Bayramov N.Y., Rüstəm Ə.M., Qeybulla A.Ə.
Tərif
Divertikul QB divarının bir qatının və ya bütün qatlarının kisəşəkilli kənara qabarmasıdır. Divertikulun iç səthi epitel toxuması ilə örtülü olur.
Divertikullar əsasən qazanılmış olur və digər xəstəliklərin ağırlaşması kimi ortaya çıxır, böyüklərdə daha çox rast gəlir.
Təsnifatı
|
|
|
|
Lokalizasiyasına görə
|
- Üst ezofaqus (farinqoezofageal) divertikulu - Zenker divertikulu
- Orta hissənin divertikulu (midezofageal, parabronxial)
- Aşağı sfinkterin üstündə yerləşən divertikul (epifrenik)
|
|
Mexanizminə görə
|
- Traksion və ya həqiqi divertikullar
- Pulsion və ya yalançı divertikullar
|
Etiopatogenezi
Əmələgəlmə mexanizmi və divarın quruluşuna görə 2 növü var:
- Traksion və ya həqiqi divertikulların divarında ezofaqusun bütün qatları iştirak edir. Ətraf patoloji prosesə bağlı QB-nun divarının dartılması nəticəsində əmələ gəlir. Məsələn, orta (midezofageal) divertikul.
- Pulsion və ya yalançı divertikulların divarı yalnız selikli qişa və selikaltı əsasdan ibarətdir. Mənfəzdaxili təzyiqin artması nəticəsində əzələ lifləri arasından mukoza və submukozanın kənara çıxması hesabına əmələ gəlir (Zenker və epifrenik divertikullar).
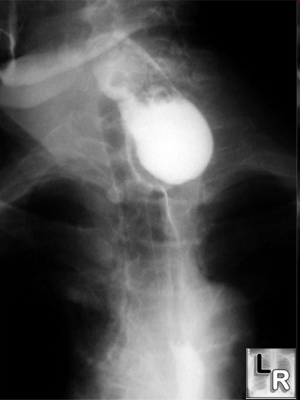
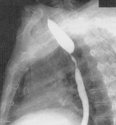
Zenker divertikulu
Tərifi
Pulsiyon divertikuldur. QB-nun boyun hissəsinin arxa divarında, selikli qişa və selikaltı əsasın əzələlər arasından kənara qabarması nəitcəsində əmələ gəlir. Üst ezofagus və ya farinqoezofageal divertikul da adlandırılır.
Əksər xəstələrdə əlamətlərlə büruzə verir, bəzi xəstələrdə böyüyərək boyun orqanlarını sıxma, divertikulit, perforasiya və qanaxma törədə bilir.
Rastgəlməi
QB-nun ən çox rast gələn divertikuludur. Daha çox 60 yaşdan çox kişilərdə müşahidə edilir.
Etiopatogenezi
Qazanılmış xəstəlikdir. Yuxarı sfinkterin spazmı (yuxarı sfinkter axalaziyası) və ya yuxarı sfinkter ilə udlaq əzələləri arasında koordinasiyanın pozulması (udlaq yığılır, yuxarı sfinkter isə boşalmır) Zenker divertikulunun əsas etiopatogenetik mexanizmidir.
Yuxarı sfinkterin dismotorikası və ya diskoordinasiyası mənfəzdaxili basincın təzyiqin artmasına, sonuncu isə QB-nun arxa divarının zəif əzələ lifləri arasından selikli qişa və selikaltı qatın kənara qabarmasına səbəb olur (krikofaringeal əzələ ilə udlağın aşağı büzücü əzələləri arasındakı zəif hissə Cillian (Killian) üçbucağı adanır).
Gedişi və ağırlaşmaları
Əksər xəstələrdə əlamətlərlə büruzə verir, bəzi xəstələrdə isə böyüyərək boyun orqanlarını sıxır. Requrgitasiya nəticəsində aspirasiyon pnevmoniya baş verə bilər. Divertikulit, perforasiya və fistullarla ağırlaşma hadisələri də rast gəlir.
Klinikası
|
Disfagiya
|
Əsas simptomdur. Xəstələrin çoxunda rast gəlir. Boyun disfagiyası daha çox müşahidə olunur.
|
|
Requrgitasiya
|
Həzm olunmamış qidaların requrgitasiyası xarakterik əlamətdir.
|
|
Boyunda udma səsi
|
Udma vaxtı boyunda qurultu səsi eşidilir.
|
|
Ağızdan kif iyi
|
Qidanın divertikulda qıcqırması hesabına meydana çıxır.
|
|
Reflüks əlamətləri
|
Xəstələrin 30%-də rast gəlir.
|
Diaqnostikası
Şübhə
Disfagiya, requrgitasiya, ağızdan pis iy gəlməsi, boyunda şişkinlik və boyunun palpasiyasında xışıltı səsi Zenker divertikulunun şübhəli əlamətləridir.
Dəqiqləşdirmə
Diaqnozun dəiqiləşdirilməsi üçün kontrastlı Rentgenoloji müayinələr, KT və çox ehtiyatla endoskopiya edilir.
- Kontrastlı Rh-qrafiya - diaqnozu dəqiqləşdirən müayinədir.
- Endoskopiya - divertikulun perforasiyası təhlükəsinə görə çox ehtiyatla aparılmalıdır.
- Manometriya - səbəbi (üst sfinkterin tonusunun artması, udlaq və yuxarı sfinkterin diskoordinasiyası) araşdırmaq və reflüksu qiymətləndirmək baxımından olduqca mühüm müayinə üsuludur.
- pH-metriya - reflüks xəstəliyi ilə differensiasiya üçün aparılmalıdır.
- KT və endoskopik USM - şişlərlə differensiasiya məqsədi ilə aparılmalıdır.
Diaqnostik meyarlar:
- Disfagiya, həzm olunmamış qidaların requrgitasiyası, ağızdan kif iyi gəlməsi
- Rentgenoqrafik divertikul görünməsi
- Manometriyada hipertonus və ya diskoordinasiya.
Differensial diaqnostika
- QB-nun strikturu;
- Axalaziya;
- QB-nun xərçəngi.
Müalicəsi
|
Miotomiya
|
Kiçik (<2 sm) divertikullarda göstərişdir. Krikofarengeal əzələ boylama istiqamətdə 3 sm kəsilir.
|
|
Divertikulektomiya və miotomiya
|
Ən radikal müalicə üsuludur. Divertikul boyun nahiyəsindən kəsilir, atılır və miotomiya edilir. 90% hallarda nəticə qənaətbəxş olur.
|
|
|
 |

|
|
Endoskopik stapler
|
Divertikul ilə QB arasındakı arakəsmə endoskopik staplerlə kəsilir və tikilir. 3-6 sm ölçülü divertikullarda icra edilir.
|
|
Reflüks əməliyyatı
|
Reflüks xəstəliyində aspirasiyanın profilaktikası üçün antireflüks əməliyyatı divertikul əməliyyatından əvvəl aparılmalıdır.
|
QB-nun orta divertikulu
Tərifi
Həqiqi, traksiyon divertikuldur, QB-nun döş hissəsində, traxeya bifurkasiyasına yaxın bölgədə yerləşir. Kiçik divertikullar adətən əlamətsiz olur, böyük divertikullar isə disfagiya, divertikulit və fistul törədə bilirlər.
Etiopatogenezi
Qazanılmış xəstəlikdir. Divararalığının qranulomatoz xəstəlikləri, adətən vərəm və histoplazmoz limfadenopatiyalarında, həmçinin sarkoidozda QB-nun divarı bitişmələrlə dartılaraq divertikul əmələ gətirir.
Gedişi və ağırlaşmaları
Kiçik divertikullar əlamətsiz gedişlidirlər. Böyük divertikullar disfagiya simptomu, divertikulit və fistul kimi ağırlaşmalar törədirlər.
Klinikası
|
Asimptomatik
|
Kiçik divertikullarda rast gəlir. Bəzən əsas xəstəliyin əlaməti ön plana çıxır.
|
|
Disfagiya
|
Simptomatik formalarda əsas simptomdur.
|
|
Requrgitasiya
|
Həzm olunmamış qidaların requrgitasiyası xarakterik əlamətdir.
|
|
Döş ağrıları
|
Divertikulitə və limfadenopatiyalara xasdır.
|
Diaqnostikası
Şübhə
Disfagiya, requrgitasiya, döş ağrıları əlamətləri olan və anamnezində divararlığı xəstəlikləri keçirmiş xəstələrdə ezofaqusun orta divertikuluna şübhələr yaranır.
Dəqiqləşdirmə
Xəstəliyin dəqiqləşdirilməsi üçün kontrastlı Rentgenoloji müayinə, KT və çox ehtiyatla endskopiya edilməlidir.
- Obyektiv müayinə - əsas xəstəliyin əlamətləri ola bilər.
- Kontrastlı rentgenoqrafiya - dəqiqləşdirici müayinə üsuludur.
- Endoskopiya - divertikulun perforasiyası təhlükəsinə görə çox ehtiyatla aparılmalıdır.
- Manometriya - aşağı sfinkterin funksiyasının (axalaziya, reflüks) qiymətlənirilməsi üçün vacib müayinə üsuludur.
- pH-metriya - reflüks xəstəliyi ilə differensiasiya məqsədi ilə aparılan ən önəmli müayinədir.
- KT və endoskopik USM - etioloji diaqnostika (divararalığının və QB-nun xəstəliklərinin diaqnostikası) üçün olduqca vacibdir.
Diaqnostik meyarlar:
- Disfagiya, həzm olunmamış qidaların requrgitasiyası, ağızdan kif iy gəlməsi
- Kontrastlı Rentgenoloji müayinədə və ya KT-də divertikul görünməsi
- Manometriyada aşağı sfinkterin normal tonusu
Differensial diaqnostika
- QB-nun strikturu;
- Axalaziya;
- QB-nun xərçəngi.
Müalicəsi
|
Müşahidə
|
Asimptomatik divertikullarda tövsiyə olunur.
|
|
Divertikuloektomiya
|
Simptomatik divertikullarda aparılır. Ətraf iltihablı kütlə divertikulla birlikdə xaric edilir
|
QB-nun epifrenik divertikulu
Tərif
Pulsion, yalançı divertikuldur. QB-nun distal 10 sm hissəsində, aşağı sfinkterin üstündə yerləşir. Kiçik divertikullar adətən əlamətsiz olur, böyük divertikullar isə disfagiya, divertikulit və fistul törədə bilirlər.
Etiopatogenez
Qazanılmış xəstəlikdir. Əmələgəlmə mexanizmi Zenker divertikuluna bənzərdir. Axalaziya, diffuz spazmlar, hiatal yırtıqlar və strikturlarda mənfəzdaxili təzyiqin artması hesabına divertikul formalaşır.
Gedişi və ağırlaşmaları
Kiçik divertikullar əlamətsiz gedişlidirlər. Böyük divertikullara disfagiya əlaməti, divertikulit və fistul kimi ağırlaşmalar xasdır.
Klinika
|
Asimptomatik
|
Kiçik divertikullarda rast gəlir. Bəzi xəstələrdə əsas xəstəliyin əlamətləri ön plana çıxır.
|
|
Disfagiya
|
Simptomatik formalarda əsas simptomdur.
|
|
Requrgitasiya
|
Həzm olunmamış qidaların requrgitasiyası xarakterik əlamətdir.
|
|
Döş ağrıları
|
Divertikulitdə və fistul zamanı müşahidə olunur.
|
Diaqnostika
Şübhə
Disfagiya, requrgitasiya, döş ağrıları, axalaziya, distal ezofaqus strikturları olan xəstələr divertikula görə müayinə olunmalıdırlar.
Dəqiqləşdirmə
Diaqnozun dəqiqləşdirilməsi üçün kontrastlı şüa diaqnostikası üsulları (Rh-qrafiya və ya KT) və endoskopiya aparılmalıdır.
- Obyektiv müayinə - əsas xəstəliyin əlamətləri rast gələ bilər.
- Kontrastlı Rh-qrafiya - dəqiqləşdirici müayinə üsuludur.
- Endoskopiya - divertikulun perforasiyası təhlükəsinə görə çox ehtiyatla aparılmalıdır. QB-nun xəstəliklərinin və paraezofageal yırtıqların diferensiasiyası üçün mühümdür.
- Manometriya - divertikulun səbəbini (axalaziya, diffuz spazm, “fındıqqıran” QB) aşkar etmək üçün aparılan ən vacib müayinə üsuludur.
- pH-metriya - reflüks xətəliyinin diaqnostikasında ən önəmli müayinə üsuludur.
- KT və endoskopik USM - etioloji diaqnostika (divararalığının və QB-nun xəstəliklərinin diaqnostikası) üçün vacibdir.
Diaqnostik meyarlar:
- Disfagiya, həzm olunmamış qidaların requrgitasiyası
- Kontrastlı müayinələrdə (Rh-qrafiya, KT) divertikul görünməsi
- Manometriyada hipertenziv dismotorika
Differensial diaqnostika
- QB-nun strikturu
- Axalaziya
- Paraezofageal yırtıq
- QB-nun xərçəngi
Müalicəsi
Cərrahi müalicə - 3-komponentli cərrahi müalicə (laparoskopik yol daha çox tövsiyə edilir):
- Divertikulektomiya
- Miotomiya – divertikulun əks tərəfindən aparılır. Kəsik divertikulun boyunu səviyyəsindən başlanılır və mədəyə doğru 2 sm uzadılır.
- Hissəvi fundoplikasiya reflüksü önləmək üçün icra edilir.
Özət
Qida borusu divarının bir qatının və ya bütün qatlarının kisəşəkilli kənara çıxması (qabarması) divertikul adlanır. Divertikulun iç səthi epitel toxuması ilə örtülü olur. Divar zəifliyi və distal hissədə maneə divertikulun əmələ gəlməsində mühüm rol oynayır. Divertikullar qida borusunun yuxarı (Zenker divertikulu), orta və aşağı (epifrenik divertikul) hissələrində çox rast gəlir. Xəstəlik erkən mərhələlərdə asimtomatik ola bilir, böyüdükdə disfagiya, requrgitasiya, ağızdan pis iy gəlməsi əlamətləri ilə büruzə verir. Uzunmüddətli divertikullar iltihab, böyüyüərək ətraf orqanları sıxma, hətta perforasiya törədə bilirlər. Diaqnoz kontrastlı müayinələrlə qoyulur. Müalicə əsasən cərrahidir (divertikulektomiya, distal miotomiya).
Divertikullar üzrə suallar
N.Y.Bayramov, A.Səfiyeva, Ş.Məmmədova
|
Suallar
|
Cavablar
|
|
Ezofaqus divertikulu nədir?
|
Ezofaqus divarının bir qatının və ya bütün qatlarının kisəşəkilli bayıra qabarmasıdır.
|
|
Hansı növləri var?
|
Lokalizasiyasına görə:
- Farinqoezogeal (Zenker);
- Midezofageal (parabronxial);
- Epifrenik;
Mexanizminə görə:
- Həqiqi və ya traksion;
- Yalançı və ya pulsion
|
|
Ağırlaşmaları hansılarıdır?
|
- Ətraf orqanları sıxmır;
- Divertikulit;
- Perforasiya;
- Fistul;
|
|
Zenker divertikulu nədir?
|
Ezofaqusun boyun hissəsinin arxa divarından çıxan divertikul
|
|
Səbəbi və ya risk faktorları hansılardır?
|
Yuxarı sfinkterin spazmı və ya yuxarı sfinkter ilə udlaq əzələləri arasında koordinasiyanın pozulması
|
|
Klinik əlamətləri hansılardır?
|
- Disfagiya;
- Requrgitasiya;
- Boyunda udma səsi;
- Ağızdan kif iyi gəlməsi;
- Reflüks əlamətləri
|
|
Hansı xəstələrdə şübhələnmək lazımdır?
|
Yuxarıdakı klinik əlamətlər olan və boyunun palpasiyası zamanı xışıltı aşkar edilən xəstələrdə
|
|
Dəqiqləşdimək üçün hansı müayinələr lazımdır?
|
- Kontrastlı Rh-qrafiya;
- KT;
- Endoskopiya (çox ehtiyatla)
|
|
Görüntlüləmə əlamətləri hansılardır?
|
Kontrast məhlulunn divertikul nahiyəsində toplanması
|
|
Digər müayinələrdə nə tapılır?
|
Manometriyada üst sfinkterin tonusunun artması, udlaq və yuxarı sfinkterin diskoordinasiyası
|
|
Diaqnostik kriteriyaları hansılardır?
|
- Klinik əlamətlər;
- Divertikulun Rentgenoqrafik görünməsi;
- Manometriyada hipertonus və ya diskordinasiya
|
|
Müalicə üsulları hansıdır?
|
Cərrahi
|
|
Əməliyyata göstərişlər hansıdır?
|
Simptomatik divertikul
|
|
Əməliyyat üsulları hansılardır?
|
- Miotomiya;
- Divertikulektomiya və miotomiya;
- Endoskopik stapler;
- Reflüks əməliyyatı
|
|
Qida borusunun orta divertikulu nədir?
|
Ezofaqusun döş hissəsinin traxeya bifurkasiyasına yaxın nahiyəsindən çıxan divertikuldur
|
|
Rastəlmə tezliyi nə qədərdir?
|
Ezofaqusun ən çox rast gələn divertikuludur
|
|
Səbəbi və ya risk faktorları hansılardır?
|
- Divararalığının qranulomatoz xəstəlikləri – vərəm, histoplazmoz;
- Divararalığı limfoadenopatiyaları;
- Sarkoidoz;
|
|
Klinik əlamətləri hansılardır?
|
- Asimptomatik;
- Disfagiya;
- Requrgitasiya;
- Döş qəfəsində ağrılar
|
|
Hansı xəstələrdə şübhələnmək lazımdır?
|
Klinik əlamətləri olan və divararalığı xəstəlikləri keçirmiş xəstələrdə
|
|
Dəqiqləşdimək üçün hansı müayinələr lazımdır?
|
- Kontrastlı Rh-qrafiya;
- KT;
- Endoskopiya (xüsusi ehtiyatla)
|
|
Görüntlüləmə əlamətləri hansılardır?
|
Kontrast məhlulun divertikul nahiyəsində toplanması
|
|
Diaqnostik kriteriyaları hansılardır?
|
- Klinik əlamətlər;
- Rentgenoqrafik və ya KT müayinəsində divertikulun görünməsi;
- Manometriyada aşağı sfinkterin normal tonusu
|
|
Müalicə üsulları hansılardır?
|
|
|
Əməliyyata göstəriş hansıdır?
|
Simptomatik divertikul
|
|
Əməliyyat üsulları hansıdır?
|
Divertikulektomiya
|
|
Epifrenik divertikul nədir?
|
Ezofaqusun aşağı sfinkterinin üstündə divarın kənara kisəşəkilli qabarmasıdır
|
|
Rastəlmə tezliyi nə qədərdir?
|
Bütün ezofaqus divertikullarının 10 %-ni təşkil edir
|
|
Patogenezi nədən ibarətdir?
|
Axalaziya, diffuz spazm, hiatal yırtıq və striktura nəticəsində mənfəzdaxili təzyiq artması nəticəsində selikli və selikaltı qat kənara qabarır.
|
|
Klinik əlamətləri hansılardır?
|
- Asimptomatik;
- Disfagiya;
- Requrgitasiya;
- Döş qəfəsində ağrılar
|
|
Hansı xəstələrdə şübhələnmək lazımdır?
|
Klinik əlamətləri və distal ezofaqus strikturu olan xəstələrdə
|
|
Dəqiqləşdimək üçün hansı müayinələr lazımdır?
|
- Kontrastlı Rh-qrafiya;
- KT;
- Endoskopiya (xüsusi ehtiyatla)
|
|
Görüntlüləmə əlamətləri hansıdır?
|
Kontrast məhlulun divertikul nahiyəsində toplanması
|
|
Digər müayinələrdə nə tapılır?
|
Manometriya – aşağı sfinkterin tonusunun artması və ya dismotorika
|
|
Diaqnostik kriteriyaları hansılardır?
|
- Klinik əlamətlər;
- Rentgenoqrafiya və ya KT müayinələrində divertikulun görünməsi;
- Manometriyada hipertenziv dismotorika
|
|
Müalicə üsulları hansıdır?
|
Cərrahi
|
|
Əməliyyata göstəriş hansıdır?
|
Simptomatik divertikul
|
|
Əməliyyat üsulları hansılardır?
|
- Divertikulektomiya;
- Miotomiya;
- Hissəvi fundoplikasiya
|
|
Bir cümlə ilə divertikul?
|
Divertikul malignizasiya törətmir, lakin əməliyyat tələb edir.
|