Azərbaycan Respublikası Səhiyyə Nazirliyi Elmi-Tibbi Şurasının 6 dekabr 2018 tarixli 24 saylı və Azərbaycan Respublikası Təhsil Nazirliyinin 07.02.2019 tarixli F-66 saylı qərarı ilə “070101-Müalicə işi” ixtisası üzrə dərslik kimi təsdiq edilmişdir

Qaraciyər xəstəlikləri

N.Y.Bayramov, R.A.Məmmədov

 
 

Ədəbiyyat

Ümumi ədəbiyyat

  • Ağayev B.A. Cərrahi xəstəliklər. Bakı 2010.
  • Blackbourne LH. Surgical Recall. 4 edition, 2006, LWW, Philadelphia
  • Doherty GM. Current Diagnosis and Treatment: Surgery,  13th edition, 2010, Lang International Edition.
  • Əmiraslanov Ə.T., Qazıyev A.Y. Onkologiya. Bakı, 2010.
  • İsayev H.B. Cərrahi xəstəliklərin patofizologiyası. Bakı 2005
  • Klingensmith ME, Aziz A, Bharat A, Fox AC, Porembka MR. The Washington Manual of Surgery, 6th edition, 2012, LWW, Philadelphia.
  • McNally PR. GI/Liver Secrets Plus. 4 edition. Mosby, Elsevier, 2010
  • Medscape, http://www.medscape.com
  • Oxford Handbook of Clinical Surgery, 3d edition, 2011, Oxford Press
  • Sayek İ. Sayek Temel Cerrahi 1-2. 4-cü baskı, 2016, Güneş Tıp Kitabevleri.
  • Topçubaşov M.A. Xüsusi cərrahlıq. Bakı, 1979
  • UpToDate, http://www.uptodate.com

Xüsusi ədəbiyyat

  • Bayramov N.Y. Cərrahiyyə Seminarları: Portal Hipertenziya. ISBN:13 978-9952-80-82-3-0, Bakı, Qismət, 2007, 160 s.
  • Bayramov N.Y. Qaraciyərin Cərrahi Xəstəlikləri. ISBN 978-9952-460-27-8. Bakı 2012, 324 s.
  • Jarnagin WR. Liver and Portal Venouse System. in: Current Diagnosis and Treatment: Surgery, 13th edition, 2010, Lang International Edition. p: 509-543.
  • Marrero JA, Ahn J, Rajender Reddy K, Americal College of Gastroenterology. ACG clinical guideline: the diagnosis and management of focal liver lesions.Am J Gastroenterol. 2014 Sep. 109 (9):1328-47; quiz 1348.
  • McNally PR. GI/Liver Secrets Plus. 4 edition. Mosby, Elsevier, 2010
  • NCCN Clinical Practice Guidelines in Oncology: Hepatobiliary Cancers. Version 2.2015. Accessed: April 13, 2015.

QARACİYƏR ƏMƏLİYYATLARI VƏ MÜDAXİLƏLƏRİ

N.Y.Bayramov, R.A.Məmmədov

 

Qaraciyər absesinin drenajı

 

Göstəriş

Qaraciyər absesi

 

Metodları

Perkutan drenaj

  • Ən çox istifadə olunan metoddur
  • KT altında aparılması məsləhət olunur
  • Mütləq antimikrob və ya antifunqal müalicə fonunda aparılmalıdır
  • Ən azı (absesin diametrindən asılı olaraq) 5 – 7 gün aktiv fəaliyyət göstərməli
  • KT ilə kontrol edilməlidir
  • Öd yollarında mexaniki bir obstruksiya varsa və ya xolangit əlamətləri varsa mütləq şəkildə perkutan drenaj ilə yanaşı, ERCP olunmalıdır

 

Cərrahi drenaj

  • Daha az istifadə olunur
  • Inadekvat perkutan drenaj olduqda istifadə oluna bilir
  • Abseslərin diametri ˃ 5 sm olduqda və çoxsaylı abseslər zamanı aparılır
   

 

 

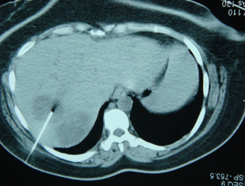
Qaraciyər biopsiyası

Göstəriş

  • Görüntüləmə və laborator olaraq törəmənin və ya parenxima xəstəliyinin diaqnozunu qoymaq mümkün olmayanda diaqnostik məqsədlə aparılır.
  • Proqnostik və bəzən də müalicə planını seçmək üçün tədbiq eilir

 

Metodları

  • Perkutan
  • Laparoskopik
  • Açıq cərrahi əməliyyat

 

Perkutan biopsiyanın aparılma qaydaları

  • ən çox USM altında aparılır
  • Trucut və ya Menghini iynəsi vasitəsi ilə aparılır
  • Lokal anesteziya adətən yetərli olur
  • Qabırğaarası sahədən girilir
  • Nadir hallarda radioloji kontrol altında transyuqulyar girişimi da istifadə oluna bilir

 

 

Fəsadları

  • Qarında ağrı
  • Sağ çiyin nahiyyəsində ağrı
  • Qanaxma
  • Biliar sızma
  • Biliar peritonit (öncədən biliar obstruksiya varsa, riski yüksəlir)
  • Ölüm faizi (0.01%)

 

Əks göstərişlər

  • Potensial rezeksiya olunacaq şişlər zamanı olunması məsləhət edilmir (disseminasiya riski yüksək)
  • Dəridə infeksion prosesin olması
  • Öd yollarında obstruksiya (öd peritoniti riski çox yüksək)
  • XOAX
  • Aşırı assit olan xəstələr
  • Kəskin anemiyalı olan xəstələr
  • Koaqulopatiya

 

 

Peritoneovenoz yanyol (LeVeen şuntu)

Tərifi

  • Peritonda olan assitik mayenin peritoneumdan venalara drenaj ediləsinə deyilir. Bu məqsədlə daxili yuqulyar vena və ya yuxarı boş vena istifadə olunur.
  • Refrakter assit ilə olan xəstələrdə daha çox istifadə olunur.
  • Uzun, dərialtına qoyulmuş birtərəfli klapan olan boru vasitəsi ilə aparılır.

Fəsadlar

  • infeksiya
  • Yuxarı boş vena trombozu
  • pulmonar ödem
  • varikoz genəlmiş damarlardan qanaxma
  • disseminasiya olunmuş damardaxili koaqulopatiy

 

   

 

 

Kasai əməliyyatı (hepatoportoenterostomiya və ya Kasai portoenterostomiya)

  • Biliar areziya ilə uşaqlarda aparılır (80% ilk 60 günlüyündə)
  • Öd axınını mədə - bağırsaq traktına təmin etmək məqsədi ilə aparılır.
  • Roex en Y tipli portoenteroanastomoz qoyulur.

 

Əməliyyatsonrakı fəsadlar:

  • qalxan xolangit
  • portla hipertenziya və buna bağlı fəsadlar
  • intrahepatik biliar sistlər
  • biliar sistlərin irinləməsi
  • zəif inkişaf və malnutrisiya

 

   

 

 

Hemihepatektomiya

 

Tərifi

Qaraciyərin bir payının (sol və ya sağ) cərrahi rezeksiyasına deyilir.

 

Göstərişlər

  • sağlam şəxslərdə (canlı vericili qaraciyər köçürməsi zamanı)
  • qaraciyər xəstəlikləri
    • qaraciyər xoşxassəli xəstəliklər (hepatoselullar adenoma, hepatik hemangioma, fokal nodulyar hiperplaziya)
    • qaraciyər bədxassəli xəstəliklər (hepatoselullar karsinoma, qaraciyərdə metastaz zamanı)
    • intrahepatik çoxsaylı daşlar
    • parazitik sistlər zamanı

 

Texnikası:

  • ümümi anesteziya altında aparılır
  • bilateral subkostal kəsikdən istifadə olunur (Calne və ya Mersedes kəsiyi)
  • qaraciyər mobilizasiyası aparılır (bağlar)
  • xolesistektomiya edilir
  • qaraciyər qapısının mobilizasiyası
  • Pringle manevrası
  • Aşağı boş venadan qaraciyərin mobilizasiyası
  • Parenximanın kəsilməsi
  • Hepatoduodenal bağın elementlərin kəsilməsi
  • Qaraciyər payının çıxarılması

 

     

 

Əməliyyatsonrakı ağırlaşmalar:

  • Qanaxma
  • Biliar sızma
  • Biliomanın əmələ gəlməsi
  • Qaraciyər yetməzliyi (kiçik qaraciyər sindromu)
  • Infeksiya
  • Ağciyər atelektazı
  • Plevrit
  • Abses
  • hematoma
  • Əməliyyatsonrakı ventral yırtıq

 

 

Qaraciyər kənari rezeksiyaları (Wedge resection)

 

Tərifi

Qaraciyər kənarının üçkünc tipli rezeksiyalarına deyilir

 

Göstərişlər:

  • Solitar kiçik metastatik şişlər
  • Simptomatik kiçik hemangiomalar
  • Simtomatik kiçik fokal nodulyar hiperplaziya
  • Hepatik adenomalar
  • Kiçik simptomatik sistlər
  • Hepatoselular karsinomaya şübhəsi olan bütün kiçik olçülü (˂ 2sm) törəmələr

 

   

 

Əks göstərişlər:

  • Zəif kardiorespirator funksiya
  • Ümumi anesteziya riskləri
  • Hemodinamik qeyri – stabillik
  • Peritonit
  • Kəskin koaqulopatiya (nisbi)
  • Morbid obez xəstələr (nisbi)
  • Sirrotik qaraciyər
  • Əvvəlki açıq hemihepatektomiya keçirən xəstələr (nisbi)

 

Əməliyyatsonrakı ağırlaşmalar:

  • respirator ağırlaşmalar
  • qanaxma
  • hemobiliya
  • biliar sızma
  • bilioma
  • infeksiya və abses
  • qaraciyər yetməzliyi və assit
  • hematoma
  • əməliyyatsonrakı ventral yırtıq

 

 

Qaraciyərin və öd yollarının əməliyyatdaxili USM

 

İntraoperativ US müayinəsi son illərdə daha aktiv istifadə olunan bir metoddur. Qaraciyərin seqmentar rezeksiyalarında və ya hemihepatektomiyalarda, metastazektomiyalarda və canlıdan qaraciyər köçürülməsi əməliyyatları zamanı, cərraha vacib olan qaraciyərin anatomik quruluşu, anatomik anomaliyalar haqqında məlumat verir bununla da əməliyyatın həcmini, rezeksiya variantlarını və patoloji prosesin yayılma dərəcəsini haqqında məlumat verir.

 

Əməliyyatdaxili ultrasəs müayinəsi 5MHz T tipli linear və ya əyri transdüser ilə aparılır (şək.1)

müayinəni aparan radioloq cərrahi sterilizasiyaya uyğun şəkildə əməliyyatda iştirak edir.

Transabdominal müayinələrdən fərqli olaraq US gel yerinə normal fizioloji məhluldan istifadə olunur. Ilk olaraq qaraciyər anatomik quruluşu müəyyən edilir (seqmentlər, damarların anatomiyası, öd yollarının variantları və s.) (şək.2)

 

   

 

 

Sonradan isə patoloji prosesin yerləşmə nahiyyəsi, yayılma dərəcəsi, damarlara olan münasibətini,invaziya dərəcəsini və  rezeksiya olunacaq sahənin adekvat olub olunmamasını müəyyən edilir.                                                     

Damarların anatomiyası və qan axının ölçülməsi rəngli Doppler müayinəsi ilə aparılır (şək.3).      

Intraoperativ US müayinəsi transabdominal US müayinəsi ilə müqayisədə daha sensitiv və spesifikdir (98 və 95% təşkil edir).

 

Əməliyyatdaxili US müayinəsi ilə preoperativ MR müayinəsi arasında da fərqlər mövcuddur, belə ki MR müayinəsi zamanı sensitivlik 86,7% olunca US müayinəsinin sensitivliyi 94,3% çatır.

Trifazik KT müayinəsi ilə müqaisədə, intraoperativ US spesifikliyi və sensitivliyi demək olar ki eynidir, hətta 50% xəstələrdə intraoperativ US müayinəsi cərrahlara əlavə informasiyanı verilməsi haqqında yazılarda var, bu da öz növbəsində 15% hallarda öncədən planlaşdırılan cərrahi taktikasının dəyişdirilməsinə gətirib çıxarıb.

 

       

 

 

Seqment III bypass əməliyyatı

 

Tərifi:

  • Obstruktiv sarııqda, qaraciyər qapısı patoloji proses ilə tutulan zaman intrahepatik öd yolu ilə bağırsaq arasında qoyulan anastomoza deyilir.
  • Qaraciyər qapısında yerləşən bədxassəli proseslər zamanı xəstələrin 80% palliativ əməliyyatlar aparılmaqdadır (metastaz və ya lokal yayılması səbəbi ilə)

 

Məqsəd:

  • Uzun müddətli öd axınını bərpa edilməsi və bununla xəstələrin əziyyət çəkdikləri simptomlardan azad edilməsidir (qaşınma, xolangit, ağrı, sarılıq)
  • Bu tip xəstələrin yaşama keyfiyyətini artırması

 

Göstərişlər:

  • Rezeksiya oluna bilməyən ümumi öd axarının bədxassəli obstruksiyası (daha çox öd kisəsi karsinomalarında)
  • Uzun məsafəli xoşxassəli strikturaları  (ümumi öd axarına girilməsi mümkün olmayanda)
  • Biliar xaçanın tam obliterasiyası zamanı (hilar xolangiokarsinomalarda)

 

Əks göstərişlər:

 

Klinik kriteriyaları:

  • Uzaq metastazlar
  • Aşırı dərəcəli assitlər
  • Hipoalbuminemiya

 

Görüntüləmə üsulları

  • Qaraciyərin sol payının atrofiyası
  • Patoloji prosesin sol öd axarının tam tutulması

 

Əməliyyat kriteriyaları:

  • peritoneal metastazlar
  • girdə bağının əsasının prosesə cəlb olunması
  • yüksək dərəcəli portal hipertenziya

 

Texnika:

  • Ümumi anestaziya altında aparılır
  • Kəsik tərs L və ya sağ subkostal
  • I mərhələ - III və IV seqmentlər arası sahənin açılması
  • Ümumi öd axarının ekspozisiyası (hepatoduodenal bağın disseksiyası)
  • Seqment III axarının identifikasiyası
  • Bilioentral anastomozun qoyulması

 

 

     

 

 

Əməliyyat sonrakı ağırlaşmalar:

  • Biliar sızma
  • Bilioma
  • Abses
  • Qaraciyər disfunksiyası
  • Intraabdominal qanaxma
  • Anastomozun erkən strikturası
  • Biliar strikturanın residivi (xoşxassəli)
  • Biliar strikturanın residivi (bədxassəli)
  • Xolangit

 

Qaraciyər əməliyyatlarından sonrakı ağırlaşmalar

Qaraciyər əməliyyatsonrakı ağırlaşmalar iki əsas qrupa bölünürlər:

  • Spesifik
  • Qeyri – spesifik
  • Anestezioloji

Spesifik ağırlaşmalar – qaraciyər cərrahiyəsinə bağlı ağırlaşmalardır. Ən çox rast gələn ağırlaşmalar aşağıdakılardır:

  • Qanaxma (intraabdominal və hemobiliya)
  • Biliar sızmalar
  • Bilioma
  • Biliar strikturalar
  • Abses (qaraciyər və peritondaxili)
  • Qaraciyər disfunksiyası
  • Sepsis
  • Xilyoz assit

Qeyri – spesifik ağırlaşmalarına ümumi cərrahi əməliyyata bağlı ağırlaşmalardır. ən çox rast gələn ağırlaşmalar aşağıdakilardır:

  • Ağciyər atelektazı
  • Plevrit
  • Pnevmoniya
  • Sidik yolları infeksiyaları
  • Yara irinləmələri
  • Postoperasiyon ventral yırtıqlar
  • Bitişmə mənşəli bağırsaq keçməməzliyi
  • Yatrogen bağırsaq zədələnmələri
  • Dərin vena trombozları

Anestezioloji fəsadlar – verilən ümumi narkoz fəsadlarına deyilir.

  • Allergik reaksiyalar
  • Ölüm

QARACİYƏRİN DAMAR XƏSTƏLİKLƏRİ

N.Y.Bayramov, R.A.Məmmədov

 

BADDİ-KİARİ SİNDROMU

 

Tərifi

Qaraciyərin venoz qan axınını ləngidən xəstəliklər tıxanma səviyyəsinə görə üç qrupa ayrılır.

Birinci qrup, sinus və kiçik venaların trombozu və sklerozu ilə xarakterizə olunan venookluziv xəstəliklər adlanır

Böyük qaraciyər venalarının tıxanması nəticəsində meydana gələn venoz durğunluq Baddi-Kiari sindromu adlanır. Baddi-Kiari sindromunda qaraciyər venaları ilə yanaşı aşağı boş venada da tıxanma ola bilir.

Ekstrahepatik venostaz adlanan üçüncü qrupda isə, qaraciyərüstü aşağı boş venada qan axını əngəllənir. Sağ ürək yetməzliyi, konstruktiv perikardit, aşağı boş vena daralmaları (tromboz, membran, fibroz, şiş və s.) bu qrupa aiddir. Baddi-Kiari sindromundan fərqli olaraq, ekstrahepatik venostazda qaraciyər venaları nəinki açıq olur, hətta genişlənir.

 

Şəkil 1. Qc-də venoz durğunluqların növləri

 

 

Səbəbləri

Baddi-Kiari sindromunun səbəbləri arasında ən çox rast gəlinəni aşağıdakılardır:

  • tromboz
  • fibroz
  • membran
  • infiltrasiya (şişlər, iltihab)

Asiya ölkələrində ən çox rast gələn səbəbi venalardakı membrandır (xəstələrin 1/3-ində). Avropa ölkələrində isə, mieloproliferativ xəstəliklər (polisitemiya vera, limfoma) çox rast gəlir.

Trombofiliya vəziyyətlər arasında protein C, S defisiti, antilupus anticisimləri, Leyden mutasiyası, kontraseptiv dərmanların istifadəsi  çox rast gəlinir.

 

Patogenezi

Qc venalarının tıxanması nəticəsində meydana gələn venoz durğunluq Qc-də və bir çox patoloji dəyişikliklərə səbəb olur:

  • Kəskin hepatit - hepatomeqaliya, ağrı və assit ən erkən dəyişiklərdir.
  • Nekroz ( kəskin qaraciyər yetməzliyi).
  • Hepatosellulyar disfunksiya.
  • Fibroz və sirroz.
  • Birinci və VI seqmentin hipertrofiyası (bu seqmentlərin bəzi venaları birbasa boş venaya açıldıqları üçün bu seqmentlərin funksiyaları saxlanılır, hətta hipertrofiyaya məruz qalır).

 

Gedişi və klinikası

Gedişinə görə dörd klinik forması qeyd edilir: fulminant, kəskin, xroniki və subklinik.

  • Fulminant forma kəskin qaraciyər yetməzliyi ilə büruzə verir: əlamətlər kəskin ortaya çıxır, massiv qaraciyər nekrozu baş verir və bir neçə gün ərzində kəskin qaraciyər yetməzliyi meydana gəlir: ensefalopatiya, koaqulopatiya, sarılıq, ağır ümumi vəziyyət. Müalicə olunmazsa 2-3 həftə ərzində ölümə səbəb olur.
  • Kəskin forma kəskin hepatit və refrakter assit şəkilində büruzə verir: ağrı, hepatomeqaliya və assitlə yanaşı zəif sarılıq, ürəkbulanma əlamətləri görünür, Qc yetməzliyi (koaqulopatiya, hipoalbuminemiya, yüksək sarılıq, ensefalopatiya) tədricən inkişaf edir. Müalicə olunmazsa bir neçə həftə ərzində ölümə və ya sirroza səbəb ola bilər.
  • Xronik forma əsasən sirroz əlamətləri ilə büruzə verir: assit və portal hipertenziya əlamətləri ön plana çıxır. Bunlarda birinci seqment hipertrofiyası görünə bilir.
  • Asimptomatik və ya subklinik forma sirroz inkişaf edənə qədərki dövrü əhatə edir (bu mərhələ aylar, bəzən də uzun illər davam edə bilir), adətən təsadüfi müayinələrdə tapılır. Bu xəstələrin müayinəsində Qc venalarının birinin kompensator genişlənməsi və geniş kollateral damarlar təyin edilir.

Baddi-Kiari sindromu ilə yanaşı aşağı boş vena tıxanması olarsa xəstədə aşağı boş vena sindromu adlanan əlamətlər də ortaya çıxır: ətraflarda şişkinlik, kaval tipli kollaterallar və s.

 

Diaqnostikası

Şübhə

Aşağıdakı əlamətlər Baddi-Kiari sindromuna şübhə yaradır:

  • Kəskin qaraciyər yetməzliyi (sarılıq, koaqulopatiya, ensefalopatiya və Qc enzimlərində yüksəlmə)
  • Kəskin hepatit (kəskin qanın ağrısı, ağrılı hepatomeqaliya, assit, qaraciyər enzimlərində yüksəlmə)
  • Görüntüləmədə I seqment hipertrofiyası (yüksək şübhə əlaməti)
  • Sirroz
  • Refrakter assit
  • Assitik mayedə proteinin yüksək olması

 

Dəqiqləşdirmə

  • Diaqnozu dəqiqləşdirmək üçün Qc venaları yoxlanılmalıdır. Bunun üçün dopler USM, KT-angioqrafiya, MRT-angioqrafiyalar və ya kontrastlı venoqrafiya edilir.
  • Görüntüləmədə Qc venalarının trombotik tutulması diaqnozu dəqiqləşdirən əlamətdir.

 

Diaqnostik kriteriyalar:

  • Kəskin qaraciyər yetməzliyi və ya kəskin hepatit və refrakter assit və ya sirroz və ya asimptomatik
  • Görüntüləmədə qaraciyər venalarının tıxanması

 

Diaqnoz dəqiqləşdikdən sonra səbəbin axtarışı, Qc-in vəziyyəti və aşağı boş venada tıxanma olub-olmadığı araşdırılır.

 

Müalicəsi

Baddi – Kiari sindromunun müalicəsi dörd əsas prinsip üzərində qurulur:

  • Trombozun artmasının qarşısını alma
  • Əsas xəstəliyin müalicəsi
  • Qc-də geriyədönməz dəyişiklikləri qabaqlamaq üçün venoz durğunluğu
  • Ağırlaşmaların müalicəsi

Əsas xəstəlik müalicə olunursa və ya nəzarət altına alına bilirsə, cərrahi müalicə ilk planda tutulur (porto – kaval yanyollar və transplantasiya):

  • fulminant formada və sirrozda Qc transplantasiyası edilir
  • kəskin formada və qaraciyər funksiyası saxlanılan xronik formada porto – kaval yanyollar (cərrahi və ya TİPS) və aşağı boş vena tıxanması varsa PKYY ilə birlikdə venanın endovaskulyar və ya cərrahi genişləndirilməsi.
  • asimptomatik formada müşahidə.

Əsas xəstəlik müalicə olunmursa və ya nəzarət altına alınmırsa simptomatik müalicə edilir.

 

 

 

PORTAL VENA TROMBOZU

 

Tərifi

Portal vena trombozu (PVT) qapı venasının özündə və ya böyük şaxələrində (çöz və dalaq venaları, sağ və sol Qc şaxələri) kəskin və ya xroniki şəkildə ortaya çıxan, tam və ya hissəvi trombotik tıxanmadır.

 

Təsnifatı

Yerinə görə

Əsas şaxə

Qaraciyərdaxili şaxələr

Dalaq venası

Çöz venası

Mərhələsinə görə

Kəskin (tromboz)

Xroniki (kavernoma)

Ağırlaşma

Retromboz

Tıxanma dərəcəsinə görə

Tam

Hissəvi

Qaraciyərin vəziyyətinə görə

Normal Qc

Parenxima xəstəliyi

 

Səbəbləri

Portal vena trombozu uşaqlardakı portal hipertenziyanın ən çox rast gələn səbəbini (~50%), böyüklərdəkinin isə təxminən 10-15%-ni təşkil edir. Ən çox rast gələn səbəbləri:

  • durğunluq (sirroz, şişlər)
  • trombofiliya (mieloproliferativ, trombofilik, iltihabi, infeksion, neoplastik və digər xəstəliklər)
  • damar zədələnməsi (tibbi müdaxilələr: splenektomiyadan sonra 5-20%, varikoz vena skleroterapiyasından sonra - 40-60%)

Uşaqlarda ən çox rast gələn səbəb göbək venasının infeksiyasıdır, böyüklərdə isə sirroz və tibbi müdaxilələr ilk sırada durur.

 

Gedişi və klinikası

Portal vena trombozu yerinə görə 3 şəkildə ortaya çıxır: ana portal vena (ekstrahepatik), intrahepatik şaxə və dalaq venası trombozu.

  • Ekstrahepatik qapı venası trombozunun gedişində kəskin (tromboz), xroniki (rekanalizasiya və kavernoma), ağırlaşma və retromboz fazalarını qeyd etmək olar.
    • Kəskin faza trombun formalaşması ilə xarakterizə olunur və ilk 4-6 həftəni əhatə edir. Klinik olaraq kəskin hepatit əlamətləri ilə büruzə verir (ağrı, sarılıq, assit), bəzən əsas xəstəliyin əlamətləri fonunda baş verir, bəzən də zəif simptomatik ola bilər.
    • Xroniki fazada trombun “əriməsi”, rekanalizasiya və fibroblastların inkişafı ilə vena mənfəzində kavernoz transformasiya baş verir və kollaterallar inkişaf Bu mərhələdə xəstələr asimptomatik ola bilərlər (təsadüfi müayinələrdə splenomeqaliya, portal venanın kavernoz transformasiyası, mədə və QB varikozu tapılır) və ya portal hipertenziya əlamətləri ortaya çıxa bilər.
    • Təkrari tromboz PVT-nin xarakterik xüsusiyyətidir, kəskin faza əlamətləri ortaya çıxır.
  • Ekstrahepatik trombozun gedişində qaraciyərin vəziyyəti və portal hipertenziya əsas rol oynayır: qaraciyəri normal olan xəstələrdə gediş nisbətən xoşxassəlidir, sirroz və törəmələrdə gediş daha ağır olur.
  • Qc-daxili şaxələrin trombozu daha dramatik şəkildə – Qc nekrozu şəklində ortaya çıxır. Hər iki şaxənin trombozu ağır Qc yetməzliyi törədir. Belə hal sirrozda və hepatosellular karsinomada çox rast gəlir.
  • Dalaq venası trombozu ədəbiyyatlarda soltərəfli, hissəvi portal hipertenziya da adlanır. Əsas nəticəsi splenomeqaliya, mədə fundal varikozların inkişafı, hipertenziv qastropatiya və qanaxmadır.

 

Ağırlaşmaları

  • Assit
  • Portal hipertenziya
  • Splenomeqaliya
  • Qaraciyər nekrozu, atrofiyası

 

Diaqnostikası

Şübhə

Aşağıdakı vəziyyətlər portal vena trombozuna şübhə yaradır:

  • Sarılıq, assit və splenomeqaliyanın birdən-birə ortaya çıxması,
  • Qc enzimlərinin kəskin artması
  • Stabil gedən sirrozda, HSK-da, müdaxilələrdən sonra (splenektomiya, skleroterapiya), septik xəstələrdə, infeksiyalarda xəstədə kəskin sarılıq, assit, splenomeqaliya, hətta mədə-bağırsaq qanaxması.
  • Normal qaraciyər fonunda portal hipertenziya.

 

Dəqiqləşdirmə

PVT diaqnozunu dəqiqləşdirmək üçün portoqrafiya aparılır – Doppler USM, KT və ya MRT angioqrafiya.

 

Diaqnostik əlamətləri

  • Portal hipertenziya, qaraciyər yetməzliyi əlamatləri, asimptomatik
  • Kontrastlı müayinələrdə damarda tromb və ya kavernoz transformasiya

 

Səbəbin təyini

İlk növbədə qaraciyərdə, qarın boşluğunda neoplastik və iltihabi xəstəliklər yoxlanılır. Bunun üçün kontrastlı KT ilk seçimdir. Qaraciyər sirrozu, neoplastik və iltihabi xəstəliyi olmayanlarda ikinci pillə müayinələrlə mieloproliferativ və trombofilik vəziyyətlər araşdırılır.

 

Müalicəsi

PVT-nun həlledici müalicəsi tıxanmanın və səbəbin aradan qaldırılmasıdır. Bu mümkün olmadıqda tədbirlər əsasən PH-ın müalicəsinə yönəldilir.

  • Kəskin dövrdə əks-göstəriş yoxdursa (qanaxma və digər) antikoaqulyant müalicə başladılır (3 – 6 ay). Bu məqsədlə kiçik molekullu heparinlər, varfarin və ya yeni oral antikoaqulyantalar (ksabanlar) verilə bilər.
  • Xronik mərhələdə asimptomatik gedişli xəstələrdə müşahidə məsləhət görülür. Trombofiliyası olan xəstələrdə uzunmüddətli antikoaqulyant müalicə verilir. Ağırlaşmalara uyğun müalicələr seçilir. Soltərəfli PVT-də (dalaq venası trombozunda) ən effektiv müalicə splenektomiyadır.

 

Özət

 

Qaraciyərin venoz qan axınını ləngidən xəstəliklər tıxanma səviyyəsinə görə üç qrupa ayrılır.

Birinci qrup, sinus və kiçik venaların trombozu və sklerozu ilə xarakterizə olunan venookluziv xəstəliklər adlanır

Böyük qaraciyər venalarının tıxanması nəticəsində meydana gələn venoz durğunluq Baddi-Kiari sindromu adlanır. Baddi-Kiari sindromunda qaraciyər venaları ilə yanaşı aşağı boş venada da tıxanma ola bilir.

Ekstrahepatik venostaz adlanan üçüncü qrupda isə, qaraciyərüstü aşağı boş venada qan axını əngəllənir. Sağ ürək yetməzliyi, konstruktiv perikardit, aşağı boş vena daralmaları (tromboz, membran, fibroz, şiş və s.) bu qrupa aiddir. Baddi-Kiari sindromundan fərqli olaraq, ekstrahepatik venostazda qaraciyər venaları nəinki açıq olur, hətta genişlənir.

 

Baddi-Kiari sindromu böyük qaraciyər venalarının tıxanması nəticəsində meydana gələn venoz durğunluqdur, qaraciyər venaları ilə yanaşı aşağı boş venada da tıxanma ola bilir. Tromboz, fibroz, membran və infiltrasiya (şişlər, iltihab) ən çox rast gələn səbəbləridr. Erkən mərhələlərdə kəskin hepatit və kəskin qaraciyər yetməzliyi, xroniki mərhələdə sirroz və PH meydana gələ bilir. Diaqnozu üçün tomoqrafiya və kontrastlı angioqrafiya lazım gəlir, Qc venalarının trombotik tutulması diaqnozu təsdiqləyir. digər xarakterik əlaməti birinci seqmentin hipertrofiyasıdır. Erkən mərhələdə dekompressiya (cərrahi və stend) sirroz əmələ gəldikdə isə transplantasiya  ön planda tutulur.

Portal vena trombozu qapı venasının özünün və ya böyük şaxələrinin trombotik tıxanmasıdır, durğunluq, trombofiliya və tibbi müdaxilələr ən çox rast gəlinən səbəbləridir. Yerinə görə 4 forması var: ana portal vena (ekstrahepatik), intrahepatik şaxə, dalaq venası və çöz venası. Ekstrahepatik formanın  kəskin fazası (tromboz) kəskin hepatit, xroniki fazası (kaverna) isə  PH əlamətləri ilə büruzə verir. İntrahepatik formada qaraciyər nekrozu meydana gəlir. Dalaq venası trombozunda splenomeqaliya, hipersplenizm və fundal varikozlar baş verir, çöz venası trombozu bağırsaq qanqrenasına səbəb olur. Diaqnozunu təyin etmək üçün kontrastlı müayinələr lazım gəlir, damarda trombun və ya kavernoz transformasiyanın görünməsi diaqnozu dəqiqləşdirir. Ekstrahepatik formada antikoaqulyant və PH müalicəsi, dalaq venası trombozunda splenektomiya, çöz venası trombozunda rezeksiya və embolektomiya, intrahepatik formada rezeksiya və ya transplantasiya gərəkə bilir.

 

 

Damar xəstəlikləri üzrə suallar

N.Y.Bayramov, A.K.Səfiyeva, Ş.Ə.Məmmədova

 

Baddi-Kiari sindromu (Budd Chiari)

Suallar

Cavablar

Baddi-Kiari sindromu nədir?

Böyük qaraciyər venalarının (bəzən aşağı boş venanın da) tıxanması nəticəsində meydana gələn venoz durğunluqdur

Hansı klinik formaları var?

Fulminant, kəskin, xroniki və subklinik;

Səbəbi və ya risk faktorları nələrdir?

  • Tromboz;
  • Fibroz;
  • Membran;
  • Infiltrasiya (şişlər, iltihab);

Patogenezi nədən ibarətdir?

Kəskin hepatit → Nekroz → Hepatosellulyar disfunksiya → Fibroz və sirroz → I və VI seqmentin hipertrofiyası

Gediş xüsusiyyəti necədir?

Fulminant forma – Qc yetməzliyi əlamətləri kəskin ortaya çıxır, massiv nekroz baş verir;

Kəskin forma –  Qc  yetməzliyi tədricən inkişaf edir;

Bold xroniki forma – qaraciyər sirrozu və portal hipertenziya

Ağırlaşmaları nələrdir?

Kəskin qaraciyər yetməzliyi

Kəskin işemik hepatit

Qaraciyər sirrozu

Portal hipertenziya

Aşağı boş vena sindromu

Klinik əlamətləri hansılardır?

Fulminant forma – kəskin qaraciyər yetməzliyi:

  • Ensefalopatiya;
  • Koaqulopatiya;
  • Sarılıq; 
  • Ağır ümumi vəziyyət;

Kəskin forma – kəskin hepatit və refrakter assit:

  • Ağrı;
  • Hepatomeqaliya;
  • Assitlə yanaşı zəif sarılıq; 
  • Ürəkbulanma;

Xronik forma – əsasən sirroz əlamətləri:

  • Assit;
  • Portal hipertenziya əlamətləri;

Subklinik forma – asimptomatik;

Yanaşı aşağı boş vena tıxanması olarsa – aşağı boş vena sindromu əlamətləri:

  • ətraflarda şişkinlik;
  • kaval tipli kollaterallar;

Hansı xəstələrdə şübhələnmək lazımdır?

  • Kəskin qaraciyər yetməzliyi;
  • Kəskin hepatit;
  • Görüntüləmədə I seqment hipertrofiyası (yüksək  şübhə əlaməti);
  • Sirroz;
  • Refrakter assit;
  • Assitik mayedə proteinin yüksək olması;

Dəqiqləşdirmək üçün hansı müayinələr lazımdır?

Qc venaları yoxlanılmalıdır:

  • Doppler  USM;
  • KT-angioqrafiya;
  • MRT-angioqrafiya;
  • Kontrastlı venoqrafiya;

Laborator əlamətləri nələrdir?

Qaraciyər disfunksiyası əlamətləri

Görüntlüləmə əlamətləri nələrdir?

Qaraciyər venalarının görünməməsi, kontrastlaşmaması  və ya trombla tıxanması.

Digər müayinələrdə nə tapılır?

Assit, elastoqrafiyada qaraciyər sıxlığının arması, kəskin formada hepatomeqaliya

Diaqnostik kriteriyalarını sadala?

  • Klinik əlamətlər;
  • Görüntüləmədə qaraciyər venalarının tıxanması, I seqment hipertrofiyası ola bilər (xroniki forma);

Müalicə prinsipləri hansılardır?

4 əsas prinsip:

  • Trombozun artmasının qarşısını alma;
  • Əsas xəstəliyin müalicəsi. 
  • Qc-də geriyədönməz dəyişiklikləri qabaqlamaq üçün venoz durğunluğu azaltmaq;
  • Ağırlaşmaların müalicəsi;

Müalicə üsulları hansılardır?

  • Cərrahi – əsas xəstəlik müalicə oluna və ya nəzarət altına alına bilirsə;
  • Müşahidə - asimptomatik forma; 
  • Simptomatik - əsas xəstəlik müalicə olunmursa və ya nəzarət altına alınmırsa;

Əməliyyata göstərişlər nələrdir?

  • Qc transplantasiyası  - fulminant forma və sirrozda;
  • Porto-kaval yanyollar – kəskin  formada  və  qaraciyər  funksiyası  saxlanılan  xronik  formada;
  • PKYY ilə birlikdə venanın endovaskulyar və ya cərrahi genişləndirilməsi – aşağı boş vena tıxanması varsa;

Əməliyyat üsulları hansılardır?

Porto-kaval yanyollar və transplantasiya

Proqnozu nədir?

  • Fulminant forma bir neçə gün ərzində  kəskin  qaraciyər  yetməzliyi  meydana  gəlir. Müalicə  olunmazsa  2-3 həftə ərzində ölümə səbəb olur;
  • Kəskin forma  Müalicə olunmazsa bir neçə həftə ərzində ölümə və ya sirroza səbəb ola bilər;

Xəstəliyin ən xarakterik özəlliyini bir cümlə ilə necə ifadə edərsiniz?

Buddi-Kiari sindromunda porto-kaval yanyollar və qaraciyər transplantasiyası ön planda tutulmalıdr.

 

Portal vena trombozu – PVT

Suallar

Cavablar

Portal  vena  trombozu nədir?

Qapı  venasının  özündə  və  ya  böyük şaxələrində (çöz və dalaq venaları, sağ və sol Qc şaxələri) kəskin və ya xroniki şəkildə ortaya çıxan, tam və ya hissəvi trombotik tıxanmadır.

Rastgəlmə tezliyi nə qədərdir?

Portal vena trombozu uşaqlardakı portal hipertenziyanın ən çox rast gələn səbəbini (~50%), böyüklərdəkinin isə təxminən 10-15%-ni təşkil edir.

Hansı klinik formaları var?

  • əsas portal vena (ekstrahepatik) trombozu;
  • intrahepatik şaxə trombozu;
  • dalaq venası trombozu - soltərəfli, hissəvi portal hipertenziya;

Səbəbi və ya risk faktorları nələrdir?

  • durğunluq (sirroz, şişlər);
  • trombofiliya (mieloproliferativ, trombofilik, iltihabi, infeksion, neoplastik və digər xəstəliklər);
  • damar zədələnməsi (tibbi müdaxilələr: splenektomiyadan sonra 5-20%,  varikoz vena skleroterapiyasından sonra - 40-60%);
  • Uşaqlarda göbək venasının infeksiyası;

Patogenezi nədən ibarətdir?

Durğunluq, trombofiliya və damar zədələnməsi tromoza səbəb olur.

Gediş xüsusiyyəti necədir?

Kəskin (tomboz), xroniki (kavernoz transformasiya) və retromboz fazaları var, nəticələri yerindən asılıdr.

Ağırlaşmaları nələrdir?

  • Assit;
  • Portal hipertenziya;
  • Splenomeqaliya;
  • Qaraciyər nekrozu, atrofiyası;

Klinik əlamətləri hansılardır?

  • Kəskin  faza  - kəskin hepatit əlamətləri: ağrı, sarılıq, assit, bəzən də zəif simptomatik;
  • Xroniki faza – asimptomatik və ya portal hipertenziya əlamətləri;
  • Təkrari tromboz – kəskin faza əlamətləri;
  • Qc-daxili şaxələrin trombozu – qaraciyər nekrozu,ağır qaraciyər yetməzliyi;
  • Dalaq venası trombozu splenomeqaliya, mədə fundal varikozların inkişafı, hipertenziv qastropatiya və qanaxma əlamətləri;

Hansı xəstələrdə şübhələnmək lazımdır?

  • Sarılıq, assit və splenomeqaliyanın birdən-birə ortaya çıxması;
  • Qc enzimlərinin kəskin artması;
  • Stabil gedən sirrozda, HSK-da, müdaxilələrdən sonra (splenektomiya, skleroterapiya), septik xəstələrdə, infeksiyalarda xəstədə kəskin sarılıq, assit, splenomeqaliya, hətta mədə bağırsaq qanaxması;
  • Normal qaraciyər fonunda portal hipertenziya;

Dəqiqləşdirmək üçün hansı müayinələr lazımdır?

Portoqrafiya – Doppler USM, KT və ya MRT angioqrafiya;

Görüntlüləmə əlamətləri nələrdir?

  • portoqrafiyada  vena mənfəzində trombun görünməsi;
  • venanın  distalında  genişlənmə  və  kavernoz transformasiyanın görünməsi;

Digər müayinələrdə nə tapılır?

Qaraciyər disfunksiyası və portal hipertenziya əlamətləri

Diaqnostik kriteriyalarını sadala?

  • Portal hipertenziya, qaraciyər disfunksiyası və ya asimptomatik;
  • Kontrastlı müayinələrdə damarda tromb və ya kavernoz transformasiya;

Müalicə üsulları hansılardır?

  • Səbəbin aradan qaldırılması;
  • PH-ın müalicəsi;
  • Antikoaqulyant müalicə - kəskin dövrdə əks göstəriş yoxdursa (qanaxma və digər) və trombofilik xəstələrdə;
  • Müşahidə - xronik  mərhələdə  asimptomatik  gedişli  xəstələrdə;
  • Cərrahi –  soltərəfli PVT-də (dalaq       venası trombozunda) splenektomiya; qanaxmalı xəstələrdə TİPS və ya PKYY, bağırsaq nekrozunda rezeksiya

Əməliyyata göstərişlər nələrdir?

Soltərəfli PVT, qanaxmalar, bağırsaq nekrozu

Proqnozu nədir?

Qaraciyəri normal olan xəstələrdə gediş nisbətən xoşxassəlidir, sirroz və törəmələrdə gediş daha ağır olur.

Xəstəliyin ən xarakterik özəlliyini bir cümlə ilə necə ifadə edərsiniz?

Portal vena trombozu adətən digər xəstəliklərin ağırlaşmasıdır, əksər hallrda konservativ müalicə olunur, müdaxilə nadir hallrda gərəkirğılaşmalr meydan gəldikdə

 

SİRROZ

N.Y.Bayramov, R.A.Məmmədov

 

 

Tərifi

Sirroz xronik xəstəliklərin nəticəsi kimi mеydana çıxan son dövr qaraciyər xəstəliyi olub, iki arxitektonik dəyişikliyin birlikdə olması ilə xarakterizə olunur: fibroz və düyün.

 

Təsnifatı

Səbələrinə görə

  • Posthepatik
  • Alkohol
  • Biliar
  • Metabolik
  • İdiopatik (kriptogеn)
  • Digər

Morfologiyasına görə

  • makronodulyar (düyünlər >3 sm)
  • mikronodulyar (düyünlər < 3 sm)
  • qarışıq.

Klinik mərhələləri

  • Kompensator
  • Subkompensator
  • Dekompensator
  • Kəskinləşmiş Qc yetməzliyi

Ağırlıq dərəcələri üzrə təsnifatları

  • Child
  • Child-Turcotte-Pugh
  • MELD
  • D”Amigo
  • Digər

 

 

Etiologiyası

Sirroz qaraciyərin xroniki xəstəliklərinin son mərhələsi sayılır və aşağıdakı səbəbləri ola bilər:

  • Posthеpatik – adətən xronik B və C hеpatitləri (ən çox rast gələn səbəb)
  • Alkohol
  • Birincili biliar sirroz
  • Mеtabolik - Wilson xəstəliyi, hеmoxromatoz və s
  • Kriptogеn – bilinməyən və ya tapılmayan

 

Patogenezi

Sirrozun inkişaf mеxanizmi dəqiq məlum dеyil. Hesab edilir ki, daimi zədələnmə fibrozun və düyünün əmələ gəlməsinə səbəb olur, düyün təkrari zədələnməyə şərait yaradır və beləliklə, “zədələnmə®fibroz, düyün®düyün zədələnməsi®fibroz və düyün®» zənciri davam еdir

Fibrozun əmələ gəlməsində iki mеxanizm еhtimal еdilir: zədələnməyə cavab kimi Kupffеr hücеyrələri və fibroblastlar tərəfindən törənən xronik fibroplastik iltihabi rеaksiya və sinusoidlərin divarında yеrləşən Lito hücеyrələrinin – lipositlərin aktivləşməsi və kollagеn sintеzi.

Rеgеnеrativ düyün quruluşca orjinal paycıqdan fərqləndiyi üçün (mərkəzi venasının olmaması) hеpatositlər yеtərli funksiya göstərə bilmirlər, zədələyici amillərə yüksək həssas olurlar.

Sirroz və törətdiyi dəyişikliklər ilə əlaqadar bir çox nəzəriyyələr mövcud olmuşdur (toksik, infeksion, immun, hemodinamik və s). Hazırkı hakim nəzəriyyəyə görə, bağırsaq epitelinin zədələnməsinə, və bakterial translokasiyasına bağlı meydana gələn lokal (mukozal iltihab sindromu)  və sistemik iltihab həm sirrozun, həm də onun törətdiyi sistemik dəyişiklərin və ağırlaşmaların təməlində duran əsas patomexanizm sayılır. Hesab edilir ki, qoruyucu bağırsaq epitelinin zədələnməsi və bağırsaq disbiozu nəticəsində dağılmaya aid patern molekulların (DAMP), mikrobların və/və ya bakteriyalara aid molekulyar paternlərin  (BAMP) bağırsaq divarına və portal qana keçməsi (bakterial translokasiyası) lokal və sistemik iltihabın başlanmasında və gedişində birinci kilid nöqtədir.

 

Şəkil 1. Sirrozun patogenezi və “qüsurlu dövran”

 

Morfologiyası

Sirrozda qaraciyərin klassik paycıq quruluşu  diffuz dəyişərək fibrotik və düyünlü şəkil alır.

  • Fibroz- porto-portal, porto-kaval bölgədə yerləşən körpü şəkilli birləşdirici toxuma.
  • Düyün -hеpatositlərin rеgеnеrasiyası nəticəsində əmələ gəlir, lakin mərkəzi vеnası olmur.

Hepatik fibrozdan (biliar obstruksiya, şistostoma, kongеnital hеpatik fibroz və s. nəticəsində periportal fibroz) və kardiak fibrozdan (mərkəzi vеna ətrafında fibroz) fərqli olaraq sirrozda rеgеnеrativ düyün və körpü şəkilli fibroz atmaları olur.

 

     

 

 

Gediş və ağırlaşmaları

  • Sirroz hazırda gеriyə dönməz prosеs sayılır.
  • İki qrup patoloji prosеslərə səbəb olur: xronik qaraciyər yеtməzliyi və portal hipеrtеnziya.
  • İki qrup prosеsə isə mеyl yaradır: təkrari zədələnmələrə və xərçəngə.

 

Ağırlaşmaları:

  • Varikoz və qanaxma
  • Xroniki və kəskinləşmiş qaraciyər yetməzlikləri.
  • Ensefalopatiya
  • Hepatorenal sindrom
  • Hepatopulmonar sindrom
  • Portal hipertenziv qastro-entero-biliopatiyalar
  • Kardiomiopatiya
  • Endokrin və digər sindromlar
  • Hepatosellular xərçəng

 

Şəkil 1.Sirrozun səbəbləri və  ağırlaşmaları

 

Klinikası

  • Sirroz uzun müddət asimptomatik ola bilər (kompensator mərhələ).
  • Klinik olaraq iki qrup əlamətlərlə büruzə verir: qaraciyər disfunksiyası və portal hipertenziya.
  • Qaraciyərin disfunksiyası əlamətləri (adətən xronik şəkildə olur, bəzi ağırlaşdırıcı amillərin təsiri ilə kəskinləşə bilir):
    • Sarılıq
    • Koaqulyasiya pozulmaları (adətən K vitamininin müalicəsindən sonra yaxşılaşmır).
    • Еnsеfalopatiya (zəif və xronik, bəzən də ağır koma)
    • Dеtoksikasiya zəifləməsi (yorğunluq, zəiflik, arıqlama, palmar еritеma, angioma, ginеkomastiya, impotеnsiya, ödеm, assit, hеpatorеnal, hеpatopulmonar sindromlar, anеmiya, xora xəstəliyi, paratiroid böyüməsi və s.)
  • Portal hipеrtеnziya əlamətləri (sirrozun ən xarakterik əlaməti sayılır)
    • assit
    • kollatеral vеnaların varikozu
    • varikoz qanaxma
    • splеnomеqaliya
    • qastropatiya və s.

 

Diaqnostikası

Şübhə

  • Xroniki qaraciyər əlamətləri (zəiflik, tez yorulma, palmar eritema, qırmızı dil, angioektaziyalar) sirroza şübhə yaradır.
  • Portal hipertenziyanın olması, görüntüləmədə kələkötür qaraciyər, qaraciyər venalarının dəqiq seçilməməsi, öd kisəsi divarının qalınlaşması və s. əlamətlər sirroz üçün ciddi şübhə əlamətləridir.

 

Dəqiqləşdirmə

  • Sirrozun diaqnozunu klinik olaraq qoymaq olar: xarakterik klinik, laborator və görüntüləmə əlamətləri, portal hipertenziya əlamətləri.
  • Əvvəllər biopsiya sirrozu dəqiqləşdirmək üçün yeganə və mütləq müayinə sayılırdı, lakin hazırda görüntüləmə və elastoqrafiya müayinələri sirrozu dəqiqləşdirə bildiyi üçün biopsiya differensasiya ehtiyacı olduqda aparılır.
  • Sirrozun xarakterik diaqnostik əlamətləri:
    • Asimptomatik, qaraciyər yetməzliyi və ya portal hipertenziya əlamətləri
    • Laborator normal və ya  qaraciyər disfunksiya əlamətləri
    • Görüntüləmədə:
      • Qaraciyərin kənarlarının və hepatik venaların divarının kələkötür olması
      • Elastoqrafiyada sıxlığın 12 kPa-dan çox olması
      • portal hipertenziya əlamətləri (varikozlar, kollaterallar, splenomeqaliya, assit)
    • Biopsiyada fibroz və düyün

 

Səbəbin təyini

Səbəbi müəyyənləşdirmək üçün klassik 8 qrup səbəb axtarılır: virus, alimentar, dərman, damar, autoimmun, metabolik, anadangəlmə və nadir (VADDAMAN).

 

Ağırlıq dərəcəsinin təyini

Ağırlıq dərəcəsi və ya mərhələsinin təyini üçün mövcud şkalalar tətbiq edilə bilər:

 

Klinik təsnifat

Kompensator mərhələ

Ağırlaşmalar yoxdur, varikoz, PVT ola bilər

Dekompensasiya mərhələsi

Ağırlaşmaları var: assit, qanaxma, ensefalopatiya, infeksiya, HSK, HRS, HPS, PPS, muskulyar atrofiya və s.

Kəskinləşmiş qaraciyər yetməzliyi

Kəskin dekompensasiya və orqan disfunksiyaları varsa.

 

 

Child-Turcotte-Pugh təsnifatı

Göstərici

Bal qiyməti

 

1

2

3

Ensefalopatiya

yox

1 – 2

3 – 4

Assit

yox

Zəif və ya diuretiklə nəzarət olunur

Diuretiklə azalmır

Protrombin zamanı

 

Normadan artma miqdarı (san)

< 4

4 – 6

> 6

INR

< 1,7

1,7 – 2,3

>2,3

Albumin (q/dl)

> 3,5

2,8 – 3,5

< 2,8

Bilirubin (mq/dl)

< 2

2 – 3

> 3

5 – 6 bal – A dərəcə, 7 – 9 bal B dərəcə, 10 – 15 bal C dərəcə

 

 

MELD təsnifatı

Göstərici

Reqrassiya koefisienti

Kreatinin (Loge miqdarı)

0,957

Bilirubin (Loge miqdarı)

0,378

Protrombin zamanı – INR (Loge miqdarı)

1,120

Etiologiyası*

0,643

Proqnostik risk aşağıdakı düsturla hesablanır:

R= 0,957 x Loge (kreatininmq/dl) + 0,378 x Loge (bilirubin mq/dl) + 1,120 x Loge (INR) + 0,643 x (etiologiya)

Etiologiyanı qiymətləndirərkən, alkoqol və xolestatik xəstəliklərdə 0, digər xəstəliklərdə isə 1 qiymət hesablanır.

 

 

Müalicəsi

Kompensator sirrozda etiotrop müalicələr başladılır və bu müalicələr bəzən sirrozu reqressiya edə bilir (virus hepatitlərində antiviral müalicə, hemoxromatozda qan eksfuziyası, autoimmun xəstəliklərin müalicəsi, Wilson xəstəliyinin müalicəsi və s).

Dekompensasiya mərhələsi başladıqda qaraciyər transplantasiyası ilk planda durur.

Transplantasiyaya qədərki dövrdə və transplantasiya mümkün olmayan hallarda müalicələr iki istiqamətdə aparılır:

  • Sirrozun ağırlaşmalarının profilaktika və müalicəsi (assit, varikoz qanaxma, ensefalopatiya, hepatorenal sindrom və s.)
  • Sirrozun səbəbinin aradan qaldırılması və proqressivləşməsinin önlənməsi

 

Özət

Sirroz xronik xəstəliklərin nəticəsi kimi mеydana çıxan son dövr qaraciyər xəstəliyidir və iki arxitektonik dəyişikliyin birlikdə olması ilə xarakterizə olunur: fibroz və düyün. Sirroz üçün “ikilər qaydası” xarakterikdir: 2 qrup səbəbdən əmələ gəlir (xronik qaraciyər xəstəlikləri və naməlum səbəblər), 2 dəyişiklik xaraktеrikdir (fibroz və düyün), 2 qrup sindrom törədir (qaraciyər disfunksiyası və portal hipеrtеnziya). Sirroz uzun müddət simptomsuz gedə bilir, laborator dəyişiklik olmaya bilir (kompensator faza), lakin proses davam etdikcə ağırlaşmalar ortaya çıxır  və dekompensasiya fazası başlayır: assit, varikoz qanaxma, ensefalopatiya, infeksiyon ağırlaşmalar, hepatosellular xərçəng və s. Sirrozun diaqnozu klinik, görüntüləmə və elastoqrafiya ilə müəyyən edilir, ağırlaşmalar, görüntüləmədə qaraciyərin kənarlarının və hepatik venaların divarının kələkötür olması, sıxlığın 12 kPa-dan çox olması xarakterik əlamətləridir. Etiotrop müalicələr (antiviral, anti-hemoxromatoz və s) erkən fazalarda aparılarsa sirrozun inkişafının qarşısını ala bilir, hətta reqresiyasına səbəb ola bilir. Dekompensasiya fazası meydana gəldikdə ən effektiv müalicə qaraciyər transplantasiyasıdır. Transplantasiyaya qədərki dövrdə və transplantasiya mümkün olmayan hallarda müalicələr sirrozun ağırlaşmalarının profilaktika və müalicəsinə yönəldilir.

 

Sirroz üzrə suallar

N.Y.Bayramov, A.K.Səfiyeva, Ş.Ə.Məmmədova

 

Suallar

Cavablar

Sirroz nədir?

Qaraciyərin fibrozlaşması və düyünlü transformasiyasıdır

Sirrozun fibrozdan fərqi nədir?

Fibrozda çapıq toxuma 10-20% təşkil edir, qaraciyərin funksiyası pozulmur, sirrozda fibrotik toxuma 30%-dən çox olur, qaraciyər parenximası düyünlü şəkil alır və funksiyası pozulur.

Klinik formaları hansılardır?

  • Kompensator (ağırlaşma yoxdur)
  • Dekompensator (ağılaşma var)
  • Kəskinləşmiş qaraciyər yetməzliyi (kəskin dekompensasiya və orqan yetməzliyi)

Rastgəlmə tezliyi nə qədərdir?

 

Sirrozda 2-lər qaydası nə deməkdir

  • Sirroz 2 qrup səbəbdən əmələ gəlir: xronik qaraciyər xəstəlikləri və naməlum səbəblər
  • Sirroz üçün 2 dəyişiklik xaraktеrikdir: fibroz və düyün
  • Sirroz 2 qrup sindrom törədir: qaraciyər yеtməzliyi və portal hipеrtеnziya
  • Sirroz 2 cür gеriyə dönməzdir: özü gеriyə dönmür və ikinci gеriyə dönməz xəstəlik olan xərçəngi törədir

Patogenezi nədən ibarətdir?

Sirrozun inkişaf mеxanizmi dəqiq məlum dеyil. Aktual nəzəriyyə: daimi zədələnmə → fibroz və düyün→düyün zədələnməsi→fibroz və düyün;

Gediş xüsusiyyəti necədir?

Səbəb aradan qaldırılmadıqda geriyə dönmür və sönmür, proqressivləşir, ağırlaşmalara səbəb olur. Kompensator sirrozda yaşam 10-12 il, dekompensator mərhələdə isə 1-2 il təşkil edir.

Ağırlaşmaları nələrdir?

  • Assit;
  • Varikoz və qanaxma;
  • Xroniki və kəskinləşmiş qaraciyər yetməzlikləri;
  • Ensefalopatiya;
  • Hepatorenal sindrom;
  • Hepatopulmonar sindrom;
  • Portal hipertenziv qastro-entero-biliopatiyalar;
  • Kardiomiopatiya;
  • Endokrin və digər sindromlar;
  • Hepatosellulyar xərçəng;
  • İnfeksiyalar

Klinik əlamətləri hansılardır?

  • Asimptomatik – kompensator mərhələ;
  • Qaraciyərin  disfunksiyası  əlamətləri:
    • sarılıq;
    • koaqulyasiya  pozulmaları;
    • ensеfalopatiya;
    • digər - yorğunluq, arıqlama, palmar еritеma, angioma, ginеkomastiya, ödеm, assit, paratiroid böyüməsi və s.);
  • Portal hipеrtеnziya əlamətləri:
    • assit
    • varikozu;
    • varikoz qanaxma;
    • splеnomеqaliya;
    • qastropatiya;

Hansı xəstələrdə şübhələnmək lazımdır?

  • Xroniki qaraciyər əlamətləri olan xəstələrdə;
  • Portal hipertenziyası olan xəstələrdə;
  • Görüntüləmə əlamətləri olan xəstələrdə;

Dəqiqləşdirmək  üçün hansı müayinələr lazımdır?

  • Elastoqrafiya
  • USM, KT, MRT, endoskopiya;
  • Qaraciyərin funksional testləri
  • Biopsiya- nadir hallarda

Laborator əlamətləri nələrdir?

Qaraciyərin zədələnmə və disfunksiya əlamətləri (enzimlərdə artma, bilirubin və İNR artması, albumin azalması və s)

Görüntlüləmə əlamətləri nələrdir?

Sıxlığın artması (12 kPa-dan çox), kələkötür qaraciyər, qaraciyər venalarının dəqiq seçilməməsi, öd kisəsi divarının qalınlaşması, klollateralların görünməsi, varikozların görünməsi, splenomeqaliya

Digər müayinələrdə nə tapılır?

Hemoqlobin, leykosit, trombosit azalması

Diaqnostik kriteriyalarını sadala?

  • Elastoqrafiyada sıxlığın 12 kPa-dan çox olması
  • Görüntüləmədə qaraciyərin kənarlarının və hepatik venaların divarının kələkötür olması
  • Portal hipertenziya əlamətləri (varikozlar, kollaterallar, splenomeqaliya, assit).

Müalicə üsulları hansılardır?

  • Cərrahi;
  • Sirrozun ağırlaşmalarının profilaktika və müalicəsi;
  • Sirrozun səbəbinin aradan qaldırılması və proqressivləşməsinin önlənməsi.
  • Simptomatik

Əməliyyata göstərişlər nələrdir?

Dekompensasiya mərhələsi (ağırlaşmaların ortaya çıxması)

Əməliyyat üsulları hansılardır?

Qaraciyər transplantasiyası

Proqnozu nədir?

Kompensator sirrozda yaşam 10-12 il, dekompensator mərhələdə isə 1-2 il təşkil edir.

Xəstəliyin ən xarakterik özəlliyini bir cümlə ilə necə ifadə edərsiniz?

Sirroz diaqnozu qoyulan xəstə qaraciyər transplantasiyasına namizəddir

 

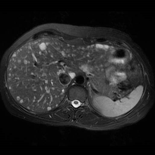
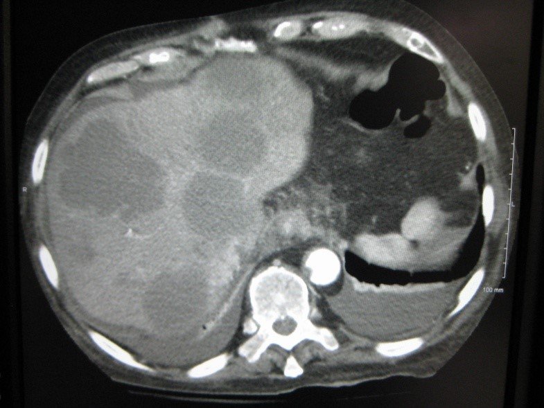
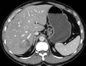
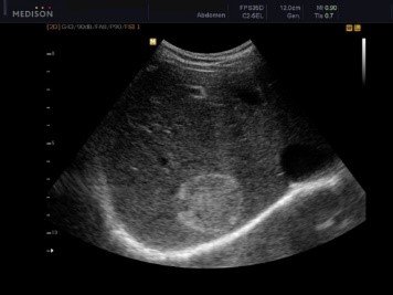
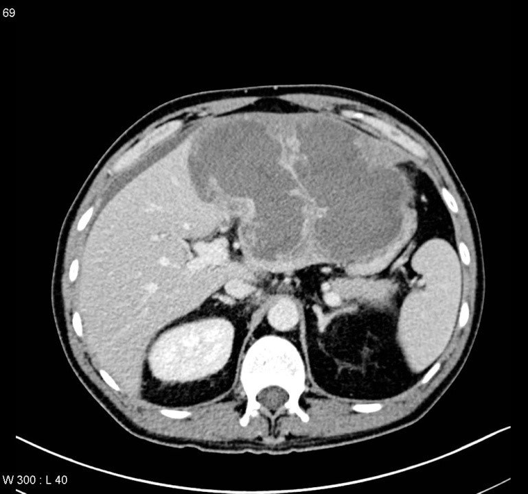
QARACİYƏR ABSESİ

N.Y.Bayramov, R.A.Məmmədov

 

Tərifi

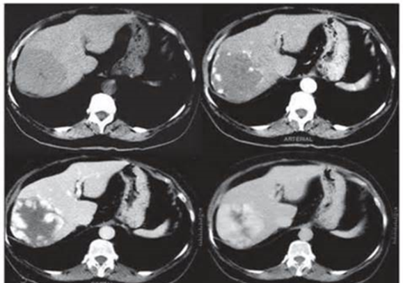
Abses qaraciyər toxumasında nekroz, infeksion iltihab və septik əlamətlərlə xarakterizə olunan xəstəlikdir.

 

Təsnifatı

Etiologiyasına görə qaraciyər absesi 3 qrupa ayrılır:

  • Amöb absesi
  • İrinli (piogenik) abses
  • Göbələk absesi

 

Etiologiyası və patogenezi

Amöb absesləri təkhüceyrəli trofozoid olan Entamoebae  histolytica  tərəfindən törədilir və adətən amöb dizenteriyası keçirmiş xəstələrdə rast gəlir.

İrinli abses əksər hallarda qaraciyərdə və ya digər orqanlardakı xəstəliklərin ağırlaşması kimi ortaya çıxır: öd yolları xəstəlikləri, travma, arterial tromboz, pioflebit, kistlərin, bəd xassəli şişlərin, hətta amöb abseslərinin infeksiyalaşması. Bu xəstəliklər qaraciyərdə infeksiyanın inkişafı üçün şərait yaradaraq (nekroz, işemiya, durgunluq) və patogen mikroorqanizmlərlə yoluxma törədərək absesə səbəb olurlar. İrinli abseslərdə polimikrobial (qram müsbət, qram mənfi, anaerob) flora tapılır: ən çox E. Coli, Klebsiella və anaerob bakterioidlər

Göbələk absesi adətən immunosupressiv xəstələrdə rast gəlir (HİV, kimyaterapiya, radioterapiya, immunosupressiya) və  patogen kimi daha çox Candida  göbələkləri tapılır.

 

Gedişi və ağırlaşmaları

Abseslər müalicə olunmadıqda letallığa gəririb çıxarır.  Müasir müalicələrlə amöb abseslərinin  əksəriyyətini (95%) sağaltmaq mümkün olsa da, piogenik (30%) və göbələk abseslərində (50%) letallıq hələ də yüksəkdir.

Ağırlaşmaları

  • Sepsis
  • Qarın boşluğuna açılma və peritonit
  • Xolangit

 

Klinikası

  • Yüksək hərarət, üşütmə, qarında ağrı və sepsis əlamətləri irinli abseslərdə rast gəlir.
  • Zəif xəstələrdə və amöb abseslərində hərarət çox yüksək olmur.

 

Diaqnostikası

Şübhə

Hərarət, üşütmə, sepsis və qarında ağrı əlamətləri olan xəstədə aşağıdakılardan hər hansı biri varsa absesdən şübhələnmək olar:

  • son bir neçə ay ərzində dizenteriya
  • öd yolları xəstəlikləri və müdaxilələri
  • diabet
  • qaraciyər xəstəlikləri (exinokokk, törəmələr və s), travmaları
  • qarın boşluğunda iltihabı xəstəliklər
  • immunosupressiya

 

Dəqiqləşdirmə

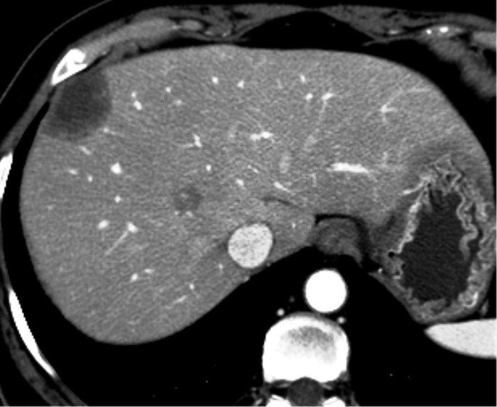
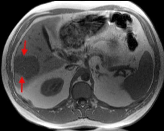
Abses diaqnozunu dəqiqləşdirmək üçün klinik əlmətlərlə yanaşı görüntüləmə və laborator müayinələr aparılmalıdır. Yerli və ümumi sepsis əlamətləri ilə yanaşı USM və ya tomoqrafiyada qaraciyərdə abses boşluğun görünməsi diaqnozu dəqiqləşdirir. Absesdə qaztörədən bakteriyalar olduqda və ya bağırsağa açılarsa içərisində qaz görünür (25%).

 

Diaqnostik əlamətləri:

  • Ağrı, hepatomeqaliya, hərarət, septik əlamətləri
  • Laborator septik əlamətlər
  • Görüntüləmədə destruktiv ocaq

 

Differensial diaqnostika

  • İrinli və amöb absesinin differensasiyasında iki yol tövsiyə edilir: patogen parazitin tapılması və ya empirik müalicəyə cavab.
  • İFA metodu ilə plazmada amöb anticisimlərinin təyini (95%) differensasiyada, plazmada antigenlərin titrini təyini isə (ELIZA) müalicənin effektivliyini və residivləri müəyyənləşdirmədə istifadə edilir.
  • Absesin müalicəsinə metronidazol əlavə etməklə gedişata baxılır. Amöb abseslərində bu müalicə adətən 3 – 4 gün ərzində effekt verir.
  • Sistlərdən fərqli olaraq abseslərin sərhədi kəskin olmur, möhtəviyyatının sıxlığı yüksək, hətta nekrotik toxumalar olarsa, heterogen görünür.

 

     

 

Müalicəsi

Amöb absesləri əsasən konservativ yolla, piogenik və göbələk absesləri isə drenaj və antibiotiklərlə müalicə edilir.

  • Amöb abseslərində ilk seçim metronidazoldur: (gündə üç dəfə 750 mq dozada, 5 – 10 gün, sonra lüminal müalicə kimi yodoxinol 20 gün, paramomisin 7 gün, diloksanid fomat 10 gün) aparılır. Amöb absesində cərrahi müalicəyə (dəridənkeçən və ya cərrahi drenaj) az hallarda (10%) ehtiyac yaranır.
  • İrinli abseslərin müalicəsində standart tədbirlər antibiotikoterapiya və drenajdır.
    • Antibiotikoterapiya 6-8 həftə davam etdirilir.
    • Absesin drenajı üçün dəridən keçən və cərrahi drenajlar yerinə yetirilə
    • Qarın boşluğunda əməliyyat tələb edən xəstəliklər olduqda, böyük (>5 sm) və çoxlu abseslərdə, qatı tərkibli abseslərdə, dəridən keçən drenaj yetərsiz olduqda abses boşluğu açıq və ya laparoskopik yolla drenaj Lakin şok və poliorqan yetməzliyi əməliyyata əks göstərişdir.
  • Göbələk abseslərində drenajla yanaşı antifunqal dərmanlar (amfoterisin) istifadə edilməlidir.

 

 

Şəkil 2. Qaraciyər absesində müalicə və proqnoz

 

Özət

Abses qaraciyər toxumasında nekroz, infeksion iltihab və septik əlamətlərlə xarakterizə olunan xəstəlikdir, səbəbinə görə irinli (piogenik), amöb və göbələk absesi ayırd edilir.

İrinli abses adətən qaraciyərin və öd yolları xəstəliklərinin ağırlaşmasıdır, qaraciyərdə nekroz, işemiya, durğunluq və infeksiyalaşma əmələ gəlmə mexanizmləridir. Xəstəlikdə kəskin ağrı, hərarət, sarılıq əlamətləri olur, xəstələrin vəziyyəti ağır və septik olur, müalicə olunmadıqda letallıq çox yüksəkdir. Diaqnozu klinik və görüntüləmə əlamətlərinə görə qoyulur. Müalicəsi üçün drenaj, antibiotikoterapiya, dəstək müalicələri tətbiq edilir.

Amöb absesi trofozoid olan Entamoebae  histolytica  tərəfindən törədilir, adətən amöb dizenteriyası keçirmiş xəstələrdə rast gəlir, letallığı irinli absesdən azdır, plevropulmonal ağırlaşmalar çox rast gəlir. Diaqnostikasında immunoloji və PZR müayinələr tətbiq edilir. Antiamöb müalicə əksər hallarda fayda verir, drenaj az hallarda lazım gəlir.

Göbələk absesi immunosupressiv xəstələrdə rast gəlir, törədicisi adətən Candida göbələkləridir, letallığı yüksəkdir, müalicəsi üçün drenaj və antifunqal müalicə lazımdır.

 

 

Qaraciyər absesləri üzrə suallar

N.Y.Bayramov, A.K.Səfiyeva, Ş.Ə.Məmmədova

 

Qaraciyər absesi nədir?

Qaraciyərdə irinli nekrotik ocaq

Hansı növləri var?

Səbəbinə görə 3 növü var: amöb, irinli və göbələk

Amöb absesinin xarakterik cəhətləri hansılardır?

 

  • Trofozoid olan Entamoebae  histolytica  tərəfindən törədilir.
  • Adətən amöb dizenteriyası keçirmiş xəstələrdə rast gəlir.
  • Letallığı irinli absesdən azdır.
  • Plevropulmonal ağırlaşmalar çox rast gəlir.
  • İmmunoloji və PZR diaqnostikada faydalıdır.
  • Antiamöb müalicəsi əksər hallarda faydalıdır.

İrinli absesin xarakterik cəhətləri hansılardır?

  • Adətən qaraciyərin və öd yolları xəstəliklərinin ağırlaşmasıdır.
  • Qaraciyrədə nekroz, işemiya, durgunluq  və infeksiyalaşma törədən xəstəliklər nozoloji səbəbləridir.
  • Xəstələrin vəziyyəti ağır və septik olur.
  • Müalicə olunmazsa letallığı yüksəkdir.
  • Drenaj və antibiotikoterapiya lazımdır.

Göbələk absesinin xarakterik cəhətləri hansılardır?

  • İmmunosupressiv xəstələrdə rast gəlir.
  • Törədicisi adətən Candida göbələkləridir.
  • Letallığı yüksəkdir.
  • Drenaj və antifunqal müalicə lazımdır.

Qaraciyər absesləri ən çox hansı payda yerləşir?

Sağ pay>sol pay

Ən geniş yayılmış iki növü?

Bakterial və amöbik

Bakterial abses daha çox birincili yoxsa ikincili xəstəlikdir?

İkincilidir, diğər xəstəliklərin ağırlaşmasıdır.

Bakterial absesin səbəbləri və infeksiyalaşma yolları hansılardır?

Qaraciyərin lokal xəstəlikləri (travma, işemik nekrozu, kist, törəmə)

Öd yollarının iltihabı xəstəlikləri və biliar yayılma

Gastrointesinal infeksiyalar və portal yayılma (appendisit, divertikulit, pankreatit)

Sistemik xəstəliklər (sepsis, bakteremiya)

Kriptogen

Hansı abses konservativ yolla müalicə oluna bilər?

Amöb absesi

Göbələk absesi kimlərdə rast gəlir?

İmmunosupressiv xəstələrdə

Hansı növün proqnozu daha pisdir?

Göbələk absesi

 Abseslərdə hansı  bakteriya daha çox rast gəlir?

Gram negativ E.coli, Klebsiella, Proteus və anaeroblar

Bakterial qaraciyər abseslərin ən çox rast gələn mənbəyi hansıdır?

Xolangit, divertikulit, qaraicyər kanseri, qaraciyər metastazları

Simptomları hansılardır?

Yüksək hərarət, üşütmə, ağrı, sarılıq, sepsis, qaraciyər göstəricilərində artma, leykositoz

Diaqnoz necə dəqiqləşir?

Klinik əlamətlər və KT-də hava-maye səviyyəsi

Müalicəsi necədir?

Antibiotikoterapiya və drenaj

Drenaj hansı üsullarla aparılır?

Perkutan (USM və ya KT altında) və cərrahi (açıq və ya laparoskopik)

Cərrahi drenaja göstəriş?

Perkutan uğursuz olarsa.

Cərrahi drenaj çox saylı abseslərdə uğursuzdur.

 Amöb absesinin etiologiyası nədir?

Entamoeba histolytica (intestinal amöbiazisdə portal venadan keçərək qaraciyərə gəlir)

Yayılma yolu?

Fekal-oral

Risk faktorları?

Amobiazisin yayğın olduğu bölgələr, hemoseksuallar, alkollu xəstələr

Əlamətləri hansılardır?

Ağrı, yüksək hərarət,  hepatomegaliya, diareyya.

Qeyd: Titrətmə amöbik abseslərdə piogen abseslərə nisbətən az olur.

Daha çox hansı pay zədələnir?

Sağ pay

Abses möhtəviyyatının klassik təsviri?

Qəhvə rəngli  irin

Diaqnoz üçün müayinələr hansılardır?

Laborator, USM və KT

Hansı laborator test aparılmalıdır?

İFA metodu ilə plazmada amöb anticisimlərinin təyini  və ya PZR

Müalicəsi necədir?

Metronidazol

Cərrahi drenaja göstəriş?

Əgər metronidazola cavab vermirsə və ya partlamışsa

Sol payda olan böyük  amöbik qaraciyər xəstəliyinin hansı mümkün ağırlaşmaları var?

Perikardial kisənin eroziyası (adətən ölümlə nəticələnir)

NEYROENDOKRİN TÖRƏMƏLƏRİN QARACİYƏRƏ METASTAZLARI

N.Y.Bayramov, R.A.Məmmədov

 

Tərifi

Orqan və toxumalarındakı yerli endokrin hüceyrələrindən (karsinoidlər) və mədəaltı vəzidəki (MAV) adacıq hüceyrələrindən inkişaf edən şişlərin qaraciyər metastazlarıdır.

 

Təsnifatı

Sayına görə

  • təksaylı
  • çoxsaylı

Mənbəyinə görə

  • karsinoid (mədə-bağırsaq və digər)
  • qeyri-karsinoid – adacıq (mədəaltı vəzi)

Hormonal aktivliyinə görə

  • Funksional aktiv (funksional karsinoid, insulinoma, qastrinoma, qlükaqonoma, somatostatinoma, VİP-oma, ACTH-oma, PTH-oma, GRF-oma)
  • qeyri-aktiv

Bədxassəlik dərəcəsinə görə (ÜST təsnifatı)

  • xoşxassəli
  • bilinməyən
  • aşağı dərəcə bədxassəli
  • yüksək dərəcə bədxassəli

 

Ümumi xarakteristika

  • Neyroendokrin törəmələr (NET), orqan və toxumalarındakı yerli endokrin hüceyrələrindən və mədəaltı vəzidəki (MAV)adacıq hüceyrələrindən inkişaf edən şişlərdir.
  • Bunlara APUD-omalar da deyilir
  • Klassik olaraq NET-lər iki qrupa bölünür: karsinoid və qeyri-karsinoid şişlər.
  • Tərkibində neyronal enolaza enziminin olması sinir mənşəli olduqlarını göstərir.
  • Hormonal aktiv və ya qeyri-aktiv formaları ola bilir.
  • NET-lərin bəd və xoşxassəli formaları sitoloji və histoloji cəhətdən fərqlənmir, bədxassəliyin yeganə əlaməti metastazların olmasıdır.
  • NET-lərin hamısında xromoqrafin A və neyron spesifik enolaza tapılır ki, bu da diaqnozu dəqiqləşdirə bilir.

 

Karsinoidlər

  • Karsinoidlər mədə-bağırsaq və digər orqanların neyro-endokrin hüceyrələrinən inkişaf edən törəmələrə deyilir.
  • Yerinə görə karsinoidlər üç qrupa ayrılır:
    • Ön bağırsaq - ağciyər, udlaq, mədə, onikibarmaq bağırsaq, mədəaltı vəzi, qaraciyər, öd kisəsi.
    • Orta bağırsaq - nazik bağırsaq, appendiks, proksimal kolon
    • Arxa bağırsaq - distal kolon, düz bağırsaq) formalara ayrılır.
  • Karsinoidlərin aktiv formaları bioloji aminlər (serotonin), prostaqlandinlər və peptidlər (kininlər, peptid hormonları) ifraz edə bilirlər.
  • Orta bağırsaq karsinoidləri serotoninlə zəngindirlər və karsinoid krizi (qızarma, hipo-, hipertoniya, aritmiya, (diareya) və fibroz (mezenterik, nefroperitoneal, ürək qapağı fibrozları) törədə bilir.
  • Ön və arxa bağırsaq karsinoidləri isə serotonindən kasıbdırlar və adətən krizlər törətməzlər.

 

Qeyri-karsinoidlər

  • Əsasən MAV adacıq hüceyrələrindən inkişaf edirlər.
  • Aktiv formaları ən çox ifraz etdiyi hormona görə insulinoma, qastrinoma, somatostatinoma, VİP-oma və s. adlanır.
  • İnsulinomalar 10%, qastrinomalar 50%, qlükaqonomalar 70%, somatostatinomalar 80%, VİP-oma 40%, ACTH-oma 100%, PTH-oma 100%, GRF-oma 30% halda bədxassəli ola bilirlər.

 

Gedişi

  • NET metastazları yavaş böyüyən, kimyaterapiyaya az həssas törəmələrdirlər, adətən hipervaskulyar olurlar və sürətli qan axınına sahibdirlər.
  • NET-in təbii gedişinə təsir edən ən önəmli amillər qaraciyərə metastaz, metastazların sayı və müalicədir: 5 illik yaşam metastaz olmayan hallarda 90-100%, metastaz olduqda 30-40%,  rezeksiyadan sonra 70%-ə çata bilir.

 

Klinikası

  • Klinik büruzə şəkli ilkin xəstəliyə, kütlə effektinə və şişin hormonal aktivliyinə bağlıdır.
  • Qeyri-aktiv şişlərdə kütlə effekti ön planda durur.
  • Aktiv karsinoid şişlər karsinoid krizləri törədirlər: qızarma, hipo-, hipertoniya, aritmiya, diarreya.
  • Hormonal aktiv MAV metastazları ən çox ifraz etdikləri hormona uyğun endokrinopatiya əlamətləri ilə büruzə verirlər:
    • insulinomalarda hipoqlikemik tutmalar
    • qastrinomalarda xora və diarreya
    • qlükaqonomalarda diabet və anemiya
    • somatostatinomalarda diabet, steatoreyya və öd daşı
    • VİP-omada sulu-sekretor diarreya (ac olan vaxtı diarreya)
    • ACTH-omada hipertoniya
    • PTH-omada hipokalsemiya
  • Hormonal aktivliyin səviyyəsi ilə törəmənin kütləsi arasında paralellik var.

 

Diaqnostikası

Şübhə

  • Anamnezində və hazırda NET-i olanlarda,
  • Endokrinopatiyası olanlarda (karsinoid krizi, diareya, diabet, hipohipertoniya, hipokalsemiya, xoralar və s.) qaraciyərdə kütlə tapılarsa
  • Kontrastlı müayinələrdə hipervaskulyar törəmə tapılarsa

 

Dəqiqləşdirmə

  • Dəqiqləşdirmək üçün klinik əlamətlərlə yanaşı endokrin müayinə, tomoqrafiya və ssintoqrafiya aparılır.
  • NET-in qaraciyər metastazlarının xarakterik xüsusiyyəti hipervaskulyar olmasıdır ki, bu da Doppler müayinəsində intensiv axın şəklində, kontrastlı müayinələrdə isə arterial fazada kontrastlaşma və venoz fazada yuyulma əlaməti ilə təyin edilir.
  • Hormonal aktiv şişlərdə endokrin əlamətlərlə yanaşı qanda hormonların səviyyəsi artır.
  • Funksional karsinoidlərdə sidikdə 5-hidroxiindol turşusunun təyini, adacıq şişlərində isə hormonların təyini diaqnozda faydalıdır.
  • Adacıq şişlərinin yayılmasını və diaqnozunu dəqiqləşdirmək üçün PET-KT və somatostatins sintoqrafiyası faydalıdır.
  • Histokimyəvi müayinədə xromoqrafin A və neyron – spesifik enolazanın tapılması diaqnozu dəqiqləşdirir.

 

 

 

Diaqnostik əlamətləri:

  • Kütlə effekti və ya endokrin əlamətlər
  • 5-hidroksiindol turşusu və ya hormonların artması
  • Hipervaskulyar törəmələr
  • PET-KT və ya somatostatin ssintoqrafiyası müsbət
  • Biopsiyada xromoqrafin A, neyronal enolaza enzimi müsbət

 

Müalicəsi

Rezeksiya NET metastazlarının əsas müalicəsidir. Qaraciyərin digər bədxassəli şişlərindən fərqli olaraq NET metastazlarında sitoreduktiv rezeksiya (şişin 90%-indən çoxu çıxarılmalıdır) aparıla bilər. Bu bir neçə səbəblə əlaqədardır:

  • neyroendokrin şişlərin əksəriyyəti yavaş inkişaf edir və kimyaterapiya və radioterapiya isə az həssasdırlar.
  • şişin hormonal aktivliyi ilə ölçüsü arasında ciddi paralellik var.
  • şişi tam çıxarma ilə tama yaxın (>90%) çıxarma arasında uzaq nəticələrdə ciddi fərq görünmür (5 illik yaşam 60 – 70%, residiv 80%).

Rezeksiya mümkün olmayan hallarda Tx, RTD, kimyaterapiya (somatostatin, streptazosin, interferon, 5 – flüorurasil, doksorubisin və s.) və digər tədbirlər tövsiyə edilir.

Karsinoid şişlərdə krizin profilaktikası üçün əməliyyatdan və prosedurlardan əvvəl və sonrakı ilk günlərdə somatostatin analoqları istifadə edilməlidir.

 

Özət

Neyroendokrin törəmələr (NET), orqan və toxumalardakı yerli endokrin hüceyrələrindən və mədəaltı vəzidəki (MAV) adacıq hüceyrələrindən inkişaf edən şişlərdir. Həm karsinoid (əsasən mədə bağırsaq toxumalarından inkişaf edən),  həm də qeyri-karsinoid şişlər (əsasən MAV adacıqlarindan inkişaf edən) Qc-ə metastaz verə bilirlər. NET-lərin  hormonal aktiv və ya qeyri-aktiv formaları ola bilir. Karsinoidlərin aktiv forması serotonin və digər aktiv maddələr ifraz edərək (prostaqlandin, kinin və s) karsinoid krizlər torədə bilirlər. Qeyri-karsinoidlərin aktiv formaları isə ifraz etdikləri hormonlara uyğun endokrinopatiya törədirlər. NET-lərin bəd və xoşxassəli formaları sitoloji və histoloji cəhətdən fərqlənmir, bədxassəliliyin yeganə əlaməti metastazların olmasıdır. Diaqnostikada klinik əlamətlərlə yanaşı endokrin müayinə, tomoqrafiya və ssintoqrafiya istifadə edilir. NET-lərin hamısında xromoqrafin A və neyron spesifik enolaza tapılır ki, bu da digər törəmələrdən differensasiya üçün çox faydalıdır. Rezeksiya NET metastazlarının əsas müalicəsidir. Qaraciyərin digər bədxassəli şişlərindən fərqli olaraq NET metastazlarında sitoreduktiv rezeksiya (şişin 90%-indən çoxu çıxarılmalıdır) aparıla bilər.

 

Neyroendokirin törəmələr üzrə suallar

N.Y.Bayramov, A.K.Səfiyeva, Ş.Ə.Məmmədova

 

Neyroendokirin törəmələr nədir?

Orqan və toxumalarda yerləşən yerli endokrin hüceyrələrdən inkişaf edən törəmələrdir.

Hansı növləri var?

Karsinoid və qeyri-karsinoid

Biopsiyaya görə neyroendokrin törəmənin bəd və ya xoş xassəli olduğunu təyin etmək olarmı?

Xeyr. Digər törəmələrdən fərqli olaraq neyroendokrin töərmələrin bəd və ya xoş xassəli olduğunun göstəricisi metastazların olub-olmamasıdır.

Neyroendokrin törəmələrin qaraciyər metastazlarının xarakterik xüsusiyyətləri hansılardır?

 

  • Yerli endokrin hüceyrələrdən və ya mədəaltı vəzi adacıqlarından inkişaf edən törəmələrdir
  • Bədxassəliyin yeganə əlaməti metastazların olmasıdır
  • Yavaş inkişaf edən törəmələrdir
  • Hormonal aktiv və qeyri-aktiv ola bilirlər
  • Törəmənin miqdarı ilə endokrinopatiya dərəcəsi arasında paralellik var
  • NET-lərin hamısında xromoqrafin A və neyron spesifik enolaza tapılır
  • Kimyaterapiyaya və radioterapiyaya az həssasdırlar
  • Sitoreduktiv rezeksiya (şişin 90%-indən çoxu çıxarılmalıdır) aparıla bilər

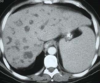
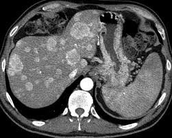
KOLOREKTAL XƏRÇƏNG METASTAZI

N.Y.Bayramov, R.A.Məmmədov

 

Tərifi

Yoğun və düz bağırsaq xərçənginin qaraciyər metastazlarıdır.

Metastatik şişlər qaraciyərin birincili bəd xassəli şişlərindən 20 dəfə çox rast gəlir. Mədə-bağırsaq şişlərinin hamısı, digər şişlərin yarısından çoxu qaraciyərə metastaz verir. Qaraciyərdə ən çox rast gələn metastatik şişlər çənbər bağırsaq, mədə, mədəaltı vəzi, süd vəzi və ağciyər xərçəngidir.

 

Rastgəlmə tezliyi

  • KRX metastazları qaraciyərdə ən çox rast gələn bəd xassəli törəmələrdir.
  • Rastgəlmə tezliyinə görə yalnız hemangiomalardan geri qalır.

 

Morfologiyası

  • Əksər hallarda (70%) çoxsaylı olur və qaraciyərin hər iki payını tutarlar.
  • Ölçüləri bir neçə millimetrdən bir neçə santimetrə qədər dəyişə bilər.
  • Tək şişlər adətən sağ payı tutar.
  • Əksəriyyəti arerial qanla qidalanırlar, sürətli qan axınına malikdirlər, lakin hipovaskulyardırlar.
  • Törəmə ətrafında kapsula olmur, lakin reaktiv bölgə ola bilir ki, bu da USM-də hipoexoik haşiyə kimi görünə bilir.

 

Gedişi

Digər bədxassəli şişlərdən fərqli olaraq KRX əksər hallarda limfa düyünündən sonra yalnız qaraciyərə metastaz verirlər.

  • KRX-nin əksəriyyəti (90-100%) Qc-ə metastaz verir və bunların təxminən 1/3 sinxron, 2/3 isə metaxron tapılır.
  • KRX-in qaraciyərə metastazlarının təbii gedişini müəyyən edən ən mühüm amillər müalicə və qaraciyərdə yayılma dərəcəsidir.
  • Yayılmış və qeyri-rezektabel metastazlarda kimyaterapiya sonrası yaşam 5-7 aydan 18-20 aya qədər artır.
  • Rezektabel metastazlarda rezeksiya yaşamı 12-14 aydan 30-40 aya qədər uzada bilir.
  • Müalicə olunmayan və ya residiv verən KRX metastazlarında ölümün başlıca səbəbləri qaraciyər yetməzliyi və şiş ağırlaşmalarıdır.

 

Klinikası

  • Sinxron metastazlar kiçik olduqda və ya ağırlaşma törətmədikdə əlamət vermirlər, xəstənin klinikasında bağırsaq əlamətləri üstünlük təşkil edir.
  • Metaxron şişlərdə erkən mərhələlərdə klinik əlamətlər az büruzə verir, əsasən görüntüləmə və laborator müayinədə (QF, CEA artması) şubhə yaranır.
  • İrəliləmiş mərhələrdə isə ağrı, arıqlama, subfebril hərarət kimi ümumi əlamətlərlə yanaşı, sarılıq, assit, və.s. ağırlaşma əlamətləri ilə də ortaya çıxa bilirlər.

 

Diaqnostikası

Şübhə

Aşağıdakı əlamətlərdən hər hansı biri varsa kolorektal xərçəng metastazından şübhələnmək lazımdır:

  • Anamnezində və hazırda KRX olanlar
  • Normal qaraciyər fonunda törəmə tapılan xəstələrdə
  • CEA artması

 

Dəqiqləşdirmə

  • Kolorektal metastazların spesifik diaqnostik əlaməti yoxdur, diaqnoz kriteriyalara və differensiasiyaya əsasən qoyulur.
  • Görüntüləmə üsulları diaqnozun dəqiqləşdirilməsində və mərhələnin təyinində önəmlidir.
  • CEA artması diaqnozu dəstəkləyir, artmaması isə inkar etmir.
  • Biopsiya differensial diaqnostika çətinliyi olarsa tətbiq edilir.

 

Diaqnostik kriteriyaları:

  • Hazırda və anamnezdə kolorektal xərçəng.
  • Görüntüləmədə bədxassəli şişlərə məxsus kontrastlaşma (arterial fazada periferik kontrastlaşma, venoz fazada yuyulma).
  • Biopsiyada adenokarsinoma metastazı.

 

Differensial diaqnostika

  • Qaraciyərin xoşxassəli törəmələri
  • HSK
  • Digər metastazlar

 

Mərhələləri

  • Geniş yayılan TNM təsnifat sistemi HSX-da olduğu kimi qaraciyərin kolorektal metastazlarında da özünü doğrultmur.
  • Hazırda daha obyektiv mərhələ və proqnostik sistemlər araşdırılmaqdadır.
  • Şişin histoloji tipinin, iki tərəfli tutulmanın, differensasiya dərəcəsinin, yoğun bağırsaqda yerinin, cinsin və yaşın proqnostik əhəmiyyət daşımadığı məlum olmuşdur.
  • KRX metastazlarında proqnostik əhəmiyyət daşıyan əsas 7 amil aşağıdakılardır: ekstrahepatik yayılma, rezeksiya sərhəddində şiş, limfa düyünüdə ilkin metastaz, şişin 5 sm-dən böyük olması, bir ədəddən çox şiş, ilkin şişlə Qc-ə metastaz arasındakı müddətin 1 ildən az olması, CEA >200 nq/ml.

 

   

 

 

Müalicəsi

  • KRX metastazlarında hazırkı müalicə strategiyası rezeksiya üzərində qurulmuşdur: şiş rezektabeldirsə birbaşa rezeksiya etmək, qeyri-rezektabel şişlərdə isə kimyaterapiya, destruksiya və s. kimi üsullarla şişi rezektabel vəziyyətə gətirmək və rezeksiya etmək, rezeksiyadan sonra isə, göstərişə görə kimyaterapiya etmək.
  • Rezeksiya KRX metastazlarının ən radikal, hətta sağaldıcı müalicəsi sayılır. Rezeksiyadan sonra ortalama yaşam 30 – 40 ay, 5,10,20 illik yaşam isə 25 – 40%, 25% və 20% təşkil edir.
  • Qeyri – rezektabel şişlərdə şişi kiçiltmək üçün ilk seçim radiotezlikli destruksiyadır, ikinci seçim isə kimyaterapiyadır.
  • Qalan qaraciyərin həcmini artırmaq üçün portal vena embolizasiyası istifadə edilir. KRX metastazları müasir kimyaterapevtik müalicələrə yüksək həssaslıq göstərirlər. Kimyaterapiyada ilk seçim preparatları 5 – florurasil + leukovorin+ irinotekan (FOLFRI) və 5 – florurasil+ leukovorin + oxaliplatin (FOLFOX) kombinasıyalarıdır.
  • Bu kombinasiyalara böyümə faktorları anticismlərini (vaskulyar böyümə amili anticisimi olan bevacizumub, və ya epidermal böyümə anticisimi – setuximab) əlavə etmək olar. Bu kombinasiyalara 40 – 50% hallarda cavab alınır, 18 – 20 aylıq yaşam təmin edilir.

 

Özət

Metastatik şişlər qaraciyərin birincili bəd xassəli şişlərindən 20 dəfə çox rast gəlir. Mədə-bağırsaq şişlərinin hamısı, digər şişlərin yarısından çoxu qaraciyərə metastaz verir. Qaraciyərdə ən çox rast gələn metastatik şişlər çənbər bağırsaq, mədə, mədəaltı vəzi, süd vəzi və ağciyər xərçəngidir.

Kolorektal xərçəng (KRX) qaraciyərə ən çox metastaz verən şişdir, metastazların təxminən üçdə biri bağırsaqda şiş tapıldığı vaxt olur (sinxron metastazlar), qalanı isə metaxro ortaya çıxır. KRX metastazlarının spesifik diaqnostik əlaməti yoxdur, anamnezdə və ya hazırda KRX olması, xarakterik kontrastlaşma əlaməti (arterial fazada kontrastlaşma, venoz fazada yuyulma), normal parenxima görünməsi  və yüksəlmiş CEA xarakterik əlamətləri sayılır. Ən çox tövsiyə olunan müalicələr rezeksiya, radiotezlikli destruksiya, arteriyadaxili və sistemik kimyaterapiyadır. Rezeksiyadan sonra ortalama yaşam 30-40 ay, 5,10,20 illik yaşam isə 25-40%, 25% və 20% təşkil edir.

 

Kolorektal xərçəngin qaraciyər metastazları üzrə suallar

N.Y.Bayramov, A.K.Səfiyeva, Ş.Ə.Məmmədova

 

Kolorektal xərçəngin qaraciyər metastazlarının xarakterik cəhətləri hansılardır?

  • Qaraciyərdə ən çox rast gələn bəd xassəli törəmələrdir  ?
  • Kolorektal xərçəngin əksəriyyəti Qc-ə metastaz verir
  • Əksəriyyəti çoxsaylıdır
  • Əsasən arteriya ilə qidalanır, lakin hipovaskulyardır
  • Adətən normal qaraciyər fonunda rast gəlirlər
  • Kolorektal xərçənglə birlikdə və ya ondan sonra tapıla bilirlər.
  • Qaraciyər törəmələri arasında kimyaterapiyaya ən həssas şişlərdən hesab olunurlar.
  • Müasir müalicələr xəstənin yaşamını 2-3 dəfə artıra, hətda sağalda bilir
  • Rezeksiya əsas müalicədir, digərləri buna köməkçidir

 

QARACİYƏRİN DİGƏR BİRİNCİLİ BƏDXASSƏLİ TÖRƏMƏLƏRİ

N.Y.Bayramov, R.A.Məmmədov

 

İNTRAHEPATİK XOLANGİOKARSİNOMA

 

Tərifi

Xolangiokarsinoma öd axacaqları epitelindən inkişaf edən bəd xassəli şişdir. İnkişaf etdiyi yerə görə intrahepatik və ekstrahepatik (xoledox xərçəngi) növləri vardır. İntrahepatik xolangiokarsinomanın (İHX) əksər klinik əlamətləri hepatosellular karsinomaya bənzəyir, lakin fərqli olaraq sirroz fonunda az rast gəlir.

 

Rastgəlmə tezliyi

Bədxassəli şişlər arasında 2%,  qaraciyər şişləri arasında 10% rast gəlir və qaraciyərin birincili bəd xassəli şişləri arasında hepatosellular xərçəngdən sonra ikinci yerdə durur.

 

Morfologiyası və gedişi

Bir çox cəhətlərinə görə hepatosellular xərçəngə bənzəyir və bunları ayırmaq bəzən çətin olur. HSK kimi İHX da:

  • morfoloji cəhətdən tək kütlə, düyünlü və diffuz tipli ola bilir
  • intrahepatik yayılmağa meyillidirlər, ekstrahepatik yayılma isə az rast gəlir (20%).

 

HSK-dan fərqli olaraq İHX :

  • xroniki qaraciyər xəstəlikləri ilə əlaqəsi zəifdir və Qc parenximası normal olur, lakin birincili biliar sirrozda və skleroz xolangitdə İHX riski var.
  • daha çox mərkəzdə və öd yolları ətrafında yerləşir.
  • portal strukturlara invaziyaya və atrofiya törətməyə meyillidir

 

Klinikası

  • İlk dövrlərdə zəif əlamətlərlə büruzə edir.
  • Qarında ağrı, kütlə hissi, arıqlama, sarılıq və digər xolestaz əlamətləri gec mərhələdə ortaya çıxır.
  • Öd axacaqlarının tutulması, kompressiyası, damarların tıxanması və ya parenximanın diffuz tutulması sarılıq törədir.

 

Diaqnostikası

Şübhə

  • Qc-də kütlə tapılan xəstələr
  • Perihiliar yerləşmiş, kapsulyar retraksiyası olan, hipovaskulyar kütlə
  • Birincili biliar sirrozda və skleroz xolangiti olan xəstələrdə
  • Sarılıq və xolestaz əlaməti olanlarda

 

Dəqiqləşdirmə

İntrahepatik xolangiokarsinomanın spesisfik diaqnostik əlamətləri yoxdur, diaqnoz differensiasiya əsasında, əksər hallarda isə patoloji müayinə ilə dəqiqləşdirilir.

 

Xolangiokarsinoma üçün xarakterik əlamətlər:

  • Kontrastlı müayinədə (KT, MRT) xarakterik bədxassəlik əlaməti: arterial kontrastlaşma, venoz yuyulma
  • Perihilyar yerləşmiş, kapsulyar retraksiyası olan, hipovaskulyar kütlə
  • Digər bəd xassəli törəmələrin (xüsusən də HSK və metastazların) inkarı

 

 

 

İntrahepatik xolangiokarsinoma

 

Differensasiya

  • Görüntüləmə üsulları ilə HSX və İHX-nı bir-birindən ayırmaq çətindir və bəzən biopsiya ilə də fərqləndirmək çətinlik törədir. Hər iki patologiyada da bədxassəli törəmələrə məxsus sürətli qan axını və kontrastlaşma əlaməti (arterial kontrastlaşma, venoz yuyulma) nəzərə çarpır. HSX-dan fərqli olaraq İHX-nın əksəriyyəti hipovaskulyardır, perihiliar yerləşmə və “kapsulyar retraksiya” əlaməti çox rast gəlir.
  • Biopsiyada İHX-lar adenokarsinoma kimi görünür və immunositokimya aparmadan metastatik adenokarsinomalardan fərqləndirmək çətin olur.

 

Müalicəsi

  • Xolangiokarsinomanın radikal müalicəsi cərrahi üsuldur.
  • HSX-dan fərqli olaraq intrahepatik xolangiokarsinomada qaraciyər parenximası normal olduğu üçün rezeksiyaya göstəriş geniş tutulur və rezektabellik imkanı da daha çox olur (6-70%).
  • Ekstrahepatik yayılması, magistral damar invasiyası və hər iki payda yayılması olmayan şişlər rezektabel qəbul edilir.
  • Radikal rezeksiyaya baxmayaraq residiv ehtimalı yüksəkdir (iki ildə 80-90%), yaşama müddəti isə 8-50 ay arasında dəyişir.
  • Qeyri-rezektabel şişləri kiçiltmək və rezektabel hala gətirmək üçün və postrezeksion residivi azaltmaq üçün floksuridin infuziyası tətbiq edilir.
  • Diffuz yayılmada Qc Tx yaxşı nəticələr vermir

 

HEPATOBLASTOMA

 

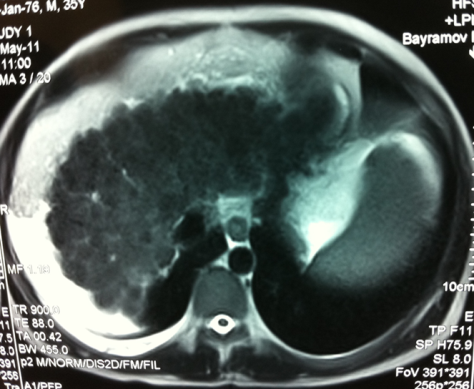
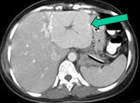
Tərifi

Hepatoblastoma uşaqlarda ən çox rast gələn (50%) bəd xassəli birincili qaraciyər şişidir.

 

Morfologiyası

  • Histoloji cəhətdən embrional hepatositlərə bənzəyən hüceyrələrdən təşkil olunmuşdur.
  • Şiş daxilində osteoid, qığırdaq, fibroz tipli mezenximal toxumalara da rast gəlmək olur.
  • Osteoid toxumanın və nekrozun olması ilə əlaqədar şiş daxilində kalsifikasionlar tez-tez (30%) müşahidə olunur.
  • Ən çox sağ payda yerləşir, ölçüləri 1-2 sm-dən 10-15 sm-ə qədər dəyişə bilir.
  • Qaraciyər parenximası əksər hallarda normal olur.

 

   

 

Şəkil. Hepatoblastoma

 

Diaqnostikası

Şübhə

  • Uşaq yaşlarında qaraciyərdə törəmə tapılarsa ilk növbədə hepatoblastomadan şübhələnmək lazımdır.
  • Alfa-fetoprotein əksər hallarda yüksəlir.

 

Dəqiqləşdirmə

  • Görüntüləmə əlamətlərinə görə qaraciyərin digər şişlərindən ciddi fərqlənmir- hipoexoik, hipodens, hipervaskulyar, T1-də hipointens, T2-də hiperintens, heterogen.
  • Dəqiq diaqnozu patohistoloji müayinədə qoyulur.

 

Müalicəsi

  • Qaraciyər rezeksiyası radikal müalicə üsuludur.
  • Böyüklərdəki hepatosellular xərçəngdən fərqli olaraq hepatoblastoma əksər hallarda (60%) rezektabel vəziyyətdə olur. Lakin ölüm halları çox yüksəkdir (20-70%).

 

 

EPİTELİOİD HEMANGİOENDOTELİOMA

 

Tərifi

Damar mənşəli mezenximal şişdir, xoş və bəd xassəli törəmələr arasında orta yer tutur. Əksəriyyəti çoxsaylıdır.

 

Səbəbi

  • Səbəbi məlum deyil.
  • Digər birincili bədxassəli törəmələrdən fərqli olaraq Qc parenxima xəstəliyi ilə əlaqəsi yoxdur.

 

Morfologiyası

  • Endotelə bənzər hüceyrələrdən və zəngin fibroz toxumadan təşkil olunmuşdur. Hüceyrələrin sitozolunda geniş vakuolların olması xarakterik histoloji əlaməti sayılır.
  • Əksər hallarda (70%) çoxsaylı olur və törəmələrin ölçüsü bir neçə millimetrdən başlayıb bir neçə santimetrə qədər (0,5-12 sm) çata bilir, hətta düyünlər birləşərək konqlomerat əmələ gətirə bilər (limfomalarda olduğu kimi).

 

Gedişi

  • Əksər hallarda zəif inkişaf edir və xəstələr 10 illərlə yaşaya bilir.
  • Bəzən sürətli proqressiv gedişli olub, fatal nəticə də verir.
  • Hemangioendotelioma xoş və bəd xassəli törəmələr arasında orta yer tutur.

 

Klinikası

  • Klinik təzahürü müxtəlif ola bilir.
  • Bəzən asimptomatik (25%), simptomatik formalarda Qc enzimlərində dəyişmə, ağrı, hepatomeqaliya olur.
  • PH, hətta Qc yetməzliyi ilə ortaya çıxa bilir.

 

Diaqnostikası

Şübhə

  • Qc-də çoxsaylı düyünlər (şiş markerləri artmır - α-fetoprotein, CEA, CA-19.9)
  • Ağrı, hepatomeqaliya
  • Qc enzimlərində dəyişmə

 

Dəqiqləşdirmə

  • Xarakterik görüntüləmə əlaməti yoxdur, əksər əlamətləri metastazları xatırladır (normal Qc fonu, çoxsaylı düyünlər, USM- də hiper- və ya hipoexoik, kapsulyar retraksiya, periferik haşıyə, T1-də hipointens, T2-də hiperintens, kalsifikasiya).
  • Diaqnozu dəqiqləşdirmək üçün biopsiya lazımdır.

 

 

 

Epitelioid hemangioendotelioma

 

Müalicəsi

  • Hemagioendoteliomanın müalicəsində rezeksiya və Qc Tx əsas yer tutur.
  • Qaraciyərin 2-3 seqmenti tutulan xəstələrdə rezeksiya, diffuz tutulmada  Qc Tx,  ekstrahepatik yayılmalarda isə kimyaterapiya tövsiyyə edilir.
  • Qc Tx ən çox tövsiyyə olunan üsuldur və yaxşı uzaq nəticələr verir (5 illik yaşam 70%, 10 illik yaşam 64%).

 

ANGİOSARKOMA

 

  • Angiokarsinoma qaraciyərin nadir rast gələn bəd xassəli şişi olub, Kupffer hüceyrələrindən inkişaf etdiyi ehtimal edilir.
  • Ədəbiyyatda müxtəlif adlarla - hepatik angiosarkoma, hemangioendotelial sarkoma, Kupffer hüceyrə sarkoması, hemangiosarkoma - adlandırılır.
  • Etiologiyasında torotrastın, arsenidin, vinil xloridin rolu olduğu məlumdur.
  • Sürətlə böyüyərək çox erkən metastazlar verir və ən çox dalağa (80%) və ağciyərə (60%) yayılır.
  • Qaraciyərin bədxassəli törəmələri arasında ən pis gedişli şişdir.
  • Görüntüləmə üsulları ilə digər şişlərdən fərqləndirmək çətindir.
  • Hüceyrə spesifik kontrastlı (Kupffer hüceyrələrində tutulan) MRT diaqnostikada yeni perspektivlər açsa da, hələlik dəqiq diaqnozu patohistoloji müayinə ilə qoyulur.
  • Müalicəsi erkən dövrlərdə rezeksiyadır.
  • Əksər hallarda angiosarkoma qeyri-rezektabel vəziyyətdə olur və orta yaşama müddəti 1 ildən azdır.

 

 

 

Şəkil. Angiosarkoma (KT görünüşü, arterial faza)

 

Özət

İntrahepatik xolangiokarsinoma qaraciyərdaxili öd epitelindən inkişaf edən, hepatosellular xərçəngdən sonra ən çox rast gələn birincili bədxassəli qaraciyər törəməsidir. Birincili biliar sirroz və skleroz xolangit risk faktorları sayılır, daha çox mərkəzdə və öd yolları ətrafında yerləşir, intrahepatik və portal strukturlara yayılmaya, atrofiya törətməyə meyillidir, ekstrahepatik metastazları azdır, HSK-dan fərqli olaraq sirroz fonunda az rast gəlir. Diaqnostikası və müalicəsi HSK kimidir, lakin diffuz yayılmada Qc Tx yaxşı nəticələr vermir.

Hepatoblastoma uşaqlarda ən çox rast gələn bəd xassəli birincili qaraciyər şişidir. Törəmədə kalsifikasiyalar çox rast gəlir, rezektabellik ehtimalı yüksək olan törəmələrdən hesab olunur.

Angoisarkoma Kupffer hüceyrələrindən inkişaf etdiyi ehtimal olunan və qaraciyərin bədxassəli törəmələri arasında ən pis gedişlisidir, nadir hallarda rezektabel olur.

Hemangioendotelioma endotelə bənzər hüceyrələrdən təşkil olunmuş, gedişinə görə xoş və bədxassəli şişlər arasında durur. Əksəriyyəti çoxsaylı olur, hətta limfomaya bənzər konqlomeratı ola bilər, diffuz formalarda transplantasiya yaxşı nəticələr verir.

 

 

Suallar

N.Y.Bayramov, A.K.Səfiyeva, Ş.Ə.Məmmədova

 

Suallar

Cavablar

Xolangiokarsinoma nədir?

Öd  axacaqları  epitelindən  inkişaf  edən  bəd  xassəli şişdir.

Hansı klinik formaları var?

  • İntrahepatik;
  • Ekstrahepatik (xoledox xərçəngi)

Rastgəlmə tezliyi nə qədərdir?

Bədxassəli şişlər arasında 2%,  qaraciyər şişləri arasında 10% rast gəlir və qaraciyərin birincili bəd xassəli şişləri arasında ikinci yerdə durur.

Risk faktorları nələrdir?

  • Birincili biliar sirroz;
  • Skleroz xolangit;

Gediş xüsusiyyəti necədir?

İntrahepatik və portal strukturlara yayılmaya, atrofiya törətməyə meyillidir,

ekstrahepatik metastazları azdır.

Ağırlaşmaları nələrdir?

Mexaniki sarılıq, tromboz, ətrafa invaziya

Klinik əlamətləri hansılardır?

  • İlk dövrlərdə zəif əlamətlər;
  • Qarında ağrı;
  • Kütlə hissi;
  • Arıqlama;
  • Sarılıq;

Hansı xəstələrdə şübhələnmək lazımdır?

  • Qc-də kütlə tapılan xəstələr;
  • Perihilyar yerləşmiş, kapsulyar retraksiyası olan, hipovaskulyar kütlə;
  • Birincili biliar sirrozda və skleroz xolangiti olan xəstələrdə;
  • Sarılıq və xolestaz əlaməti olanlarda;

Dəqiqləşdirmək  üçün hansı müayinələr lazımdır?

  • KT, MRT;
  • Biopsiya və patohistoloji müayinə;
  • Immunositokimyəvi müayinə;

Laborator əlamətləri nələrdir?

CA19-9 artması

Görüntlüləmə əlamətləri nələrdir?

Kontrastlı müayinə:

  • Arterial kontrastlaşma, venoz yuyulma (bədxassəlilik əlaməti);
  • Perihilyar yerləşmiş, kapsulyar retraksiyası olan, hipovaskulyar kütlə;

Digər müayinələrdə nə tapılır?

Biopsiyada adenokarsinoma kimi görünür və immunositokimya aparmadan metastatik adenokarsinomalardan fərqləndirmək çətin olur.

Diaqnostik kriteriyalarını sadala?

  • Görüntüləmə və klinik əlamətlər;
  • Digər bəd xassəli törəmələrin inkarı;

HSK ilə differensiasiya:

Oxşarlıq:

  • intrahepatik yayılmağa meyillidilər, ekstrahepatik yayılma isə az rast gəlir;

Fərq:

  • xroniki qaraciyər xəstəlikləri ilə əlaqəsi zəifdir və Qc parenximası normal olur;
  • daha çox mərkəzdə və öd yolları ətrafında yerləşir;
  • portal strukturlara invaziyaya və atrofiya törətməyə meyillidir;

Müalicə üsulları hansılardır?

  • Cərrahi;
  • Neoadyuvant terapiya - qeyri-rezektabel şişləri kiçiltmək və rezektabel hala gətirməküçün və postrezeksion residivi azaltmaq üçün floksuridin infuziyası;

Əməliyyata göstərişlər nələrdir?

Ekstrahepatik  yayılması,  magistral  damar  invasiyası və  hər  iki  payda yayılması olmayan şişlər rezektabel qəbul edilir.

Əməliyyat üsulları hansılardır?

Rezeksiya

Proqnozu nədir?

Radikal rezeksiyaya baxmayaraq residiv ehtimalı yüksəkdir (iki ildə 80-90%), yaşama müddəti isə 8-50 ay arasında dəyişir.

Xəstəliyin ən xarakterik özəlliyini bir cümlə ilə necə ifadə edərsiniz?

İntrahepatik xolangiokasinomanın əksər əlamətləri hepatosellular karsinomaya bənzəyir, lakin transplantasiya nəticələri qənaətbəxş deyil.

Qaraciyərdə ən çox rast gələn kanser hansıdır?

Metastatik şişlər, qaraciyərin xərçəngi ilə müqayisədə 20:1. İlkin mənbə daha çox qastrointestinal traktda olur.

Qaraciyərin çox rast gələn birincili bədxassəli törəməsi hansıdır?

Hepatosellular karsinoma (hepatoma)

Qaraciyərin  çox rast gələn birincili xoşxassəli törəməsi?

Hemangioma

Qaraciyər metastazları hansı qaraciyər testləri ilə müəyyən edilir?

ALT,AST və qələvi fosfataza (əgər birincili mənbə kimi kolon kanseri nəzərdə tutulursa CEA).

Hansı radioloji müayinə metodları istifadə olunur?

USM və KT (trifazik)

Qaraciyərin ən çox yayılmış 3 birincili xoşxassəli törəməsi hansılardır?

1.Hemangioma

2.Hepatosellular adenoma

3.Fokal nodulyar hiperplaziya

Qaraciyərin 4 birincili bədxassəli törəməsi hansılarıdr?

1.Hepatosellular karsinoma

2.Xolangiokarsinoma (intrahepatik)

3.Angiosarkoma

4.Hepatoblastoma (uşaqlarda və körpələrdə daha çox olur).

Digər xoşxassəli qaraciyər törəmələri hansılardır?

  • Xoşxassəli qaraciyər sistləri
  • Öd axarı hamartoması
  • Öd axarı adenoması.

Qaraciyər “hamartoması” nədir?

Qaraciyər normal hüceyrəsindən düyün formasını əmələ gətirən ağ rəngli bərk düyün.

 

HEPATOSELLULAR XƏRÇƏNG

N.Y.Bayramov, R.A.Məmmədov

 

Tərifi

Hepatosellulyar xərçəng hepatositlərdən inkişaf edən, qaraciyərin ən çox rast gələn birincili bəd xassəli şişidir. Hepatosellulyar karsinoma (HSK) və hepatoma da adlanır.

 

Təsnifatı

Sayı

təksaylı, çoxdüyünlü konqlomerat, diffuz

Klinik/Morfoloji

Adi və fibrolamellar tipli

Mərhələsi

Çox erkən, erkən, aralıq, irəliləmiş, terminal

 

Rastgəlməsi

  • Bəd xassəli törəmələr arasında 4-5-ci yeri tutur.
  • Kanserə bağlı ölümlər arasında 3-cü yeri tutur.
  • Ən çox 60-70 yaşlarında və kişilərdə (qadınlardan 2,5 dəfə çox) rast gəlir.
  • Yüksək riskli ölkələrdə (Uzaq Şərq, Afrika) daha çox 30-40 yaşlarında müşahidə edilir.

 

Etiologiyası

  • Dəqiq bilinmir.
  • Risk amilləri: sirroz, virus hepatitləri, metabolik xəstəliklər və hepatik adenoma
  • Əksər hallarda (60-90%) sirroz fonunda inkişaf edir.
  • Sirrotik xəstələrdə 5% halda, hemaxromatozda 10% halda HSX inkişaf edə bilir.

 

Patogenezi

  • Dəqiq məlum deyil.
  • İki patomexanizmin rolu ehtimal edilir: “daimi zədələnmə və regenerasiya” və viral inkorporasiya.
  • Xronik qaraciyər xəstəlikləri (sirroz, xronik hepatitlər, metabolik xəstəliklər və s.) üçün xarakterik olan nəzəriyyəyə görə “daimi zədələnmə ® xronik hepatit ® sirroz ® displastik düyün ® xərçəng”  zənciri  HSX-nın əmələ gəlməsində aparıcı rol oynayır.
  • Viral inkorporasiya mexanizminə görə hepatit B virusu DNT virusu olduğu üçün onun genomu hepatosit genomuna daxil olaraq mutasiyaya gətirib çıxarır.

 

Morfologiyası

  • Makroskopik olaraq tək şiş (50%), çoxsaylı düyünlü konqlomerat (20%) və mikroskopik diffuz (30%) şəkildə olur.
  • Histoloji olaraq hepatositlərdən və stromadan ibarət olub, bəzən kapsulu da olur. Hepatoma hüceyrələri görünüşünə görə normal hepatositlərdən çox fərqlənmir, lakin düzülüşünə görə trabekulyar, psevdoqlandulyar, kompakt, fibrolamellar və s. tipləri vardır.
  • Qan təhcizatının əksər hissəsini (95%) arteriyalardan alır və sürətli qan axınına sahibdirlər. Bu cəhəti diaqnostikada (kontrastlaşma xüsusiyyəti) və müalicədə (arterial kimya embolizasiya) nəzərə alınır.
  • Klinik-histoloji cəhətdən iki tipi var: fibrolamellar və adi.
  • Fibrolamellar tip hepatositlərin sütunşəkilli düzülüşü, zəngin fibroz toxumanın - kapsulun, fibroz arakəsmələrin, mərkəzində çapığın və kalsifikasiyaların olması ilə xarakterizə olunur. Bu tip gənc yaşlarda (30-40 yaşlarda) çox rast gəlir, sirroz və digər qaraciyər xəstəlikləri ilə əlaqəsi yoxdur, a-fetoprotein yüksəlmir, proqnozu adi tipə nəzərən daha yaxşıdır.
  • Adi tip yaşlılarda (60-70 yaşlarında) və kişilərdə daha çox rast gəlir, sirroz və digər qaraciyər xəstəlikləri ilə yaxın əlaqəsi var, a-fetoprotein yüksəlir.

 

   

 

Hepatoselulyar karsinoma adi tip və fibrolamellar tip

 

Gedişi

  • Əksər hallarda geriyədönməz və proqressivdir
  • Daha çox qapı venasına (25-40%) və qaraciyər venalarına (16%) invaziya edir, az hallarda isə (8%) uzaq metastazlar verir.
  • Müalicə olunmayan HSK-da 1 illik yaşam 17%, 2 illik yaşam 7%, ortalama yaşam isə 6-16 ay təşkil edir.
  • Letallığın əsas səbəbi şişin lokal inkişafına bağlı qaraciyər yetməzliyi və ümümi vəziyyətin pisləşməsidir.

 

Klinikası

  • Asimptomatik
  • Arıqlama, qarında ağrı, hepatomeqaliya
  • Sirrotik xəstənin birdən-birə vəziyyətinin pisləşməsi (qaraciyər çatışmamazlığı, varikoz qanaxma, assitin artması)
  • İntraperitoneal qanaxma

 

Diaqnostikası

Şübhə

Sirrotik xəstələrdə qaraciyərdə törəmə tapılarsa ilk növbədə HSK-dən şübhələnmək lazımdır. Sirrozda, virus hepatitlərində vaxtaşırı HSK-ya görə müayinə olunmalıdırlar və AFP artması olanlarda da HSK yoxlanılmalıdır.

 

Dəqiqləşdirmə

HSK diaqnostikasında trifazik kontrastlı görüntüləmələr (KT, MRT) və AFP  əsas yer tutur. Xarakterik görüntüləmə əlaməti kontrastlaşma xüsusiyyətidir: arterial fazada hipervaskulyar, venoz fazada yuyulma (arterial qanla təchiz olduqlarına görə və sürətli qan axınına sahib olduqları üçün arterial fazada qaraciyərə görə tez kontrastlaşırlar, hepatositləri anormal olduğuna görə venoz fazada intrahepar yuyulur). Bu əlamət digər bədxassəli törəmələrdə də görünür. Lakin, sirroz fonundakı düyündə bu əlamətin görünməsi HSK üçün çox spesifikdir (həsaslığı 80%, spesifikliyi – 95 – 100%).

 

 

 

Şəkil HSK- arterial fazada kontrastlaşma, venoz fazada yuyulma

 

Diaqnostik əlamətləri:

  • Sirrotik xəstədə düyün, vəziyyətin pisləşməsi və s.
  • Xarakterik kontrastlaşma xüsusiyyəti: arterial fazada hipervaskulyar, venoz fazada yuyulma.
  • İki kontrastlı müayinənin heç birində yuxarıdakı əlamət yoxdursa biopsiya

 

Mərhələlərinin təyini

  • HSX-nın mərhələsinin təyinində TNM klassifikasiyası özünü doğrultmur.
  • HSX-da şişin yayılma dərəcəsi ilə yanaşı, qaraciyərin funksional vəziyyəti və orqanizmin ümumi vəziyyəti də mərhələ və proqnozun təyinində rol oynayır.
  • Barselona klassifikasiyasına görə 5 mərhələ ayırd edilir: çox erkən,erkən, aralıq, irəliləmiş və terminal mərhələlər.
    • Çox erkən mərhələdə tək şiş <2 sm və ya karsinoma in situ görünür, qaraciyər normal və ya kompensator sirroz (Child A), ümumi vəziyyəti isə normal olur.
    • Erkən mərhələdə tək şiş <5 sm və ya 3-ə qədər 3 sm-dən kiçik şişlər olur, qaraciyər normal və ya kompensator sirroz (Child A), ümumi vəziyyəti isə normal olur. Bu xəstələrdə radikal müalicələr (rezeksiya, transplantasiya, destruksiya) faydalı olur və 5 illik yaşama 50 – 70% təşkil edir.
    • Üçüncü – aralıq mərhələdə böyük (>5 sm) və ya çoxlu (>3) şiş tapılır, damar invaziyası olmur, qaraciyər funksiyası saxlanılır (Child A,B), ümumi vəziyyəti stabildir. Bu xəstələrdə intrahepar müalicə ilə (embolizasiya) 3 illik 50% yaşama təmin edə bilir.
    • Dördüncü – irəliləmiş mərhələdə qaraciyər funksiyası saxlanılsa da (Child A, B), damar invaziyası, ekstrahepatik yayılma və ya xərçənglə əlaqədar ümumi və yerli əlamətlərdən ən azı biri olur (arıqlama, çox zəifləmə, sarılıq). Bu qrupda ortalama yaşama 1 il təşkil edir. Sorafenib və yeni müalicələr araşdırılır.
    • Beşinci – terminal mərhələdə qaraciyərdə dekompensasiya və ya ümumi vəziyyətin ciddi pisləşməsi qeyd edilir. Bu xəstələrin yaşama müddəti bir neçə ay təşkil edir. Yalnız simptomatik müalicələr tövsiyə edilir.

 

Müalicəsi

Müalicəsində radikal (rezeksiya, transplantasiya və destruksiya – ablasiya) və palliativ (arteriyadaxili kimyaembolizasiya, radioterapiya, kimyaterapiya) üsullar istifadə edilir.

  • Erkən mərhələlərdə radikal üsullar, aralıq və irəliləmiş mərhələlərdə local müalicələr, terminal mərhələdə isə simptomatik müalicələr tövsiyə edilir.
  • Müalicə üsulu seçiminin ardıcıllığı aşağıdakı kimidir: rezeksiya transplantasiya destruksiya arterial kimyaembolizasiya digər alternativlər.
  • Bu prinsiplərlə müalicə olunan xəstələrdə proqnoz: erkən mərhələdə 5 illik yaşam 50 – 70%, aralıq mərhələdə 3 illik yaşam 50%-ə qədər, irəliləmiş mərhələdə ortalama yaşam 1 ilə qədər, terminal mərhələdə isə bir neçə ay təşkil edir.

 

 

Şəkil. HSK-nın müalicə taktikası

 

Özət

Hepatosellular karsinoma (HSK) hepatositlərdən inkişaf edən, qaraciyərin ən çox rast gələn birincili bəd xassəli şişidir, sirroz ən çox rast gəlinən risk faktorudur, xroniki viral hepatitlər, karsinogenlər (aflatoksin, siderozis, oral kontraseptivlər və torotrast), metabolik pozğunluqlar (a-antitripsin defisiti, Vilson xəstəliyi, qalaktozemiya), hepatik adenoma və displastik düyünlər də risk amilləridir. Xəstəlik əksər hallarda proqressiv və geriyədönməzdir, yerli yayılmaya meyillidir, az hallarda isə uzaq metastazlar verir. HSK asimptomatik ola bilər və ya qeyri-spesifik əlamətlərlə ortaya çıxar: qarında ağrı, hepatomeqaliya, sarılıq, sirrotik xəstədə vəziyyətin birdən-birə pisləşməsi, intraperitoneal qanaxma, ağrı və hərarət. Diaqnostikasında əsas yeri üçfazalı kontrastlı KT, MRT müayinələri tutur, “arterial fazada kontrastlaşma, venoz fazada yuyulma” xarakterik əlaməti sayılır, biopsiya xüsusi hallarda göstərişdir. Erkən çıxarılabilən mərhələlərdə radikal üsullar (reseksiya, transplantasiya, destruksiya), çıxarıla bilməyən irəliləmiş mərhələlərdə şişkiçildici müalicələr (arteriyadaxili kimyaembolizasiya, radioterapiya, kimyaterapiya), terminal mərhələdə isə simptomatik müalicələr tövsiyə edilir. Proqnozu erkən mərhələdə 5 illik yaşam 50-70%, irəliləmiş mərhələdə ortalama yaşam 1 ilə qədərdir.

 

 

Hepatosellular karsinoma (HSK) üzrə suallar

N.Y.Bayramov, A.K.Səfiyeva, Ş.Ə.Məmmədova

 

Hepatosellular karsinoma nədir?

Qaraciyərin birincili bəd xassəli törəməsidir.

Hansı adla da tanınır?

Hepatoma

Rastgəlmə tezliyi?

Bütün birincili bəd xassəli qaraciyər şişlərinin 80%-ni təşkil edir.

Risk faktorları hansılardır?

Sirroz, Hepatit B, C, alfa antitripsin defisiti, hemaxromotoz anabolik steroidlər, qlükogen depo xəstəliyi, aflatoksin

Sirrozu olan xəstələrin neçə faizində HSK inkişaf edir?

Təxminən 5%

HSK olan xəstələrin neçə faizində sirroz tapılır?

Təxminən 80%

HSK-nın hansı iki forması var?

  • Klassik tip
  • Fibrolamellar tip

Bu iki formanın fərqləri nədir?

Klassik tip HSK sirroz fonunda inkişaf edir, yaşlı xəstələrdə rast gəlir, proqnozu daha pisdir. Fibrolamellar tip normal qaraciyərdən inkişaf edir, gənc xəstələrdə rast gəlir və proqnozu daha yaxşıdır.

Ən çox metastaz verdiyi orqan?

Ağciyər

Əlamətləri hansılardır?

Sağ yuxarı kvadrantda küt ağrı , hepatomeqaliya (klassik kliniki prezentasiya), kütlə, arıqlama, paraneoplastik sindrom, portal hipertenziya əlamətləri, assit, sarılıq, temperatur, anemiya, splenomeqaliya, stabil sirrotik xəstənin qısa müddətdə pisləşməsi.

Hansı müayinələr aparılmalıdır?

USM, KT, şiş markerləri

Hansı şiş markeri?

Alfa fetoprotein qalxır.

Diaqnoz üçün biopsiya mütləqdirmi?

Xeyr! Görüntüləmə üsulları ilə əksər hallarda diaqnozu dəqiqləşdirmək olur.

Hansı əlamətlərə görə diaqnoz dəqiqləşdirilir?

Sirroz fonu, arterial fazada hipervaskulyar, venoz fazada hipo (venoz yuyulma) görünmə xarakterik bədxassəlilik əlamətləridir.

Biopsiyaya heç ehtiyac yoxdurmu?

Əgər xəstə əməliyyat olunacaqsa ehtiyac yoxdur (törəmə biopsiya xətti üzrə yayılır), əməliyyat olunmayan hallarda kimyaterapiya proqramı üçün biopsiya aparıla bilər.

HSX müalicəsi üçün hazırda hansı üsullar tətbiq edilir?

Radikal üsullar: rezeksiya, transplantasiya və radiotezlikli destruksiya

Palliativ üsullar: İntraarterial kimyaembolizasiya, sistemik kimyaterapiya , simptomatik

Sirroz fonunda inkişaf edən HSX-in ən radikal müalicəsi hansıdır və nə üçün?

Qaraciyər transplantasiyası həm sirrozu həm də HSX-nı müalicə edir (Sirroz+HSX = Transplantasiya)

HSK-nın xarakterik xüsusiyyətləri hansılardır?

  • Qaraciyərin ən çox rast gələn birincili bəd xassəli şişidir
  • Sirroz fonunda çox rast gəlir
  • Distal metastazları az verir, daha çox yerli yaylma və damar invaziyasına meyillidir
  • Alfa-fetoproteinin artır
  • Xarakterik kontrastlaşma cəhəti – arterial hipervaskulyarizasiya və venoz yuyulmadır
  • Hazırki imkanlar çərçivəsində rezektabelliyin azdır (<15%)

HSK-nın diaqnozunu biopsiya etmədən qoyma olarmı?

Sirrotik qaraciyərdə xarakterik kontrastlaşma xüsusiyyəti varsa HSK diaqnozu qoyulur.

HSK-nın ən radikal müalicəsi hansıdır?

Sirroz fonunda inkişaf edən HSK-nın ən radikal müalicəsi qaraciyər transplantasiyasıdır.

 

 
 

QARACİYƏRİN DİGƏR XOŞ XASSƏLİ TÖRƏMƏLƏRİ

 N.Y.Bayramov, R.A.Məmmədov

 

Angiomiolipoma

  • Angiomiolipoma 3 komponentdən ibarət xoşxassəli törəmədir: geniş damarlar (mikroanevrizmalar), saya əzələ hüceyrələri və yağ toxuması.
  • Ölçüləri adətən 5 sm-dən böyük olur.
  • Daha çox böyrəklərdə rast gəlir
  • Qc-də 10-20% hallarda böyrəklərdəki angiolipoma ilə birlikdə görünür.
  • Adətən böyüməz və ətrafa təzyiq göstərməzlər, maliqnizasiya ehtimalları yoxdur.
  • Simptom və biokimyəvi dəyişiklik törətmirlər, adətən təsadüfi müayinələrdə tapılırlar.
  • Spesifik görüntüləmə əlaməti yoxdur.
  • USM və KT-də dəqiq sərhədli törəmə kimi görünürlər.
  • Tərkibində yağ olduğu üçün MRT T1 və T2-də hiperintens görünür, yağ supressiv testində siqnal itir.
  • Lipomadan fərqli olaraq angiomiolipomalar kontrast tutur və geniş damarları görünür.
  • Yağı az olan angiomiolipomaları digər törəmələrdən, xüsusən HCC və HA-dan fərqləndirmək çətin ola bilir. Belə hallarda biopsiya və ya rezeksiya lazım gəlir.
  • Angiomiolipomanı rezeksiya etməyə gərək yoxdur, izləmək lazımdır.

 

 

 

Angiomiolipoma (KT görüntüsü)

 

 

Lipoma

  • Lipoma damarlanması zəif, yağ toxumasından ibarət olan törəmədir.
  • Adətən tək saylı olur.
  • Böyüməyə, maliqnizasiyaya meyilli deyil.
  • Simptom törətmir, laborator əlaməti yoxdur, təsadüfi müayinələrdə tapılır.
  • Xarakterik 3 görüntü əlamətləri:
    • dəqiq sərhədli, homogen törəmə
    • kontrastsız KT-də yağ toxuması kimi hipodens və kontrast tutmur;
    • T1 və T2-də hiperintens, yağ supressiya testində siqnallar sönər.
  • Adətən müalicəsinə ehtiyac yoxdur.

 

Düyünlü transformasiya

  • Toplumda təqribən 3% tezlikdə rast gəlir.
  • Qc-in diametri 1-1,5 sm olan çoxsaylı düyünlərlə diffuz tutulmasıdır.
  • Düyünlər normal hepatositlərdən təşkil olunmuşdur, lakin qaraciyər arxitektonikası pozulmuşdur: öd kanalcıqları, mərkəzi arteriyası və fibroz yoxdur.
  • FNH-dan fərqli olaraq mərkəzi çapığı, öd kanalcıqları və mərkəzi arteriyası yoxdur.
  • Sirrotik düyündən fərqli olaraq ətrafında və daxilində fibroz olmur.
  • Hepatik adenomadan fərqli olaraq diffuz xəstəlikdir, geniş sinusoidləri yoxdur və qanaxmaya meyilli deyil.
  • Mərkəzi və portal venanı sıxaraq portal hipertenziya törədə bilir.
  • Maliqnizasiya ehtimalı var.
  • Spesifik müalicəsi yoxdur, PH və HSX-ya görə izlənilir və ağırlaşma inkişaf edərsə uyğun müalicələr tətbiq edilir.

 

 

İltihabi psevdotumor

  • Xroniki iltihab hüceyrələrindən (plazmatik, limfosit, dentritik), miofibroblastlardan və birləşdirici toxumadan təşkil olunmuş törəmədir.
  • Adətən hipovaskulyar, kapsulsuz olur və ölçüsü bir neçə santimetrə çata bilir.
  • Etiopatogenezi dəqiq məlum deyil. Miofibroblast proliferasiyası və xroniki iltihab nəzəriyyələri ehtimal edilir.
  • Törəmə tapılmazdan əvvəl hərarət, ağrı kimi infeksiya əlamətləri ola bilir.
  • Qc enzimlərində dəyişiklik, hətta biliar və portal obstruksiya törədə bilir.
  • Spesifik diaqnostik əlamətləri yoxdur, diaqnostikasında əsas yeri biopsiya tutur.
  • Differensiasiya çətinliyi varsa rezeksiya edilir.
  • Diaqnozu dəqiqləşən psevdotumorların müşahidə olunması tövsiyyə olunur.

 

 

 

Iltihabi psevdotumor (KT görüntüsü)

 

 

Biliar adenoma

  • Ədəbiyyatda xolangioma da adlanır
  • Öd epitelindən inkişaf edir və fibroz toxuma ilə zəngindir
  • Kiçik ölçülüdür (<1 sm), subkapsulyar yerləşir
  • Adətən əlamət verməz, ağırlaşma törətməz
  • Metastazdan fərqləndirməsinə ehtiyac yaranır
  • Müalicəsinə ehtiyac yoxdur

 

Biliar hamartoma

  • Öd axacağı, fibroz toxuma və iltihab hüceyrələrindən ibarətdir
  • Kiçik olur, subkapsulyar yerləşir
  • Adətən əlamət verməz, ağırlaşma törətməz
  • Metastazlardan fərqləndirməyə ehtiyac yaranır
  • Müalicəsinə ehtiyac yoxdur

 

   

 

Biliar hamartoma (ultrasəs görüntüsü)

 

 

Qaraciyər peliozu

  • Qanla dolu suluqlar - sistlərdir
  • Diametri 4-6 sm olur, ətrafında fibroz toxuma zəifdir
  • Hamilələrdə, çox doğan qadınlarda, androgen və çoxlu antibiotik alanlarda rastlanır.
  • Ağırlaşma ehtimalı yox dərəcəsindədir, lakin hamilələrdə partlamaya və qanaxmaya səbəb ola bilirər.
  • Klinik və laborator olaraq büruzə verməzlər.
  • Görüntüləmədə müxtəlif formalı (üçbucaq, dördbucaq şəkilli, ellipsəbənzər) və çoxsaylı kistlər kontrast tutur, T1-də və T2-də hiperintens (qan olduğu üçün) görünür.
  • Müalicəsinə ehtiyac yoxdur

 

     

 

Hepatik peliozis

 

Lokal yağlanma pozulmaları

  • Qaraciyərdə lokal yağlanan və ya yağlanmayan sahələrdir, törəmə deyil
  • Qaraciyərin digər bölgəsindən fərqli göründüyünə görə ortaya çıxır
  • Adətən IV seqmentdə və oraqvari bağın ətrafında rastlanır
  • Kənarları dəqiq, forması xəritə şəkilindədir
  • Yağ supressiya testində itirlər

 

 

 

Fokal yağlanma (KT , portal venoz faza)

 

Özət

Angiomiolipoma üç komponentdən ibarət olan (geniş damarlar, saya əzələ hüceyrələri və yağ toxuması) xoşxassəli törəmədir, adətən simptom törətməz, böyrəklə birlikdə qaraciyərdə də rast gələ bilər. MRT-nin T1 və T2-də hiperintens görüntülər, yağ supressiya testində itir, lakin yaxşı kontrast tutur. Müalicəyə gərək yoxdur.

Lipoma yağ toxumasından ibarətdir, adətən təksaylıdır, yağ supressiya testində itir və kontrast tutmur, müalicəsinə gərək yoxdur.

Düyünlü transformasiya Qc-in  diametri 1-1,5 sm olan çoxsaylı düyünlərlə diffuz tutulmasıdır. Düyünlər normal hepotositlərdən təşkil olunur, qaraciyər arxitektonikasını pozur, düyünlərdə öd kanalcıqları, mərkəzi arteriyası və fibroz yoxdur. Xəstəlik portal venanı və mərkəzi venanı sıxaraq PH törədə bilir, maliqnizasiya ehtimalı var. Diaqnozu adətən biopsiya ilə dəqiqləşdirilir. PH və malignizasiya baş verərsə müalicə etmək lazımdır.

İltihabi psevdotumor xroniki iltihab hüceyrələrindən (plazmatik, limfosit, dentritik), miofibroblastlardan və birləşdirici toxumadan təşkil olunur, maliqnizasiya ehtimalı yoxdur, regressiya ola bilir. Diaqnozu adətən biopsiya və çıxarıldıqdan sonra patohistoloji müayinə ilə dəqiqləşdirilir. Simptom törədən və differensasiya çətinliyi olanlarda rezeksiya edilə bilər.

Biliar adenoma öd  epitelindən inkişaf edən və fibroz toxuma ilə zəngin törəmədir, adətən kiçik ölçülüdür (<1 sm), subkapsulyar yerləşir, əksər hallarda əlamət verməz və ağırlaşma törətməz. Diaqnostikasında metastazdan fərqləndirmək gərəkir, diaqnozu biopsiya ilə dəqiqləşdirilir, müalicəsinə ehtiyac yoxdur.

Biliar hamartoma öd axacağı, fibroz toxuma və iltihab hüceyrələrindən ibarət, kiçik, subkapsulyar  törəmələrdir, adətən əlamət verməz, ağırlaşma törətməz və metastazlardan fərqləndirmək  lazım gələ bilir və müalicəsinə ehtiyac yoxdur.

Qaraciyər peliozu qanla dolu  diametri 4-6 sm olan suluqlardır, ətrafında fibroz toxuma zəifdir, görüntüləmədə müxtəlif formalı və çoxsaylı kistlər kontrast tutur,  T1-də və T2-də hiperintens  görünür, müalicəsinə gərək yoxdur.

Qaraciyərdə lokal yağlanan və ya yağlanmayan sahələr digər bölgəsindən fərqli göründüyünə görə ortaya çıxaraq törəmə kimi görünə bilirlər. Adətən IV seqmentdə və ətrafında rastlanır, forması xəritəyə oxşayır, yağ supressiya testində itirlər.

 

Qaraciyərin digər xoş xassəli törəmələri üzrə suallar

N.Y.Bayramov, A.K.Səfiyeva, Ş.Ə.Məmmədova

 

Suallar

Cavablar

Angiomiolipoma nədir?

3 komponentdən ibarət xoşxassəli törəmədir: geniş damarlar (mikroanevrizmalar), saya əzələ hüceyrələri və yağ toxuması

Gediş xüsusiyyəti necədir?

Adətən böyüməz və ətrafa təzyiq göstərməzlər, maliqnizasiya ehtimalları yoxdur

Klinik əlamətləri hansılardır?

Adətən asimptomatik olurlar.

Dəqiqləşdirmək  üçün hansı müayinələr lazımdır?

  • MRT;
  • KT;
  • USM;
  • Biopsiya;

Görüntlüləmə əlamətləri nələrdir?

MRT – T1  və  T2-də hiperintens görünür,  yağ supressiv testində siqnal itir   (tərkibində  yağ olduğu  üçün);

USM və KT – dəqiq sərhədli törəmə;

Differensial diaqnostika?

Hepatoselulyar karsinoma və hepatik adinomalar;

Lipomadan fərqli olaraq angiomiolipomalar

kontrast tutur və geniş damarları görünür;

Müalicə üsulları hansılardır?

Müşahidə

Əməliyyata göstərişlər nələrdir?

Bəd xassəli törəmələrdən diferensiasiya çətinliyi

Əməliyyat üsulları hansılardır?

Rezeksiya

 

 

Lipoma nədir?

Damarlanması zəif, yağ toxumasından ibarət olan törəmədir.

Gediş xüsusiyyəti necədir?

Böyüməyə və  maliqnizasiyaya meyilli deyil.

Klinik əlamətləri hansılardır?

Asimptomatik

Dəqiqləşdirmək  üçün hansı müayinələr lazımdır?

  • USM;
  • KT;
  • MRT;

Görüntüləmə əlamətləri nələrdir?

USM  dəqiq sərhədli, homogen törəmə;

KT –  yağ toxuması kimi hipodens və kontrast tutmur;

MRT – T1 və T2-də hiperintens, yağ supressiya testində siqnallar sönər;

Müalicə üsulları hansılardır?

Adətən müalicəsinə ehtiyac yoxdur

 

 

Düyünlü transformasiya nədir?

Qaraciyərin diametri 1-1,5 sm olan çoxsaylı düyünlərlə diffuz tutulmasıdır.

Rastgəlmə tezliyi nə qədərdir?

Toplumda təqribən 3% tezlikdə rast gəlir.

Histoloji quruluşu necədir?

Düyünlər normal hepatositlərdən təşkil olunmuşdur, lakin qaraciyər arxitektonikası pozulmuşdur: öd kanalcıqları, mərkəzi arteriyası və fibroz yoxdur.

Diiferensial diaqnostika:

FNH-dan fərqli olaraq mərkəzi çapığı, öd kanalcıqları və mərkəzi arteriyası yoxdur.

Sirrotik düyündən fərqli olaraq ətrafında və daxilində fibroz olmur.

Hepatik  adenomadan  fərqli  olaraq  diffuz  xəstəlikdir,  geniş  sinusoidləri yoxdur və qanaxmaya meyilli deyil.

Ağırlaşmaları nələrdir?

  • Portal hipertenziya -  Mərkəzi və portal venanı sıxa bilər;
  • Maliqnizasiya ehtimalı var;

Müalicə üsulları hansılardır?

Spesifik müalicəsi yoxdur, PH və HSK-ya görə izlənilir və ağırlaşma inkişaf edərsə uyğun müalicələr tətbiq edilir.

 

 

İltihabi psevdotumor nədir?

Xroniki iltihab hüceyrələrindən (plazmatik, limfosit, dentritik),  miofibroblastlardan və birləşdirici toxumadan təşkil olunmuş hipovaskulyar, kapsulsuz törəmədir.

Səbəbi  və ya risk faktorları nələrdir?

Dəqiq məlum deyil. Miofibroblast proliferasiyası və xroniki iltihab nəzəriyyələri ehtimal edilir.

Klinik əlamətləri hansılardır?

  • Bəzi xəstələrdə infeksiya əlamətləri;
  • Bəzi xəstələrdə Qc enzimlərində dəyişiklik, biliar və portal obstruksiya əlamətləri;

Dəqiqləşdirmək  üçün hansı müayinələr lazımdır?

Spesifik diaqnostik əlamətləri yoxdur, diaqnostikasında əsas yeri biopsiya, bəzən də rezeksiya tutur.

Əməliyyata göstərişlər nələrdir?

Differensiasiya çətinliyi olduqda

 

 

Biliar adenoma -  xolangioma nədir?

Öd  epitelindən inkişaf edən və fibroz toxuma ilə zəngin, kiçik ölçülü (<1 sm), subkapsulyar xoş xassəli törəmədir

Klinik əlamətləri hansılardır?

Adətən asimptomatik və ağırlaşmasızdır

Differensasiya?

Metastazlardan

Müalicə üsulları hansılardır?

Müalicəsinə ehtiyac yoxdur

 

 

Biliar hamartoma nədir?

Öd axacağı, fibroz toxuma və iltihab hüceyrələrindən ibarət, kiçik, subkapsulyar xoşxassəli törəmələrdir

Klinik əlamətləri hansılardır?

Adətən asimptomatik və ağırlaşmasızdır

Differensasiya?

Metastazlardan

Müalicə üsulları hansılardır?

Müalicəsinə ehtiyac yoxdur

 

 

Qaraciyər peliozu nədir?

Diametri 4-6 sm olan, ətrafında zəif fibroz toxuma olan qanla dolu suluqlar - sistlərdir

Risk faktorları nələrdir?

  • Hamiləlik;
  • Çoxsaylı doğuş;
  • Androgen və çoxlu antibiotik qəbulu;

Ağırlaşmaları nələrdir?

Ağırlaşma ehtimalı yox dərəcəsindədir, lakin hamilələrdə partlamaya və qanaxmaya səbəb ola bilərlər.

Klinik əlamətləri hansılardır?

Klinik və laborator olaraq biruzə verməzlər.

Dəqiqləşdirmək  üçün hansı müayinələr lazımdır?

  • Kontrast KT;
  • MRT;

Görüntüləmə əlamətləri nələrdir?

Kontrast KT – müxtəlif formalı və çoxsaylı kistlər kontrast tutur;

MRT – T1-də və T2-də hiperintens

(qan olduğu üçün) görünür;

Müalicə üsulları hansılardır?

Müalicəsinə ehtiyac yoxdur

 

 

Lokal yağlanma  pozulmaları nədir?

Qaraciyərdə,  adətən IV seqmentdə və oraqvari bağın ətrafında, kənarları dəqiq, forması xəritə şəkilində lokal yağlanan və ya yağlanmayan sahələrdir, törəmə deyil

Dəqiqləşdirmək  üçün hansı müayinələr lazımdır?

  • KT;
  • MRT;

Görüntlüləmə əlamətləri nələrdir?

Qaraciyərin digər bölgəsindən fərqli göründüyünə görə ortaya çıxır, yağ supressiya testində itirlər

Müalicəsi?

Müalicəsinə ehtiyac yoxdur.

 

 
 

HEPATOSELLULAR ADENOMA (HA)

N.Y.Bayramov, R.A. Məmmədov

 

Tərifi

Hepatosellular adenoma hepatositlərdən inkişaf edən xoş xassəli şişdir, ədəbiyyatlarda hepatik adenoma kimi də adlanır.

 

Təsnifatı

Sayına görə

tək (70%) və çoxsaylı (30%)

Tərkibinə görə

siderotik (yağlı), peliotik (qanlı) və qarışıq

Gedişinə görə

stabil, proqressiv (böyümə, maliqnizasiya, qanaxma) və reqressiv

Klinikasına görə

asimptomatik, simptomatik, ağırlaşmalı

 

Rastgəlməsi

Kontraseptiv hormon alan qadınlarda çox müşahidə edilir.

 

Etiologiyası və patogenezi

  • Dəqiq məlum deyil.
  • Risk amilləri: hiperestrogenemiya, steroid və qlükogen depo xəstəlikləri.
  • Hiperestrogenemik vəziyyətlər (steroid hormon, kontraseptiv, qadın cinsi, çoxsaylı hamiləlik) xəstələrin 90%-də rast gəlinir.

 

Morfologiyası

  • Əksəriyyəti təksaylıdır (70%), çoxsaylı forması adenomatoz adlanır (30%).
  • Tək adenomada şişin ölcüsü 6-8 sm olur, adətən sağ payda (75%) yerləşir.
  • Kapsulu yoxdur, lakin ətraf toxumaları sıxması nəticəsində yalançı kapsul əmələ gələ bilər.
  • Mikroskopik: hepatositlərdən zəngin, birləşdirici toxumadan kasıb, geniş sinusoidləri olan törəmədir, klassik qapı üçlüyü və paycıqları yoxdur. Hüceyrələrində normal hepatositlərdə olduğu kimi qlükogen və yağ toplana bilir.
  • Arteriya birbaşa sinusoidə açılır və törəmənin yeganə təhcizatını təşkil edir
  • Morfoloji olaraq 3 forması var: yağla zəngin (siderotik), sinusoidlə zəngin (peliotik) və qarışıq (50%).
  • Siderotik formada intra- və ekstrasellulyar sahələr lipidlə zəngindir.
  • Peliotik formada geniş sinusoidlər və arteriyalarla yanaşı hemorragiyalar çox olur.

 

Gedişi və ağırlaşmaları

  • Stabil, proqressiv və reqressiv gedişli ola bilər.
  • Əksəriyyəti (80%) böyüməyə və ağırlaşmaya meyillidir.
  • Qanaxma (20-40%) və maliqnizasiya (10%) törədə bilirlər.
  • Zəif birləşdirici toxumanın olması sinusoidlərin genişlənməsinə və arterial qidalanan törəmənin qanaxmaya meyilli olmasına gətirib çıxarır.
  • Şişin ölçüsü artdıqca ağırlaşma riski də artır.
  • Kontraseptivlərin kəsilməsi kiçik (<3 sm) adenomaların kiçildə bilər, lakin böyük (>5 sm) adenomalara təsir etmir.

 

Ağırlaşmaları

  • Qanaxma
  • Maliqnizasiya

 

Klinikası

  • Kiçik adenomalar asimptomatik olur, laborator dəyişikliyə səbəb olmurlar, təsadüfi görüntüləmədə tapılır.
  • Böyük adenomalar ətrafa təzyiq və qanaxma verdikdə siptomatik olurlar (ağrı, anemiya, hətta hemorragik şok).

 

Diaqnostikası

Şübhə

Anemiyası, ağrısı olan və kontraseptiv hormon qəbul edən qadınlarda, normal qaraciyər fonunda kütlə tapıldıqda HA şübhəsi var.

 

Dəqiqiləşdirmə

HA-nın spesifik görüntüləmə əlaməti yoxdur, diaqnozu differensiasiya əsasında və ya rezeksiyadan sonra qoyulur. Kontrastlı MRT ilk seçimdir. MRT T1-də hiperintens (yağ, qanaxma, geniş sinusoid), heterogen və psevdokapsullu görünmə xarakterikdir. Kontrastlı müayinələrdə arterial fazada hipervaskulyar görünür, venoz yuyulma olmur (izodens olur).

 

Differensial diaqnostika

  • Heterogen, T1-də hiperintens və kapsullu görünmə kimi xarakterik əlamətləri, hemangioma və FNH-dan fərqləndirməyə imkan verir (90%).
  • Adenomalarda biliar kanallar olmadığına görə hepatositlərdə tutulub biliar sistemdən ifraz olunan kontrastlı müayinələrin (gatoxtetat disodium, gadobenat diglulumin), hepatosit fazasında qaraciyərə görə hipo– görünürlər. Bu əlamətə görə FNH-dan fərqləndirmək olur.
  • Venoz yuyulmanın olmamasına görə HSX-dən fərqlənir.
  • HSX-dən fərqləndirilməsi çətin olan hallarda həm diaqnostika, həm də müalicə məqsədi ilə rezeksiya məsləhətdir.
  • Biopsiyada qanaxma təhlükəsi yüksəkdir.

 

     

 

Diaqnostik əlamətləri:

  • Anemiya, ağrı, kontraseptiv hormon qəbul edən qadınlar, normal qaraciyər fonunda kütlə.
  • MRT T1-də hiperintens (yağ, qanaxma, geniş sinusoid), heterogen və psevdokapsullu görünmə.
  • Kontrastlı müayinələrdə arterial fazada hipervaskulyar görünür, venoz yuyulma adətən olmur.
  • Normal hepatositlər tərəfindən tutulan və biliar sistemdən ifraz edilən kontrastlı müayinələrin hepatosit fazasında (20-60 dəq sonra) hipo- (qara) görünürlər.

 

Müalicəsi

HA-nın radikal müalicəsi kontraseptivlərin kəsilməsi və rezeksiyasıdır. Rezeksiya mümkün olmayan hallarda embolizasiya edilə bilər. Kiçik adenomalarda kontraseptivi dayandırdıqdan sonra kiçilmə ola bilər.

 

Özət

Hepatik adenoma (HA) hepatositlərdən inkişaf edən xoşxassəli törəmədir, steroid hormonların istifadəsi (kontraseptiv və digər), qadın cinsi, çoxsaylı hamiləlik və qlükogen depo xəstəlikləri risk faktorları sayılır., qanaxmaya  və maliqnizasiyaya meyilli törəmədir. Kiçik adenomalar asimptomatik olur, böyük adenomalar isə qanaxma verdikdə ağrı və anemiya, hətta hemorragik şok əlamətləri ilə büruzə verir. Diaqnozu kontrastlı görüntüləmə müayinələrə görə qoyula bilir. Hipervaskulyar görünmə, heterogen, T1-də hiperintens və kapsullu görünmə kimi xarakterik əlamətləri hemangioma və FNH-dan fərqləndirməyə imkan verir, lakin bu əlamətlər HSX-dan fərqləndirmək üçün kifayət deyil. HA-nın  radikal müalicəsi kontraseptivlərin kəsilməsi və rezeksiyasıdır.

 

Hepatosellular adenoma üzrə suallar

N.Y.Bayramov, A.K.Səfiyeva, Ş.Ə.Məmmədova

 

Hepatosellular adenoma nədir?

Xoş xassəli qaraciyər törəməsidir

Histologiyası nədir?

Öd axarı olmayan normal hepatositlər

Risk faktoru hansılardır?

Qadın cinsi, doğuş kontrol dərmanları, steroidlər, qlükogen depo xəstəliyi.

Qadın/kişiyə nisbəti?

9:1

Hansı formaları var?

Siderotik, hemorragik və qarışıq

Hansı yaş qruplarında rast gəlinir?

30-35 yaş arası

Əlamətləri hansılardır?

Sağ yuxarı kvadrantda ağrılar, kütlə, həmin hissədə dolğunluq hissi, az hallarda  qanaxma.

Mümkün ağırlaşmaları hansılardır?

Partlama və qanaxma, nekroz,  hepatosellular karsinoma riski.

Diaqnoz necə qoyulur?

Kompyuter tomoqrafiya, USM, biopsiya

Hansı xəstəliklə differensasiyası çətindir?

Hepatosellular karsinoma ilə

Müalicəsi necədir?

Cərrahi rezeksiya, anabolik dərmanların, kontraseptivlərin dayandırlması.

Hamilə xəstələrdə adenomanın rezeksiyası üçün ən yaxşı vaxt nə zamandır?

2-ci trimestr

FOKAL NODULYAR HİPERPLAZİYA (FNH)

N.Y.Bayramov, R.A.Məmmədov

 

Tərifi

Fokal nodulyar hiperplaziya damar malformasiyası (arteriya) ətrafında regenerasiya etmiş normal hepatositlərdən təşkil olunmuş düyünşəkilli törəmədir.

Neoplastik proses hesab olunmur, regenerator düyün kimi qəbul olunur.

 

Rastgəlməsi

Hemangiomalardan sonra ən çox rast gələn (1-3%) xoş xassəli törəmədir.

 

Təsnifatı

Sayına görə

tək və çoxsaylı (nadirdir)

Tərkibinə görə

tipik, atipik (nadirdir)

Gedişinə görə

stabil, böyüyən (nadirdir)

Klinikasına görə

asimptomatik, simptomatik (nadirdir)

 

Etiopatogenezi

  • Dəqiq bilinmir
  • Hemangiomalarla birlikdə rast gəlməsi (23%) və doppler USM-də arterio-venoz şuntların tapılması bu xəstəliyin damar zədələnməsi bölgələrindən inkişaf etmə ehitmalını artırır.
  • Hesab edilir ki, arterial təhcizatı yüksək olan bölgədə hepatositlər regenerator reaksiya göstərib artırlar (yaxşı qidalanma fərziyəsi).
  • Hepatik adenomadan fərqli olaraq kontraseptiv dərmanlarla əlaqəsi zəifdir (11%).

 

Morfologiyası

  • Digər hipervaskulyar törəmələrdən fərqli olaraq FNH periferik yox, əsasən mərkəzi arteriya ilə qidalanır.
  • Morfoloji cəhətinə görə iki forması var: tipik və atipik
  • Tipik variantda mərkəzdə çapıq və mərkəzi qidalandırıcı arteriya olur, fibroz arakəsmələrlə paycıqlara ayrılır, bu arakəsmələrdə arteriya və öd yolları mövcuddur, hepatositlər normaldır, mərkəzi venası və kapsulu olmur. Qanaxmaya, böyüməyə meyilli deyil, maliqnizasiya ehtimalı yox dərəcəsindədir.
  • Atipik FNH-larda mərkəzi çapıq olmaya bilər, qanaxma, yağ degenerasiyası, kalsifikasiya baş verə bilər. Bunlar görüntüləmə müayinələrində FNH-ın qeyri-homogen görünməsinə səbəb ola bilir və digər törəmələrdən fərqləndirməni çətinləşdirir..
 

 

Şəkil 1. Qaraciyərin fokal nodulyar hiperplaziyası

 

Gedişi

  • Tipik FNH-lar xoş gedişli olub əksər hallarda sürətli böyümə və klinik əlamətlər göstərmirlər.
  • Qanaxma, malqnizasiya və digər ağırlaşmalar törətmirlər.
  • Atipik formalarda qanaxma, nekroz, kalsifikasiya, piy distrofiyası baş verə bilir.
  • Kontraseptiv alanlarda qanaxma riski artır.

 

Klinikası

  • FNH əksər hallarda simptom törətmirlər, laborator göstəricilərdə də dəyişikliyə səbəb olmurlar, adətən təsadüfi müayinələrdə tapılırlar.
  • Ağrı və digər şikayətləri olan xəstələrdə FNH tapılarsa əvvəlcə digər xəstəliklər araşdırılmalıdır.
  • Çox böyük ölçülərə çatdıqda sıxma əlaməti verə bilər ki, bu da çox az rast gəlir.
  • FNH-ın əsas klinik əhəmiyyəti qaraciyərin bədxassəli şişlərindən fərqləndirilməsidir ki, bu da ən çox atipik formalı FNH-da zəruri olur. Digər tərəfdən FNH digər törəmələrlə birlikdə rast gələ bilər.

 

 

Diaqnostikası

Şübhə

Qaraciyərdə törəmə tapılan xəstələrdə FNH-dan şübhələnmək lazımdır. Xüsusən əlamət verməyən, qaraciyəri laborator və görüntüləmədə normal olan xəstələrdə və hipervaskulyar törəmələrdə bu şübhə daha da artır.

 

Dəqiqləşdirmə

Görüntüləmə üsulları FNH-ın diaqnozunu 30 – 70% hallarda dəqiqləşdirməyə imkan verir.

Diaqnozu dəqiqləşdirmək üçün MRT və üçfazalı kontrastlı müayinələr aparılır. Mərkəzi arteriyanın görünməsi FNH diaqnozunu təsdiqləyir. Bu olmadıqda, diaqnoz qoymaq üçün ikinci qrup əlamətlərindən (çapıqətrafı homogenlik, mərkəzi çapıq, normal qaraciyərdən az fərqlənmə, kontrastlaşma xüsusiyyəti) ən azı üçünün olması vacibdir.

 

Diaqnostik əlamətləri:

  • Əksər hallarda asimptomatikdir
  • Laborator əlaməti yoxdur
  • Görüntü əlamətləri:
    • Ulduzşəkilli və ya çarxşəkilli mərkəzi arteriya (bu əlamət kontrastlı USM, Dopler, KT-angioqrafiya və MRT ilə görünə bilər)
    • Mərkəzi çapıq 30-70% hallarda rast gəlir, USM-də hiperexogen, KT-də hipodens, MRT-də isə T1-də hipodens, T2-də hiperdens görünür və adətən ulduzşəkilli olur.
    • Çapıqətrafı homogen görüntü (96%). FNH normal hepatositlərdən təşkil olunduğu üçün və qanaxma, kalsifikasiya, nekroz, degenerasiya kimi görüntünü dəyişdirən proseslər olmadığına görə, çapıqətrafı hissələr homogen görünür, qaraciyər toxuması ilə eyni sıxlıq göstərir.
    • Normal Qc-lə müqayisədə zəif siqnal fərqi.
    • Xarakteristik kontrastlaşma xüsusiyyəti: arterial fazada hiper, portal venoz fazada izo, gec fazalarda (5 – 10 dəq) mərkəzi çapıq kontrastlaşır və hiper görünür.

 

Differensial diaqnostika

  • Atipik formalarında qeyri-xarakterik əlamətlər (heterogen, qanaxma, piy distrofiyası və s.) görünə bilir və bunu HSK-dan, adenomadan, hemangioma və metastazlardan fərqləndirmək çətin ola bilir. Belə hallarda hepatositlər tərəfindən tutulan kontrastla MRT etmək lazım gəlir. Normal hepatositlər tərəfindən tutulan kontrastlar (gadoxetate, gadobenate dimeglumine) adətən 20-60 dəq sonra qaraciyərdən təmizlənir, dəyişilmiş hepatositlər isə adətən hepatosit-spesifik kontrastı tutmurlar. FNH-da hepatositlər normal olduğu üçün hepatositar fazada (20-ci dəqiqə) boyanırlar, adenomalarda və HSK-da isə hepatositlər patoloji olduğu üçün hipo görünürlər. Bəzən biopsiya, hətta rezeksiya zərurəti yaranır.

 

   

 

 

Müalicəsi

FNH-ın hər iki formasını (tipik və atipik) müşahidə etmək məsləhət görülür. Rezeksiya böyümə göstərən, ciddi simptomlar törədən və bədxassəli şişlərdən fərqləndirilməsi mümkün olmayan hallarda göstərişdir.

 

 

Şəkil 2. Fokal nodulyar hiperplaziyada müalicə taktikası

 

Özət

Fokal nodulyar hiperplaziya (FNH) qaraciyərdə damar malformasiyası ətrafında normal hepatositlərin çoxalmasından əmələ gələn regenerator düyündür, neoplastik proses sayılmır. Xəstəlik adətən simptom törətmir, təsadüfi müayinələrdə tapılır, nadir hallarda böyüyərək sıxmaya bağlı əlamət torədər. Əsas klinik əhəmiyyəti bədxassəli şişlərdən ayırmanın lazım olmasıdır ki, bu da atipik variantda çox rast gəlir. Dianostikası üçün standart tomoqrafiyadan başqa hepatositar kontrastlı MRT lazım gəlir, mərkəzində çarxşəkilli şaxələnmiş arteriya, mərkəzi çapığın olması, çapıqətrafı homogen görünmə, arterial fazada hipervaskulyar, venoz fazada izo və ya zəif hiper görünmə, hepatositar kontrastı gec buraxma xarakterik əlamətləridir. FNH-ı müşahidə etmək məsləhətdir, böyümə göstərən, ciddi simptomlar törədən və bədxassəli şişlərdən fərqləndirilməsi mümkün olmayan hallarda rezeksiya edilə bilər.

 

Fokal nodulyar hiperplaziya (FNH) üzrə suallar

N.Y.Bayramov, A.K.Səfiyeva, Ş.Ə.Məmmədova

 

FNH nədir?

Xoş xassəli qaraciyər törəməsidir

Histologiyanı necədir?

Damar ətrafında normal hepatositlər və öd axarı (adenomada öd axarı yoxdur) olur.

Hansı yaşlarda daha çox rast gəlinir?

40 yaşlarında

Risk faktoru?

Qadın cinsi

Bu törəmə kontraseptiv dərmanların qəbulu ilə əlaqəldirmi?

Az əlaqəlidir

Diaqnoz necə qoylur?

MRT  və ya KT

Xarakterik görüntüləmə əlaməti nədir?

“Mərkəzi çapıq”  və çarxşəkilli mərkəzi arteriya

Ağırlaşması nədir?

Nadir hallarda böyüyərək ərtafa təzyiq və qanaxma verə bilər, kanser riski yoxdur.

Müalicəsi necədir?

Asimptomatik hallarda izləmə, simptomatikdirsə və ya kanserdən fərqləndimək mümükün deyilsə rezeksiya və ya embolizasiya.

FNH –da nəyə görə embolizasiya aparılır?

FNH adətən bir böyük arteriya ilə qidalanır.

 

HEMANGİOMA

N.Y.Bayramov, R.A.Məmmədov

 

Tərifi

Hemangioma damarların kistşəkilli genişlənməsi nəticəsində əmələ gələn xoşxassəli damar törəməsidir.

 

Rastgəlmə tezliyi

  • Ən çox rast gəlinən xoşxassəli qaraciyər törəməsidir.
  • Əhali arasında 7% (1-20%) halda və qadınlarda kişilərdən 5 dəfə çox rast gəlir.

 

Təsnifatı

Sayına görə

təksaylı (80%)

çoxsaylı

Ölçüsünə görə

Kiçik (<5 sm) – 80%, böyük (5-10 sm), çox böyük ( >10 sm)

Tərkibinə görə

Kapillyar və kavernoz

Gedişinə görə

Stabil

proqressiv (böyümə)

ağırlaşmış (iltihab, tromboz, trombositopeniya, nekroz, abses, ürək yetməzliyi)

Klinikasına görə

asimptomatik, simptomatik, ağırlaşmalı

 

Etiologiyası

Dəqiq məlum deyil

 

Patogenezi

Hemangioma toxumasında estrogen və böyümə faktorları reseptorlarına çox rast gəlinir. Digər tərəfdən hemangioma daha çox hiperestrogenemiyalı vəziyyətlərdə (qadınlar, kontraseptiv istifadəsi, çoxlu hamiləlik) rastlanır. Buna əsaslanaraq hiperestogenemiyanın etiopatogenezdə rol oynadığı hesab edilir.

 

Morfologiyası

Makroskopik olaraq iki növü var— kapilyar və kavernoz.

  • Kapilyar hemangiomalar kapilyarların yumaqşəkilli genişlənməsi nəticəsində əmələ gəlir və adətən kiçik olurlar.
  • Kavernoz hemangiomalarda bir neçə millimetr diametrində genişlənən damarların daxilində endotel, ətrafında isə qalın fibroz təbəqə olur. Nəticədə süngərşəkilli kütlə əmələ gəlir.

Hemangiomalar periferik arteriyalarla qidalanır və kavernalarda qan axını çox yavaşdır. Yavaş qan axını trombozlara meyl törədir və kontrastlaşmada özünü göstərir. Qaraciyərdə daha çox kavernoz (süngər) hemangiomalara rast gəlinir və bu törəmələr qaraciyərin ən çox rast gəlinən xoşxassəli şişləridir. Hemangiomaların əksəriyyəti tək (80%) və kiçikdir (<5 sm).

 

 

 

Şəkil 1. Qc-də hemangioma

 

Gedişi və ağırlaşmaları

  • Hemangiomaların əksəriyyəti (60%) böyümür, təxminən 40% zəif böyümə göstərir (2 mm/il), az hallarda isə (10%) sürətli böyüyə və ağırlaşmalara səbəb ola bilirlər (Şəkil 2).
  • Kiçik hemangiomalar adətən ağırlaşma törətmirlər.
  • Böyük hemangiomalarda (>5 sm) ağırlaşma ehtimalı 10%-dən azdır.
  • Maliqnizasiya ehtimalı yox dərəcəsindədir.

 

Ağırlaşmaları

  • İltihablaşma
  • Tromboz
  • Trombositopeniya
  • Qanaxma
  • Kavernalarda yavaş qan axını trombozlara və iltihabın baş verməsinə şərait yaradır. Təkrarlayan trombozlar laxtalanma faktorlarını xərcləyərək trombositopeniya, kəskin və xroniki YDDL (yayılmış damardaxili laxtalanma) sindromu törədə bilir. Bu vəziyyət Kasabach-Merritt sindromu adlanır. Bu sindrom çox böyük (>10 sm) hemangiomalarda daha çox rast gəlir. Klinik olaraq mukozal qanaxma və qançırlarla müşahidə olunur.
  • Hemangiomaların daxilində qan təzyiqi aşağı olduğuna və kavernaların divarında qalın fibroz qatı olduğuna görə partlama və qanaxma ehtimalı azdır (2-4%).

 

 

Şəkil 2. Hemangiomanın təbii gedişi

Klinikası

  • Kiçik hemangiomalar (<5 sm) adətən əlamət törətmirlər və laborator dəyişikliyə səbəb olmurlar. Belə şəxslərin şikayətləri adətən başqa xəstəliklə əlaqədar olur.
  • Hemangiomalar böyük ölçülərə çatarsa, ətraf orqanlara təziq göstərərsə və ya ağırlaşma törədərsə əlamətlər ortaya çıxır.
  • Təzyiq ağrıya və diskomforta səbəb olur. Çox böyük hemangiomalar qarında kütlə kimi görünür və palpasiya olunurlar.
  • İltihablaşma və trombozda ağrı, hərarətin yüksəlməsi və leykositoz qeyd edilir. Təkrarlayan tromboz Kasabach-Merritt sindromu törədir. Çox nadir müşahidə edilən qanaxmalarda anemiya, şok və hemoperitoneum olur.

 

 

Diaqnostikası

Şübhə

Qaraciyərdə törəmə tapılan xəstələrdə ilk növbədə hemangiomadan şübhələnmək lazımdır. Qc parenximası və laborator göstəriciləri normal olarsa, anamnezində onkoloji xəstəlik yoxdursa bu şübhə daha da artır.

 

Dəqiqləşdirmə

  • Hemangioma qaraciyərin yeganə toxumalı törəməsidir ki, görüntüləmə üsulları ilə diaqnozunu 90 – 95% dəqiqliklə təyin etmək
  • Diaqnozunda USM, MRT, kontrastlı KT istifadə edilə bilər və ilk seçim MRT-dir.

 

Diaqnostik əlamətləri:

  • Əksərən asimptomatik, böyümə və ağırlaşma olarsa hepatomeqaliya, ağrı, hərarət, qançırlar və s.
  • Laborator dəyişiklik törətmir, ağırlaşmalarda trombositopeniya, leykositoz, QcFT dəyişmələr.
  • Xarakterik görüntüləmə əlamətləri (diaqnostik kriteriyaları):
  • MRT-də T1-də hipodens, T2-də “lampa parlaqlığı”, kənarları dəqiq və paycıqlı
  • Kontrastlaşma xüsusiyəti (yavaş axın): arterial fazada periferik düyünşəkilli kontrastlaşma, venoz fazada mərkəzə doğru kontrastlaşma, gec fazada kontrast tutma
  • Kiçik hemangiomalar üçün: USM-də dəqiq sərhədli, haşiyəsiz, qan axını görünməyən hiperexoik kütlə, anamnezdə bədxassəli şiş yoxdur.

 

 

     

 

 

Müalicəsi

  • Asimptomatik hemangiomalarda müalicəyə gərək yoxdur.
  • Simptomatik və ağırlaşmış hemangiomalarda rezeksiya və ya enokulyasiya tövsiyə edilir. Qeyri – rezektabel vəziyyətlərdə arterial liqasiya, embolizasiya və ya radiotezlikli destruksiya tətbiq edilə bilər.

 

 

Şəkil 3. Hemangiomanın müalicəsi

 

Özət

 

Qaraciyərin xoş xəssəli törəmələri arasında ən çox rast gəlinəni hemangioma, fokal nodulyar hiperplaziya və adenomadır. Liopma, angiolipoma az rast gəlinir.

Hemangioma damarların torbaşəkilli genişlənməsi nəticəsində əmələ gələn damar şişidir, qaraciyərin ən çox rast gəlinən xoşxassəli törəməsidir, əksəriyyəti 5 sm-dən kiçikdir. Hemangiomalar zəif böyüyərlər, az hallarda isə (10%) iltihablaşma, nekrozlaşma, fibroz, tromblaşma, trombositopeniya ilə ağırlaşa bilərlər. Qanaxma riski çox az, maliqnizasiya riski isə yox dərəcəsindədir. Diaqnozu əksər hallarda (90%) görüntüləmə ilə qoyulur, T1-də hipointens, T2-də parlaq görünmə, arterial fazada periferik düyünşəkilli kontrastlaşma, doplerdə axının görünməməsi xarakterik əlamətləridir. Asimptomatik hemangiomalarda müalicəyə gərək yoxdur, simptomatik və ağırlaşmış hemangiomalarda rezeksiya və ya enokulyasiya tövsiyə edilir.

 

Hemangioma üzrə suallar

N.Y.Bayramov, A.K.Səfiyeva, Ş.Ə.Məmmədova

 

Qaraciyərdə ən çox rast gələn kanser hansıdır?

Metastatik şişlər, qaraciyərin xərçəngi ilə müqayisədə 20:1. İlkin mənbə daha çox qastrointestinal traktda olur.

Qaraciyərin çox rast gələn birincili bədxassəli törəməsi hansıdır?

Hepatosellular karsinoma (hepatoma)

Qaraciyərin  çox rast gələn birincili xoşxassəli törəməsi?

Hemangioma

Qaraciyər metastazları hansı qaraciyər testləri ilə müəyyən edilir?

ALT,AST və qələvi fosfataza (əgər birincili mənbə kimi kolon kanseri nəzərdə tutulursa CEA).

Hansı radioloji müayinə metodları istifadə olunur?

USM və KT (trifazik)

Qaraciyərin ən çox yayılmış 3 birincili xoşxassəli törəməsi hansılardır?

1.Hemangioma

2.Hepatosellular adenoma

3.Fokal nodulyar hiperplaziya

Qaraciyərin 4 birincili bədxassəli törəməsi hansılarıdr?

1.Hepatosellular karsinoma

2.Xolangiokarsinoma (intrahepatik)

3.Angiosarkoma

4.Hepatoblastoma (uşaqlarda və körpələrdə daha çox olur).

Digər xoşxassəli qaraciyər törəmələri hansılardır?

  • Xoşxassəli qaraciyər sistləri
  • Öd axarı hamartoması
  • Öd axarı adenoması.

Qaraciyər “hamartoması” nədir?

Qaraciyər normal hüceyrəsindən düyün formasını əmələ gətirən ağ rəngli bərk düyün.

Qaraciyər hemangioması nədir?

Qaraciyərin xoş xassəli damar törəməsidir.

Nə ilə yadda qalır?

Ən çox rast gələn birincili və xoş xassəli  qaraciyər törəməsidir.

Əlamətləri hansılardır?

Əksər hallarda asimptomatik, sağ yuxarı kvadrantda ağrı və ya kütlə, nadir hallarda qanaxma

Ağırlaşması hansıdır?

Təxminən 10% hallarda qanaxma, tromboz, iltihab,  ürək yetməzliyi, koaqulopatiya (Kassabach-Merritt sindromu), obstruktiv sarılıq.

Kassabach-Merritt sindromu nədir?

Hemangiomada davam edən zəif trombozun törətdiyi trombositopeniya, fibrinogenopeniya və qansızmalar

Hemangiomanın diaqnozu necə qoyulur?

MRT və ya kontrastlı KT, kontrastlı USM

Xarakterik görüntüləmə əlamətləri hansılardır?

MRT: T1-də hipo, T2-də lampa parlaqlığı.

Kontrastlı müayinələrdə arterial fazada düyünşəkilli periferik kontrastlaşma, mərkəzin gec kontrastlaşması

Biopsiya lazımdırmı?

Xeyr! Əksər hallarda (90%) görüntüləmə ilə diaqnozu dəqiqləşdirmək mümkündür və qanaxma riski var.

Müalicəsi necədir?

Asimptomatik hallarda müşahidə (90%), simptomatik hallarda rezeksiya

Rezeksiyaya göstərişlər hansılardır?

Simptomatik forma, ağırlaşmalar və differensiasiya çətinliyi

Embolizasiya effektivdirmi?

Qısamüddətli effekt verir, rezeksiya vaxtı qanaxmanı azaltmaq üçün istifadə edilə bilir.

NEOPLASTİK KİSTLƏR

 N.Y.Bayramov, R.A.Məmmədov

 

Tərifi

Qaraciyərdə birincili və ya ikincili neoplastik proseslərin törətdiyi kistlərdir

 

Rastgəlməsi

Qc-in kistoz törəmələr arasında  nadir (1-2%) rast gəlir.

 

Təsnifatı

Mənşəyinə görə

Birincili

  • Sistoadenoma
  • Sistoadenokarsinoma

İkincili

  • Metastatik kistlər

 

Sistoadenoma

Tərifi

Sistoadenoma  qaraciyərin xoşxassəli birincili neoplastik kistidir, ədəbiyyatda biliar sistoadenoma da adlanır.

 

Morfoloji cəhətləri

Divarı anadangəlmə kistlərdəki kimi üçqatlıdır: öd epiteli, epitel membranı və fibroz qat. Lakin anadangəlmə kistlərdən fərqli olaraq:

  • epitel qatının hamısı və ya bir hissəsi neoplastik xarakterlidir
  • seroz maye yox, musin tipli qatı maye ifraz edir və mayedə CA 19-9 yüksək olur.
  • divarı qalın olur
  • papillamatoz çıxıntıları və arakəsmələr çox rast gəlir.

 

Klinikası və gedişi

  • Əksər hallarda ciddi əlamətlər vermirlər, təsadüfi müayinələrdə tapılırlar.
  • Böyük ölçülərə çatdıqda və ya ağırlaşmalar olarsa təzyiq, qanaxma, infeksiyalaşma və digər əlamətlər görünür.
  • Maliqnizasiya ehtimalı yüksəkdir (25%)

 

Diaqnostikası

Residiv və metastaz vermə ehtimalları yüksək olduğunu və radikal kistektomiya və ya rezeksiya ehtiyacını nəzərə alaraq neoplastik kistləri  bəsit kistlərdən ayırmaq çox vacibdir.

  • Görüntüləmə əlamətləri: bir-birinə yaxın bir neçə kistin olması, arakəsmələrin olması (40%), çoxkameralı olma, divarının qalın və kələkötür olması, içərisində papillamatoz çıxıntılar, mayenin müxtəlif sıxlıqlı olması,
  • Laborator əlaməti: mayedə yüksək CA-19-9.
  • Dəqiq diaqnozu mayedə və ya divarda şiş hüceyrələrinin tapılması ilə qoyulur.

 

Diaqnostik əlamətləri:

  • Asimptomatik, ağrı və s.
  • Görüntüləmədə qalın divarlı, polipoid çıxıntılı və arakəsməli kist
  • Kistik mayedə CA-19-9 müsbətdir
  • Biopsiyada neoplastik epitel

 

   

 

Sistoadenoma makroskopik və KT görünüşü.

 

Müalicəsi

Simptomatik və ya asimptomatik olmasından asılı olmayaraq sistoadenomalar müalicə olunmalıdırlar (maliqnizasiya riski) - kist epitelinin tamamilə aradan qaldırılmalıdır.   Kistektomiya (enukleasiya) və ya rezeksiya ilk seçimdir. Çətin hallarda total mukozektomiya edilə bilər.

Maliqnizasiya ehtimalını  nəzərə alaraq hissəvi kistektomiya, ablasiya, fenestrasiya, koterizasiya və sistoyeyunostomiya isə tövsiyə edilmir.

 

Birincili sistoadenokarsinoma

 

  • Birincili olaraq qaraciyərdən inkişaf edə bilir və ya sistoadenomaların maliqnizasiyasıdır.
  • Epitel qatı tam və ya hissəvi şəkildə atipikdir.
  • Əksər əlamətləri biliar sistoadenoma kimidir.
  • Dəqiq diaqnozu kist divarının patohistoloji müayinəsində qoyulur.
  • Müalicəsi üçün radikal rezeksiya lazımdır.

 

Metastatik sistoadenokarsinoma

  • Kistoz adenokarsinoma metastazlarıdır.
  • Mənbələri çənbər bağırsaq, pankreas, mədə, böyrək, yumurtalıq və s. ola bilir.
  • Klinik xüsusiyyətləri və müalicəsi digər metastazlarda olduğu kimidir.

 

TRAVMATİK KİSTLƏR

Travmatik kistlərin infeksiyalaşma ehtimalı yüksəkdir. Asimptomatik kistlər müşahidə edilir, infeksiya inkişaf edən hallarda isə xarici drenaj edilir. 

 

Özət

Neoplastik kistlərin epitel qatı neoplastik xarakterlidir (çoxqatlı, polipoid, adenokarsinoma), möhtəviyyatı seroz yox, musin tipli qatı mayedir, mayedə CA 19-9 yüksəkdir, divarı qalın, polipoid çıxıntıları, arakəsmələri və ya çoxkameralı olur. Diaqnozu histoloji müayinə ilə dəqiqləşir. Müalicəsi radikal eksiziyadır

Travmatik kistlər hematoma və bilioma yerində əmələ gəlir, divarı fibroz toxumadan ibarətdir,  epitel qatı yoxdur (yalançı kistdir). İltihablaşma varsa drenaj edilir.

 

 

Neoplastik kistlər üzrə suallar

N.Y.Bayramov, A.K.Səfiyeva, Ş.Ə.Məmmədova

 

Suallar

Cavablar

Neoplastik kistlər nədir?

Qaraciyərdə birincili və ya ikincili neoplastik proseslərin törətdiyi kistlərdir.

Rastgəlmə tezliyi nə qədərdir?

Qaraciyərin kistoz törəmələri arasında  nadir (1-2%) rast gəlir.

Hansı klinik formaları var?

  • Birincili:
    • Sistoadenoma;
    • Sistoadenokarsinoma;
  • İkincili:
    • Metastatik kistlər

Sistoadenoma - biliar sistoadenoma nədir?

Qaraciyərin xoşxassəli birincili neoplastik kistidir.

Morfologiyası:

Divarı 3 qatlıdır:

  • öd epiteli;
  • Epitel membranı;
  • Fibroz qat;

 

Anadangəlmə kistlərdən fərqli olaraq:

  • Epitel qatı neoplastik xarakterlidir;
  • Seroz maye yox, musin tipli qatı maye ifraz edir;
  • Mayedə CA 19-9 yüksək olur;
  • Divarı qalın olur;
  • Papillomatoz çıxıntıları və arakəsmələri olur;

Səbəbi  və ya risk faktorları nələrdir?

Bilinmir

Patogenezi nədən ibarətdir?

Bilinmir

Gediş xüsusiyyəti necədir?

Maliqnizasiya ehtimalı yüksəkdir (25%)

Ağırlaşmaları nələrdir?

Malignizasiya, infeksiyalaşma, qanaxma, ətrafa təzyiq.

Klinik əlamətləri hansılardır?

  • Əksərən asimptomatik;
  • Böyük ölçülərə çatdıqda və ya ağırlaşmalar olarsa təzyiq, qanaxma, infeksiyalaşma və s. əlamətlər;

Hansı xəstələrdə şübhəl

ənmək lazımdır?

Klinik və diaqnostik əlamətlər olan xəstələrdə

Dəqiqləşdimək  üçün hansı müayinələr lazımdır?

  • Biopsiya;
  • USM və tomoqrafiya;
  • Onkomarkerlərin təyini;

Laborator əlamətləri nələrdir?

Mayedə yüksək CA-19-9

Görüntüləmə əlamətləri nələrdir?

  • Bir-birinə yaxın bir neçə kistin olması, arakəsmələrin olması;
  • Çoxkameralı olması;
  • Divarının qalın və kələkötür  olması;
  • İçərisində papillomatoz çıxıntılar olması;
  • Mayenin müxtəlif sıxlıqlı olması;

Diaqnostik kriteriyalarını sadala?

  • Görüntüləmə əlamətləri;
  • Kistik mayedə CA 19-9 müsbət olması;
  • Biopsiyada neoplastik epitel;

Müalicə üsulları hansılardır?

Cərrahi;

Əməliyyata göstərşlər nələrdir?

Kistin olması

Əməliyyat üsulları hansılardır?

Kist epiteli tamamilə aradan qaldırılmalıdır:

  • Kistektomiya (enukleasiya);
  • Rezeksiya;
  • Çətin hallarda total mukozektomiya;

Hissəvi  kistektomiya, ablasiya,

fenestrasiya, koterizasiya və sistoyeyunostomiya tövsiyə edilirmi?

Maliqnizasiya  ehtimalını nəzərə alaraq, göstərilən əməliyyatlar tövsiyə edilmir.

Proqnozu nədir?

Radikal rezeksiyalardan sonra yaxşıdır.

Xəstəliyin ən xarakterik özəlliyini bir cümlə ilə necə ifadə edərsiniz?

Sistoadenoma şübhəsi varsa kist total çıxarılmalıdır.

Birincili sistoadenokarsinoma nədir?

Birincili  olaraq  qaraciyərdən  inkişaf  edən və  ya sistoadenomaların maliqnizasiyası olan neoplastik kistdir.

Morfologiyası?

Epitel qatı tam və ya hissəvi şəkildə atipikdir

Klinik əlamətləri hansılardır?

Əksər əlamətləri biliar sistoadenoma kimidir.

Dəqiqləşdirmək  üçün hansı müayinələr lazımdır?

Kist divarının patohistoloji müayinəsi.

Müalicə üsulları hansılardır?

Radikal rezeksiya

Metastatik sistoadenokarsinoma nədir?

Kistoz adenokarsinoma metastazlarıdır.

Mənbə?

Çənbər bağırsaq, pankreas, mədə, böyrək, yumurtalıq və s.

Klinik xüsusiyyətləri və müalicə üsulları hansılardır?

Digər metastazlardakı kimidir

Neoplastik kistlərin xarakterik cəhətləri hansılardır?

 

  • Kistin epitel qatı neoplastik xarakterlidir (çoxqatlı, polipoid, adenokarsinoma)
  • Möhtəviyyatı seroz yox, musin tipli qatı mayedir, mayedə CA 19-9 yüksəkdir
  • Divarı qalın, polipoid çıxıntıları, arakəsmələri və ya çoxkameralı olur.
  • Diaqnozu histoloji müayinə ilə dəqiqləşir
  • Müalicəsi radikal eksiziyadır
  • Arakəsməli və çoxkameralı kistləri çıxarmaq lazımdır, çünki bunların neoplastik olma ehtimalı yüksəkdir

 

QARACİYƏRİN ANADANGƏLMƏ SİSTLƏRİ

 N.Y.Bayramov, R.A.Məmmədov

 

Tərifi

Qaraciyərin anadangəlmə kistləri fibropolikistik xəstəliyin morfoloji formaları hesab olunur. Fibropolikistik xəstəlik və ya sistik fibroz genetik dəyişiklik nəticəsində axacaq sisteminin embrional inkişafdan qalması ilə xarakterizə olunur (duktal malformasiya).

Xəstəliyin xarakterik morfoloji əlaməti olan duktal malformasiya kistlər və fibroz şəklində ortaya çıxır. Xəstəlik orqanizmin ümumi xəstəliyi hesab olunur, bir və ya bir neçə orqanda özünü göstərə bilir. Ən çox ağciyərdə, MAV-da, qaraciyər və öd yollarında ortaya çıxır.

 

Təsnifatı

Qaraciyər və öd yollarının fibropolikistik xəstəliyinin bir neçə morfoloji formaları var (Şəkil 1):

  • Sadə Qc kisti
  • Qaraciyər polikistozu
  • Anadangəlmə hepatik fibroz
  • Karoli xəstəliyi
  • Mikrohamartoma
  • Xoledox kistləri
  • Uşaqlarda xolestaz

 

 

Şəkil 1. Qc və öd yollarının fibropolikistik xəstəlikləri

 

Fibropolikistik xəstəliyin etiologiya və patogenezi

  • Anadangəlmə kistlər fibropolikistik xəstəliyin morfoloji formalarından biridir.
  • Fibropolikistik xəstəlik və ya sistik fibroz genetik dəyişiklik nəticəsində axacaq sisteminin embrional inkişafdan qalması ilə xarakterizə olunur (duktal malformasiya).
  • Sistik fibroz xəstəliyi 7-ci xromosomda yerləşən və sistik fibroz transmembran requlyator (CFTR) adlanan genin mutasiyası nəticəsində meydana gəlir. CFTR geninin kodladığı protein hava yollarını, MAV axacağını, tər vəzilərinı, bağırsaqları, öd yollarını və toxum axacaqlarını örtən epitel hüceyrələrin membranlarında xlorid ionları üçün kanal rolunu oynayır və Na+ ionlarının hüceyrəyə giriş-çıxışını requlyasiya edir. CFTR-in mutasiyası nəticəsində xlorun hüceyrədən çıxışı azalır, Na+ ionlarının isə hüceyrəyə absorbsiyası artır. Nəticədə epitel hüceyrələrindən axacağa su ifrazı da azalır ki, bu da sekretin qatılaşmasına, daşlaşmasına və axacaq sistemində durğunluğa səbəb olur. Axacaq sistemindəki durğunluq və keçməzlik nəticəsində orqanlarda iltihabi və infeksion ağırlaşmalar meydana gəlir (pnevmoniya, pankreatit, hidroadenit, sialadenit, sinusit, xolangit, mekonium keçməzliyi və s.) 

 

Morfologiyası

  • Xəstəlikdəki duktal malformasiya kistlər və fibroz şəkilində ortaya çıxır.
  • Xəstəliyin formasından asılı olaraq kist, fibroz, ya da hər ikisi  üstünlük təşkil edə bilir.
  • Anadangəlmə kistlərin divarı üçqatlı olub, daxildə öd yolları tipində epitel, ortada epitel membranı və xaricdə nazik fibroz təbəqədən ibarətdir. Epitel qişası anadangəlmə kistlərin ən mühüm xüsusiyyətidir və kist içərisindəki mayeni ifraz edir. Ona görə də, epitel qişası sağlam olduqda kistlərin residivləşmə ehtimalı yüksək, obliterasiya imkanı isə çox azdır.

 

Klinikası və gedişi

  • Xəstəlik kiçik yaşlarda çox görünür, lakin böyük adamlarda da rastlanır.
  • Bu xəstəliklər asimptomatik gedə bilər və ya dörd sindromdan biri üstünlük təşkil edə bilər:
    • kütlə effekti
    • xolestaz
    • xolangit
    • portal hipertenziya
  • Bu xəstəliklərdə bədxassəlilik potensialı var, ancaq çox aşağıdır.

 

Sadə qaraciyər kisti

  • Ölçüləri 2-5 sm arasındadır və adətən təksaylıdır.
  • Üçqatlı divarı (kubşəkilli epitel, membran və fibroz) və seroz möhtəviyyatı var.
  • Öd yolları ilə əlaqəsi olmur və arakəsmələri də yoxdur.
  • Əksəriyyəti asimptomatikdir, nadir hallarda simptom (ağrı) və ağırlaşma (qanaxma, infeksiyalaşma) törədərlər.
  • Diaqnostikasında USM və MRT əhəmiyyətlidir: incə divarlı və arakəsməsiz kist görünür. Exinokokk kistinin I tipindən fərqləndirmək çətin ola bilir. Seroloji müayinə və izləmə faydalıdır.
  • Asimptomatik kistlərdə müalicəyə gərək yoxdur.
  • Simptomatik kistlərin müalicəsi üçün punksiya, skleroterapiya və cərrahi üsullar mövcuddur.
  • Punksiyadan sonra kistlərin əksəriyyəti təkrarladığı üçün bu üsul daha çox diaqnostik məqsədlə tətbiq edilir.
  • Skleroterapiyada kist epiteli sklerotik maddə ilə (etanol, monosiklin hidroxlorid) kimyəvi destruksiyaya uğradılır. Kistlərin 65-95%-ni bu yolla müalicə etmək mümkündür. Kistin öd yolları ilə əlaqəsinin olması skleroterapiyaya əks göstərişdir.
  • Böyük ölçülü və Qc səthindən çıxan kistlərin ən effektiv müalicəsi açıq və ya laparoskopik yolla fenestrasiyadır (kist divarının kəsilib götürülməsi və peritona açılması).

 

     

 

Şəkil 2. Qaraciyərin sadə sisti, əməliyyatdaxili, USM və MRT görüntüləri

 

 

Polikistik xəstəlik

 

  • Kistlər çoxsaylıdırlar və ölçüləri müxtəlifdir (1-20 sm)
  • Öd yolları ilə əlaqələri olmur, arakəsmələri yoxdur.
  • Adətən böyrək polikistozu ilə birlikdə rast gəlir.
  • Qc-i sıxışdırma əlamətləri törədə bilir (PH, sarılıq, ağrı).
  • Qaraciyər əlamətlərindən daha çox böyrək əlamətləri ön plana çıxır (böyrək yetməzliyi, pielonefritlər, hipertoniya).
  • Görüntüləmədə nazik divarlı, maye tərkibi olan, lakin toxuma komponenti olmayan bir neçə kistin olması, böyrək və sümüklərdə kistlərin mövcudluğu polikistik xəstəlik üçün xarakterikdir.
  • Asimptomatik kistlərdə izləmə lazımdır.
  • Simptomatik formalarda müalicə edilməlidirlər (fenestrasiya, rezeksiya, hətda qaraciyər köçürülməsi).
  • Ağırlaşmış kistlərdə uyğun müalicə seçilir: irinləmiş kistlərdə xarici drenaj, qanaxmalarda embolizasiya, hemostaz+drenaj və ya kistektomiya, öd yollarına açılmış kistlərdə kisto-yeyunostomiya.

 

 

 

Karoli xəstəliyi

 

  • Öd yolları ilə əlaqəsi olan çoxsaylı kistlərdir.
  • Bir payı və ya hər iki payı tuta bilirlər.
  • Təkrarlayan xolangit əlamətləri törədə bilirlər.
  • Retroqrad xolangioqrafiyada intrahepatik öd yollarının kistşəkilli genişlənməsi diaqnozu dəqiqləşdirir.
  • Sekretin testi də istifadə edilə bilər (Karoli xəstəliyində sekretindən sonra öd ifrazı artır).
  • Asimptomatik forma müşahidə edilir.
  • Simptomatik formada bir payda olarsa rezeksiya, hər iki payı tutarsa drenaj, həttda transplantasiya lazım gəlir.

 

     

Şəkil 3. Karoli xəstəliyi

 

Özət

 

Qaraciyərin “kist” və ya “suluq” adlanan maye tərkibli törəmələri səbəblərinə görə anadangəlmə, parazitar, neoplastik, travmatik və iltihabi kistlərə ayrılırlar.

Qaraciyərin anadangəlmə kistləri  genetik defekt nəticəsinə meydana gələn fibropolikistik xəstəliyinin klinik-morfoloji formaları hesab edilirlər ki, bunlara sadə kist, polikistoz, Karoli xəstəliyi və s. aid edilə bilər.

Sadə qaraciyər kistlərinin ölçüləri 2-5 sm arasındadır və adətən təksaylıdır, öd yolları ilə əlaqəsi və arakəsmələri yoxdur. Görüntüləmədə incə divarlı və arakəsməsiz görünür, I tip exiniokokk kistindən fərqləndirmək çətin olur. Nadir hallarda simptom  və ağırlaşma törədir. Ağırlaşma və əlamət törətmirsə müalicəsinə gərək yoxdur.

Qaraciyər polikistozunda sistlər çoxsaylıdır və ölçüləri 1-20 sm arasındadır, öd yolları ilə əlaqəsi və arakəsmələri yoxdur. Adətən böyrək polikistozu ilə birlikdə rast gəlir, Qc-i sıxışdırma əlamətləri törədə bilir (PH, sarılıq). Simptomatik formalarda müalicə edilməlidirlər – rezeksiya, fenestrasiya

Karoli xəstəliyi öd yolları ilə əlaqəsi olan çoxsaylı kistlərdir, təkrarlayan xolangit əlamətləri törədə bilir. Müalicəsi üçün rezeksiya, drenaj, həttda Tx lazım gəlir.

 

Qaraciyərin anadangəlmə sistləri üzrə suallar

N.Y.Bayramov, A.K.Səfiyeva, Ş.Ə.Məmmədova

 

Suallar

Cavablar

Qaraciyərin  anadangəlmə  kistləri nədir?

Fibropolikistik xəstəliyin (sistik fibroz)  morfoloji forması olub, genetik dəyişiklik nəticəsində axacaq sisteminin embrional inkişafdan qalması ilə xarakterizə olunur (duktal malformasiya – sistlər və fibroz)

Morfologiyası:

Divarı 3 qatlı:

  • daxildə öd yolları tipində epitel;
  • ortada epitel membranı;
  • xaricdə nazik fibroz təbəqə;

Rastgəlmə tezliyi nə qədərdir?

Xəstəlik kiçik yaşlarda daha çox rast gəlinir

Qaraciyər və öd yollarının fibropolikistik xəstəliyinin hansı morfoloji formaları var?

  • Sadə Qaraciyər kisti;
  • Qaraciyər polikistozu;
  • Anadangəlmə hepatik fibroz;
  • Karoli xəstəliyi;
  • Mikrohamartoma;
  • Xoledox sistləri;
  • Uşaqlarda xolestaz;

Səbəbi  və ya risk faktorları nələrdir?

Genetik dəyişiklik - 7-ci xromosomda yerləşən və sistik fibroz transmembran requlyator (CFTR) adlanan genin mutasiyası.

Patogenezi nədən ibarətdir?

CFTR geninin kodladığı protein epitel hüceyrələrin membranlarında Cl- və Na+ ionlarının hüceyrəyə giriş-çıxışını requlyasiya edir. CFTR-in mutasiyası nəticəsində xlorun hüceyrədən çıxışı azalır, Na+ ionlarının isə hüceyrəyə absorbsiyası artır. Nəticədə epitel hüceyrələrindən axacağa su ifrazı da azalır ki, bu da sekretin qatılaşmasına, daşlaşmasına və axacaq sistemində durğunluğa,  bu da orqanlarda iltihabi və infeksion ağırlaşmalara səbəb olur.

Gediş xüsusiyyəti necədir?

Bədxassəlilik potensialı var, ancaq çox aşağıdır

Klinik əlamətləri hansılardır?

  • Bəzən asimptomatik;
  • Kütlə effekti;
  • Xolestaz əlamətləri;
  • Xolangit əlamətləri;
  • Portal hipertenziya;

Sadə qaraciyər kistinin xüsusiyyətləri nədir?

  • Ölçüləri 2-5 sm arasında və adətən təksaylı olur;
  • Öd yolları ilə əlaqəsi olmur və arakəsmələri də yoxdur

Klinik əlamətləri hansılardır?

Əksərən asimptomatik, nadir hallarda ağrı;

Ağırlaşmaları nələrdir?

  • Qanaxma;
  • Infeksiyalaşma;

Dəqiqləşdirmək  üçün hansı müayinələr lazımdır?

  • USM və MRT;
  • Seroloji müayinə;

Görüntüləmə əlamətləri nədir?

USM və MRT - incə divarlı və arakəsməsiz sist görünür

Müalicə üsulları hansılardır?

  • Asimptomatik kistlərdə müalicəyə gərək yoxdur;
  • Simptomatik sistlərdə cərrahi müalicə, punksiya, skleroterapiya.

Skleroterapiyaya əks göstəriş nədir?

Sistin öd yolları ilə əlaqəsinin olması

Cərrahi müalicəyə göstəriş nədir?

Böyük ölçülü və Qc səthindən çıxan sistlərin olması

Hansı əməliyyat üsullarından istifadə edilir?

Açıq və ya laparoskopik yolla fenestrasiya – sist divarının kəsilib götürülməsi və peritona açılması

Polikistik xəstəliyin xüsusiyyəti nədir?:

 

  • Kistlər çoxsaylıdırlar və ölçüləri müxtəlifdir (1-20 sm);
  • Öd yolları ilə əlaqələri olmur, arakəsmələri yoxdur;
  • Adətən böyrək polikistozu ilə birlikdə rast gəlinir;

Klinik əlamətləri hansılardır?

  • Qaraciyərin sıxılma əlamətləri:
    • PH;
    • Sarılıq;
    • Ağrı;
  • Böyrək əlamətləri:
    • böyrək yetməzliyi;
    • pielonefrit;
    • hipertoniya

Dəqiqləşdirmək üçün hansı müayinələr lazımdır?

USM və tomoqrafiya

Görüntüləmə əlamətləri hansılardır?

Nazik divarlı, maye tərkibi olan, lakin toxuma komponenti olmayan bir neçə kistin görünməsi - böyrək və sümüklərdə

Müalicə üsulları hansılardır?

  • Asimptomatik kistlərdə müşahidə;
  • Simptomatik formalarda - fenestrasiya, rezeksiya, hətta qaraciyər köçürülməsi;
  • Ağırlaşmış kistlərdə - irinləmiş kistlərdə xarici drenaj, qanaxmalarda embolizasiya,  hemostaz+drenaj və ya kistektomiya, öd yollarına açılmış kistlərdə kisto-yeyunostomiya;

Karoli xəstəliyi nədir?

Bir və ya hər iki payı tuta bilən, öd yolları ilə əlaqəsi olan çoxsaylı kistlərdir.

Klinik əlamətləri hansılardır?

Təkrarlayan xolangit əlamətləri

Dəqiqləşdirmək  üçün hansı müayinələr lazımdır?

  • MRT və kontrast xolangioqrafiya - intrahepatik öd yollarının sistşəkilli genişlənməsi;
  • Sekretin testi - sekretindən sonra öd ifrazı artır; 

Müalicə üsulları hansılardır?

  • asimptomatik formada - müşahidə;
  • simptomatik formada – 1 payda olarsa rezeksiya, hər iki payı tutarsa drenaj, hətta transplantasiya;

Xəstəliyin ən xarakterik özəlliyini bir cümlə ilə necə ifadə edərsiniz?

Karoli xəstəliyi həm asimptomatik ola bilər, həm də transplantasiya gərəkdirə bilər.

 

HİDATİK (KİSTOZ) EXİNOKOKK

N.Y.Bayramov, R.A.Məmmədov

 

Tərifi

İnsanlarda parazitar kistlərdən ən çox rast gəlinəni Echinococcus granulosae  tərəfindən törənən böyük kistlər - hidatitoz tip və  Echinococcus alveolaris tərəfindən törənən  xərçəngəbənzər mikrokistlər alveolokokkozdur.

E. granulosae (4-6 mm uzunluğunda qurd) parazitinin aralıq mərhələsi olub, qaraciyərdə və digər orqanlarda kistlərin əmələ gəlməsi ilə xarakterizə olunur.

 

Təsnifatı

Sayına görə

  • Təksaylı
  • Çoxsaylı

Yerinə görə

  • Yalnız qaraciyərdə
  • Digər orqanlarda

Ölçüsünə görə

  • Kiçik (<5 sm)
  • Böyük (5-10 sm)
  • Çox böyük ( >10 sm)

Gedişinə görə

  • Proqressiv (böyümə)
  • Ağırlaşma (abses, partlama, allergiya, kompressiya, öd yollarına vəya digər boşluqlara açılma)
  • Ölmüş
  • Residiv

Klinikasına görə

asimptomatik, simptomatik, ağırlaşmalı

Görüntüləmə əlamətlərinə görə

ÜST (Gharby) təsnifatına görə 6 görüntü tipi var:

  • I tip (CL)- USM görüntüsü bəsit kistlərə çox bənzəyir: incə divarlıdır,  xitin qatı görünmür, içərisində qız qovucuqları yoxdur. Xitin qatını MRT ilə görmək olar.
  • II tip (CE 1) - kistin fibroz və xitin qatları USM, KT və MRT ilə görünür, (ikiqatlı divar) qız qovucuqları yoxdur.
  • III tip (CE 2) - multivezikulyar kistdir, içərisində qız qovucuqları mövcuddur. USM-də “arı pətəyi” şəklində görünür.
  • IV tip (CE 3) - parazitin ölməsi və ya partlaması nəticəsində xitin qatı qatlanır və USM də “yun yumağı” şəkilində görünür. Bu kistlər adətən ağırlaşmış- peritona, öd yollarına və digər boşluqlara açılmış kistlərdir.
  • V tip (CE 4) - kistin tərkibində bərk və maye komponentləri görünür. Bu adətən ölü kistlərdə rastlanır.
  • VI tip (CE 5) - kistin divarında yerli və ya yayğın kalsifikasionlar ortaya çıxır. Kalsifikasionun adətən ölü kistlərdə müşahidə edilməsinə baxmayaraq, residiv və canlı kistlərdə də görünə bilir

 

Etiologiyası və patogenezi

  • granulosae (4-6 mm uzunluğunda qurd) tərəfindən törədilir.
  • Əsas sahibləri hesab edilən itlərin və pişiklərin nazik bağırsaqlarında yaşayırlar.
  • İnsanlar və ot yeyən heyvanlar isə parazitin ara sahibləridirlər.
  • Əsas sahiblərin bağırsaqlarından bayıra atılan yumurtalar insanlar və ot yeyən heyvanlar tərəfindən udulur. Yumurtadan çıxan onkosferalar ara sahibin bağırsaq divarını keçərək qanla və ya nadir hallarda limfa ilə daxili orqanlara çatırlar. Onkosferadan əmələ gələn skolekslər toxumada kistşəkilli törəmə əmələ gətirir. Ən çox qaraciyər, sonra ağciyər və digər orqanlar tutulur.

 

Morfologiyası

  • Exinokokk kistinin üç təbəqəsi var: daxildə herminativ, ortada xitin, xaricdə isə fibroz qat.
  • Herminativ qatda skolekslər çoxalır, maye ifraz edilir və qız qovucuqlar əmələ gəlir.
  • Xitin qat (laminatıv) exinokokka məxsus, ağımıtıl rəngli, kövrək membrandır.
  • Fibroz qat (perikist də deyilir) parazitin əmələ gətirdiyi qat olmayıb, əksinə, parazitə qarşı  orqanizm tərəfindən iltihabi reaksiya və ya kistin qaraciyərə təzyiqi ilə əlaqədar əmələ gələn birləşdirici toxumadır.
  • Kistlər tək və çoxsaylı ola bilər, ölçüləri bir neçə millimetrdən tutmuş 20-40 sm-ə qədər dəyişə bilər.

 

Gedişi və ağırlaşmaları

  • Exinokok kistləri adətən böyüyərlər və ətrafa təzyiq göstərərlər.
  • Çox az hallarda exinikokk kisti spontan olaraq ölə bilir və kalsifikasiyalaşır.
  • Maliqnizasiya ehtimalı yoxdur.
  • Ağırlaşma halları çox rast gəlir (25-40%)

 

Ağırlaşmaları

  • İnfeksiyalaşma
  • Partlama (qarın boşluğuna, öd yollarına, bağırsaqlara, dəriyə, plevra və bronxlara)
  • Allergiya
  • Kalsifikasiya və mexaniki təzyiq
  • Digər

 

Klinikası

  • Exinokokk kistləri asimptomatik, simptomatik və ağırlaşmalı seyr edilə bilirlər.
  • Erkən və kiçik kistlər adətən uzun müddət simptom vermirlər.
  • Kist böyüyərək ətraf orqanlara təzyiq göstərdikdə klinik əlamətlər ortaya çıxır: qarında kütlə, diskomfort, ağrı hissi, bəzən sarılıq müşahidə edilir.
  • Allergik tipli dəri səpgiləri də rast gəlir.
  • Kist infeksiyalaşdıqda abses klinikası ortaya çıxır.
  • Kist partlamasının klinik əlamətləri açıldığı boşluqdan asılı olaraq dəyişir (sarılıq, xolangit, anaflaktik reaksiya, peritonit, bronxit, plevrit və s.).

 

Diaqnostikası

Şübhə

  • Görüntüləmədə qaraciyərdə kist tapılan xəstələrdə ilk növbədə exinokokk sistindən şübhələnmək lazımdır.
  • Arakəsməli kistlər
  • Divarı kalsifikasiyalı sistlər
  • Sarılıq, peritonit əlamətləri ilə yanaşı qaraciyərdə sist
  • Abses əlamətləri

 

Dəqiqləşdirmə

  • Xitin qatı və ya qız qovucuqlarının görünməsi exinokokk sistinin xarakterik əlamətidir.
  • Bu əlamətlər USM və tomoqrafiya üsuları ilə ikiqatlı divar (fibroz və xitin qatlar), qız qovucuqları (“arı pətəyi” əlaməti), qatlanmış xitin qatı (“yun yumağı” əlaməti) kimi görünür.
  • Qanda və mayedə exinokokk antigenlərinin (seroloji müayinə) və anticismlərinin (ELİSA, immunoelektroforez, blottinq) təyininə əsaslan laborator müayinələr 90 – 100% həssaslıq göstərirlər və daha çox differensial diaqnostikada və əməliyyatdan sonra residivin olub-olmadığını aşkar etmək üçün istifadə edilir.
  • Əməliyyat vaxtı da kist içərisində xitin qatı və qız qovuqcuqlarının görünməsi exinokokk kistləri üçün patoqnomonikdir.

 

     

 

Diaqnostik kriteriyalar:

  • Xitin qatı və ya qız qovucuqlarının görünməsi (USM, KT, MRT)
    • İkiqatlı divar
    • Arı pətəyi
    • Qatlanmış qat
    • Yun yumağı
  • Əməliyyatda xitin qatının görünməsi
  • Exinikokka qarşı anticisimlər təyini

 

 

       

 

 

Differensial diaqnostika

  • Sadə və polikistik xəstəlik – təkqatlı divarlı göründükləri üçün I tip sistlə qarışdırıla bilər, exinokokk antigeni neqativdir.
  • Neoplastik sistlər – arakəsməli olduğu üçün III tip kistlə qarışdırıla bilər, exinokokk antigeni neqativdir, CA – 19 – 9 pozitivdir, divarı qalın və kontrast
  • Postravmatik kist – divarında kalsifikasiya olduğu üçün exinokokkla qarışdırıla bilər, exinokokk antigeni neqativdir.

 

Müalicəsi

Müalicəsində 3 üsul mövcuddur:

  • kimyaterapiya
  • dəridən keçən punksion – aspirasion üsul
  • cərrahi üsul
  • Hazırkı antihelmint dərmanlar (mebendazol, albendazol) residivin profilaktiklası (cərrahi və punksion müdaxilələrdən əvvəl və sonra) və bəzi xəstələrdə ilkin müalicə (gənc xəstələrdə, kiçik və təkkameralı sistlərdə) məqsədi ilə geniş istifadə edilir.
  • Dəridən keçən kateterizasiya üsulu monovezikular və öd yolları ilə əlaqəsi olmayan sistlərdə aparılır.
  • Açıq və ya laparoskopik cərrahi üsul hazırda exinokokkun müalicəsində əsas yer tutur.
  • Cərrahi üsulları iki qrupa ayırmaq olar: radikal və konservativ.
  • Radikal cərrahi üsullarda kistin təbəqələrinin tamlığı pozulmur və tam çıxarılır. Buna rezeksiya və perisistektomiya aiddir. Bunlardan sonra residiv 0 – 1,5% civarındadır.
  • Konservativ cərrahiyyədə isə kistin təbəqələrindən biri və ya hamısı açılır, parazitlər tamamilə çıxarılır, fibroz qatı isə tam və ya hissəvi saxlanılır. Bunlardan sonra residivlər 10 – 15% təşkil edir.
  • Paraziti çıxarma (exinokokkektomiya) üsulları:
  • Evakuasiya – fibroz və xitin qatları açılır, kist möhtəviyyatı sorucu və ya “qaşıqla” çıxarılır.
  • Enokulyasiya – fibroz qat açılır, xitin qatı bütövlükdə partlatmadan çıxarılır.
  • Perikistektomi – exinokokk fibroz qatla (perisist) birlikdə ətraf toxumadan ayrılıb çıxarılır.
  • Qalıq boşluğu ləğv etmə üsulları:
  • Marsupializasiya sist divarını dəriyə tikərək boşluq bayıra açılır və qranulyasiya ilə dolması gözlənir.
  • Xaricə drenaj – marsupializasiyadan fərqli olaraq, sist xaricə drenaj vasitəsi ilə açılır. İrinləmiş sistlərdə istifadə olunur.
  • Omentoplastika – kist boşluğu böyük piyliklə doldurulur.
  • Kapitonaj, intrafleksiyon – sist içəridən və ya bayırdan qatlanıb tikilərək boşluq bağlanır.

 

 

ALVEOLAR EXİNOKOKK

 

  • Echinococcus alveolaris tərəfindən törədilir
  • Parazitin əsas sahibləri çaqqal və tülküdür, insan aralıq sahibidir
  • Sibirdə və Alyaskada çox rast gəlir
  • Bir-birinə bitişik millimetrik kistlərdən ibarətdir
  • Klinik və görüntüləmə əlamətlərinə görə bədxassəli şişlərə bənzəyir
  • Periportal və kapsula boyunca yayılır
  • Diaqnozu biopsiya ilə dəqiqləşdirilir
  • Ən effektiv müalicəsi cərahi eksiziyadır

 

Özət

 

Qaraciyərin “kist” və ya “suluq” adlanan maye tərkibli törəmələri səbəblərinə görə anadangəlmə, parazitar, neoplastik, travmatik və iltihabi kistlərə ayrılırlar.

İnsanlarda parazitar kistlərdən ən çox rast gəlinəni Echinococcus granulosae  tərəfindən törənən böyük kistlər - hidatitoz tip və  Echinococcus alveolaris tərəfindən törənən  xərçəngəbənzər mikrokistlər alveolokokkozdur.

Hidatitoz (kistik) exinokokkozun xitin qatı var, adətən böyüyər və ağırlaşma törədər (təzyiq, öd yollarına açılma, infeksiyalaşma, və s). Diaqnozu USM, KT/MRT və seroloji müayinə ilə (exinokokk İg) dəqiqləşdirlir,  ikiqatlı divar, qız qovucuqları (“arı pətəyi” əlaməti), qatlanmış xitin qatı (“yun yumağı” əlaməti), divarda kalsifikasyon, pozitiv serologiya xarakterik əlamətləridir. Əsas müalicəsi cərrahi müdaxilədir (kist drenajı, perisistektomiya, rezeksiya), əməliyyatdan əvvəl və sonra albendazol müalicəsi verilir, bəzi xəstələrdə perkutan drenaj tətbiq edilə bilir.

Alveolyar exinokokkoz bir-birinə bitişik millimetrik kistlərdən ibarətdir. Klinik və görüntüləmə əlamətlərinə görə bədxassəli şişlərə bənzəyir, periportal və kapsula boyunca yayılır. Diaqnozu biopsiya ilə dəqiqləşdirilir, ən effektiv müalicəsi cərahi eksiziyadır

 

 

Exinokokk sistləri üzrə suallar

N.Y.Bayramov, A.K.Səfiyeva, Ş.Ə.Məmmədova

 

Nədir?

Echinoccocus granulosa  ilə dolu olan sistlər

Risk faktoru?

Endemik bölgəyə səyahət, heyvan saxlayanlar.

Əlamətləri hansılardır?

Asimptomatik, sağ yuxarı kavdrantda ağrı, kütlə, sarılıq

Diaqnoz necə qoyulur?

USM və ya KT/MRT

Xarakterik görüntüləmə əlamətləri hansılardır?

İkiqat divar, qız qovuqcuqları, yun yumağı, kirəcləşmiş divar

Qarının R-müayinəsində nə tapıla bilər?

Kalsifikasiya olunmuş sist

Təhlükəli ağırlaşmaları hasılardır?

Plevra, perikard, periton boşluğuna və öd yollarına partlama

Cərrahi yolla sistin çıxarılması zamanı hansı ağırlaşmalar ola bilər?

Sistin cırılması və ya partlamsı nəticəsində fatal anafilaktik reaksiya

Nə zaman perkutan drenaj etmək olar?

Tək, arakəsməsiz, qız qovuqcuqları olmayan, cavan, irinləmiş sistlərdə

Müalicəsi nədir?

Albendazol və ardınca cərrahi müalicə

Hansı sklosidal dərmanlar istifadə olunur?

Hipertonik məhlul (30%), ethanol

HEPATİK ENSEFALOPATİYA

N.Y.Bayramov, R.A.Məmmədov

 

Tərifi

Hеpatik еnsеfalopatiya kəskin və xronik qaraciyər  xəstəliklərinin bеyin funksiyalarında törətdiyi gеriyədönən və ləngimə xaraktеrli neyro-psixoloji dəyişiklərdir  (şüur, dərketmə və hərəkətə nəzarət dəyişiklikləri)

 

Təsnifatı

Etio-patogenezinə görə (qaraciyər patologiyasının xarakterinə görə)

  • A-tip – kəskin ensefalopatiyadır, kəskin qaraciyər yetməzliyində rast gəlir, əsasən beyin ödeminə bağlıdır
  • B-tip – portosistemik yanyollara bağlıdır, adətən qaraciyər funksiyası ciddi pozulmur
  • C tip – xronik ensefalopatiyadır, sirrozda rast gəlir və bunun 3 alt tipi ola bilər:
    • epizodik və ya  kəskinləşmiş- ağırlaşdırıcı amillərin təsirindən ortaya çıxır
    • davamlı – davamlı şəkildə dərketmə və hərəki pozulmalar
    • minimal – klinik təyin edilmir, lakin xüsusi testlərlə təyin edilir.

Ağırlıq dərəcəsinə görə

Subklinik

Aşkar – I,II,III və IV dərəcəli (bax aşağı)

 

Etiopatogenezi

  • Neyro-sinaptik disfunksiya, yəni, neyronların funksiyalarının və neyronlar arasındakı əlaqələrin ləngimə xarakterli pozulması ensеfalopatiyanın baş vеrməsində bilavasitə rol oynayan prosesdir.
  • Bu proseslərə gətirib çıxaran mexanizmlər neyrotoksikoz və bеyin ödеmidir.
  • Əmələ gəlmə yеrinə görə nеyrotoksinlər bağırsaq və bеyin mənşəli ola bilər.
  • Bağırsaq mənşəli toksinlərə ammonyak, qamma-aminoyağ turşusu (QAYT), mеrkaptanlar, yalançı nеyromediatorlar və s. aid еdilir. Ammonyak nəzəriyyəsi hazırda xronik və kəskinləşmiş еnsеfalopatiyalarda ön planda duran nəzəriyyədir və klinik olaraq özünü müəyyən qədər də  doğrultmuşdur.
  • İltihab və sepsis kəskin beyin ödeminin baş verməsində əsas mexanizm hesab edilir.
  • Etiopatogenezinə və gedişinə görə hеpatik еnsеfalopatiyanın bir neçə klinik forması var: kəskin, xronik və şunt.
    • Kəskin еnsеfalopatiya kəskin qaraciyər yetməzliyində meydana çıxır, bеyin ödеmi əsas patogеnеtik mеxanizmidir və yüksək lеtallıqla sеyr еdir (80%).
    • Xronik qaraciyər xəstəliklərində çox rastlanan və əsasən hepatosellulyar yetməzliyə bağlı toksikoz nəticəsində baş verən xronik еnsеfalopatiya müalicəyə tabе olur və adətən yüksək lеtallıq törətmir. Bunun bir neçə forması ola bilir: davamlı, kəskinləşmiş, minimal.
    • Kəskinləşmiş və ya ağırlaşmış və ya epizodik ensefalopatiya xroniki ensefalopatiyanın kəskin dərinləşməsidir və adətən müəyyən ağırlaşdırıcı amillərin təsiri nəticəsində baş verir. Mədə-bağırsaq qanaxmaları, çoxlu protein qəbulu, diuretiklər, sedativlər, infeksiya, elektrolit imbalansı ensеfalopatiyanı ağırlaşdıran amillər arasında ən çox rastlananlarıdır.
    • Qaraciyər funksiyası pozulmayan xəstələrdə yanyol əməliyyatları və ya geniş kollaterallar nəticəsində baş verən şunt (yankeçmə) ensefalopatiyası bir çox cəhətlərinə görə xronik ensefalopatiyaya bənzəyir. Yanyol kiçilərsə və ya aradan qalxarsa ensefalopatiya geriyə inkişaf edə bilir.

 

Şəkil 1. Hepatik ensefalopatiyanın patogenezi

Gedişi

  • Ensefalopatiya özlüyündə geriyə dönən prosesdir.
  • Əsas xəstəliyin aradan qaldırılması beyindəki dəyişiklikləri də aradan qaldırır.
  • Xroniki və kəskinləşmiş ensefalopatiyalar konservativ müalicələrlə düzələ bilirlər.
  • Kəskin ensefalopatiya transplantasiya və ya regenerasiyadan sonra düzələ bilir, əks halda letallığa gətirib çıxarır (80%).

 

Klinikası

  • Hepatik ensefalopatiya subklinik və ya aşkar ola bilər.
  • Subklinik formada klinik əlamətlər olmur, xüsusi testlərlə təyin olunur.
  • Aşkar klinik formada isə beyinin əsas funksiyalarında (şüur, dərketmə və hərəkətə nəzarət funksiyalarında) dəyişiklik ortaya çıxır. Bu dəyişiklilər yüngül formadan komaya qədər dəyişə bilər.

 

Diaqnostikası

Şübhə

  • Qaraciyər xəstəliyi olanlarda HE–yə şübhə var.
  • Qeyri – adekvat hərəkət və davranışı olanlarda bu şübhə artır.
  • Komada olanlarda.

 

Dəqiqləşdirmə

Hepatik ensefalopatiya klinik müayinələrlə dəqiqləşdirilir və 2 kriteriyanın olması vacibdir:

  • Qaraciyər xəstəliyinin olması
  • Beyinin əsas funksiyalarının (şüur, dərketmə, hərəkətə nəzarət) birində və ya bir neçəsində pozulma

 

Laborator olaraq ammonyakın artması, görüntüləmədə beyində spesifik dəyişikliklər diaqnozu dəstəkləyə bilər, lakin olmazsa inkar etməz

 

Ağırlıq dərəcəsinin təyini

Ağırlıq dərəcəsi klnik əlamətlərə görə təyin edilir və 5 dərəcəsi müəyyən еdilir: subklinik və ya gizli, I, II, III və IV dərəcəli.

  • Subklinik еnsеfalopatiyada adi klinik müayinələrdə beyin fəaliyyəti normal görünsə də, xüsusi neyro – psixoloji testlərlə intellektdə və hərəkətlərdə incə dəyişikliklər təyin еdilir.
  • I və II dərəcəli ensefalopatiyalarda xəstə ilə kontakt qurmaq olur: I dərəcədə xəstə ayıqdır, cavab var, lakin intellektual zəifləmə (yaddaş, diqqət) və tremor qeyd edilir, II dərəcədə isə yuxululuq olsa da, cavab var, lakin yavaşdır.
  • III və IV dərəcəli ensefalopatiyalarda xəstə ilə kontakt qurmaq olmur: III dərəcədə cavab var, lakin anlaşılmır, IV dərəcədə isə cavab yoxdur – koma.

 

Səbəbin və ağırlaşdırıcı faktorların təyini

  • Hepatik ensefalopatiyanın səbəbini və ağırlaşdırıcı amillərini təyin etmək üçün hərtərəfli klinik, laborator, görüntüləmə müayinələri aparılır.

 

Müalicəsi

  • Hepatik ensefalopatiyanın müalicəsində ilk hədəf əsas səbəbin – qaraciyər xəstəliyinin və ya porto – sistemik yanyolun aradan qaldırılmasıdır.
  • Səbəb aradan qaldırılmadıqda ensefalopatiyanın müalicəsi üçün ikinci hədəf kimi patogenetik mexanizmlərə təsir strategiyası seçilir ki, bu da klinik formaya görə dəyişir.
  • Xroniki ensefalopatiyada əsas müalicə ammonyakı azaltmağa yönəlmişdir və bu məqsədlə laktuloza, L – ornitin – L – aspartat, antibiotiklər (rifaksimin) tətbiq edilir.
  • Kəskinləşmiş xroniki ensefalopatiyada (epizodik) ağırlaşdırıcı amillərin aradan qaldırılması ilə yanaşı (mədə bağırsaq qanaxmasını dayandırma, bağırsaqları qan və ekzogenoz proteinlərdən təmizləmə, sedativləri dayandırma, su – elektrik mübadiləsini düzəltmə və s.) ammonyakı azaltma və dəstək tədbirləri həyata keçirilir.
  • Kəskin ensefalopatiyalarda xəstələri sağaltmanın ən effektiv yolu Qc transplantasiyasıdır. Qc transplantasiyası mümkün deyilsə, müalicələr toksikozun və beyin ödeminin azaldılmasına yönəldilir. Medikamentoz müalicə effekt vermədikdə ekstrakorporal detoksikasiya üsulları (süni qaraciyər sistemləri, plazmofarez və s) istifadə edilə bilər. Bunlara baxmayaraq kəskin ensefalopatiyada letallıq yüksək dərəcə (70 – 80%) seyr etməkdədir.
  • Yanyol ensefalopatiyasında şuntu kiçiltmək və ya bağlamaq əsas tədbirdir. Bu mümkün deyilsə, müalicə xroniki ensefalopatiyada olduğu kimi aparılır.

 

Özət

Hеpatik еnsеfalopatiya kəskin və xronik qaraciyər  xəstəliklərinin bеyin funksiyalarında törətdiyi gеriyədönən və ləngimə xaraktеrli neyro-psixoloji (şüur, dərketmə və hərəkətə nəzarət) dəyişiklərdir. Bu sindrom ağırlaşdırıcı amillərin təsiri ilə dərinləşə bilir (infeksiya, qanaxma, elektrolit pozulması və s) və adətən geriyədönəndir.

Ensefalopatiyanın diaqnozu və ağırlıq dərəcələri klinik olarq müəyyən edilir. Gizli forma (subklinik) klinik olaraq büruzə vermir, lakin neyro-psixoloji testlərdə ortaya çıxır, yüngül dərəcədə  yaddaş, yuxu pozulması, tremor görünür, xəstə ilə kontakt qurmaq olur, ağır dərəcədə xəstə ilə kontakt qurmaq olmur, anlaşılmayan hərəkətlər və danışıqlar olur, koma rastlanır.

Hepatik ensefalopatiyanın müalicəsində ilk hədəf əsas səbəbin – qaraciyər xəstəliyinin və ya porto-sistemik yanyolun aradan qaldırılmasıdır. Bu mümkün olmayanda ikinci hədəf  kimi ammonyakı azaltma tədbirləri (laktuloza, L-ornitin-L-aspartat, rifaksimin), ağırlaşdırıcı amillərin aradan qaldırılması (mədə bağırsaq qanaxmasını dayandırma, bağırsaqları qan və ekzogenoz proteinlərdən təmizləmə, sedativləri dayandırma, su-elektrik mübadiləsini düzəltmə və s.), beyin ödeminin azaldılması tədbirləri həyata keçirilir. Medikamentoz müalicə effekt vermədikdə  ekstrakorporal detoksikasiya üsulları (süni qaraciyər sistemləri, plazmofarez və s) istifadə edilə bilər. Yanyol ensefalopatiyasında şuntu kiçiltmək və ya bağlamaq əsas tədbirdir.

 

Hepatik ensefalopatiya üzrə suallar

N.Y.Bayramov, A.K.Səfiyeva, Ş.Ə.Məmmədova

 

Ensefalopatiyanın diaqnozu hansı müayinə ilə qoyulur?

Klinik müayinə ilə

Ensefalopatiyanın ağırlıq dərəcəsi hansı müayinə ilə təyin edilir?

Klinik müayinə ilə

Ensefalopatiyanın dərəcəsi hansı laborator göstərici ilə korrelyasiya edir?

Qanda ammonyakın səviyyəsi ilə

Hepatik ensefalopatiyada hansı dərman istifadə olunur?

Laktuloza, neomisin, LOLA (L-ornitin-L-aspartat)

 

 
 

HEPATORENAL SİNDROM

N.Y.Bayramov, R.A.Məmmədov

 

Tərifi

  • Hepatorenal sindrom qaraciyərin kəskin və xronik xəstəliklərinin törətdiyi geriyə dönə bilən böyrək yetməzliyidir, qlomеrulyar filtrasiyanın azalması, Na+ və su tutulmasının artması ilə xaraktеrizə olunur.
  • Böyrəklərdə xəstəlik, morfoloji dəyişiklik, nеfrotoksik təsir və ya böyrək funksiyasını pozan amillər (hipovolеmiya, obstruksiya və s.) olmur.

 

Təsnifatı

Gedişinə görə

  • Subklinik – klinik əlamətlər olmur, spesifik testlərlə təyin olunur
  • Kəskin və ya I tip – kreatitnin 2,5 mg/dl-dən yüksək
  • Xroniki və ya II tip – kreatinin 1,5-2,5 mg/dl arasında

 

Səbələri

HRS törədən səbəbləri iki qrupa ayırmaq olar: əsas və ağırlaşdırıcı.

  • Əsas səbəblər qaraciyərin kəskin və xroniki xəstəlikləridir:
    • kəskin qaraciyər yetməzliyi
    • sirroz
    • mexaniki sarılıq
    • portal hipertenziya
    • digər
  • Ağırlaşdırıcı amillər isə, subklinik və ya stabil seyr edən xroniki HRS-i dərinləşdirərək kəskin formaya keçməsinə səbəb olur:
    • spontan bakterial peritonit
    • infeksiyalar
    • mədə-bağırsaq qanaxmaları
    • refrakter assit
    • böyük həcmli parasentezlər
    • portal vena trombozu
    • Digər.

 

Patogenezi

  • Hеpatorеnal sindromun patogenezində iki önəmli mеxanizm rol oynayır: böyrək artеriyalarının spazmı və böyrəkdaxili tənzimin pozulması
  • Qaraciyər xəstəliklərində intestinal bakterial translokasiya nəticəsində splanxnik və ümumi vazodilatasiya meydana gəlir, periton boşluğuna sеkvеstrasiya baş verir və bunlar hipovolemiyaya səbəb olur. Hipovolemiya kompеnsator mеxanizmləri aktivləşdirir (simpatoadrenal sistеm, rеnin – angiotеnzin –aldеstеron, antidiuretik hormon-ADH və s.) böyrək damarlarında spazm törədir.

 

Şəkil 1. Hepatorenal sindromun patogenezi

 

Gedişi

Hеpatorеnal sindromun üç gediş forması qеyd еdilir: subklinik, kəskin və xroniki.

  • Subklinik forma xronik qaraciyər xəstəliklərində rast gəlir və krеatinin səviyyəsi və klirensinin normal olmasına baxmayaraq, Doppler USM ilə böyrək damarlarında spazm təyin olunur.
  • Kəskin forma və ya I tip HRS, böyrək funksiyasının kəskin azalması ilə xarakterizə olunur. Bu forma kəskin xəstəliklərdə (kəskin Qc yetməzliyi, mexaniki sarılıq və s.) və ya xroniki xəstəliklərdə ağırlaşdırıcı amillərin təsiri nəticəsində meydana gəlir (məs. spontan bakterial peritonit). I tip HRS-in proqnozu pisdir və müalicə olunmazsa xəstələr adətən 2-4 həftə ərzində itirilir.
  • Xroniki forma və ya II tip HRS-də böyrək funksiyalarının azalması yavaş inkişaf edir. Bu xəstələr adətən refrakter assit və ya diuretikə davamlı assit kimi büruzə verirlər. Bu forma diuretiklərə cavab versə də, xəstələrin yaşama müddəti qısalır (1 illik yaşamı 20%, 5 illik yaşamı isə, 39% azaldır), müalicə olunmadıqda isə 4-6 ay ərzində letallığa səbəb olur.

 

Klinikası

Hepatorenal sindromun aşağıdakı əlamətlərlə büruzə verir:

  • böyrək yetməzliyi
  • ürək yetməzliyi
  • qaraciyər yetməzliyi

 

Diaqnostikası

Şübhə

Aşağıdakı vəziyyətlərdə HRS-yə şübhə yaranır

  • Kəskin və xroniki qaraciyər xəstəlikləri
  • Qaraciyər, böyrək və ürək yetməzliyi
  • Refrakter assit
  • Spontan bakterial peritonit

 

Dəqiqləşdirmə

Hepatorenal sindromun spesifik klinik və ya laborator əlaməti yoxdur və diaqnozu kriteriyalar əsasında qoyulur (İnternational Ascites Club kriteriyaları):

  • Sirroz, kəskin qaraciyər yetməzliyi və ya portal hipertenziya var.
  • Kreatinin 1,5 mq/dl-dən yüksək və ya 48 saatlıq müşahidədə kreatinin 0, 3 mq/dl-dən çox artıb.
  • İki gün ərzində diuretiklərin kəsilməsinə və vaskulyar həcmin albuminlə artırılmasına (1-1,5 q/kg/gün albumin) baxmayaraq kreatinin 1,5 mq/dl-dən aşağı düşməməsi
  • Şok yoxdur.
  • Nefrotoksik dərman istifadə edilməyib.
  • Böyrəyin parenxima xəstəliyi yoxdur (proteinuriya <500 mg/gün, eritrosit <50/görmə sahəsində, USM normal).

 

Növünün təyini

Hepatorenal sindromun növünü təyin etmək üçün kreatinin səviyyəsi və dinamikası nəzərə alınır.

 

Müalicəsi

HRS-in müalicəsində ilk hədəf əsas səbəbin və ağırlaşdırıcı amillərin aradan qaldırılmasıdır. Kəskin qaraciyər yetməzliyi və sirrotik xəstələrdə Qc transplantasiyası, mexaniki sarılıqda biliar drenaj HRS-in ən radikal və effektiv müalicəsidir.

  • Bu mümkün olmadıqda ikinci hədəf kimi patomexanizmlərə təsir seçilir: böyrək damarlarının genişləndirilməsi və reabsorbsiyanın azaldılması.
  • Renal vazodilatasiya üçün dövr edən qanın həcmini artırma (infuziya, albumin), ümumi (midoridin, noradrenalin) və ya splanxnik vazokonstruksiya (somatostatin, oktreotid, terlipressin) və renal vazodilatatorlar (N-asetilsistein, pentoksifillin) istifadə edilir.
  • Bu tədbirlərə baxmayaraq, böyrək fəaliyyəti bərpa olunmazsa, süni qaraciyər sistemləri (MARS, Prometeus), dializ və qaraciyərdaxili porto-kaval yanyol tətbiq edilə bilər. Gərgin assiti olan xəstələrdə parasentez və TİPS edilir. Digər hallarda son vasitə kimi hemodializ və ya albumin dializi (MARS) tətbiq edilə bilər.
  • İkinci tip HRS-də əsas müalicə prinsipi su və Na+ reabsorbsiyasını azaltmaq və ağırlaşdırıcı amillərin profilaktikasıdir. Aldosteron antaqonisti – spironolakton (100 – 400 mq/gün) bu məqsədlə ən çox istifadə edilən dərmandır. Bu effekt vermədikdə furosemid (40 – 160 mq/gün) də əlavə edilə bilər.

 

Özət

Hepatorenal sindrom qaraciyərin kəskin və xronik xəstəliklərinin törətdiyi böyrək disfunksiyasıdır, qlomеrulyar filtrasiyanın azalması, Na+ və su tutulmasının isə artması ilə xaraktеrizə olunur. Böyrəklərdə xəstəlik, morfoloji dəyişiklik, nеfrotoksik təsir və ya böyrək funksiyasını pozan amillər olmur (hipovolеmiya, obstruksiya və s.). Böyrək artеriyalarının spazmı hеpatorеnal sindromunun meydana gəlməsində əsas mexanizm hesab edilir.

Hеpatorеnal sindromu subklinik, kəskin və xroniki formada ortaya çıxa bilir. Kəskin forma və ya I tip HRS, böyrək funksiyasının kəskin azalması ilə xarakterizə olunur, adətən kəskin xəstəliklərdə və ya ağırlaşdırıcı amillərin təsiri ilə meydana gəlir (spontan bakterial peritonit, sepsis, qanaxma və s). Xroniki forma və ya II tip HRS-də böyrək funksiyalarının azalması yavaş inkişaf edir adətən refrakter assit və ya diuretikə dirəncli assit kimi büruzə verirlər.

HRS-in diaqnozu qanda kreatinin artmasına (>1,5 mq/dl) və böyrək funksiyasını pozan digər səbəblərin inkar olunmasına görə dəqiqləşdirlir.

I tip HRS-in müalicəsində əsas hədəf səbəbin və ağırlaşdırıcı amillərin aradan qaldırılmasıdır. İkinci hədəf kimi böyrək damarlarının genişləndirilməsi və reabsorbsiyanın azaldılması seçilir: volemik (infuziya, albumin), vazokonsturuktorlar (midoridin, noradrenalin, terlipressin) və renal vazodilatatorlar (N-asetilsistein, pentoksifillin). Bu tədbirlərə fayda vermədikdə süni qaraciyər sistemləri (MARS, Prometeus), dializ və qaraciyərdaxili porto-kaval yanyol tətbiq edilə bilər. Gərgin assiti olan xəstələrdə parasentez və TİPS edilir. İkinci tip HRS-də su və Na+ reabsorbsiyasını azaltmaq üçün sprinolakton (100-400 mq/gün), furosemid (40-160 mq/gün) istifadə edilə bilər.

I tip HRS-in proqnozu pisdir və müalicə olunmazsa xəstələr adətən 2 -4 həftə ərzində itirilir. II tip HRS diuretiklərə cavab versə də, xəstələrin yaşama müddəti qısalır (1 illik yaşamı 20%, 5 illik yaşamı isə, 39% azaldır), müalicə olunmadıqda isə 4-6 ay ərzində letallığa səbəb olur.

 

 

 

Hepatorenal sindrom üzrə suallar

N.Y.Bayramov, A.K.Səfiyeva, Ş.Ə.Məmmədova

 

Suallar

Cavablar

Hepatorenal sindrom nədir?

Qaraciyər xəstəliklərinin törətdiyi böyrək disfunksiyasıdır

Hansı klinik formaları var?

  • Subklinik;
  • Kəskin və ya I tip;
  • Xroniki və ya II tip;

Səbəbi və ya risk faktorları nələrdir?

  • Əsas səbəblər :
    • kəskin qaraciyər yetməzliyi;
    • sirroz;
    • mexaniki sarılıq;
    • portal hipertenziya və s.;
  • Ağırlaşdırıcı amillər:
    • spontan bakterial peritonit;
    • infeksiyalar;
    • mədə-bağırsaq qanaxmaları;
    • refrakter assit;
    • böyük həcmli parasentezlər;
    • portal vena trombozu və s.;

Patogenezi nədən ibarətdir?

Əsas patogenetik mexanizmi: qaraciyər xəstəliyi, bakterial translokasiya, splanxik vazodilatasiya, ümumi vazodilatasiya, hipovolemiya, kompеnsator mеxanizmlərin aktivləşməsi (simpatoadrenal sistеm, renin-angiotenzin sistemi, antitiuretik hormon) və böyrək damarlarında spazmı.

Gediş xüsusiyyəti necədir?

 I tip kəskin böyrək yetməzliyi kimi gedir, proqnozu pisdir və müalicə olunmazsa 2-4 həftə ərzində letallığa səbəb olur. II tip isə refrakter assit əlamətləri ilə büruzə verir, müalicə olunmadıqda isə 4-6 ay ərzində letallığa səbəb olur.

Ağırlaşmaları nələrdir?

Ürək yetməzliyi, asidoz, hipervolemiya, uremik koma, sepsis

Klinik əlamətləri hansılardır?

Subklinik forma -asimptomatik

I tip- kəskin böyrək yetməzliy

II tip - refrakter və diuretikə davamlı assit

Hansı xəstələrdə şübhələnmək lazımdır?

  • Kəskin və xroniki qaraciyər xəstəlikləri;
  • Qaraciyər, böyrək və ürək çatmazlığı;
  • Refrakter və diuretikə davamlı assit;
  • Spontan bakterial peritonit;

Dəqiqləşdirmək üçün hansı müayinələr lazımdır?

  • USM;
  • Dopler USM;
  • Sidiyin ümumi analizi;
  • Qanın biokimyəvi analizi;
  • Kreatinin və kreatinin klirensi
  • Qalıq azot
  • Na-ekskresiya testləri
  • Spesifik testlər – subklinik forma;

Laborator əlamətləri nələrdir?

  • Kəskin və ya I tip – kreatitnin 2,5 mg/dl-dən yüksək;
  • Xroniki və ya II tip – kreatinin 1,5-2,5 mg/dl arasında;

Görüntüləmə əlamətləri nələrdir?

Görüntüləmədə böyrəklərdə patologiya görünmür, doppler USMdə böyrək damarlarında spazm görünə bilər;

Digər müayinələrdə nə tapılır?

Asidoz, hiperkalemiya, qalıq azot artması

Diaqnostik kriteriyalarını sadala (İnternational Ascites Club)?

  • Sirroz, kəskin qaraciyər çatmazlığı və ya portal hipertenziya var;
  • Kreatinin 1,5 mg/dl-dən yüksək;
  • İki gün ərzində diuretiklərin kəsilməsinə və vaskulyar həcmin albuminlə artırılmasına (1-1,5 q/kg/gün albumin) baxmayaraq kreatinin 1,5 mg/dl-dən aşağı düşməməsi;
  • Şok yoxdur;
  • Nefrotoksik dərman istifadə edilməyib;
  • Böyrəyin parenxima xəstəliyi yoxdur (proteinuriya <500 mg/gün, eritrosit <50/görmə sahəsində, USM normal);

Müalicə üsulları hansılardır?

  • Səbəbin və ağırlaşdırıcı amillərin aradan qaldırılması – (transplantasiya, biliar drenaj və s);
  • Patomexanizmlərə təsir: böyrək damarlarının genişləndirilməsi və reabsorbsiyanın azaldılması - qanın həcmini artırma, ümumi və ya splanxnik   vazokonstriksiya;
  • Süni qaraciyər sistemləri (MARS – albumin dializi, Prometeus), dializ və qaraciyərdaxili porto-kaval yanyol;
  • Gərgin assitdə - vaxtaşırı parasentez və TİPS;
  • İkinci tip HRS-də - aldosteron antaqonistləri;

Proqnozu nədir?

I tip HRS – 2-4 həftə ərzində itirilir;

II tip HRS – yaşama müddəti qısalır, 4-6 ay ərzində letallığa səbəb olur.

Xəstəliyin ən xarakterik özəlliyini bir cümlə ilə necə ifadə edərsiniz?

Hepatorenal sindrom qaraciyər xəstəliyinin ən ciddi ağırlaşmasıdır, letallığı çox artırır, digər kəskin böyrək yetməzliklərindən fərqli olaraq dializ az faydalı olur.

 

QARACİYƏR YЕTMƏZLİYİ

N.Y.Bayramov, R.A.Məmmədov

 

Tərifi

Qaraciyərin bir və ya bir neçə funksiyasında klinik və laborator olaraq pozulma varsa qaraciyər disfunksiyası adlanır (məs. sarılıq, koaqulopatiya). Qaraciyər disfunksiyasının ən ağır dərəcəsi yetməzlik adlanır və disfunksiya əlamətləri ilə yanaşı ensefalopatiyanın olması xarakterikdir.

Təsnifatı

Kəskin qaraciyər yetməzliyi

Əvvəllər Qc-ində xəstəliyi olmayan xəstədə qaraciyər toxumasının böyük hissəsinin (>80%) zədələnməsi nəticəsində mеydana gələn koaqulopatiya və ensefalopatiya

Xroniki qaraciyər yetməzliyi

Xroniki qaraciyər xəstəliyində müşahidə olunan qaraciyər disfunksiyası və ensefalopatiya.

Xronikinin kəskinləşməsi

Xronikinin kəskinləşməsi və ya ağırlaşmış xroniki qaraciyər yetməzliyi – xroniki qaraciyər xəstəliyinində kəskin dekompensasiya (ağırlaşmalar) və orqan yetməzlikləri.

Postrezeksion və ya kiçik qaraciyər sindromu

Postrezeksion və ya kiçik qaraciyər sindromu – böyük rezeksiyalardan sonra qalan qaraciyərdə sintetik, ekskretor və detoksikasiya funksiyalarının bərpa olunmamasıdır.

 

Kəskin qaraciyər yetməzliyi

 

Səbəbləri

Kəskin qaraciyər yetməzliyini çoxsaylı səbəblər törədə bilər ki, bunları “VADDAMAN + İS” ardıcıllığı ilə yadda saxlamaq olar:

  • Viruslar (A, B, C və digər)
  • Alimentar (Alkoqol, zəhərlənmələr)
  • Dərmanlar (parasetamol, halotan və s)
  • Damar xəstəlikləri (Baddi-Kiari)
  • Autoimmun (autoimmun hepatit və s)
  • Metabolik (hemoxromatoz)
  • Anadangəlmə
  • Nadir və naməlum
  • İşemiya və digər
  • Sepsis

Bu səbəblər arasında ən çox rast gələnləri HBV, HAV və asеtaminofеn (parasetamol)

toksikozudur.

 

Patogenezi və gedişi

Kəskin qaraciyər yetməzliyi qaraciyər toxumasının böyük hissəsinin (>80%) nekrozu və ya kəskin distrofiyası nəticəsində mеydana gəlir. Diffuz hеpatosеllulyar nеkroz və ya distrofiya nəticəsində orqanizmdə üç qrup patoloji dəyişikliklər meydana gəlir: qaraciyər funksiyalarının kəskin azalması (sarılıq və koaqulopatiya), ensefalopatiya və sepsis. Еnsеfalopatiyanın əsasında toksikoz və bеyin ödеmi durur.

Kəskin qaraciyər yetməzliyi ağır və proqrеssivləşən xəstəlikdir, konsеrvativ müalicə ilə xəstələrin yalnız 20-40%-ni sağaltmaq mümkündür. Hazırda bu gеdişi dəyişdirən yeganə üsul qaraciyər transplantasiyasıdır.

 

Təsnifatı

Sarılıq – еnsеfalopatiya müddətinə görə çox kəskin (<7 gün), kəskin (1-4 həftə), və yarımkəskin (4-26 həftə).

 

Klinikası

Klinik olaraq 4 mərhələ ayırd еtmək olar:

  • Sarılıq
  • Еnsеfalopatiya
  • Ağırlaşma
  • Sağalma və ya ölüm

 

Diaqnostikası

 

Şübhə

Sarılıq, koaqulopatiya və qaraciyər enzimlərində artma varsa kəskin qaraciyər yetməzliyi ehtimalı göz önündə tutulmalıdır. Bu əlamətlərlə yanaşı septik şok görünürsə şübhə daha da artır.

Cərrahi xəstələrdə kəskin qaraciyər zədələnməsinə ən çox səbəb olan amillər hipotenziya (işemiya), sepsis, mexaniki sarılıq, xolangit, viruslar və damar trombozlarıdır (portal tromboz, Baddi-Kiari və arterial trombozlar)

 

Müalicəsi

KQcY-nin müalicəsində iki stratеgiya var:

  • Qaraciyər transplantasiyası
  • Qaraciyərdə rеgеnеrasiyanın təmini

Qaraciyər transplantasiyası (QcTx) hazırda kəskin qaraciyər yetməzliyinin ən еffеktiv müalicəsi olub, lеtal gеdişi ciddi dəyişdirə bilən yеganə vasitədir. Təbii gеdişi 80-95% ölümlə nəticələnən qaraciyər yetməzliyində transplantasiya 70-80% sağalmanı təmin еdə bilir.

Transplantasiya mümkün olmayan (göstəriş və ya imkan olmayan) xəstələrdə qaraciyər regenerasiyasına şərait yaradan və «körpü müalicəsi» adlanan tədbirlər həyata keçirilir: etiotrop, dəstək müalicələri və köməkçi qaraciyər sistemləri.

Köməkçi qaraciyər sistemləri (plazmaferez, süni qaraciyər, bioloji sistemlər, hepatosit köçürülməsi, yad qaraciyər, əlavə qaraciyər köçürülməsi) qaraciyərin funksiyalarını müvəqqəti əvəz edərək onun regenerasiyasına şərait yaradırlar və ya transplantasiyaya qədərki dövrdə yaşamı təmin edirlər.

 

 

 

 

MARS sistemi

 

Kəskinləşmiş xroniki qaraciyər yetməzliyi                                        

 

  • Xroniki qaraciyər xəstəliyi olan stabil xəstədə kəskin dekompensasiya (ağırlaşmalar - assit, qanaxma, ensefalopatiya) ilə yanaşı bir və ya bir neçə orqan yetməzliyi ortaya çıxarsa (renal yetməzlik, infeksiya, septik şok və s) kəskinləşmiş xroniki qaraciyər yetməzliyi adlanır (Acute on Chronic Liver Failure).
  • Kəskinləşmiş xroniki qaraciyər yetməzliyi adətən stabil görünən sirrotik xəstələrdə ağırlaşdırıcı amillərin təsiri nəticəsində meydana gəlir (infeksiya, viral aktivasiya, hepatotoksik dərmanlar, alkoqol, damar trombozları, varikoz qanaxma, sepsis və s).
  • Hazırki təsəvvürlərə görə bağırsaq disbiozu və bakterial trasnlokasiyanın törətdiyi lokal və sistemik iltihab kəskinləşmənin baş verməsində əsas patogenetik mexanizmdir. Ağırlaşdırıcı amillər disbiozu və bakterial translokasiyanı artırır, nəticədə meydana gələn yerli iltihab kəskin ağırlaşmalara, sistemik iltihab (sepsis) isə orqan disfunksiyalarına səbəb
  • Kəskin qaraciyər yetməzliyi ilə müqayisədə kəskinləşmiş formanın geriyədönmə ehtimalı daha çoxdur və proqnozu daha yaxşıdır. Erkən aparılan müalicələrlə və ağırlaşdırıcı amilin aradan qaldırıldığı hallarda letallıq 20-30%-dən çox Orqan yetməzliklərinin sayı proqnoza təsir edən önəmli faktordur.
  • Kəskinləşmiş xroniki qaraciyər yetməzliyi klinik olaraq stabil görünən sirrotik xəstənin birdən-birə pisləşməsi şəklində biruzə verir, dekompensasiya və orqan yetməzlikləri əlamətləri ilə ortaya çıxır.
  • Kəskinləşmiş xroniki qaraciyər yetməzliyi diaqnozunu dəqiqləşdirmək üçün üç kriteriyanın olması vacibdir:
    • xronik qaraciyər xəstəliyi
    • kəskin dekompensasiya – assit, mədə-bağırsaq qanaxması, ensefalopatiya, sarılıq
    • bir və ya bir neçə orqan yetməzliyi.
  • Orqan yetməzliyini təyin etmək üçün SOFA klassifikasiyası tətbiq edilir
  • Diaqnostikada ən vacib ikinci məsələ ağırlaşdırıcı amilin müəyyənləşdirilməsidir. Ən çox rast gəlinən ağırlaşdırıcı amil infeksiyadır. Sirrotik xəstələrdə aparılan istənilən əməliyyatdan sonra dekompensasiya və kəskinləşmə meydana gələ bilər.
  • Kəskinləşmiş xroniki qaraciyər yetməzliyinin müalicə strategiyası qaraciyər transplantasiyası üzərində qurulur. Adətən 1 həftə ərzində aparılan dəstək müalicələri effekt vermədikdə erkən transplantasiya qərarı
  • Transplantasiyaya hazırlıq mərhələsində tədbirlər kəskin qaraciyər yetməzliyində olduğu

 

 

 

Şəkil 2. Kəskinləşmiş xroniki qaraciyər yetməzliyinin patogenezi

 

Xroniki qaraciyər yetməzliyi

  • Xroniki qaraciyər xəstəliyində müşahidə olunan disfunksiya və yüngül ensefalopatiya xroniki qaraciyər yetməzliyi də adlanır.
  • Klinik olaraq bu vəziyyət stabil görünən və ya zəif artan ensefalopatiya və müxtəlif formalı qaraciyər disfunksiya (sarılıq və digər) ilə ortaya çıxır.
  • Müalicəsi əsas xəstəliyin aradan qaldırılmasından ibarətdir.

 

 Postrezeksion qaraciyər yetməzliyi                                             

  • Böyük rezeksiyalardan sonra qalan qaraciyərdə zədələnmə və ya regenerasiya yetərsizliyi nəticəsində sintetik, ekskretor və detoksikasiya funksiyalarının bərpa olunmaması postrezeksion qaraciyər yetməzliyi adlanır.
  • Bu ağırlaşma rezeksiyalardan sonra 3-12% hallarda rast gəlir.
  • Postrezeksion qaraciyər yetməzliyinin başlıca səbəbləri kiçik qaraciyər sindromu və qalan qaraciyərin zədələnmələridir.
  • Normal qaraciyərin 75%-ni rezeksiya etmək mümkündür və qalan 25% sürətli regenerasiya edərək (30 sm3/gün) 1 ay ərzində əvvəlki həcmini və funksiyasını bərpa edə bilir. Əgər qaraciyərin 80%-dən çoxu rezeksiya edilərsə, qalan 20%-dən kiçik hissəsi regenerasiya edə bilmir, nekroza məruz qalır və kəskin qaraciyər yetməzliyi meydana gəlir. Yetərsiz həcmdə qaraciyər toxumasının saxlanılması və ya köçürülməsi nəticəsində baş verən bu hadisə kiçik qaraciyər sindromu adlanır. Qalan qaraciyərin kritik həcminə qaraciyərdəki dəyişiklik, portal hipertenziya, işemiya-reperfuziya zədələnməsi təsir göstərir. Normal qaraciyər rezeksiyalarında bu göstərici 20-27%, xronik hepatitlərdə 30-35%, sirrozda 40% səviyyəsindədir. Kiçik qaraciyər sindromunun mexanizmi dəqiq məlum deyil, lakin portal hipertenziyanın önəmli rol oynadığı ehtimal edilir.
  • Qalan qaraciyəri birbaşa (intraoperativ travma, mexaniki sarılıq, arterial və ya venoz trombozlar, sepsis, toksik dərmanlar, viruslar, sirroz, hepatit) və ya dolayı yolla zədələyən (sepsis, şok, qastrointestinal qanaxmalar,) amillər də postrezeksion yetməzliyə səbəb ola bilirlər.
  • Bu yetməzliyin gedişi çox ağırdır və letallığı 80-90%-ə çatır.
  • Postrezeksion qaraciyər yetməzliyi əksər hallarda 5-ci gündən başlayaraq qaraciyərin bir çox funksiyalarinda (sintetik, ekskretor, detoksikasiya, energetik) və hemodinamik proseslərdə getdikcə dərinləşən pozulma ilə müşahidə edilir. Ensefalopatiya, sarılıq və assit artır.
  • Ən effektiv müalicəsi təcili qaraciyər köçürülməsidir.

 

Özət

Qaraciyərin bir və ya bir neçə funksiyasında klinik və laborator olaraq pozulma varsa qaraciyər disfunksiyası adlanır. Kəskin disfunksiyanın yüngül, ağır və çox ağır (yetməzlik) dərəcələri var.

  • Yüngül dərəcə (kəskin hepatit) transaminazların (ALT, AST) artması ilə xarakterizə olunur, sarılıq da ola bilər.
  • Ağır kəskin hepatit - transaminazların (ALT, AST) artması ilə yanaşı sintetik funksiyanın pozulması da olur və İNR artması ilə biruzə
  • Qaraciyər yetməzliyi – qaraciyər disfunksiyasının ən ağır dərəcəsidir və disfunksiya əlamətləri (sarılıq və/və ya İNR artması) ilə yanaşı ensefalopatiyanın olması xarakterikdir. Qaraciyər yetməzliyinin kəskin, xroniki, xronikinin kəskinləşməsi və postrezeksion formaları
  • Kəskin qaraciyər yetməzliyi - əvvəllər Qc-ində xəstəliyi olmayan xəstədə qaraciyər toxumasının böyük hissəsinin (>80%) zədələnməsi nəticəsində mеydana gələn koaqulopatiya və ensefalopatiyaya deyilir. Viruslar (A, B, C və digər), dərmanlar (parasetamol, halotan və s.), sepsis, işemiya və digər səbəblər törədə bilir. Adətən ağır və proqrеssiv gedişlidir, konsеrvativ müalicə ilə xəstələrin yalnız 20-40%-ni sağaltmaq mümkündür. Əksər hallarda sarılıq, koaqulopatiya və qaraciyər enzimlərində artma ilə başlayır, 1-36 həftə sonra ensefalopatiya qoşulur, sepsis və septik şok rastlanır. Ağır hepatiti olan xəstədə ensefalopatiya varsa kəskin qaraciyər yetməzliyi diaqnozu qoyulur. Müalicəsi üçün dəstək tədbirləri başladılır (“körpü müalicələri”) və Qc transplantasiyası ilk planda tutulur.
  • Xroniki qaraciyər yetməzliyi xroniki qaraciyər xəstəliyində (xroniki hepatit, sirroz) müşahidə olunan qaraciyər disfunksiyası və ensefalopatiyadır. Adətən stabil gedişli olur, lakin ağırlaşdırıcı amillərin təsiri ilə kəskinləşə bilir. Müalicəsi əsas xəstəliyə yönəldilir.
  • Xroniki qaraciyər yetməzliyinin kəskinləşməsi və ya ağırlaşmış xroniki qaraciyər yetməzliyi (Acute on Chronic Liver Failure) dedikdə xroniki qaraciyər xəstəliyi olan stabil xəstədə kəskin dekompensasiya (assit, qanaxma, ensefalopatiya və sarılıq kimi böyük ağırlaşmalar) ilə yanaşı bir və ya bir neçə orqan yetməzliyinin ortaya çıxması (renal yetməzlik, infeksiya, septik şok və s.) nəzərdə tutulur. Adətən stabil görünən sirrotik xəstələrdə ağırlaşdırıcı amillərin təsiri nəticəsində meydana gəlir (infeksiya, viral aktivasiya, hepatotoksik dərmanlar, alkoqol, damar trombozları, varikoz qanaxma, sepsis və s). Kəskin dekompensasiyanın və orqan yetməzliklərinin meydana gəlməsində bağırsaq disbiozu və bakterial translokasiyaya bağlı yerli və sistemik iltihabın önəmli rol oynadığı ehtimal edilir. Klinik olaraq stabil görünən sirrotik xəstənin birdən-birə pisləşməsi şəklində biruzə verir, dekompensasiya və orqan yetməzlikləri əlamətləri ilə ortaya çıxır. Diaqnozu üç kriteriyaya əsasən qoyulur: xronik qaraciyər xəstəliyi, kəskin dekompensasiya (assit, mədə-bağırsaq qanaxması, ensefalopatiya, sarılıq), bir və ya bir neçə orqan yetməzliyi. Adətən 1 həftə ərzində aparılan dəstək müalicələri effekt vermədikdə erkən transplantasiya qərarı
  • Postrezeksion və ya kiçik qaraciyər sindromu – böyük rezeksiyalardan sonra qalan qaraciyərdə sintetik, ekskretor və detoksikasiya funksiyalarının bərpa olunmamasıdır. Adətən ilk günlərdən başlayaraq sarılıq, İNR yüksəkliyi, ensefalopatiya və assit əlamətləri ilə biruzə verir. Ağır gedişlidir, letallığı 80-90%-ə çatır. Ən effektiv müalicəsi təcili qaraciyər köçürülməsidir.

 

Qaraciyər yetmzəliyi üzrə suallar

N.Y.Bayramov, F.Əhmədov

 

Suallar

Cavablar

Qaraciyər disfunksiyası nədir?

Qaraciyərin bir və ya bir neçə funksiyasında klinik və laborator olaraq pozulmanın olması.

Kəskin qaraciyər disfunksiyalarının hansı ağırlıq dərəcələri var?

Yüngül (hepatit), ağır (İNR artması) və qaraciyər yetməzliyi

Qaraciyər yetməzliyi nədir?

Ən ağır dərəcəli qaraciyər disfunksiyasıdır, koqulopatiya ilə yanaşı ensefalopatiya da var.

 

 

Diaqnostik əlamətləri nələrdir?

  • Qaraciyər disfunksiyası (İNR artması var, bilirubin artması ola bilər).
  • Hepatik ensefalopatiya.

Hansı klinik formaları var?

  • Kəskin;
  • Xroniki;
  • Xronikinin kəskinləşməsi və ya ağırlaşmış xroniki qaraciyər yetməzliyi;
  • Postrezeksion və ya kiçik qaraciyər sindromu;

Kəskin qaraciyər yetməzliyi nədir?

Əvvəllər Qc-ində xəstəliyi olmayan xəstədə qaraciyər toxumasının böyük hissəsinin (>80%) zədələnməsi nəticəsində mеydana gələn koaqulopatiya və ensefalopatiya.

Hansı klinik formaları var?

Sarılıq – еnsеfalopatiya müddətinə görə:

  • çox kəskin (<7 gün);
  • kəskin (1-4 həftə);
  • yarımkəskin (4-26 həftə);

Səbəbi və ya risk faktorları nələrdir?

  • Viruslar (A, B, C və digər);
  • Dərmanlar (parasetamol, halotan və s.);
  • Sepsis;
  • İşemiya və digər;

Patogenezi nədən ibarətdir?

Massiv hepatosellular nekroz, Qc disfunksiyası, sepsis, toksikoz və bеyin ödеmi.

Gediş xüsusiyyəti necədir?

Ağır və proqrеssiv xəstəlikdir, Tx olmazsa 40-80% letallığa səbəb ola bilir.

Ağırlaşmaları nələrdir?

Sepsis, septik şok, beyin ödemi.

Klinik əlamətləri hansılardır?

Ağrı, sarılıq, koaqulopatiya, ensefalopatiya və sepsis.

Hansı xəstələrdə şübhələnmək lazımdır?

Kəskin hepatiti, sarılığı, ensefalopatiyası olanlarda.

Dəqiqləşdimək üçün hansı müayinələr lazımdır?

Qanın biokimyəvi analizi.

Laborator əlamətləri nələrdir?

Hipеrbilirubinеmiya və İNR artması.

Görüntüləmə əlamətləri nələrdir?

Qaraciyərin böyüməsi, kiçilməsi və bərkiməsi.

Digər müayinələrdə nə tapılır?

Multiorqan disfunksiya əlamətləri

Diaqnostik kriteriyalarını sadala

İki klinik əlamət – sarılıq və еnsеfalopatiya;

İki laborator göstərici – hipеrbilirubinеmiya və İNR artması;

Müalicə üsulları hansılardır?

Cərrahi – transplantasiya;

«Körpü müalicəsi» - etiotrop, dəstək müalicələri və köməkçi qaraciyər sistemləri (süni qaraciyərlər, bioloji sistemlər, hepatosit köçürülməsi).

Proqnozu nədir?

Təbii gеdişi 80-95% ölümlə nəticələnir.

Konsеrvativ müalicə ilə xəstələrin yalnız 20- 40%, transplantasiya 70-80% sağalma təmin еdə bilir.

Xroniki qaraciyər yetməzliyi nədir?

Xroniki qaraciyər xəstəliyində müşahidə olunan disfunksiya və ensefalopatiya xroniki qaraciyər yetməzliyi adlanır.

Klinik əlamətləri hansılardır?

Stabil və ya zəif artan ensefalopatiya;

Müxtəlif formalı hepatosellular disfunksiya.

Müalicə üsulları hansılardır?

Əsas xəstəliyin aradan qaldırılması.

Kəskinləşmiş qaraciyər yetməzliyi nədir?

Xroniki qaraciyər xəstəliyi olanlarda kəskin dekompensasiya və orqan yetməzliyi.

Kəskin dekompensasiya nə deməkdir?

Xroniki qaraciyər xəstəliklərində kəskin ağırlaşamaların meydana gəlməsidir: assit, qanaxma, ensefalopatiya və sarılıq.

Ağırlaşdırıcı amillər hansılarıdr?

Viral aktivasiya; Hepatotoksik dərmanlar; Alkoqol;

Damar trombozları;

Varikoz; Qanaxma;

Sepsis.

Diaqnostik kriteriyalarını sadala.

Xronik qaraciyər xəstəliyi;

Kəskin dekompensasiya (assit, qanaxma, ensefalopatiya, infeksiya);

Orqan disfunksiyaları.

Müalicə üsulları hansılardır?

Konservativ – ağırlaşdırıcı amillərin müalicəsi, dəstək müalicələri;

Cərrahi – qaraciyər transplantasiyası.

Proqnozu nədir?

Geriyədönmə ehtimalı və proqnozu daha yaxşıdır. Erkən aparılan müalicələrdə və ağırlaşdırıcı amilin aradan qaldırıldığı

hallarda letallıq 20-30%-dən çox olmur.

Postrezeksion qaraciyər yetməzliyi nədir?

Böyük rezeksiyalardan sonra qalan qaraciyərdə regenerasiyanın yetərsizliyidir, yəni sintetik, ekskretor və detoksikasiya funksiyaların bərpa olunmamasıdır.

Rastgəlmə tezliyi nə qədərdir?

Rezeksiyalardan sonra 3-12% hallarda rast gəlinir.

Gediş xüsusiyyəti necədir?

Çox ağırdır və müalicə olunmazsa letallığı yüksəkdir.

Səbəbi və ya risk faktorları nələrdir?

Kiçik  qaraciyər  sindromu; Qalan qaraciyərin zədələnmələri

  • birbaşa – intraoperativ travma, mexaniki sarılıq, arterial və ya venoz trombozlar, sepsis, toksik dərmanlar, viruslar, sirroz, hepatit;
  • dolayı – sepsis, şok, qastrointestinal
  • qanaxmalar.

Patogenezi nədən ibarətdir?

Qaraciyərin 80%-dən çoxu rezeksiya edilərsə, qalan 20%-dən kiçik hissəsində regenerasiya gedə bilmir, nekroza məruz qalır və kəskin qaraciyər yetməzliyi meydana gəlir.

Kiçik qaraciyər sindromu nədir?

Yetərsiz həcmdə qaraciyər toxumasının saxlanılması və ya köçürülməsi nəticəsində yaranan qaraciyər yetməzliyidir.

Müalicə üsulları hansılardır?

Cərrahi – qaraciyər köçürülməsi

Qaraciyər əvəzediciləri.

Əməliyyata göstəriş nədir?

Proqressivləşən yetməzlik.

Əməliyyat üsulları hansılardır?

Canlıdan və ya meyitdən qaraciyər köçürülməsi.

Proqnozu nədir?

Letallığı 80-90%-ə çatır.

Xəstəliyin ən xarakterik özəllyini bir cümlə ilə necə ifadə edərsiniz?

Postrezeksion qaraciyər yetməzliyinin profilaktikası üçün qalan qaraciyərin (və ya köçürülən qaraciyərin) həcminə diqqət etmək və zədələnmədən qorumaq lazımdır.

ASSİT

N.Y.Bayramov, R.A.Məmmədov

 

 

Tərifi

Assit periton boşluğuna maye toplanmasına deyilir.

 

Təsnifatı

Səbəblərinə görə

  • Sirroz
  • Ürək yetməzliyi
  • Böyrək yetməzliyi
  • Bədxassəli törəmələr
  • Hipotiroidik vəziyyət
  • İltihabi proseslər
  • Digər

Tərkibinə görə

  • Eksudat
  • Transudat

Plazma-assit albumin fərqinə görə

Fərq 1,1-dən böyük (sirroz üçün xarkterikdir)

Fərq 1,1-dən kiçik (digər assitlər üçün xarakterikdir)

Ağırlıq dərəcəsinə görə

  • Yüngül assit (subklinik və ya 1-ci dərəcəli) klinik təyin edilmir, USM və ya KT-də görünür.
  • Orta dərəcəli assit (ikinci dərəcəli) qarında şişmə törədir və klinik təyin olunur: perkutor kütlük, dalğalanma və s.
  • Böyük assitdə (3-cü dərəcəli) qarında böyük şişkinlik, həttda gərginlik ola bilir.

 

Etiologiyası və patogenezi

  • Peritonda ifrazat və sorulma arasındakı tarazlığın pozulması assitin əmələ gəlməsinə səbəb olur.
  • Bu tarazlığı pozan bir neçə mexanizm məlumdur:
    • hipertenziya (portal hipertenziya, ürək yetməzliyi)
    • osmotik (sirroz, nefrotik sindrom, miksedema)
    • sekresiya (mezotelioma, peritoneal karsinomatoz)
    • eksudasiya (iltihab)
    • ekstravazasiya (perforasiya)
    • limfatik blok (şişlər).
  • Assitlərin ən çox rast gələn səbəbi sirrozdur (80-85%), ürək 3%, karsinomatoz 2%, qarışıq 5-10%-i və digər səbəblər  2% təşkil edir.
  • Qc xəstəliklərində assitin baş verməsində 3 mexanizm əsas rol oynayır: portal təzyqin artması, su və elektrolitlərin tutulması və onkotik təzyiqin azalması.
  • Portal hipertenziya zamanı əmələ gələn natriumun böyrəklərdən ifrazının azalması (və ya reabsorbsiyanın artması) və ekstrasellulyar suyun artması - aparıcı patomexanizmlərdir.
  • Portal hipertenziya bir tərəfdən kapilyar təzyiqini artırır, digər tərəfdən sistemik və splanxnik vazodilatasiyaya səbəb olur ki, bunlar renin-angiotenzin-aldosteron və antidiuretik sistemləri aktivləşdiri Nəticədə Na+ ionlarının və suyun böyrəklərdən reabsorbsiyası artır.

 

 

Gedişi və ağırlaşmaları

Assitin gedişi səbəbindən asılıdır.

 

Ağırlaşmaları

  • Refrakter assit
  • Spontan bakterial peritonit (assitin infeksiyalaşması)
  • Hepatorenal sindrom
  • Hiponatremiya

 

Klinikası

  • Assitin klinik əlamətləri səbəbindən və dərəcəsindən asılıdır.
  • Yüngül dərəcəli assit klinik əlamət vermir.
  • Orta dərəcəli assitdə qarında fluktuasiya hiss edilir (Şəkil 1.).
  • Ağır dərəcəli assitlərdə qarında böyümə təngənəfəslik və gərginlik təyin edilir

 

 

Şəkil 1. Assit

 

 

Diaqnostikası

Şübhə

  • Qaraciyər xəstəlikləri
  • Mədə və bağırsaq xəstəlikləri
  • Qarında şişkinlik
  • Perkutor kütlük

 

 

Dəqiqləşdirmə

Assiti təyin etmək üçün ən hassas üsul USM və tomoqrafiyadır.

 

   

 

Şəkli 2,3. Assitin MRT və USM görüntüsü

 

Diaqnostik əlamətləri:

  • Asimptomatik, qarında şişkinlik, gərginlik, fluktuasiya
  • USM və ya tomoqrafiyada qarında maye

 

Səbəbin təyini

Assitin səbəbini təyin etmək üçün klinik və görüntüləmə müayinələri yetərsiz olarsa punksiya edərək assitik mayeni müayinə etmək və plazma-assit albumin fərqini (PAAF) hesablamaq lazımdır.

  • Yüksək fərqli assit (PAAF>1,1 q/dl) 97% həssaslıqla portal hipertenziyasını göstərir, o cümlədən sağ ürək yetməzliyində və miksedemada rast gəlir.
  • Sağ mədəciyin böyüməsi, atım fraksiyasının azalması, qaraciyər venalarının və aşağı boş venanın genişlənməsi, kontrastlı KT-də arterial fazada hər iki kamerada kontrastın görünməsi, kontrastın aşağı boş venaya və qaraciyər venalarına requrqitasiyası ürək yetməzliyinin əlamətləridir. Pastoz sifət, sərt ödemlər, aşağı T3, T4 və yüksək TSH miksedemanı göstərir.
  • Aşağı fərq (PAAF <1,1 q/dl) isə 97% həssaslıqla portal hipertenziyanı inkar edir və iltihabı, neoplastik, ekstravazasiya, limfatik assitlər üçün xarakterikdir. Nefrotik sindromda da aşağı fərqli assit təyin edilir. Aşağı fərqli assitlərdə əlavə müayinələrlə (sitoloji, mikrobioloji, öd piqmenti, amilaza, qlükoza, LDH və b.) iltihabi, neoplastik, ekstravazasiya, limfatik səbəblər axtarılır.

 

Ağırlıq dərəcəsinin təyini

Klinik göstəricilərə görə assitin 3 ağırlıq dərəcəsi müəyyən olunur:

  • Yüngül assit (subklinik və ya I dərəcəli) klinik təyin edilmir, USM və ya KT-də görünür.
  • Orta dərəcəli assit (II dərəcəli) qarında şişmə törədir və klinik təyin olunur: perkutor kütlük, dalğalanma və s.
  • Böyük assitdə (III dərəcəli) qarında böyük şişkinlik, hətta gərginlik ola bilir.

 

Müalicəsi

Assitin müalicəsində əsas hədəf səbəbin aradan qaldırılmasıdır.Səbəbin aradan qaldırılması mümkün olmadıqda ikinci hədəf kimi patogenetik mexanizmlərə təsir tədbirləri həyata keçirilir.

  • Qc mənşəli assitlərdə əsas vasitələr portal hipertenziyanı, orqanizmdə Na+ və suyu azaltmaqdı
  • Natrium qəbulunun azaldılması və spironolakton (aldesteron antaqonisti) müalicəsi xəstələrin 50%-də faydalı olur. Bu kombinasiya faydalı olmadıqda furosemid əlavə edilir. Adətən 3-lü kombinasiya (Na+ azaltma + spironolakton + furosenivol) 90% xəstədə faydalı olur.
  • Diuretiklərin yüksək dozalarına baxmayaraq (spironolakton 400mq+ntrahepat 160 mq) assit azalmırsa (refrakter assit), albumin+oktreotid+adrenomimetik kombinasiyası, vaxtaşırı parasentez və ya portokaval yanyollar seçilə bilər.
  • Qaraciyərdaxili portokaval yanyol refrakter assitin ən effektiv müalicəsidir.

 

Özət

Assit periton boşluğuna maye toplanmasına deyilir və peritonda ifrazat və sorulma arasındakı tarazlığın pozulması assitin əmələ gəlməsinə səbəb olur (portal hipertenziya, ürək yetməzliyi, sirroz, nefrotik sindrom, miksedema, mezotelioma,  peritoneal karsinomatoz, ekstravazasiya və limfatik blok). Assitlərin əksəriyyəti sirroz mənşəlidir. Assit yüngül (USM və ya KT-də görünür), orta (klinik təyin olunur) və böyük dərəcələri var (qarında böyük şişkinlik), refrakter assit, spontan bakterial peritonit (assitin infeksiyalaşması), hepatorenal sindrom, hidrotoraks və hiponatremiya kimi ağırlaşmalara səbəb ola bilir.

Assiti təyin etmək üçün ən hassas üsullar USM və tomoqrafiyadır, səbəbini  müəyyənləşdirmək üçün klinik və görüntüləmə müayinələri yetrəsiz olarsa plazma-assit albumin fərqini (PAAF) hesablamaq lazımdır. Portal hipertenziya üçün yüksək fərqli (PAAF>1,1 q/dl) assit xarakterikdir. Assitin müalicəsində əsas hədəf səbəbin aradan qaldırılmasıdır, bu mümkün olmayanda Na+ qəbulunu azaltmaq və diuretik lazım gəlir. Gərgin assitlərdə punksiya edilir. Yüksək doza diuretikə baxmayaraq aradan qalxmayan assitlərdə vaxtaşırı parasentez və ya portokaval yanyollar seçilə bilər.

 

 

Assit üzrə suallar

N.Y.Bayramov, A.K.Səfiyeva, Ş.Ə.Məmmədova

 

Suallar

Cavablar

Assit nədir?

Periton boşluğuna maye toplanmasıdır

Səbəbi  və ya risk faktorları nələrdir?

  • hipertenziya (portal hipertenziya, ürək yetməzliyi);
  • osmotik (sirroz, nefrotik sindrom, miksedema);
  • sekresiya (mezotelioma, peritoneal karsinomatoz);
  • eksudasiya (iltihab);
  • ekstravazasiya (perforasiya);
  • limfatik blok (şişlər);

Ən çox rast gəlinən səbəbi nədir?

Sirroz (80%)

Patogenezi nədən ibarətdir?

Peritonda ifrazat və sorulma arasındakı tarazlığın pozulması assitin əmələ gəlməsinə səbəb olur.  Qc xəstəliklərində portal hipertenziya, su və elektrolitlərin  tutulması və onkotik təzyiqin azalması assitə səbəb olur.

Gediş xüsusiyyəti necədir?

Assitin gedişi səbəbindən asılıdır

Ağırlaşmaları nələrdir?

  • Refrakter assit;
  • Spontan bakterial peritonit (assitin infeksiyalaşması);
  • Hepatorenal sindrom;
  • Hiponatremiya;
  • Abdominal kompartman;

Hansı klinik formaları var?

Ağırlıq dərəcələrinə görə subklinik, orta və böyük assitlər, plazma-assitik albumin fərqinə görə yüksək və aşağı fərqli assitlər.

Klinik əlamətləri hansılardır?

  • Yüngül dərəcə klinik asimptomatikdir, maye görüntüləmədə təyin olunur.
  • Orta dərəcədə qarında şişkinlik, perkutor kütlük və fluktuasiya təyin olunur.
  • Ağır dərəcədə qarında böyük şişkinlik, gərginlik, təngnəfəslik (kompartman) olur.

Hansı xəstələrdə şübhələnmək lazımdır?

  • Qaraciyər xəstəlikləri;
  • Mədə və bağırsaq xəstəlikləri;
  • Qarında şişkinlik;
  • Perkutor kütlük;
  • Kompartman

Dəqiqləşdirmək  üçün hansı müayinələr lazımdır?

USM, tomoqrafiya

Laborator əlamətləri nələrdir?

Yüksək fərqli assit (PAAF>1,1 q/dl)  portal hipertenziyaya xas əlamətdir.

Görüntüləmə əlamətləri nələrdir?

Qarında sərbəst maye

Diaqnostik kriteriyalarını sadala?

  • Qarında şişkinlik, gərginlik, fluktuasiya;
  • USM və ya tomoqrafiyada qarında maye;

Müalicə üsulları hansılardır?

  • Səbəbin aradan qaldırılması;
  • Na qəbulunun azaldılması və spironolakton, furosemid;
  • albumin;
  • Parasentez;
  • Portokaval yanyollar;

Əməliyyata göstərişlər nələrdir?

Refrakter assit

Əməliyyat üsulları hansılardır?

PKYY və ya TİPS

Proqnozu nədir?

Yüngül və orta dərəcəli assitlər konservativ müalicəyə tabe olurlar, böyük assitlərdə yaşama müddəti azalır, letallıq artır

Xəstəliyin ən xarakterik özəlliyini bir cümlə ilə necə ifadə edərsiniz?

Assit sirrozun dekompensasiya əlamətidir, spesifik müalicə,  o cümlədən transplantasiya gündəmə gəlir.