəstənin vəziyyəti stabilləşdirilir və sonra səbəbi dəqiqlədirmək üçün KT angioqrafiya və digər müayinələr edilir.

Mediastinal fibrozun diaqnozu KT ilə qoyulur, səbəbi dəqiqləşdirmək üçün biopsiya lazım gələ bilir.

Divararalığı törəmələrinin təbiətini təyin etmək üçün klinikası,  yeri, laborator göstəicilər (AFP, beta-HCG, tiroid hormonları) nəzərə alınır. Lakin dəqiqləşdirmək üçün əksər hallarda histoloji müayinə lazım olur. Biopsiya üsulunun seçimi törəmənin rezektabelliyinə əsaslanılır. Törəmə rezektabeldirsə rezeksiya edilir və histoloji müayinəyə göndərilir. Qeyri-rezektabel  törəmələrdə isə digər biopsiya üsullarından biri seçilir.

Tomoqrafik olaraq divararalığında patologiya tapılmayan xəstələrdə digər  xəstəliklər axtarılır.

 

Şəkil 7. Divararalığı xəstəliklərinə şübhə