ANATOMİYASI
- Plevra döş qəfəsi divarını və döşdaxili orqanları örtən incə elastik pərdədir. Bütöv pərdə olan plevra iki hissədən ibarətdir: parietal və visseral.
- Parietal plevra döş qəfəsi divarını və divararlığını örtür, örtdüyü orqana görə də adlanır – kostal, servikal (qübbə), mediastinal və diafraqmal plevra.
- Visseral plevra ağciyəri örtür.
- Plevra boşluğu – visseral və parietal səhifələr arasına qalan boşluqdur, normada bir neçə millilitr maye və mənfi təzyiq olur.
- Plevra millimetrdən az qalınlığında təbəqədir, daxili səthində mezotel qatı, xaricdə fibroz və qan damarlarından ibarət təbəqə mövcuddur.
- Qan təhcizatı: parietal plevranın qan təchizatı qabırğaarası arteriya və venalar, visseral plevranınkı isə ağciyər damarları vasitəsi ilə həyata keçirilir.
- İnnervasiya – qabırğaarası sinirlər vasitəsilədir.
FİZİOLOGİYASI
Plevranın əsas funksiyası ventilyasiyaya kömək etməkdən ibarətdir ki, bu da iki mexanizmlə həyata keçirilir: plevral təzyiq və ağciyər sürüşgənliyi.
Plevral təzyiq
Plevral təzyiq ağciyərlərin körük kimi genişlənmə və yığılmasını həyata keçirməsində mühüm rol oynayır. Plevra bolşluğu qapalı boşluq olduğu üçün nəfəsalma vaxtı döş qəfəsinin genişlənməsi plevra boşluğunda atmosferə nəzərən mənfi təzyiq yaradır (mənfi 15 sm su st., dərin nəfəsalmada bu 60 sm su st. qədər çata bilir) və havanın ağciyərə daxil olmasına şərait yaradır. Nəfəsvermədə isə plevra boşluğunda yaranan müsbət təzyiq (0-2 sm su st., dərin nəfəsvermədə 30 sm su st.) havanı ağciyərdən qovmağa xidmət edir.
Sekresiya və reabsorbsiya
Plevranın ikinci funksiyası ağciyərlə döş qəfəsi divarı arasında sürüşgənliyi təmin etmək və bununla da ağciyərin körük funksiyasını asanlaşdırmaqdır. Bu funksiya plevra boşluğunda olan kiçikhəcmli sürüşgən maddənin vasitəsi ilə mümkün olur. Normada plevrada 10-50 ml maye olur. Bu maye parietal plevradan ifraz olunur, visseral plevradan isə sorulur. Mayenin miqdarının tənzimində hidrostatik, onkotik təzyiq və kapilyar keçiriciliyi müəyyən rol oynayır.
PLEVRANIN XƏSTƏLİKLƏRİ VƏ MÜAYİNƏLƏRİ
Xəstəlikləri
- Pnevmotoraks
- Plevral maye (hidrotoraks, piotoraks-empiema, xilotoraks və s.)
- Hemotoraks
- Plevra törəmələri
Plevranın müayinələri
Şikayətləri – ağrı, öskürək, təngnəfəslik, hərarət
Anamnez – plevranın birincili xəstəliyi nadir rast gəlinir. Ona görə də ətraf orqanların xəstəliklərinə diqqət etmək lazımdır.
Fiziki müayinə – hərəkətin azalması, deformasiya, dərialtı emfizema, kütlük və ya timpanit, tənəffüsün zəifləməsi, sürtünmə küyü və s.
Laborator – CRP artması, qanın ümumi müayinələri, şiş markerləri, punktatın müayinəsi
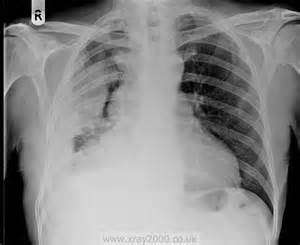
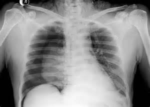
Rentgen – ilkin müayinədir, pnevmotoraksı və bəzən də plevrada mayeni dəqiqləşdirən müayinədir.
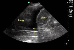
USM – plevral mayeni göstərir.
KT – plevral xəstəlikləri dəqiqləşdirən müayinədir.
Punksiya – plevral mayenin təbiətini dəqiqləşdirmək üçün aparılan müayinədir.
Plevroskopiya – plevral törəmələrdə və fistullarda tətbiq edilə bilir.
Biopsiya – neoplastik patologiyaları dəqiqləşdirmək üçün tətbiq edilir.
PLEVRA XƏSTƏLİKLƏRİNƏ DİAQNOSTİK YANAŞMA
Prinsip
Plevranın birincili xəstəlikləri az rast gəlir və adətən döş və yuxarı qarın orqanların xəstəliyinə ikincili qoşulur və ya ağırlaşması kimi ortaya çıxır (dalaq və periton kimi). Ona görə də plevrada dəyişiklik tapılarsa ilk növbədə ağciyərlərin və yaxın orqanların xəstəliklərini axtarmaq lazımdır.
Şübhə
Anamnezdə döş travması, ağciyər, divararalığı və qarın orqanları xəstəlikləri, əməliyyatları, müdaxilələr (damarların kateterizasiyası, intubasiya və s), təngnəfəslik, ağrı, hərarət, və s. plevra xəstəliklərinə şübhə yaradır.

Şəkil 1. Birinci pillə müayinələrin nəticələri
Birinci pillə
Birinci pillə müayinələrdə məqsəd plevrada təcili cərrahi xəstəliyin olub-olmamasını, maye, kütlə və fistula kimi üzvi dəyişikliklərin olub-olmamasını müəyyənləşdirməkdir. Bunun üçün hərtərəfli klinik müayinə, hemoqram, Rentgen və USM edilir. Birinci pillə müayinələrdən bir neçə nəticə ortaya çıxa bilər (Şəkil 1):
- Təcili xəstəliklər
- Plevral maye
- Plevrada törəmə
- Döş divarında fistula
Təcili xəstəliklərdə diaqnostika
Plevranın təcili müdaxilə tələb edən xəstəliklərinə pnevmotoraks, hemotoraks və massiv plevral maye aiddir. İlkin klinik-görüntüləmə müayinələrində təcili xəstəliklər olarsa əvvəlcə xəstəni stabilləşdirmək, sonra səbəbi araşdırmaq lazımdır. Stabilləşdirmək üçün (tənəffüsü və qan dövranını bərpa etmək) oksigenoterapiya və plevral drenaj gərəkir. Səbəbin müəyyənləşdirilməsi üçün isə klinik məlumatlar, KT və plevral mayenin müayinəsi nəzərə alınır (Şəkil 2).

Şəkil 2. Plevranın təcili xəstəliklərində ümümi yanaşma
Plevral mayenin diaqnostikası
Plevrada mayeni rentgen göstərə bilər. Qabırğa-diafraqma cibinin düzləşməsi, plevrada homogen kölgəlik, Damuaze xətti mayenin rentgenoloji əlamətləridir. Qabırğa-diafraqma xəttinin düzləşməsi plevrada ən azı 250 ml mayenin olduğunu göstərir. Lakin, mayeni görmək üçün ən həssas müayinə USM-dir.
Plevral maye tapıldıqda ilk olaraq drenaj lazım olub-olmadığını həll etmək, sonra isə səbəbini axtarmaq lazmdır.
Massiv hidrotoraks (təngnəfəslik və hipoksemiya törədən maye) və irinli plevrit təcili drenaj tələb edir.
Plevral mayenin əksər hallarda klinik olaraq səbəbini təyin etmək mümkün olur. Səbəbi bəlli olmayan hallarda ikinici pillə müəyinələr aparmaq lazım gəlir ki, bunlara plevral mayenin analizi və KT aiddir.
Plevral mayenin biokimyəvi (protein, albumin, qlükoza, LDH, pH), mikrobioloji (qram boyama, kültür) və sitoloji müayinələri əksər hallarda mənşəyi və xarakteri barədə yetərli məlumat verə bilir. Klassik olaraq plevral maye transudat və eksudat olaraq iki yerə bölünür. Ürək, qaraciyər və böyrək yetməzliklərində adətən transudativ xarakterlı mayelər olur. Eksudativ maye isə adətən iltihabi və bədxassəli xəstəliklərdə daha çox rast gəlir. Bu xəstəliklərin müəyyənləşdirilməsində isə KT faydalıdır.
Eksudativ plevral mayelərdə önəmli məsələlərdən biri irinli iltihabın olub-olmamasıdır. Mayedə irintörədici mikrobların tapılması və ya pH-ın 7,2-dən aşağı olması irinli iltihaba xarakterikdir. Belə hallarda iltihabın əsas səbəbini də axtarmaq lazımdır. Aparılan ikinci pillə müayinələrə baxmayaraq səbəb tapılmırsa üçüncü pillə müayinələrinə üz tutmaq lazım gəlir (Şəkil 3).

Şəkil 3. Plevral mayedə diaqnostik yanaşma
Plevrada kütlə
Ağciyərin periferik törəmələri, döş qəfəsi divarının, divar aralığının, diafraqmanın, diafraqmaaltı orqanların törəmələri rentgendə və USM-də plevra proyeksiyasında görünə bilər. USM periferik kütlələrin xarakterini, plevral dəyişiklikləri göstərə bilir, lakin bunun hansı orqana mənsub olduğunu dəqiqləşdirmək üçün adətən KT lazım gəlir.
Plevranın özünün birincili törəməsi kimi mezoteliomanı göstərmək olar ki, bu da nadir rast gəlinir. Ona görə də plevra proyeksiyasında törəmə tapıldıqda ilk növbədə digər orqanları axtarmaq gərəkir. Törəmə plevral mənşəli olarsa və təbiəti məlum olmursa əksər hallarda invaziv müayinələr (torakotomiya və ya plevroskopik biopsiya) edilir. Törəmə bədxassəli olduğu hallarda mərhələni təyin etmək üçün PET istifadə edilə bilər (Şəkil 4).

Şəkil 4. Plevral törəməyə diaqnostik yanaşma
Döş divarında yara və fistul
Döş qəfəsi divarında fistul olarsa əksər hallarda anamnez və klinik müayinə ilə səbəbi məlum olur, məlum olmayan hallarda isə KT və fistuloqrafiya ilə dəqiqləşdirmək mümkündür (Şəkil 5). Döş qəfəsi divarında bronxial, xroniki empiema fonunda meydana gələn plevro-kutanoz və qida borusu fistulları daha çox rast gəlir.

Şəkil 5. Döş qəfəsi divarında yara-fistul
PLEVRA XƏSTƏLİKLƏRİNDƏ APARILAN MÜDAXİLƏLƏR
- Punksiya (torakosentez)
- Plevral drenaj
- Plevrodeziya
- Biopsiya
- Videotorakoskopiya
- Torakotomiya
- Torakostoma
- Plevrektomiya
- Torakoplastika