Azərbaycan Respublikası Səhiyyə Nazirliyi Elmi-Tibbi Şurasının 6 dekabr 2018 tarixli 24 saylı və Azərbaycan Respublikası Təhsil Nazirliyinin 07.02.2019 tarixli F-66 saylı qərarı ilə “070101-Müalicə işi” ixtisası üzrə dərslik kimi təsdiq edilmişdir

Travma

N.Y.Bayramov, F.M.Qapaqov

Ədəbiyyat

Ümumi ədəbiyyat

  • Ağayev B.A. Cərrahi xəstəliklər. Bakı 2010.
  • Blackbourne LH. Surgical Recall. 7 edition, 2014, LWW, Philadelphia
  • Doherty GM. Current Diagnosis and Treatment: Surgery, 13th edition, 2010, Lang International Edition.
  • İsayev H.B. Cərrahi xəstəliklərin patofizologiyası. Bakı 2005
  • Klingensmith ME, Aziz A, Bharat A, Fox AC, Porembka MR. The Washington Manual of Surgery, 6th edition, 2012, LWW, Philadelphia.
  • McNally PR. GI/Liver Secrets Plus. 4 edition. Mosby, Elsevier, 2010
  • Medscape, http://www.medscape.com
  • Oxford Handbook of Clinical Surgery, 3d edition, 2011, Oxford Press
  • Sayek İ. Sayek Temel Cerrahi 1-2. 4-cü baskı, 2016, Güneş Tıp Kitabevleri.
  • Topçubaşov M.A. Xüsusi cərrahlıq. Bakı, 1979
  • UpToDate, http://www.uptodate.com

Xüsusi ədəbiyyat

QARIN TRAVMASI

N.Y.Bayramov, F.M.Qapaqov

 

Travmalarda qarın ən çox zədələnmə bölgələrindən biridir və travmalara bağlı ölümlərin təxminən 1/3 qarındaxili zədələnmələrin payına düşür (qarındaxili qanaxma, boşluqlu orqan zədələnmələri).

Təsnifatı

Mexanizminə görə

  • açıq
  • qapalı

Morfologiyasına görə

  • Əzilmə-hematoma
  • Yaralanma (mənfəzə keçən, mənfəzə keçməyən)
  • Devaskulyarizasiya

Yerinə görə

  • qarın divarı
  • mədə və bağırsaqlar (12bb, nazik bağırsaq, çənbər bağırsaq, düz bağırsaq)
  • qaraciyər
  • öd yolları
  • mədəaltı vəzi
  • dalaq
  • cinsiyyət orqanları
  • böyrəklər və sidik yolları
  • retroperitonal damarlar

Ağırlıq dərəcəsinə görə

hər orqan üçün ayrılıqda verilir

 

 

QARIN TRAVMASINA YANAŞMANIN ÜMUMİ PRİNSİPLƏRİ

 

İlkin tədbirlər

Qarın travmasında xəstənin stabil olub-olmamasından asılı olmayaraq əvvəlcə standart ardıcıllıqla (YADDAŞ) birinci yoxlama təkrarlanır, stabillik qiymətləndirilir və gərəkdirsə stabilləşdirmə tədbirləri həyata keçirilir (Şəkil 1).

Qarın zədələnmələrində ilk növbədə stabilləşdirmə tədbiri gərəkdirən (laparotomiyaya göstərişlər) aşağıdakı həyatı təhlükəli zədələnmələr yoxlanılmalıdır:

  • qarındaxili qanaxma – parenximatoz, boşluqlu orqan və damar zədələnməsi nəticəsində şoka səbəb ola bilir.
  • boşluqlu orqan zədələnmələri – qida borusu, mədə-bağırsaq möhtəviyyatı, öd, pankreas şirəsi və sidik ilə kontaminasiya nəticəsində peritonit, mediastinit, abses, fistul, eroziv qanaxma meydana gəlir.

Qeyri-stabil xəstələrdə qarında açıq və ya qapalı zədələnmə əlaməti varsa təcili əməliyyat edilir.

Xəstə stabildirsə zədələnmələri dəqiqləşdirmək və gözdən qaçırmamaq üçün ikinci yoxlama (“təpədən dırnağa”) yenidən təkrarlanır (üçüncü yoxlama). Bundan sonra qarın travmasının xarakteri, zədələnən orqan və ağırlıq dərəcəsi müəyyənləşdirilir. Bu məqsədlə klinik müayinə, USM (FAST) və stabil xəstələrdə KT edilir. Bu standart müayinələrə əlavə olaraq endoskopiya, laparoskopiya, laborator və digər müayinələr aparıla bilər. Qarın zədələnmələrində digər orqanlarda, xüsusən də döş və çanaqda zədələnmə ehtimalı yüksəkdir. Ona görə də belə xəstələrdə döş və çanaq diqqətli klinik müayinə və KT edilməlidir.

 

Qarının açıq yaralanmalarında yanaşma

Açıq zədələnmənin (yaralanmalar) 3 növü ola bilər ki, bunlara daxilə keçməyən (1/3), daxilə keçən, lakin qarındaxili zədələnmə törətməyən (1/3), daxilə keçən və qarındaxili orqan zədələnməsi törədən zədələnmələr (1/3) aid edilir. Klinik – USM müayinəsinin 4 nəticəsi ola bilər.

I variant – ilkin müayinə ilə daxilə keçən yaralanma təyin edilir: qarın divarında yaranın daxilə keçdiyini göstərirən aşağıdakı əlamətlərdən hər hansı biri var və bu təcili laparotomiya və ya laparoskopiyaya göstərişdir:

  • tək qarın zədələnməsi olan qeyri-stabil xəstə
  • yarada qarındaxili orqanların görünməsi (piylik, bağırsaq qaraciyər və s.)
  • yaradan möhtəviyyat gəlməsi (bağırsaq möhtəviyyatı, öd, sidik)
  • diffuz peritonit və sepsis əlamətləri
  • qaraciyər kütlüyünün itməsi
  • qarının dimanikada böyüməsi
  • Qarının güllə yaralanması
  • USM və ya KT də qarında artan maye

II variant – təftiş edilərkən yaranın daxilə keçdiyi müəyyən olunur. Əgər klinik olaraq yuxarıda göstərilən daxiləkeçmə əlamətləri yoxdursa, yara yerli keyləşdirilmə ilə genişləndirilir, aponevrozu və peritonu keçib-keçmədiyinə baxılır. Təftişdə peritonu keçmə görünürsə bu daxilə keçən yaralanmanı göstərir və təcili laparotomiya/laparoskopiyaya göstərişdir.

III variant – təftişdə aponevrozu keçir, lakin peritonu keçib-keçmədiyi bilinmir. Aponevrozu keçən yayların daxilə keçmə ehtimalı (50%) yüksəkdir və əlavə müayinələrlə peritonu keçib-keçmədiyi dəqiqləşdirilir. Bu məqsədlə laparotomiya, laparoskopiya, KT edilə bilər.

IV variant – təftişdə yara aponevrozu keçmir. Belə vəziyyətlər daxilə keçməyən yaralanma kimi qəbul olunur.

Qeyd etmək lazımdır ki, odlu silah yayralanmalarında yara daxilə keçməsə də silkələnmə effekti ilə əlaqadar qarındaxili zədələnmələr törədə bilər. Ona görə də bu qrup xəstələrdə dəqiqləşdirici müayinə üçün adətən laparotomiya/laparoskopiya lazım gəlir. Lakin, stabil və peritonit əlamətləri olmayan xəstələrdə bu məqsədlə üçlü-kontrastlı KT ilə qeyri-operativ izləmə də tövsiyə edilir.

 

Qarının küt travmasında yanaşma

Qarının küt travmalarında qarındaxili orqan yaralanmasını təyin etmək klinik olaraq çətin ola bilər. Ona görə də bu qrup xəstələrdə stabillik ilk palanda tutulur və qarındaxili zədələnmələri yoxlamaq üçün aşağıdakı yanaşma tövsiyə olunur.

  • Qeyri-stabil xəstə, klinik olaraq qarın zədələnməsi var. Belə xəstədə qarındaxili qanaxma və ya zədələnmə ehtimalı çox yüksəkdir, ona görə də təcili laparotomiyaya göstərişdir.
  • Qeyri-stabil, çoxlu zədələnməsi olan və ilkin infuzion terapiyaya baxmayaraq stabilləşməyən xəstə. Bu xəstələrdə döş boşluğu, qarın boşluğu və çanaq yoxlanılır, USM ilk seçimdir, imkan olarsa KT edilə bilər.
  • Stabil, çoxlu travması olan xəstədə “gizli” qarındaxili zədələnmələri aşkarlamaq üçün qarın boşluğu KT etmək lazımdır. Belə xəstələrdə KT müayinəsi parenximatoz orqan zədələnmələrinin konservativ müalicəsində (dalaq, qaraciyər) izləmə məqsədi ilə də istifadə edilə bilər.
  • Ayıq, huşu yerində və stabil xəstədə qarında şikayəti yoxdur, baxmada zədələnmə əlaməti və palpasiyada peritonizm yoxdursa, USM-də (FAST) maye yoxdursa qarındaxili zədələnmə ehtimalı minimumdur.

 

Laparotomiyaya göstərişlər və əks-göstərişlər

İlkin və ikincili yoxlama nəticəsində bir neçə variant ola bilər:

  • I varianttəcili laparotomiyaya göstərişləri olan xəstələr:
  • hemodinamikası qeyri-stabil, açıq və ya qapalı qarın travması (klinik müayinədə və ya USM-də qarındaxili zədələnməsi var, hava yolu və tənəffüsü adekvatdır, döşdaxili qanaxması yoxdur)
  • hemodinamikası stabildir, lakin aşağıdakılardan hər hansı biri varsa:
    • küt travmalı xəstələr, klinik, USM və ya kontrastlı KT müayinəsində boşluqlu orqan zədələnməsi və ya magistral damar zədələnməsi var (mərkəzi hematoma)
    • qarın boşluğuna keçən açıq yaralanmalar
    • qarının güllə yaralanmaları
    • travma keçirmiş xəstədə peritonit və perforasiya əlamətləri
  • II variant – hemodinamikası stabil olan küt travmalı xəstə, klinik, USM və KT müayinəsində boşluqlu orqan zədələnməsi görünmür, parenximatoz orqan zədələnməsi var. Bu xəstələri izləmək lazımdır, qanaxma davam edərsə laparotomiya və ya angioqrafik müdaxilələr lazımdır.
  • III variant – ayıq, hemodinamik stabil, klinik və USM ilə qarındaxili zədələnməsi görünməyən küt travmalı və ya qarın boşluğuna keçməyən yaralanma. Bu xəstələri qısamüddətli izləmədən sonra evə buraxmaq olar.

 

travma img 17

Şəkil 1. Qarın travmasında yanaşma

 

Əməliyyat prinsipləri

  • Qarın travmalarında orta laparotomiya ilk seçimdir. Lakin stabil xəstələrdə laparoskopiya da tətbiq edilə bilər.
  • Əməliyyat vaxtı standart yanaşma ardıcıllığı tətbiq olunmalıdır: əvvəl qanaxma dayandırılır, sonra kontaminasiya aradan qaldırılır. Bu məqsədlə əvvəl dalaq, qaraciyər və böyük damarlar, sonra mədə, 12bb, nazik bağırsaq, yoğun və düz bağırsaq, genital orqanlar və retroperiton yoxlanılır.
  • Qarındaxili qanaxma əvvəl əllə sıxaraq və ya tamponlarla müvəqqəti dayandırılır, sonra daimi hemostaz tədbiri həyata keçirilir (liqasiya, tikiş, bərpa, koterizasiya, hemostatik vasitələr və s.)
  • Əməliyyat vaxtı qanaxmanı daimi dayandırmaq mümkün olmursa stabilləşdirmə tədbiri kimi zədələnməyə nəzarət cərrahiyyəsi adlanan üçmərhələli müalicə tətbiq edilir:
  • ilk mərhələdə tamponada ilə qanaxma müvəqqəti dayandırılır, bağırsaq kontaminasiyasını önləmək üçün yaralara müvəqqəti tikiş qoyulur, qarın müvəqqəti tikilir
  • ikinci mərhələdə 24-48 saat ərzində reanimasion tədbirlərlə stabilləşdirilir
  • zədələnmələrinə üçüncü mərhələdə qarın təkrar açılaraq tamponlar çıxarılır, daimi hemostaz təmin edilir və orqanlarda bərpa əməliyyatları (işlənmə, rezeksiya, anastomoz) həyata keçirilir.
  • Qanaxma dayandırıldıqdan sonra zədələnmələrin xarakteri və ağırlıq dərəcəsi müəyyənləşdirilir və uyğun bərpa tədbirləri həyata keçirilir.

Boşluqlu orqan zədələnmələrində yanaşma

  • Xarakterinə görə boşluqlu orqan zədələnmələri hematoma-əzilmə, yaralanma və devaskulyarizasiya şəkilində ola bilər. Zədələnmənin ağırlıq dərəcəsi müalicə seçimi və proqnoz üçün önəmlidir.
  • Boşluqlu orqandakı zədələnmənin ağırlıq dərəcələrini təyin etmək üçün Amerika Travma Cərrahiyyəsi Cəmiyyətinin 6 dərəcəli təsnifatından istifadə edilə bilər:
  • kiçik (I dərəcə) – divarda hematoma və mənfəzə keçməyən yaralanmalar
  • orta (II dərəcə) – mənfəzə keçən kiçik yaralanmalar (divar çevrəsinin yarısından azını tutan)
  • ciddi (III dərəcə) – mənfəzə keçən böyük yaralanmalar (divar çevrəsinin yarısından çoxunu tutan)
  • ağır (IV dərəcə) – divar çevrəsinin tam yaralanması (transseksiya)
  • kritik (V dərəcə) – seqmentar devaskulyarizasiya
  • maksimum (VI dərəcə) – orqanın bərpa olunmayan bütöv zədələnməsi
  • Boşluqlu orqan zədələnməsində bərpa əməliyyatının birinci məqsədi qanaxmanı və kontaminasiyanı dayandırmaqdır, funksiyanın bərpası isə adətən ikincidir. Bu məqsədlə zədələnmənin yerindən və ağırlıq dərəcəsindən asılı olaraq aşağıdakı əməliyyatlar icra oluna bilər:
  • birincili işlənmə, tikiş və ya anastomoz
  • rezeksiya + anastomoz .
  • Boşluqlu orqan hematomalarını açmaq, qanaxmanı dayandırmaq, mənfəzə keçib-keçmədiyini və bağırsağın qan təchizatını yoxlamaq lazımdır (qida borusu və 12bb hematomaları bundan istisnadır)
  • Yaralanmalar birincili işlənilir və yara defektinin ölçüsündən asılı olaraq tikiş və ya anastomoz qoyulur. Mənfəzi daraltmamaq üçün yaraların köndələn tikilməsi məsləhətdir. Anastomoz əllə və ya mexaniki alətlərlə qoyula bilər. Əllə tikişlər təkqat və ya ikiqat qoyula bilər (sorulan sapla daxili hemostatik, sorulmayan sapla xarici seroz tikişlər). Mədənin vaskulyarizasiyası yüksək olduğu üçün yaralarına ikiqat tikişlər qoyulur.
  • Devaskulyarizasiya və ya destruksiya olmuş seqmentləri rezeksiya etmək və anastomoz qoymaq lazımdır.
  • Tikişin və ya anastomozun buraxma ehtimalı yüksək olan bölgələrdə (qida borusu, 12bb və düz bağırsaq) aşağıdakı profilaktik tədbirlər həyata keçirilə bilər:
  • yamaqlar (plevral, diafraqmal yamaqlar, fundoplikasiya)
  • dekompressiya (hissəvi stoma, drenajlar)
  • defunksiya (proksimal stoma, piloru bağlama, divertikulizasiya)

Parenximatoz orqanların zədələnmələrinə yanaşma

  • Parenximatoz orqanların zədələnmələri hematoma-əzilmə, yaralanma və avulsiya şəkilində ola bilər.
  • Parenximatoz orqanların zədələnmələrində hemostaz ilk və əsas tədbirdir, nekrektomiya və bərpa göstərişə görə aparılır.
  • Dalaq və qaraciyər hematomalarını açmaq lazım deyil (pankreas hematoması istisnadır), lakin böyük damar zədələnməsi əlamətləri (böyümə, pulsasiya) və ya partlamalarda açmaq və qanayan damarı bağlamaq və ya bərpa etmək lazımdır.
  • Yaralanmalarda hemostaz etmək lazımdır, avulsiyalarda rezeksiya, ektomiya (dalaq) hətta transplantasiya (qaraciyər) aparıla bilər. Pankreas travmalarında axacaq zədələnəmələrinə uyğun müalicələr seçilməli, qaraciyər zədələnmələrində isə öd yollarına diqqət edilməlidir.
  • Stabil xəstələrdə qaraciyər və dalağın küt travmaları qeyri-operativ izlənə bilər.

Böyük damar zədələnmələrinə yanaşma

  • Böyük damar zədələnmələri qarındaxili qanaxma (açıq yaralanmalar) və ya retroperitoneal hematoma əlamətləri ilə büruzə verir.
  • Abdominal damar zədələnmələrində əsas prinsip qanaxmanı dayandırmaq və orqanın qan təchizatını təmin etməkdən ibarətdir (bərpa).
  • Açıq zədələnmələrdə ilk növbədə müvəqqəti hemostaz, sonra damara giriş və bərpa həyata keçirilir. Müvəqqəti hemostaz üçün tamponada və ya damara proskimal nəzarət (aortaya klemp və ya balon), damarlara girişi təmin etmək üçün visseral orqanların soldan ortaya və ya sağdan ortaya disseksiyası lazım gələ bilir. Zədələnən damardan asılı olaraq bərpa (tikiş, anastomoz və greft) və ya liqasiya həyata keçirilir.
  • Retroperitoneal hematomalara yanaşma prinsipi hematomanın yerləşməsindən asılıdır: mərkəzi hematomaları mütləq açmaq lazımdır, yan və çanaq hematomalarını isə göstərişə görə açmaq lazımdır (qalça və ya böyrək arteriyasının zədələnməsi varsa). Damar zədələnmələrində angioqrafik müdaxilələri, çanaq hematomalarında isə çanaq sümüklərinin fiksasiyasını unutmamaq lazımdır.

 

MƏDƏ TRAVMASI

 

Mədə zədələnmələri daha çox açıq travmalarda rastlanır.

Təsnifatı

Morfologiyasına görə

  • Əzilmə/hematoma
  • Yaralanma
  • Devaskulyarizasiya

 

Mədə travmalarının ağırlıq dərəcələri (Amerika Travma Cərrahiyyəsi Cəmiyyətininin və AİS-90 təsnifatı)

Dərəcə

Açıqlama

Letallıq ehtimalı

I

Əzilmə/hematoma

1-2%

 

Mənfəzə keçməyən yaralanma

1-2%

 

   

II

Yaralanma – pilorda və ya qastroezofageal birləşmədə 2 sm-dən kiçik

8-10%

 

Yaralanma – mədə proksimalında, 5 sm-dən kiçik

8-10%

 

Yaralanma – mədə distalında, 10 sm-dən kiçik

8-10%

 

   

III

Yaralanma – pilorda və ya qastroezofageal birləşmədə 2 sm-dən böyük

8-10%

 

Yaralanma – mədə proksimalında, 5 sm-dən böyük

8-10%

 

Yaralanma – mədə distalında, 10 sm-dən böyük

8-10%

 

   

IV

Mədənin 2/3-dən kiçik hissəsinin devaskulyarizasiyası və ya defekti

5 – 50%

 

   

V

Mədənin 2/3-dən böyük hissəsinin devaskulyarizasiyası və ya defekti

5 – 50%

 

Ağırlaşmaları

  • Qanaxma
  • Peritonit
  • Abses
  • Fistul

 

Diaqnostika

Mədə zədələnmələri nazoqastrik zonddan qanlı ifrazatın gəlməsi ilə büruzə verə bilər, USM-də qarında maye, KT-də qarındaxili hava və kontrast ekstravazasiya görünə bilər. Lakin əksər hallarda diaqnoz əməliyyat vaxtı dəqiqləşdirilir.

 

Müalicəsi

Mədə yaralarında zədələnmənin dərəcəsindən asılı olaraq birincili tikiş və ya rezeksiya tətbiq edilir.

Hematomalar açılmalı, hemostaz edilməli və divar perforasiyası yoxlanılmalıdır. I-II-III dərəcəli yaralanmalarda ilk seçim yaranın işlənməsi, tək və ya ikiqat tikişlərlə birincili tikilməsidir. Pilor bölgəsində olan yaralanmalarda köndələn tikişlər qoyulur. Qastro-ezofageal zədələnmələrdə yara tikildikdən sonra fundoplikasiya edilə bilər. Devaskulyarizasiya və defektlərdə rezeksiya, qastro-enteroanastomoz və vaqotomiya lazım gəlir.

 

DUODENAL TRAVMALAR

 

12bb zədələnmələri qarındaxili zədələnmələr arasında 3-5% hallarda müşahidə edilir, həm açıq, həm də qapalı travmalarda rast gəlinir, təxminən 3-5% hallarda və adətən digər orqanların və damarların müştərək zədələnməsi ilə birlikdə təsadüf edilir. Duodenal travmalarda letallıq (1-50%) və ağırlaşma tezliyi (60%-dən çox) yüksəkdir (abses, fleqmona, duodenal fistula, qanaxmalar və s.)

 

Təsnifatı

Morfologiyasına görə

  • Hematoma
  • Yaralanma
  • Devaskulyarizasiya

 

12bb travmalarının ağırlıq dərəcələri (Amerika Travma Cərrahiyyəsi Cəmiyyətininin və AİS-90 təsnifatı)

Dərəcə

Açıqlama

Letallıq ehtimalı

I

Hematoma – 12bb-ın bir hissəsini tutan

1-2%

 

Yaralanma – mənfəzə keçməyən

8-10%

 

   

II

Hematoma – bir hissədən çox bölgəni tutan

1-2%

 

Yaralanma – çevrəsinin 50%-dən azını əhatə edən

5-50%

 

   

III

Yaralanma – ikinci hissədə çevrəsinin 50-75%-ni əhatə edən

5-50%

 

Yaralanma – I,III və IV hissələrdə çevrəsinin 50%- 100%-ni əhatə edən

5-50%

 

   

IV

Yaralanma – ikinci hissədə çevrəsinin 75%-dən çoxunu əhatə edən

5-50%

 

Yaralanma – ampula və ya distal xoledoxu əhatə edən

5-50%

 

   

V

Yaralanma – duodeno-pankreatik kompleksi əhatə edən parçalanma

5-50%

 

Devaskulyarizasiya

5-50%

 

Ağırlaşmaları

  • Qanaxma
  • Peritonit
  • Abses
  • Fistul

 

Diaqnostika

Duodenal zədələnmələrin erkən klinik əlamətləri zəif ola bilər. Hematomalar adətən keçməzlik əlamətləri ilə, yaralanmalar isə qanaxma, peritonit və retroperitonal fleqmona əlamətləri ilə büruzə verir. Diaqnozun dəqiqləşdirilməsi kontrastlı KT ilə və əməliyyat vaxtı mümkün olur.

 

Müalicə

Duodenal zədələnmələrdə müalicə yanaşması zədələnmənin dərəcəsindən asılıdır, lakin digər boşluqlu orqan zədələnmələrindən fərqlənir və bir çox hallarda müəyyən çətinliklər törədir.

Əməliyyat vaxtı 12bb-ı qiymətləndirmək üçün Koxer manevri edilərək bağırsağın bütün hissələri və ətraf orqanlar diqqətlə yoxlanılır, zədələnmələr qiymətləndirilir və zədələnməyə uyğun cərrahi müdaxilə seçilir (Şəkil 2).

 

travma img 18

Şəkil 2. Koxer manevri

Hematomalarda ilk seçim konservativ müalicədir – nazoqastral dekompressiya, parenteral və enteral (12bb-dan distal) qidalandırma. İki həftəlik konservativ müalicə fayda vermədikdə və KT davamlı hematomanı göstərərsə əməliyyat lazım gəlir. Duodenal hematoma əməliyyat vaxtı tapılarsa onun açılması məsləhət deyil və qidalandırıcı yeyunostomiya qoyula bilər (Şəkil 3).

 

travma img 19

Şəkil 3. Duodenal travmalarda müalicə yanaşması

 

Yaralanmalarda təcili cərrahi bərpa göstərişdir: yaranın birincili işlənməsi, tikilməsi və ya anastomoz, peripankreatik drenaj. Tikiş və ya anastomoz buraxması riski yüksəkdirsə profilaktika üçün kənarlaşdırma tədbirləri (12bb-a tökülən mədə, öd və pankreas şirələrini kənarlaşdırılması, bağırsağın həzm traktından kənarlaşdırılması) həyata keçirilə bilər ki, bunlara aşağıdakı əməliyyatlar aid edilə bilər:

  • dekompressiya
  • piloru bağlama
  • divertikulizasiya

Mənfəzə keçməyən yaralanmalarda (I dərəcəli) təkqatlı tikişlə seroza tikilir, periduodenal bölgə drenaj edilir və profilaktik kənarlaşdırma tədbirlərinə ehtiyac qalmır.

II dərəcəli yaralanmalarda yaranın birincili cərrahi işlənməsi, tək və ya ikiqat tikilməsi, nazoqastral dekompressiya və periduodenal drenaj həyata keçirilir. Daralmanı önləmək üçün yaranın bağırsaq boyuna köndələn tikmək məsləhətdir.

III dərəcəli yaralanmalarda cərrahi işləmədən sonra böyük yara defekti meydana gələrsə uc-uca anastomoz (duodeno-duodenoanastomoz), bəzən də nazik bağırsaq yamağı istifadə edilə bilər. Böyük duodenal yaralanmalarda, yaraətrafı orqanlarda zədələnmə və iltihab olduqda, xəstədə şok olduqda tikiş buraxma ehtimalı yüksəlir. Ona görə də profilaktik olaraq dekompressiya, yöndəyişmə və divertikulizasiya kimi 12bb-ı kənarlaşdırma tədbirləri həyata keçirilə bilər.

Dekomressiya mədə, öd və pankreatoduodenal şirələri 12 bb-dan kənarlaşdırmaq üçün və qidalandırma məqsədi ilə “3-lü və ya 4-lü drenaj” şəkilində aparılır: qastrostoma, retroqrad və ya anteqrad duodenostoma, qidalandırıcı yeyunostomiya və gərəkərsə xoledox drenajı (Şəkil 4).

Piloru bağlama üsulunda mədə ilə 12bb arasındakı əlaqə müvəqqəti kəsilir və qastroеntеroanastomoz qoyulur (Şəkil 4). Pilorusu bağlamaq üçün qastrotomiyadan daxili tikişlər, bayırdan büzücü tikişlər və mexaniki tikişlər istifadə edilə bilər.

travma img 20

Şəkil 4. Duodenal yaralanmalarda əməliyyatlar

 

Divеrtikulizasiyada mədə ilə 12bb arasındakı əlaqə daimi kəsilir – pilor və antrum rеzeksiya еdilir, qasyroenteroanastomoz qoyulur və хolеdoхa "T" drеnaj qoyula bilər (Şəkil 4).

Bu üsullar arasında effektivlik baxımından ciddi fərq görünmür və texniki asan olduğu üçün piloru bağlama ilk tövsiyə edilir.

IV dərəcəli yaralanmalarda (ampulanı əhatə edən yaralanmalar) bir neçə variant tətbiq edilə bilər. Ampulanın hissəvi yaralanmasında stent və ya sfinkteroplastika tətbiq oluna bilər. Ampulanın geniş yaralanmasında xoledoxun reimplantasiyası – xoledoxo-duodenostomiya edilər bilər. Periampulyar geniş yaralanmalarda (pankreas axacağının, distal xoledoxun) və V dərəcəli yaralanmalarda (duodeno-pankreatik kompleksi əhatə edən parçalanma, duodenal avulsiya) öd və pankreatik axacaqların xaricə drenajı və ya mərhələli pankreatoduodenoektomiya (PDR) lazım gəlir. Mərhələli PDR-də ilk mərhələdə rezeksiya həyata keçirilir – 12bb və pankreas başı rezeksiya edilir, xoledox və pankreas güdülü bağlanır. Xəstə 24-48 saat izlənir və stabilləşdikdən sonra ikinci mərhələ – anastomoz mərhələsi həyata keçirilir. Travmalı xəstələrdə PDR yüksək letallığa səbəb olsa da (50%), digər üsullarla bərpası mümkün olmayan duodeno-pankreatik zədələnmələrdə yeganə çıxış yolu olaraq qalır.

 

ERXPQ vaxtı duodenal zədələnmələr

ERXPQ vaxtı 0.5-2.5% hallarda 12bb və periampulyar zədələnmələr ola bilər. Duodenal divertikul, pankreatit, striktura, anatomik dəyişikliklər zədələnmə üzün risk amilləridir. ERXPQ zədələnmələrinin yerinə görə 4 növü ayırd edilir:

  • I tip – 12bb ön və yan divarlarının qarın boşluğuna sərbəst perforasiyası.
  • II tip – 12bb-ın retroperitona perforasiyası
  • III tip – xoledoxun və ya pankreatik axacağın perforasiyası
  • IV tip – mikroperforasiyalar (yalançı perforasiya), retroperitoneal hava

Ağırlıq dərəcələri:

  • Yüngül – konservativ müalicə ilə 3-4 gün ərzində düzələn yaralanmalar. Buna adətən mikroperforasiyalar aid edilir
  • Orta – 10 gün ərzində konservativ müalicə ilə düzələnlər. Bunlara kiçik yaralanmalar da deyilir: mənfəzdən kənara çıхan kontrast 1 dəq ərzində itir, KT-də mayе yığılması və sərbəst qaz təyin еdilmir, retroperitonal hava ola bilər. Kiçik yaralanmalar 50-60% hallarda konservativ müalicə ilə sağala bilirlər.
  • Ağır – 10 gündən çox konservativ müalicə və ya əməliyyat edilən zədələnmələr. Bunlara böyük yaralanmalar da deyilir: kontrast mənfəzdən kənara çıхır və 1 dəqiqə müşahidədən sonra davam еdir və ya KT-də rеtropеritonеal və ya intrapеritonеal mayе təyin еdilir və ya pеritonda çoхlu sərbəst qaz, rеtropеritonda dərialtında hətta mеdiastinumda gеniş еmfizеma təyin еdilə bilir.

 

Diaqnostika və müalicəsi

ERXPQ vaxtı duodenal yaralanmaların bir çoxu prosedura vaxtı müəyyən oluna bilir. I tip yaralanmaları endoskopla görmək mümkün olur, retroperitonal perforasiyaları görmək çətin ola bilir. Prosedurdan sonrakı dövrdə klinik əlamətlər (ağrı, peritonit əlamətləri, qarında sərbəst qaz, emfizema, fleqmona), laborator olaraq iltihab (leykositoz, CRP artması) və KT vacib diaqnostik göstəricilərdir (Şəkil 5).

travma img 21

Şəkil 5. ERXPQ-dən sonrakı duodenal yaralanmalarda müalicə yanaşması

 

ЕRХPQ-yə bağlı 12bb pеrforasiyasının diaqnozu еrkən qoyulmalı və müalicə edilməlidir. Pеrforasiya şübhəsi olan хəstələrdə kontrastlı müayinə və KT еdilərək pеrforasiyanın olub-olmadığı ilk saatlarda dəqiqləşdirilməlidir. Kontrastın mənfəzdən kənara çıхması, KT-də intraperitoneal və rеtropеritonda mayе, sərbəst qaz, еmfizеma pеrforasiyanı göstərir. Pеritonit əlamətləri еrkən saatlarda ortaya çıхa bilər, lakin olmaması pеrforasiyanı inkar еtmir.

Sərbəst perforasiya (I tip) əksər hallarda təcili əməliyyat tələb edir. Lakin kiçik perforasiyalar endoskopla kliplənə də bilər (Şəkil 6).

travma img 22

Şəkil 6. Perforasiyanın endoskopik kliplənməsi

 

II və III tip zədələnmələrdə cərrahi müalicə ön planda tutularaq konservativ tədbirlər başladılır: oral qidalanmanın kəsilməsi, parenteral qidalanma, infuziya, nazoduodenal zond, antibiotik və diqqətli müşahidə (leykositlər CRP, KT). Xəstədə başlanğıcda retroperitonal maye, pərçimlənmiş daş, alət parçasının qalması, xolangit varsa və ya müşahidə vaxtı KT də kontrastın kənara çıхması və retroperitoneal maye, sepsis, peritonit əlamətləri baş verərsə təcili cərrahi əməliyyata göstərişdir. Bu qrup xəstələrdə stent, nazobiliar drenaj və digər tədbirlər də tətbiq edilə bilər.

Mikroperforasiyalarda isə xəstə 1-3 gün müşahidə altında saxlanılır və əlamətlər sönərsə evə yazılır.

 

NAZİK BAĞIRSAQ TRAVMASI

 

Nazik bağırsaq həm küt, həm də açıq travmalarda ən çox zədələnən qastrointestinal orqandır.

 

Təsnifatı

Morfologiyasına görə

  • Əzilmə/hematoma
  • Yaralanma
  • Devaskulyarizasiya

 

Nazik bağırsaq travmalarının ağırlıq dərəcələri (Amerika Travma Cərrahiyyəsi Cəmiyyətinin və AİS-90 təsnifatı)

Dərəcə

Açıqlama

Letallıq ehtimalı

I

Əzilmə və ya hematoma – devaskulyarizasiyasız

1-2%

 

Yaralanma – mənfəzə keçməyən

1-2%

 

   

II

Yaralanma – çevrəsinin 50% -dən azını əhatə edən

8-10%

 

   

III

Yaralanma – çevrəsinin 50% -dən çoxunu əhatə edən

8-10%

 

   

IV

Yaralanma – transseksiya

5-50%

 

   

V

Yaralanma – transseksiya və seqmentar defekt

Seqmentar devaskulyarizasiya

5-50%

 

Ağırlaşmaları

  • Qanaxma
  • Peritonit
  • Nazik bağırsaq fistulu

Diaqnostikası

Nazik bağırsaq zədələnmələrinin diaqnozu adətən əməliyyat vaxtı dəqiqləşdirilir. Lakin stabil xəstələrdə əməliyyatdan əvvəl edilən kontrastlı KT nazik bağırsaq zədələnmələrinə yüksək şübhə yarada bilir:

  • pnevmoperitoneum
  • mezenterial hava
  • bağırsağın tamlığının pozulması
  • bağırsaq divarında qalınlaşma
  • mezenterik hematoma
  • qarında sərbəst maye (parenximatoz orqanlarda zədələnmə olmayan halda)
  • kontrastın mənfəzdən və ya damardan kənara çıxması

 

Müalicəsi

Əməliyyat vaxtı nazik bağırsaq və müsariqəsi Treytz bağından ileosekal bucağa qədər yoxlanılır, qanaxmalar dayandırılır, zədələnmələr işarət edilir. Nazik bağırsaq zədələnmələrində cərrahi yanaşma mədə və kolon zədələnmələrində olduğu kimi zədələnmənin xarakterindən və ağırlıq dərəcəsindən asılıdır: hematomaları açma, yaralanmaları tikmə və ya anastomoz, devaskulyarizasiyalarda rezeksiya.

Hematomalar açılır, qanaxma dayandırılır və mənfəzə keçən yaralanmanın olub-olmadığı yoxlanılır.

I-II-III dərəcəli yaralanmalarda yara birincili işlənilir və təkqat və ya ikiqat tikişlərlə tikilir. Bir-birinə yaxın bir neçə yaralanma varsa seqmentar rezeksiya edilə bilər.

IV və V dərəcəli yaralanmalarda bağırsaq seqmentinin rezeksiyası və anastomoz lazım gəlir. Qeyd etmək lazımdır ki, zədələnməyə nəzarət cərrahiyyəsi lazım gələn hallarda kontaminasiyanı önləmək üçün bağırsaq yaraları müvəqqəti tikişlə tikilir, rezeksiya və anastomoz sonrakı mərhələdə edilir.

 

YOĞUN BAĞIRSAQ TRAVMALARI

 

Yoğun bağırsaq ən çox açıq travmalarda zədələnirlər.

Təsnifatı

Morfologiyasına görə

  • Əzilmə/hematoma
  • Yaralanma
  • Devaskulyarizasiya

 

Yoğun bağırsaq travmalarının ağırlıq dərəcələri (Amerika Travma Cərrahiyyəsi Cəmiyyətinin və AİS-90 təsnifatı)

Dərəcə

Açıqlama

Letallıq ehtimalı

I

Əzilmə və ya hematoma – devaskulyarizasiyasız

1-2%

 

Yaralanma – mənfəzə keçməyən

1-2%

 

   

II

Yaralanma – çevrəsinin 50% -dən azını əhatə edən

8-10%

 

   

III

Yaralanma – çevrəsinin 50% -dən çoxunu əhatə edən

8-10%

 

   

IV

Yaralanma – transseksiya

5-50%

 

   

V

Yaralanma – transseksiya və seqmentar defekt

Seqmentar devaskulyarizasiya

5-50%

 

Ağırlaşmaları

  • Qanaxma
  • Peritonit
  • Abses
  • Retroperitoneal və ya retrorektal fleqmona
  • Fistula

 

Diaqnostikası

Yoğun bağırsağın açıq travmalarda zədələnmələri laparotomiya vaxtı təyin edilir. Qapalı travmalararında KT və kolonoskopiya ilə görünə bilir. Lakin stabil xəstələrdə əməliyyatdan əvvəl edilən kontrastlı KT bağırsaq zədələnmələrinə yüksək şübhə yarada bilir (bax yuxarı).

 

Müalicəsi

Əməliyyat vaxtı hemostazdan sonra yoğun bağırsaq diqqətli müayinə edilir, zədələnmələri işarət edilir. Yoğun bağırsaq zədələnmələrində cərrahi yanaşma mədə və nazik bağırsaq zədələnmələrində olduğu kimi zədələnmənin xarakterindən və ağırlıq dərəcəsindən asılıdır: hematomaları açma, yaralanmaları tikmə və ya anastomoz, devaskulyarizasiyalarda rezeksiya.

Kolon divarındakı hematomalar açılır, qanaxma dayandırılır və mənfəzə keçən yaralanmanın olub-olmadığı yoxlanılır.

Çənbər bağırsağın I-II-III dərəcəli yaralanmalarda ilk seçim yaranın birincili işlənməsi və təkqat tikişlərlə tikilməsidir, IV və V dərəcəli yaralanmalarda isə bağırsaq seqmentinin rezeksiyası və anastomoz qoyulmasıdır. Lakin xəstədə davamlı hipotenziya və yayılmış nəcis kontaminasiyası varsa və ya çoxlu transfuziya alıbsa (4 vahiddən çox) tikişlərin buraxma ehtimalı artdığı üçün stoma qoymaq lazım gəlir. Güllə yaralanmalarında devitalizasiya sərhəddini təyin etmək çətin olarsa stoma qoymaq və ya bağırsaq seqmentini bayıra çıxarmaq olar.

Düz bağırsaq zədələnmələrində ilk seçim yaranın tikilməsi və prokimal siqmostomadır. Stomalar 6 həftədən sonra təkrari əməliyyatla əradan qaldırılır.

 

QARACİYƏR TRAVMALARI

 

Qaraciyər qarının küt və açıq travmalarında ən çox zədələnən orqanlardan biridir. Qaraciyər zədələnmələrinin təxminən 80% digər zədələnmələrlə birlikdə rastlanır və təxminən 70-80% yüngül dərəcəli olur.

Təsnifatı

Morfologiyasına görə

  • Əzilmə/hematoma
  • Yaralanma

 

Qaraciyər travmalarının ağırlıq dərəcələri (Amerika Travma Cərrahiyyəsi Cəmiyyətininin və AİS-90 təsnifatı)

Dərəcə

Morfologiyası

Açıqlama

Letallıq ehtimalı

I

Hematoma

Subkapsulyar, səthinin <10% tutan

1-2%

 

Yaralanma

Kapsulun yaralanması, dərinliyi <1 sm

1-2%

 

     

II

Hematoma

Subkapsulyar, səthinin 10-50% tutan

İntraparenximal <10 sm

1-2%

 

Yaralanma

Dərinliyi 1-3 sm, uzunluğu <10 sm

1-2%

 

     

III

Hematoma

Subkapsulyar, səthini sahəsinin >50%

Genişlənən hematoma

Partlamış subkapsulyar və ya parenximal

İntraparenximal >10 sm

8-10%

 

Yaralanma

Dərinliyi >3 sm

8-10%

 

     

IV

Yaralanma

Bir payın 25-75%-ni və ya 1-3 seqmenti əhatə edən parenximal destruksiya

5-50%

 

     

V

Yaralanma

Bir payın 75%-indən və ya 3 seqmentindən çox hissəsini əhatə edən destruksiya

5-50%

 

Vaskulyar yaralanma

Ekstrahepatik venoz zədələnmə (retrohepatik boş vena, böyük qaraciyər venaları)

5-50%

 

     

VI

Vaskulyar yaralanma

Hepatik avulsiyası

100%

 

Ağırlaşmaları

  • Qanaxma
  • Öd peritoniti
  • Bilioma
  • Abses
  • Hemobiliya
  • Arterio-venoz fistul
  • Öd fistulu

 

Diaqnostika

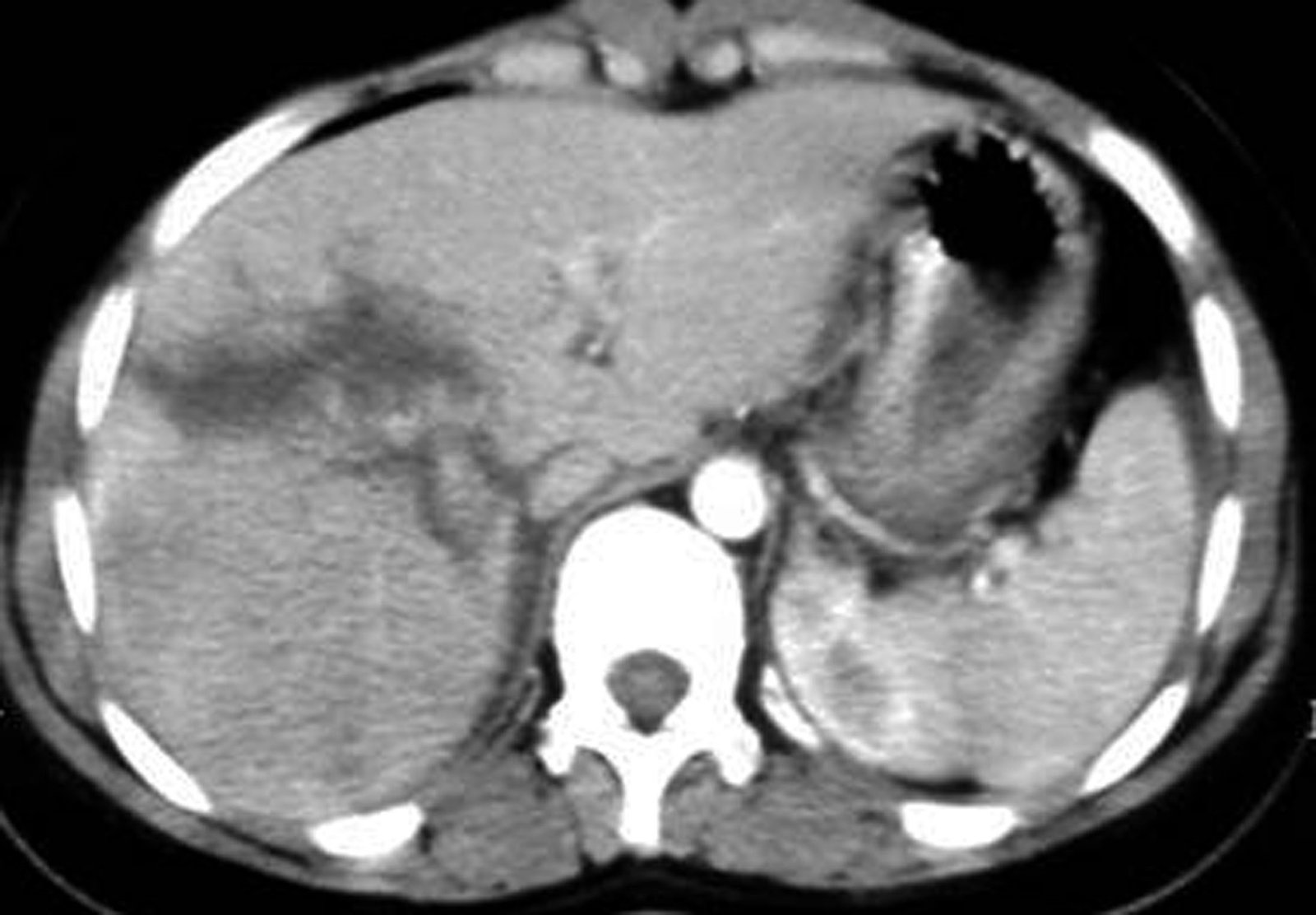
Qaraciyərin açıq zədələnmələri adətən əməliyyat vaxtı dəqiqləşdirilir, lakin USM və KT ilə də bəzi zədələnmələr görünə bilər. Küt zədələnmələrin diaqnozu isə adətən KT ilə qoyulur (Şəkil 7).

 travma img 23  travma img 24

Şəkil 7. Qaraciyərin travmasının KT və intraoperativ görüntüsü

Müalicəsi

Qaraciyər travmalarına yanaşma prinsipləri digər travmalarda olduğu kimidir:

  • ümumi tədbirlər – YADDAŞ qaydası ilə həyati funksiyalara nəzarət və korreksiya
  • yerli tədbirlər – hemostaz, nekroektomiya və bərpa.

 

Müalicə seçimi zədələnmənin xarakterindən asılıdır.

Qaraciyər yaralanmalarında ilk və mütləq tədbir hemostazdır:

  • İstifadə edilən müvəqqəti hemostaz üçün əllə sıxma, tamponada, Pringle manevri, subtotal hepatik devaskulyarizasiya (Pringle manevri + aşağı boş venanın infrahepatik və suprahepatik klemplənməsi), total hepatik devaskulyarizasiya (subtotal devaskulyarizasiya + aorta klemplənməsi. Tamponada qanaxmanı dayandırmırsa, magistral damar zədələnməsi şübhəsi var və bunu bərpa etmək lazımdır. Bunun üçün müvəqqəti hemostaz tədbirləri ilə qanaxma dayandırılır (adətən devaskulyarizasiya) və zədələnən damar tapılıb tikilir.
  • Qanaxmanın daimi dayandırılması üçün koterizasiya, lokal hemostatiklər (süngər, tor, yapışqan və s.) hepatotomiya və damar bağlanması, tikilməsi və embolizasiya tətbiq edilir (Şəkil 8).
  • Koaqulopatiyası olan xəstələrdə hemostaz üçün yeganə effektiv tədbir müvəqqəti tamponadadır (zədələnməyə nəzarət cərrahiyyəsi).

 

travma img 25

Şəkil 8. Qaraciyər ətrafı tamponadası (packing)

 

  • Digər tədbirlər (nekroektomiya, bərpa, biliostaz, drenaj) hemostazdan sonra və ya ikinci əməliyyatda yerinə yetirilir.

 

Qaraciyərin əksər küt zədələnmələri (70-80%) konservativ müalicə oluna bilər. Bunun üçün aşağıdakı üç şərt mütləq təmin olunmalıdır:

  • Xəstə hemodinamik stabil olmalıdır.
  • Qarındaxili digər zədələnmə olmamalıdır.
  • Sıx hemodinamik və görüntüləmə (USM, kontrastlı KT) müşahidəsi olmalıdır.

Bu şərtlərdən ən azı biri ödənilmirsə qeyri-cərrahi yanaşma qəbul edilmir.

KT-də davam edən ekstravazsiya tapılan xəstələrdə embolizasiya etmək olar.

Əməliyyat vaxtı tapılan partlamamış hematomaların əksəriyyətini açmaq lazım deyil, partlamış hematomalar isə yaralanmalar kimi müalicə olunur. Lakin böyüyən və qapı nahiyyəsində tapılan böyük hematomaları açmaq lazım gələ bilir.

Qaraciyər zədələnmələrində iki və ya çox etaplı müdaxilələr lazım gələ bilər.

Qaraciyər avulsiyalarında yeganə həyatqurtarıcı vasitə kimi qaraciyər transplantasiyası lazım gəlir.

 

ÖD YOLLARI ZƏDƏLƏNMƏLƏRI

 

Öd yolları zədələnmələri daha çox açıq travmalarda rast gəlinir, əksər hallarda digər orqanların zədələnmələri ilə birlikdə müşahidə olunur.

Təsnifatı

Morfologiyasına görə

  • Əzilmə/hematoma
  • Yaralanma
  • Avulsiya

 

 

Öd yolları travmalarının ağırlıq dərəcələri (Amerika Travma Cərrahiyyəsi Cəmiyyətininin və AİS-90 təsnifatı)

Dərəcə

Morfologiyası

Açıqlama

Letallıq ehtimalı

I

Hematoma

Öd kisəsinin və ya portal triadanın

1-2%

 

   

1-2%

II

Avulsiya

Öd kisəsinin hissəvi avulsiyası, kisə axarı tamdır

1-2%

 

Yaralanma

Kisənin yaralanması

1-2%

 

     

III

Avulsiya

Kisənin yataqdan tam qopması

8-10%

 

Yaralanma

Kisə axarının yaralanması

8-10%

 

     

IV

Yaralanma

Sağ pay axacağının tam və ya hissəvi yaralanması

8-10%

 

Yaralanma

Sol pay axacağının tam və ya hissəvi yaralanması

8-10%

 

Yaralanma

Qaraciyər axarının və ya xoledoxun hissəvi yaralanması (50%-dən az)

8-10%

 

     

V

Yaralanma

Qaraciyər axarının və ya xoledoxun 50%-də çox kəsilməsi

8-50%

 

Yaralanma

Sağ və sol axarların birlikdə yaralanmaları

8-50%

 

Yaralanma

Xoledoxun intraduodenal və ya intrahepatik hissəsinin yaralanması

8-50%

 

Ağırlaşmaları

  • Öd peritoniti
  • Öd fistula
  • Bilioma
  • Striktura və biliar sirroz
  • Hemobiliya

 

Diaqnostikası

Öd yolları travmalarının diaqnozu adətən əməliyyat vaxtı qoyulur. Əməliyyat olunmayan qapalı travmaları stabil xəstələrdə MRT və ERXPQ faydalı ola bilir. Əməliyyat vaxtı şübhəli xəstələrdə zədələnməni və yerini dəqiqləşdirmək üçün əməliyyatdaxili xolangioqrafiya lazım gəlir.

 

Müalicəsi

Öd kisəsinin hematomalarında, avulsiya və yaralanmalarında (I, II, III dərəcəli) xolesistoektomiya lazımıdr. Öd yolları yaralanmalarında (IV, V) ilk seçim T-drenaj üzərindən yaranın tikilməsidir. Axarların seqmentar defektlərində Ru-tipli ilgəklə bilioenterik anastomoz qoyula bilər. Lakin xoledoxo-duodenostomiya və xolesisto-yeyunostomiya tövsiyə olunmur.

 

MƏDƏALTI VƏZİ TRAVMALARI

MAV travmaları abdominal zədələnmələr arasında az (2%) rast gəlir, daha çox açıq yaralanmalarda görünür, müştərək xarakterli olur və digər orqanların zədələnməsi ilə müşayiət olunur. MAV açıq, qapalı, odlu silahlarla və ERXPQ vaxtı zədələnə bilir.

Təsnifatı

Morfologiyasına görə

  • Əzilmə/hematoma
  • Yaralanma
  • Yaralanma – axacaq və parenxima

 

 

Mədəaltı vəzin travmalarının ağırlıq dərəcələri (Amerika Travma Cərrahiyyəsi Cəmiyyətininin və AİS-90 təsnifatı)

Dərəcə

Morfologiyası

Açıqlama

Letallıq ehtimalı

I

Hematoma

parеnхimada kiçik (< 2 sm) hеmatoma

1-2%

 

Yaralanma

kapsulun yaralanması, axacaq zədələnmir

1-2%

 

     

II

Hematoma

parеnхimada zədələnmə var, aхacaq zədələnməyib

1-2%

 

Yaralanma

kapsula və parenximada yaralanma var, axacaq zədələnməyib

1-2%

 

     

III

Yaralanma

parenximada və axacağın distal hissəsində zədələnmə var

8-10%

 

     

IV

Yaralanma

axacağın proksimal hissəsində zədələnmə var

5-50%

 

     

V

Yaralanma

pankrеas başının və 12bb-ın massiv zədələnməsi

5-50%

 

Ağırlaşmaları

  • Qanaxma
  • Peritonit
  • Abses
  • Pankreatik fistula

 

Diaqnostikası

Açıq travmalarda MAV zədələnməsi laparotomiyada müəyyən olunur. Qapalı travmalarda MAV zədələnməsini müəyyənləşdirmək üçün vaxtaşırı KT və amilaza təyini önəmli yer tutur. Zədələnmənin ağırlıq dərəcəsi və müalicə üsulunun seçimi üçün tomoqrafik üsullar və pankreatik duktoqrafiya vacib şərtdir: MRT, ERXPQ, əməliyyatdaxili duktoqrafiya.

 

Müalicəsi

Müalicə üsulunun seçilməsində zədələnmə növü (açıq, qapalı) və dərəcəsi əsas götürülür.

Mədəaltı vəzin qapalı travmaları konservativ müalicə oluna bilirlər, lakin axacağın vəziyyəti mütləq qiymətləndirilməlidir. Qapalı travmalarda əməliyyata göstərişlər:

  • hemodinamika qeyri-stabil
  • KT-də böyük və artan hematoma, peripankreatik maye
  • peritonit, psevdokist, abses
  • digər orqanların zədələnməsi inkar edilməyən hallar

Açıq travmaların əksəriyyəti təcili əməliyyat olunur. Əməliyyat üsulunun seçimində əsas nöqtə axacaq zədələnməsinin olub-olmaması və yeridir. Ona görə də pankreas yaralanmalarında böyük axacaq mütləq qiymətləndirilməlidir. Bunun üçün əməliyyatdaxili duktoqrafiya gərəkə bilər (əməliyyatdaxili USM, əməliyyatdaxili ERXPQ və ya 12bb-dan və ya xoledoxdan birbaşa xolangiopankreatoqrafiya).

Pankreasda olan hematomaları açmaq, hemostazı təmin etmək və axacaq zədələnməsinin olub-olmadığını dəqiqləşdirmək lazımdır. Çünki hematoma daxilində əsas axacağın və böyük damarın zədələnməsi olarsa pankreatik şirə hematomanı lizisə uğradaraq böyük qanaxmalar törədə bilər.

I və II dərəcəli yaralanmalarda zədələnmə bölgəsi sorucu drenaj edilir. Adətən iki boylama drenaj lazım gəlir.

III dərəcəli zədələnmələrdə (axacaq zədələnməsi mezenterik damarlardan solda yerləşir) distal pankreatektomiya edilir. Xəstə stabildirsə dalaq-qoruyucu distal pankreatektomiya edilə bilər (Şəkil 9A).

IV dərəcəli zədələnmələrdə (axacaq zədələnməsi mezenterik damarlardan sağda yerləşir), nekroektomiyadan sonra axacağın proksimal ucu tikilir, distal hissəyə Ru-tipli pankreato-yeyunostomiya qoyulur (pankreasın mərkəzi rezeksiyası) (Şəkil 9B).

V dərəcəli zədələnmələrdə isə MAV və 12bb zədələnmələrinin müalicə prinsipləri rəhbər tutularaq 3-4-lü drenaj, piloru bağlama, divertikulizasiya və ya mərhələli PDR aparıla bilər.

 travma img 26  travma img 27
Şəkil 9A. MAV travmasında dalaq qoruyucu distal rezeksiya    
  Şəkil 9B. MAV travmasında mərkəzi rezeksiya

                                        

DALAQ TRAVMASI

 

Ümumiyyətlə travmalarda dalaq qaraciyərdən sonra ən çox zədələnən parenximatoz orqandır, küt travmalarda isə ən çox zədələnən orqandır.

Təsnifatı

Morfologiyasına görə

  • Hematoma
  • Yaralanma

 

 

Dalaq travmalarının ağırlıq dərəcələri (Amerika Travma Cərrahiyyəsi Cəmiyyətininin və AİS-90 təsnifatı)

Dərəcə Morfologiyası Açıqlama

Letallıq ehtimalı

I

Hematoma

subkapsulyar, səthinin 10%-dən az sahəsində

1-2%

 

Yaralanma

kapsula yarası, qanaxma yox, dərinliyi 1 sm-dən az

1-2%

 

     

II

Hematoma

subkapsulyar, səthinin 10-50% arası sahəsində

1-2%

 

Yaralanma

kapsula yarası, parenxima dərinliyi 1-3 sm, trabekulyar damarlar zədələnməyib

1-2%

 

     

III

Hematoma

subkapsulyar, səthinin 50% dən çoxunu əhatə edən və ya genişlənən

açılmış subkapsulyar və ya intraparenximal 5 sm-dən böyük və ya genişlənən.

8-10%

 

Yaralanma

3 sm-dən çox parenxima dərinliyi olan və ya trabekulyar damarları zədələnməsi

8-10%

 

     

IV

Yaralanma

dalağın 25%-dən çoxunun devaskulyarizasiyasına səbəb olan seqmentar və ya qapı damar zədələnməsi

5-50%

 

     

V

Yaralanma

dalağı tam devaskulyarizə edən hilus zədələnməsi

5-50%

 

Ağırlaşmaları

  • Qanaxma
  • Abses
  • Splenozis
  • Postsplenik sepsis

 

Diaqnostikası

Soltərəfli qabırğa sınıqlarında və qarındaxili qanaxma və şok əlamətləri olanlarda dalaq zədələnməsinə şübhə daha da artır. Açıq zədələnmələrin diaqnozu adətən əməliyyat vaxtı qoyulur. Küt zədələnmələrin diaqnozu KT ilə və ya əməliyyat vaxtı dəqiqləşdirilir.

 

Müalicəsi

Dalaq zədələnmələrində əsas prinsip qanaxmanı dayandırmaqdır (hemostaz). Hemostaz üçün aşağıdakı tədbirlər mövcuddur:

  • cərrahi üsullar – splenektomiya, sintetik yamaq və torbalar, tamponada və digər
  • dalaq arteriyası embolizasiyası
  • spontan hemostazı gözləmə

Qapalı travmaların əksəriyyəti qeyri-operativ (50-80%) yolla müalicə oluna bilir: hemodinamikası stabil olan və əməliyyat tələb olunmayan digər zədələnmələr yoxdursa xəstələr müşahidə edilir (hemodinamika, KT). Müşahidə vaxtı qanaxma baş verərsə (hemoqlobində düşmə, KT-angioqrafiyada ekstravazasiya) embolizasiya edilir, hemodinamika qeyri-stabillləşirsə əməliyyat edilir.

Açıq travmalarda və hemodinamikası qeyri-stabil xəstələrdə qanaxmanı dayandırmaq üçün təcili əməliyyat lazım gəlir. Əməliyyat vaxtı yaralanmanın ağırlıq dərəcəsindən və xəstənin stabilliyindən asılı olaraq hemostaz üsulu seçilir. Qanamayan kiçik yaralanmalarda əlavə müdaxiləyə ehtiyac yoxdur. Hematomaları açmaq məsləhət deyil, açılmış hematomalar yaralanmalar kimi müalicə olunur. Qeyri-stabil xəstələrdə qanaxma mənbəyi dalaqdırsa ilk seçim splenektomiyadır, lakin koaqulopatiyası olanlarda tamponada edilir (zədələnməyə nəzarət cərrahiyyəsi). Stabil xəstələrdə alternativ hemostaz üsulları da seçilə bilər: sintetik yamaq və torbalar, hissəvi rezeksiya və s. Splenektomiyalarda postsplenik ağırlaşmaların profilaktikası üçün dalaq autotransplantasiyası edilə bilər və ya əməliyyatdan sonra kapsulalı bakteriyalara qarşı immunizasiya etmək olar.

 

RETROPERİTONEAL DAMAR TRAVMALARI

 

Retroperitoneal böyük damarlar dedikdə ilk növbədə aorta və şaxələri, aşağı boş vena və şaxələri, portal vena və şaxələri, qalça damarları və şaxələri nəzərdə tutulur. Retroperitoneal böyük damar zədələnmələri həm açıq, həm də küt travmalarda rast gəlinir, massiv qanaxma və orqan işemiyası törətdikləri üçün həyatı təhlükəli zədələnmələr sayılır.

Təsnifatı

Damarın yerləşdiyi bölgəyə görə

  • I bölgə – mərkəzi bölgə (aorta və şaxələri, aşağı boş vena və şaxələri)
  • II bölgə - yan bölgələr (böyrək damarları)
  • III bölgə - çanaq bölgəsi (qalça damarları və şaxələri)

Yaralanan damara görə

  • abdominal aorta
  • aşağı boş vena
  • günəş kötüyü və şaxələri (qaraciyər, sol mədə və dalaq arteriyaları)
  • portal vena
  • dalaq venası
  • yuxarı çöz arteriyası və venası
  • aşağı çöz arteriyası və venası
  • böyrək arteriyası və venası
  • ümumi, daxili və xarici qalça arteriyası və venası
  • qonadal arteriya və venalar
  • vertebral arteriya və venalar

 

Abdominal damarların travmalarının ağırlıq dərəcələri (Amerika Travma Cərrahiyyəsi Cəmiyyətininin və AİS-90 təsnifatı)

Dərəcə

Açıqlama

Letallıq ehtimalı

I

Yuxarı və aşağı çöz arteriya və venalarının kiçik şaxələri

0

 

Diafraqma arteriya və venası

0

 

Fəqərəarası arteriya və venalar

0

 

Qonadal və ya ovarian arteriya və venalar

0

 

Digər adlandırılmayan kiçik arteriya və venalar

0

 

   

II

Sağ, sol və ya ümüumi qaraciyər arteriyası

8-10%

 

Dalaq arteriyası və venası

8-10%

 

Sağ və ya sol mədə arteriyaları

8-10%

 

Qastroduodenal arteriya

8-10%

 

Aşağı çöz arteriya və venası

8-10%

 

Yuxarı çöz arteriyasının və ya venasının şaxələri

8-10%

 

   

III

Yuxarı çöz venası

8-10%

 

Renal arteriya və vena

8-10%

 

Qalça arteriyası və venası

8-10%

 

Hipoqastrik arteriya və vena

8-10%

 

Aşağı boş venanın infrarenal hissəsi

8-10%

 

   

IV

Yuxarı çöz arteriyası

8-10%

 

Günəş kötüyü

8-10%

 

Aşağı boş venanın infrahepatik-suprarenal hissəsi

8-10%

 

Aortanın infrarenal hissəsi

5-50%

 

   

V

Portal vena

 

 

Qaraciyər venasının ekstrahepatik hissəsi

 

 

Aşağı boş venanın retrohepatik və suprahepatik hissəsi

5-50%

 

Aortanın suprarenal subdifraqmatik hissəsi

5-50%

 

   

V

Yaralanma – transseksiya və seqmentar defekt

Seqmentar devaskulyarizasiya

5-50%

 

Ağırlaşmaları

  • Qanaxma
  • Retroperitoneal hematoma və abdominal kompartman
  • Orqan işemiyası və nekrozu
  • Yalançı anevrizma
  • Arterio-venoz fistula

 

Diaqnostikası

Şok əlamətləri adətən böyük damar zədələnməsinə şübhə yaradır. Açıq zədələnmələrdə diaqnoz adətən əməliyyat vaxtı dədiqləşdirilir. Küt travmalarda stabil xəstələrdə KT angioqrafiya ilə diaqnoz qoyula bilir.

 

Müalicəsi

Abdominal damar zədələnmələrində əsas prinsip qanaxmanı dayandırmaqdan, damara müdaxiləni və orqanın qan təchizatını təmin etməkdən ibarətdir. Bu məqsədlə travmanın mexanizmindən, damarın ölçüsü, təchiz etdiyi orqandan, kollateral imkanından və xəstənin vəziyyətindən asılı olaraq cərrahi (bərpa, liqasiya), invaziv (emolozasiya, stend) və konservativ yanaşmalar seçilə bilər (Şəkil 10).

 

travma img 28

Şəkil 10. İntrabdominal damar travmalarında yanaşma.

 

Açıq zədələnmələr

Açıq zədələnmələrdə ilk növbədə hemostaz, sonra damara giriş təmin edilir və bərpa həyata keçirilir. Bu məqsədlə təcili laparotomiya edilir. Qanaxma əvvəlcə tamponada ilə müvəqqəti dayandırlır. Tamponada və aktiv aspirasiya ilə damara giriş mümkün olmadıqda proksimal nəzarət manevri ─ aortanın diafraqamaaltı nahiyyədə klemplənilməsi lazım gəlir. Bunun üçün qaraciyər-mədə bağı kəsilir, diafraqma ayaqcıqları arasından aorta disseksiya edilir və aorta klempi qoyulur. Bəzən diafraqma ayaqcıqlarının kəsilməsi lazım gəlir. Prosksimal nəzarət üçün alternativ yol aortal balondur. Proksimal nəzarət manevri böyük damarlardan qanaxmaları dayandırılmaq və damarlara müdaxilə şəraiti yaratmaq üçün həyati vacib əhəmiyyət daşıyır.

Müvəqqəti hemostaz əldə edildikdən sonra damar zədələnməsinə girişi təmin edilir. Soldan-ortaya visseral rotasiya manevri ilə (sol kolon,dalaq və pankreas disseksiya edilir və ortaya doğru çəkilir – Mattox manevri) aortaya, günəş kötüyünə, yuxarı çöz arteriyasına, sol böyrək arteriya və venasına, qalça damarlarına müdaxilə üçün yaxşı şərait yaradılır. Sağdan-ortaya visseral rotasiya (sağ kolonun, 12bb-ın və qaraciyərin sağ payının disseksiyası və ortaya çəkilməsi – Catell və Koxer manevrləri) aşağı boş venaya, sağ böyrək damarlarına və qalça damarlarına geniş müdaxilə imkanı yaradır. Nazik bağırsaq müsariqəsinin sol tərəfindən transperitoneal giriş aortanın infrarenal hissəsinə və qalça damarlarına müdaxilə üçün imkan yaradır.

Müvəqqəti hemostaz və damara müdaxilə imkanı yaradıldıqdan sonra zədələnən damardan asılı olaraq bərpa (tikiş, anastomoz və greft) və ya liqasiya həyata keçirilir:

  • Aorta və qalça arteriyalarının yaralanmaları bərpa edilməlidir. Bu məqsədlə yan tikiş və ya qreftlər (süni və ya venoz) istifadə edilə bilir. Zədələnmə bölgəsində ağır bağırsaq kontaminasiyası varsa kənardan yanyol tətbiq edilə bilir.
  • Yuxarı çöz arteriyasını bərpa etmək lazımdır.
  • Qaraciyər arteriyasının, portal vena və yuxarı çöz venasının, böyrək arteriya və venasının, aşağı boş vena və qalça damarlarının bərpası (yan tikiş, rezeksiya-anastomoz və ya greft) ilk seçimdir, bəzən liqasiya tətbiq edilə bilir.
  • Günəş kötüyü, dalaq və sol mədə arteriyaları bağlana bilər. Dalaq arteriyası bağlanarsa splenektomiya lazım gəlir.
  • Qonadal, aşağı epiqastrik, lomber, diafrqamal, daxili qalça arteriya və venaları adətən bağlanılır.

 

Qapalı zədələnmələr

Küt travmalar adətən əməliyyat vaxtı və ya KT-də retroperitoneal hematoma şəklində ortaya çıxır. Retroperitoneal hematomalara yanaşma prinsipi hematomanın bölgəsindən asılıdır: mərkəzi hematomaları mütləq açmaq, yan və çanaq hematomalarını isə göstərişə görə açmaq.

I bölgə - mərkəzi hematomalarda aorta və aşağı boş vena və şaxələrinin zədələnməsini göstərir, ona görə də açılmalı və damarlar bərpa olunmalıdır. Köndələn müsariqədən yuxarıdakı hematomalarda suprarenal aorta, günəş kötüyü, yuxarı çöz arteriyası və renal damarların zədələnmə ehtimalı var və müdaxilə üçün soldan-ortaya visseral rotasiya manevri seçilir. Müdaxilədən əvvəl subdiafraqmatik aortanı nəzarətə götürmək lazım gəlir. Köndələn çözdən aşağıdakı mərkəzi hematomalarda infrarenal aorta və aşağı boş vena zədələnmələrinə işarət edir və müsariqə kökündən sola doğru transperitoneal giriş lazım gəlir.

II bölgə - yan hematomalar adətən böyrək arteriya və venalarının, böyrəyin özünün zədələnmələrində rast gəlinir. Yan hematomalar böyümürsə, partlamayıbsa və ya əməliyyat vaxtı pulsasiya etmirsə açmaq lazım deyil, zədələnən tərəfdəki və əks-tərəfdəki böyrəyin funksiyasını qiymətləndirmək lazımdır. Zədələnən tərəfdəki böyrək funksiya gəstərmirsə və 6 saatdan az vaxt keçibsə angioqrafik üsullarla arteriyaya müdəxilə etmək olar. Əksər halda hissəvi və ya total nefrektomiya lazım gələ bilir.

III bölgə - çanaq hematomaları adətən çanaq sümüyü sınıqlarında qalça damarlarının, şaxələrinin və venoz kələfin zədələnməsi nəticəsində meydana gəlir. Əməliyyat vaxtı tapılan çanaq hematomalarını açmaq tövsiyə edilmir, çanaq fiksasiyası edilməli və əməliyyatdan sonra magistral damar zədələnməsinə görə angioqrafiya edilməsi məsləhətdir. Lakin qalça arteriyasının zədələnməsinə şübhə olduqda (bud arteriyasında pulsasiyanın itməsi, böyüyən, pulsasiya edən) və partlamış hematomaları açmaq lazım gəlir. Belə hallarda zədələnən damar bərpa olunduqdan sonra venoz kələfdən qanaxmanı dayandırmaq üçün tamponada gərəkə bilir. Çanaq sümüklərinin sınıqlarında klinik və KT ilə tapılan hematomalarda qanaxmanı dayandırmaq üçün ilk seçim çanağı eksternal fiksasiya etmək və angioqrafik hemostazdır (embolizasiya və ya stend).

 

GENİTOURİNAR TRAVMA

 

Sidik ifrazat və cinsi orqanların zədələnmələri adətən digər orqan zədələnmələri ilə birlikdə rast gəlinir, morfoloji olaraq hematoma-əzilmə və yaralanma şəkilində ola bilər.

Sidik ifrazat sistemi (SİS) zədələnmələri xarakterik olaraq makro- və ya mikrohematuriya əlamətləri ilə büruzə verir, az hallarda hemorragik şok görülə bilir. Hematuriyanın dərəcəsi ilə zədələnmə dərəcəsi arasında paralellik yoxdur. Böyrəklərin zədələnmələrində retroperitoneal hematoma, sidik axarı zədələnmələrində retroperitoneal ödem, sidik kisəsi yaralanmalarında isə peritoneal maye əlamətləri ortaya çıxa bilir. Böyrəklərin, sidik axarlarının və sidik kisəsinin zədələnmələrini dəqiqləşdirmək üçün kontrastlı KT, sidik kanalı zədələnmələrində isə retroqrad uretroqram və endoskopiya lazımdır.

Böyrək zədələnməsi. Açıq travmalarda sidikdə hematuriya böyrək zədələnməsinə şübhə yaradır, lakin zədələnməni dəqiqləşdirmək və əks tərəfdəki böyrəyin funksiyasını qiymətləndirmək üçün stabil xəstələrdə kontrastlı KT edilir. Əks tərəfdəki böyrəyin funksiyası yoxdursa zədələnən böyrəyi maksimal dərəcədə qorumaq lazımdır.

Böyrək travmalarında böyrəkqoruyucu konservativ, azinvaziv və cərrahi müalicələri ilk planda tutmaq, nefrektomiyanı selektiv xəstələrdə aparmaq və bu zaman əks tərəfdəki böyrəyin funksiyasını bilmək tövsiyə olunur. Böyrəyin qapalı travmalarında əksər hallarda konservativ müalicə fayda verir, lakin 10% hallarda qanaxmanı dayandırmaq üçün əməliyyat və ya embolizasiya gərəkə bilir: böyüyən və ya pulsasiya edən perirenal hematoma, böyrək arteriyası zədələnməsi, böyrək avulsiyası.

Əməliyyat vaxtı böyrək kapsulunu açmaq və hərtərəfli təftiş etmək göstərişə görə aparılır: böyrək bölgəsinə keçən və qanaxan yara, böyüyən, pulsasiya edən və ya partlamış retroperitoneal hematomalar, böyrək avulsiyası. Əməliyyat vaxtı nefrektomiya qərarını verərkən mütləq əks tərəfdəki böyrək barədə məlumat lazımdır. Bunun üçün sidik ifrazı və ya indikokarmin sınaqları, hətta intraopertiv sekretor uroqrafiya aparıla bilər. Nefrektomiya böyrəyin destruksiyasında, böyrək avulsiyasında, funkiyasını itirmiş vəziyyətlərdə tətbiq edilir.

Sidik axarı yaralanmalarını əməliyyatdan əvvəl kontrastlı KT ilə, əməliyyat vaxtı isə venadaxili indikokarmin və ya uretradaxili metilen mavisi vurmaqla yoxlamaq olar. Müalicə üçün yaralanmanın yerinə görə müdaxilə seçilir: aşağı üçdə birinin yaralanmalarında reimplantasiya, orta və yuxarı üçdə birinin zədələnmələrində isə stend üzərindən yaranın tikilməsi və ya urtero-uretroanastomoz ilk seçimdir. Anastomoz piyliklə örtülə bilər.

Sidik kisəsi yaralanmalarının əksəriyyəti makroskopik hematuriya ilə büruzə verir. Diaqnozu dəqiqləşdirmək üçün KT sistoqrafiya edilir (sidik kisəsinə qoyulan Foley kateterindən 3-5%-li kontrast verilir və KT çəkilir). KT sistoqrafiya makroskopik hematuriyası və çanaq sınıqlarında mütləq edilməlidir. Sidik kisəsi zədələnmələrdə yanaşma prinsipinə görə ekstravazasiya yerinə əsaslanaraq yanaşma seçilir: intraperitoneal ekstravazasiyalarda cərrahi bərpa, ekstraperitoneal ekstravazasiyalarda isə konservativ müalicə ön planda tutulur. İntraperitoneal ekstravazasiya görünən açıq yaralanmalarda təcili cərrahi bərpa lazımdır. Ekstraperitoneal ekstravazasiya görünən küt travmalarda əvvəlcə konservativ müalicə aparılır – sidik kateteri qoyur, 10 gün gözlənilir. Cərrahi müalicə 3 həftədən çox kateter müalicəsi ilə sağalmayan yaralanmalarda, sidik kisəsi boyunu zədələnmələrində, yanaşı rektal, vaginal zədələnmələrdə və ya çanaq sümüyününü cərrahi fiksasiyası lazım olduqda aparılır.

Sidik kanalı zədələnmələri ən çox çanaq sümüklərinin sınıqlarında rast gəlinir (5%). Sidik kanalının xarici dəliyində qan görünməsi, xayada şişkinlik və qançırlar, rektal müayinədə hematoma kanal zədələnməsinə yüksək şübhə yaradır və dəqiqləşdirici müayinə üçün retroqrad uretroqrama edilir. Sidik kanalı zədələnmələrində əsas prinsip sidik kateteri ilə yaranın sağalmasını təmin etmək və gec dövrdə (3-6 ay sonra) cərrahi bərpa etməkdən ibarətdir. Zədələnmə yerindən və dərəcəsindən asılı olaraq yanaşma seçilir. Ön hissə zədələnmələrində və arxa hissənin hissəvi yaralanmalarında ehtiyyatla Foley kateteri qoyulur. Arxa hissənin tam zədələnməsində isə əvvəl episistostoma qoyulur, 72 saat sonra endoskopiyanın köməyi ilə Foley kateteri yerləşdirilir. Hər üç halda da kəskin fazada cərrahi bərpa tövsiyə edilmir, kateter 3-6 ay saxlanıldıqdan sonra cərrahi bərpa yerinə yetirilir.

Uşaqlıq travmaları nisbətən az rast gəlinir. Yaralanmaların əksəriyyətində sorulan saplarla tikmək faydalı olur. Ağır dərəcəli yaralanmalarında və destruksiyalarında histerektomiya gərəkə bilir. Hamilələrdə qarın travmaları uşaqlıq zədələnmələrinə, plasentanın qopmasına, fetusun ölümünə və qanaxmalara səbəb ola bilir. Ona görə də ciddi obstetrik və cərrahi nəzarət edilməlidir. Qanaxma və fetal ölüm Keysəriyyə, hətta histerektomiya gərəkdirə bilər.

 

Özət

Travmalarda qarın ən çox zədələnmə bölgələrindən biridir və travmalara bağlı ölümlərin təxminən 1/3 qarındaxili zədələnmələrin payına düşür (qarındaxili qanaxma, boşluqlu orqan zədələnmələri).

Qarın travmasına diaqnostik yanaşma. Qarın travmasında xəstənin stabil olub-olmamasından asılı olmayaraq əvvəlcə standart ardıcıllıqla (YADDAŞ) birinci yoxlama təkrarlanır, stabillik qiymətləndirilir və gərəkərsə stabilləşdirmə tədbirləri həyata keçirilir. Bu məqsədlə klinik müayinə, USM (FAST) və stabil xəstələrdə KT, açıq yaraların təftişi edilir, əlavə olaraq endoskopiya, laparoskopiya, laborator və digər müayinələr aparıla bilər. Qarın müayinəsində ilk növbədə təcili laparotomiyaya göstərişlər axtarılır: qarındaxili qanaxma və boşluqlu orqan zədələnmələri

  • qeyri-stabil xəstədə açıq və ya qapalı qarın travması
  • stabil xəstədə boşluqlu orqan və ya böyük damar zədələnmələri
  • qarın boşluğuna keçən açıq yaralanmalar
  • qarının güllə yaralanmaları
  • peritonit və perforasiya əlamətləri

Stabil qapalı travmalarda parenximatoz yaralanmaları USM və KT ilə izlənilir.

Əməliyyat prinsipləri. Qarın travmalarında orta laparotomiya ilk seçimdir, stabil xəstələrdə laparoskopiya da tətbiq edilə bilər. Əməliyyatın vaxtı əvvəl qanaxma dayandırlır, sonra kontaminasiya aradan qaldırılır (bərpa). Əməliyyat vaxtı qanaxmanı daimi dayandırmaq mümkün olmursa zədələnməyə nəzarət cərrahiyyəsi tətbiq edilir (tamponada, 24-48 saat gözləmə, sonra çıxarma və bərpa). Bərpa işləminin xarakteri zədələnmənin yerindən və dərəcəsindən asılıdır. Boşluqlu orqan yaralanmaları birincili işlənilir, tikilir, hematomalarını açmaq və qanaxan damarları tikmək lazımdır (qida borusu və 12bb hematomaları bundan istisnadır), destruksiyalarında isə rezeksiya lazım gəlir. Parenximatoz orqanların yaralanmalarında hemostaz edilir, avulsiyalarında rezeksiya, ektomiya (dalaq) hətta transplantasiya (qaraciyər) aparıla bilər, hemaptomalarını isə açmaq lazım deyil. Damarlar yaralanmalarında təcili əməliyyat və bərpa lazımdır (açıq zədələnmə və mərkəzi hematomalar).

 

Qarın travması üzrə suallar

N.Y.Bayramov, Ş.Ə.Məmmədova

Suallar

Cavablar

Qarının açıq yaralanmalarının növləri hansılardır?

  • daxilə keçməyən (1/3)
  • daxilə keçən, lakin qarındaxili zədələnmə törətməyən (1/3)
  • daxilə keçən və qarındaxili orqan zədələnməsi törədən (1/3)

Qarın divarında yaranın daxilə keçdiyini göstərən əlamətlər nələrdir?

  • tək qarın zədələnməsi olan qeyri-stabil xəstə
  • yarada qarındaxili orqanların görünməsi
  • yaradan orqan möhtəviyyatının gəlməsi
  • diffuz peritonit və sepsis əlamətləri
  • qaraciyər kütlüyünün itməsi
  • qarının dimanikada böyüməsi
  • qarının güllə yaralanması
  • USM və ya KT də qarında artan maye

Qarının açıq yaralanmalarında xəstəyə ümumi yanaşma prinsipləri hansılardır?

  • təcili laparotomiya və ya laparoskopiyaya – daxilə keçən yaralar
  • yaranın genişləndirilməsi və təftişi, gərəkərsə KT – daxilə keçməyən yaralar

Odlu silah yayralanmalarında xəstələrə ümumi yanaşma prinsipləri hansılardır?

stabil və peritonit əlamətləri olmayan xəstələrdə üçlü-kontrastlı KT ilə qeyri-operativ izləmə

Qarının küt travmalarında ümumi yanaşma prinsipləri hansılardır?

  • təcili laparotomiya - Qeyri-stabil və klinik əlamətləri olan xəstələrdə
  • KT - stabil, çoxlu travması olan xəstələrdə

Qarın travmalarında təcili laparotomiyaya göstərilər nələrdir?

  • hemodinamikası qeyri-stabil, açıq və ya qapalı qarın travması
  • qarın boşluğuna keçən açıq yaralanmalar
  • küt travmalı xəstələrdə boşluqlu orqan zədələnməsi və ya magistral damar zədələnməsi
  • peritonit və perforasiya əlamətləri

Hemodinamikası stabil olan küt travmalı xəstələrdə parenximatoz orqan zədələnməsi varsa hansı tədbirlər görülməlidir?

  • izləmək
  • qanaxma davam edərsə laparotomiya və ya angioqrafik müdaxilələr

Boşluqlu orqan zədələnmələrində əməliyyat üsulları hansılardır?

  • I-II-III dərəcəli zədələnmələrdə birincili işlənmə, tikiş (köndələn)
  • rezeksiya + anastomoz

Boşluqlu orqan hematomalarında ümumi yanaşma prinsipləri nələrdir?

Hematoma açılmalı, hemostaz təmin edilməli və perforasiya yoxlanmalıdır

Dalaq və qaraciyər hematomalarında cərrahi əməliyyata göstərişlər nələrdir?

  • böyük damar zədələnməsi əlamətləri (böyümə, pulsasiya)
  • hematomanın partlaması

Retroperitoneal hematomalara ümumi yanaşma prinsipləri nələrdir?

  • mərkəzi hematomalar açılmalı
  • yan və çanaq hematomalarında qalça və ya böyrək arteriyasının zədələnməsi varsa açılmalı

Mədə travmalarının diaqnostik üsulları nələrdir?

  • nazoqastrik zonddan qanlı ifrazatın gəlməsi
  • USM-də qarında maye,
  • KT-də qarındaxili hava və kontrast ekstravazasiya

Kəmər simptomu nədir və nə zaman müşahidə olunur?

Qarının aşağı nahiyəsində kəmərəbənzər ekximozdur və nazik bağırsaq perforasiyalarında müşahidə oluna bilər

Duodenal travmalarının klinik əlamətləri nələrdir?

  • keçməzlik əlamətləri - hematoma
  • qanaxma, peritonit və retroperitonal fleqmona əlamətləri

Duodenal travmalarının diaqnostik üsulları nələrdir?

kontrastlı KT və əməliyyat vaxtı diaqnostika

Duodenal travmalarının müalicə üsulları hansılardır?

  • Hematoma – NQZ və 2 həftə izləmə, keçməzlik davam edərsə əməliyyat
  • Mənfəzə keçməyən yara - tikiş, NQZ, drenaj
  • Mənfəzə keçən yara- əlavə olaraq kənarlaşdırma tədbirləri
  • Ampula zədələnmələri – stend və ya PDR

Kənarlaşdırma tədbirləri nədir?

12bb-a tökülən mədə, öd və pankreas şirələrini kənarlaşdırılması, bağırsağın həzm traktından kənarlaşdırılması

Kənarlaşdırma tədbirlərinə nələr aiddir?

  • dekompressiya
  • piloru bağlama
  • divertikulizasiya

Kənarlaşdırma tədbirləri nə zaman aparılmalıdır?

Tikiş və ya anastomoz buraxması riski yüksəkdirsə

ERXPQ vaxtı duodenal zədələnmələrin hansı ağırlıq dərəcələri var?

  • Yüngül – mikroperforasiya
  • Orta – kiçik yaralanmalar
  • Ağır – böyük yaralanmalar - rеtropеritonеal və ya intrapеritonеal mayе

ERXPQ vaxtı duodenal zədələnmələrin müalicə üsulları hansılardır?

  • Yüngül - 3-4 gün ərzində konservativ müalicə
  • Orta – 10 gün ərzində konservativ müalicə
  • Ağır - 10 gündən çox konservativ müalicə və ya əməliyyat

Qaraciyər zədələnmələrinin diaqnostika üsulları hansılardır?

  • açıq zədələnmələri əməliyyat vaxtı
  • USM və KT
  • Küt zədələnmələr KT

Qaraciyər zədələnmələrinin müalicə üsulları hansılardır?

  • Hemostaz
  • küt zədələnmələrdə - konservativ müalicə
  • KT-də davam edən ekstravazsiya tapılarsa embolizasiya
  • partlamış hematomalarda əməliyyat
  • böyüyən və qapı nahiyyəsində tapılan böyük hematomaları açmalı
  • Qaraciyər avulsiyalarında – qaraciyər transplantasiyası

Qaraciyər travmalarında konservativ müalicə üçün hansı şərtlər var?

  • Xəstə hemodinamik stabil olmalı
  • Qarındaxili digər zədələnmə olmamalı
  • Sıx hemodinamik və görüntüləmə müşahidəsi olmalı

Öd yolları zədələnmələrinin diaqnostik üsulları hansılardır?

  • əməliyyatdaxili xolangioqrafiya
  • stabil xəstələrdə MRT və ERXPQ

Öd yolları zədələnmələrinin müalicə üsulları hansılardır?

  • Xolesistoektomiya - öd kisəsinin hematomalarında, avulsiya zamanı
  • Ru-tipli ilgəklə bilioenterik anastomoz - axarların seqmentar defektlərində
  • T-drenaj üzərindən yaranın tikilmə - IV, V dərəcəli yaralanmalarda

Mədəaltı vəz travmalarında diaqnostika üsulları hansılardır?

  • laparotomiya zamanı
  • vaxtaşırı KT və amilaza təyini
  • pankreatik duktoqrafiya - MRT, ERXPQ, əməliyyatdaxili duktoqrafiya

Mədəaltı vəz travmalarında müalicə üsulları hansılardır?

  • konservativ müalicə - qapalı travmalarda
  • təcili əməliyyat - açıq travmalar

Mədəaltı vəz hematomalarında yanaşma prinsipi necə olmalıdır?

Hematoma açılmalı, hemostaz təmin edilməli, axacaq zədələnməsi dəqiqləşdirilməli

Mədəaltı vəz yaralanmalarında yanaşma prinsipi necə olmalıdır?

I, II dərəcə – sorucu drenaj

III dərəcə – distal pankreatotomiya

IV dərəcə – nekroektomiya, Ru-tipli pankreato-yeyunostomiya

V dərəcə - PDR

Mədəaltı vəzin qapalı travmalarında əməliyyata göstərişlər nələrdir?

  • hemodinamika qeyri-stabil
  • KT-də böyük və artan hematoma, peripankreatik maye
  • peritonit, psevdokist, abses
  • digər orqanların zədələnməsi inkar edilməyən hallar

Dalaq travmalarının diaqnostika üsulları hansılardır?

  • əməliyyat vaxtı
  • KT

Dalaq travmalarının müalicə üsulları hansılardır?

  • Müşahidə - hemodinamika stabil olan xəstələrdə
  • Təcili əməliyyat – qeyri-stabil xəstələrdə

Sidik axarı yaralanmalarında diaqnostika üsulları hansılardır?

  • əməliyyatdan əvvəl kontrastlı KT
  • əməliyyat vaxtı venadaxili indikokarmin və ya uretradaxili metilen mavisi vurmaq

Sidik axarı yaralanmalarında əməliyyat üsulları hansılardır?

  • aşağı 1/3-də - reimplantasiya
  • orta və yuxarı 1/3-də - stend üzərindən yaranın tikilməsi və ya urtero-uretroanastomoz

Sidik kisəsi yaralanmalarında diaqnostika üsulları hansılardır?

  • makroskopik hematuriya, peritoneal maye əlamətləri
  • KT sistoqrafiya

Sidik kisəsi yaralanmalarında müalicə üsulları hansılardır?

  • intraperitoneal ekstravazasiyalarda cərrahi bərpa
  • ekstraperitoneal ekstravazasiyalarda konservativ müalicə

Sidik kisəsi yaralanmalarında cərrahi fiksasiyaya göstərişlər nələrdir?

  • 3 həftədən çox katater müalicəsi ilə sağalmayan yaralanmalarda
  • sidik kisəsi boyunu zədələnmələrində
  • yanaşı rektal, vaginal zədələnmələrdə

Sidik kanalı zədələnmələrinin diaqnostik üsulları hansılardır?

  • Sidik kanalının xarici dəliyində qan görünməsi, xayada şişkinlik və qançırlar, rektal müayinədə hematoma əlamətləri
  • retroqrad uretroqrama

Sidik kanalı zədələnmələrinin müalicə üsulları hansılardır?

  • sidik kateteri ilə yaranın sağalmasını təmin etmək (3-6 ay) və ya epistoma
  • cərrahi bərpa

Böyrək travmalarında müalicə üsulları hansılardır?

  • böyrəkqoruyucu konservativ
  • cərrahi müalicə

Böyrək travmalarında böyrək kapsulunun açılmasına göstərişlər nələrdir?

  • böyüyən və ya pulsasiya edən perirenal hematoma
  • böyrək arteriyası zədələnməsi
  • böyrək avulsiyası

Uşaqlıq travmalarında müalicə üsulları hansılardır?

  • histerektomiya - ağır dərəcəli yaralanmalarında və destruksiyalarında, hamilə qadınlarda qanaxma və fetal ölüm zamanı
  • hamilələrdə ciddi obstetrik və cərrahi nəzarət
 

DÖŞ QƏFƏSİ ZƏDƏLƏNMƏLƏRİ

N.Y.Bayramov, F.M.Qapaqov

“Travmanın nəticəsi = anatomik zədələnmə + funksional pozulma + xəstənin rezervi”

 

Travmalarda döş qəfəsi ən çox zədələnmə bölgələrindən biridir və travmalara bağlı ölümlərin təxminən yarısı döş qəfəsi zədələnmələri ilə əlaqədar baş verir (hava yolları tıxanması, gərgin pnevmotoraks, açıq hemotoraks, yelkən döş qəfəsi, massiv hemotoraks, ürək tamponadası).

 

Təsnifatı

Mexanizminə görə

  • Açıq
  • Qapalı

Yerinə görə

  • döş divarı zədələnmələri
  • plevra zədələnmələri
  • ağciyər zədələnmələri
  • traxeya-bronx zədələnmələri
  • ürək zədələnmələri
  • damar zədələnmələri
  • qida borusu zədələnmələri
  • diafraqma zədələnmələri
  • döş axacağı zədələnmələri

Ağırlıq dərəcəsinə görə

hər orqan üçün ayrılıqda verilir

 

Döş qəfəsi travmasına ümumi yanaşma

Döş qəfəsi travmasında xəstənin stabil olub-olmamasından asılı olmayaraq əvvəlcə standart ardıcıllıqla (YADDAŞ) birinci yoxlama təkrarlanaraq stabillik qiymətləndirilir və gərəkərsə stabilləşdirmə tədbirləri həyata keçirilir (Şəkil 1). Döş qəfəsi travmalarında ilk növbədə aşağıdakı həyatı təhlükəli zədələnmələr yoxlanılmalı və aradan qaldırılmalıdır:

  • hava yolları tıxanması – endotraxeal intubasiya
  • gərgin pnevmotoraks – plevral drenaj
  • açıq pnevmotoraks – plevral drenaj
  • yelkən döş qəfəsi – mexaniki ventilyasiya
  • massiv hemotoraks – torakotomiya
  • ürək tamponadası – perikardiosentez və torakotomiya
  • böyük damar zədələnmələri – torakotomiya, angioqrafik müadaxilələr
  • ağciyər əzilməsi – mexaniki ventilyasiya

Xəstə stabildirsə zədələnmələri dəqiqləşdirmək və gözdən qaçırmamaq üçün ikinci yoxlama (“təpədən dırnağa”) yenidən təkrarlanır (üçüncü yoxlama). Bundan sonra döş qəfəsi travmasının xarakteri, zədələnən orqan və ağırlıq dərəcəsi müəyyənləşdirilir. Bu məqsədlə klinik müayinə və stabil xəstələrdə KT edilir. Bu iki standart müayinəyə əlavə olaraq EKQ, exokardioqrafiya, ezofaqoskopiya, bronxoskopiya, laborator və digər müayinələr aparıla bilər. Döş qəfəsi zədələnmələrində digər orqanlarda, xüsusən də abdominal və boyun orqanlarında zədələnmə ehtimalı yüksəkdir. Ona görə də belə xəstələrdə qarın və boyun diqqətli klinik müayinə və KT edilməlidir.

 

 

Şəkil 1. Döş qəfəsi travmasında yanaşma

 

 

Döş divarı zədələnmələri

 

Təsnifatı

Mexanizminə görə

  • açıq
  • qapalı

Morfologiyasına görə

  • yaralanma
  • əzilmə
  • sınıq

Zədələnən orqana görə

  • yumşaq toxuma əzilmələri
  • qabırğa sınıqları
  • kürək sümüyü sınıqları
  • yelkən döş qəfəsi
  • döş sümüyü sınığı
  • körpücük sümüyü sınığı və ya çıxığı

 

Unutmamaq lazımdır ki, döş divarı zədələnmələrində döşdaxili və qarındaxili orqanların zədələnmə ehtimalı və hipoksiya çox yüksəkdir. Ona görə də bütün xəstələrdə, döşdaxili orqanlar yoxlanılmalıdır.

 

Döş divarı travmalarının ağırlıq dərəcələri (Amerika Travma Cərrahiyyəsi Cəmiyyətininin və AİS-90 təsnifatı)

Dərəcə

Morfologiyası

Açıqlama

Letallıq ehtimalı (%)

I

Əzilmə

İstənilən ölçüdə

0%

 

Yara

Dəri və darialtı toxuma

0%

 

Sınıq

3-dən az qabırğa sınığı

0-2%

 

 

Yerdəyişməmiş körpücük sınığı

0-2%

 

 

 

 

II

Yara

Dəri, dərialtı və əzələni əhatə edən

0%

 

Sınıq

3-dən çox qabırğanın qapalı sınığı

1-10%

 

 

Körpücüyün açıq və ya yerdəyişmiş sınığı

1-2%

 

 

Döş sümüyünün qapalı yerdəyişməmiş sınığı

1-2%

 

 

Kürək sümüyünün cismində qapalı sınıq

1-2%

 

 

 

 

III

Yara

Plevraya keçən

1-2%

 

Sınıq

Döş sümüyünün açıq və ya yerdəyişmiş sınığı

1-2%

 

 

Yelkən döş sümüyü

5-50%

 

 

Təktərəfli yelkən seqment (3 dən az qabırğa)

5-50%

 

 

 

 

IV

Yara

Döş divarının qopması (defekti)

5-50%

 

Sınıq

Təktərəfli yelkən döş qəfəsi (3-dən çox qabırğanın 2 dən çox yerdə sınığı)

5-50%

 

 

 

 

V

Sınıq

İkitərəfli yelkən döş qəfəsi

8-50%

 

 

Diaqnozu və müalicəsi

Döş divarı yaraları

Döş divarı yaralanmalarında yara təftiş edilir, daxilə keçmirsə birincili işlənilir və tikilir. Plevraya keçən yaralarda plevral denaj qoyulur, yara işlənilir, tikilir və döşdaxili orqan zədələnməsinə uyğun müalicə edilir. Döş divarının böyük defektlərdə muskulo-kutan dilçəklər və ya prostetik torlar istifadə edilir.

Yumşaq toxuma əzilmələri

Döş divarı hematomalarında əsasən nəzarət edilir. Böyüyən hematomalarda cərrahi müdaxilə və qanayan damarın liqasiyası lazım gəlir. Hematomalar irinləyərsə drenaj edilir.

Qabırğa sınıqları

Qabırğa sınıqları ağrı törədir, plevra, ağciyər və damar zədələnməsinə səbəb ola bilir, atelektaz və pnevmoniya kimi ağırlaşmalara gətirib çıxara bilir.

Qabırğa sınıqları klinik olaraq nəfəsalmada ağrı, palpator xırıltı əlamətləri ilə büruzə verir, yanaşı olaraq plevra, ağciyər və damar zədələnmə əlamətləri də ola bilir (pnevmotoraks, emfizema, hemotoraks). Diaqnozu rentgenlə və ya KT ilə dəqiqləşdirilir. Ağrıkəsici əsas müalicədir. Bu məqsədlə analgetiklər və interkostal və ya epidural blokada lazım gəlir. Atelektazın və pnevmoniyanın profilaktikası üçün bronxial tualet unudulmamalıdır.

Döş sümüyü sınığı

Döş sümüyünün sınığı klinik olaraq tənəffüs aktında və palpator ağrı ilə büruzə verir. Diaqnozu KT ilə dəqiqləşdirilir. Yerdəyişməyən sınıqlarda konservativ müalicə (ağrıkəsici), yerdəyişən sınıqlarda isə cərrahi korreksiya  edilə bilər.

Kürək sümüyü sınıqlarının diaqnozu KT və ya rentgenlə qoyulur. Müalicəsi əsasən konservativdir.

Körpücük sümüyü sınığı

Körpücük sümüyü sınığı təhlükəli zədələnmələrdən sayılır, çünki damar və ağciyər zədələnmələrinə səbəb ola bilir. Klinik olaraq ağrı və çiyində deformasiya ilə büruzə verir. Rentgen və KT diaqnozu dəqiqləşdirir. Müalicəsi üçün cərrahi korreksiya ilk planda tutulur. 

Yelkən döş qəfəsi barədə məlumat əvvəlki bölümdə verilmişdir.

 

Ağciyər travmaları

 

Təsnifatı

Mexanizminə görə

  • açıq
  • qapalı

Morfologiyasına görə

  • yaralanma (yırtılma) – parenxima, bronx və damar
  • əzilmə
  • sınıq

 

Ağciyər zədələnmələrinin ağırlıq dərəcələri (Amerika Travma Cərrahiyyəsi Cəmiyyətininin və AIS-90 təsnifatları)

Dərəcə

Zədələnmə tipi

Açıqlama

Letallıq ehtimalı (%)

I

Əzilmə

Təktərəfli, 1 paydan az sahədə

8-10%

 

 

 

 

II

Əzilmə

Təktərəfli, bir payı əhətə edən

8-10%

 

Yara

Sadə pnevmotoraks

8-10%

 

 

 

 

III

Əzilmə

Təktərəfli, bir paydan çox

8-10%

 

Yara

Davamlı (>72 saat) hava qaçağı

8-50%

 

Hematoma

Böyüməyən intraparenximal

8-50%

 

 

 

 

IV

Yara

Böyük (seqmentar və ya pay bronxundan) hava qaçağı

8-50%

 

Hematoma

Böyüyən intraparenximal

8-50%

 

Vaskulyar

İntrapulmonar damar yaralanması

8-50%

 

 

 

 

V

Damar

Qapı damar zədələnməsi

8-50%

 

 

 

 

VI

Damar

Ağciyər qapısının total zədələnməsi

8-50%

 

Diaqnostika və müalicə

Ağciyər əzilməsi

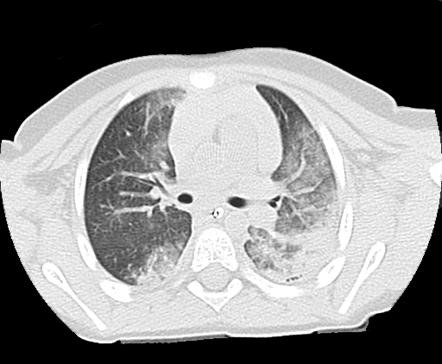
Kiçik ölçülü əzilmə və hematomalar klinik asimptomatik ola bilər, ağciyəri geniş əhatə edən böyük əzilmələr isə klinik olaraq hipoksiya əlamətləri ilə büruzə verir. Diaqnozu rentgenlə və KT ilə dəqiqləşdirilir. Hipoksiya əlamətləri olanlarda mexaniki ventilyasiya və bronxial tualet tövsiyə olunur (Şəkil 2).

 

Şəkil 2. Ağciyər əzilməsi

Ağciyər yaralanması

Diaqnoz. Periferik ağciyər zədələnmələri adətən plevral drenajla müalicə olunan kiçik pnevmotoraks və hemotoraks əlamətləri ilə büruzə verir. Böyük bronx və damar zədələnmələri davam edən pnevmotoraks, massiv hemotoraks və endobronxial qanaxma törədə bilər. Diaqnostikada KT önəmlidir, bronx zədələnməsini dəriqləşdirmək üçün bronxoskopiya lazım gəlir. 

Müalicə. Pnevmotoraksda plevral drenaj ilkin müalicədir. Plevral drenaja baxmayaraq ağciyər açılmırsa ikinci drenaj qoyulur və bronxoskopiya edilərək traxeya və böyük bronxlar yoxlanır. İkinci drenaja baxmayaraq davam edən hava qaçağında və pay bronxlarının zədələnməsində cərrahi əməliyyat lazım gəlir - bronxun bərpası, lobektomiya, hətta pulmonektomiya edilə bilər. Orta və böyük bronxların zədələnməsində stend tətbiq edilə bilər (Şəkil 3).

 

 

Şəkil 3. Bronxial stentləmə

 

Hemotoraksda ilk seçim plevral drenajdır. Cərrahi müdaxilə az hallarda – massiv hemotoraksda və laxtalanmış hemotoraksda göstəriş sayılır. Drenaj edilən anda ilkin olaraq 1,5 litrdən çox qan gəlməsi və ya 6 saatlıq müşahidədə saatda 200 ml-dən çox qan gəlməsi torakotomiyaya göstəriş sayılır. Əməliyyat vaxtı pulmonotomiya edərək qanayan damarın tapılıb tikilməsi ilk seçimdir. Lakin lobektomiya, hətta pulmonektomiya da edilə bilinər. Bəzi hallarda damar embolizasiyası fayda verə bilir. Laxtalanmış hemotoraksın 5 gün ərzində əməliyyatla aradan qaldırılması məsləhətdir.

Endobronxial qanaxma bronx və damar zədələnməsinin nəticəsində meydana gəlir, birtərəfli və ya ikitərəfli hemo-broxoobstruksiya törədə bilir. Diqanostikasında bronxoskopiya vacibdir. Hipoksiya əlamətləri olanlarda təcili bronxoskopik sanasiya və əks tərəfdəki ağciyər bronxunun intubasiyası lazımdır. Bundan sonra təcili əməliyyat, bronxial stend və ya damar embolizasiyası tətbiq edilə bilər.

 

 

Traxeobronxial travma

 

Diaqnozu

Traxeya və böyük bronxların zədələnmələri massiv dərialtı emfizema ilə büruzə verir. Zədələnmənin xarakterini və yerini KT və bronxoskopiya ilə dəqiqləşdirmək mümkün olur.

 

Müalicəsi

Stabilizasiya üçün traxeal və ya bronxial intubasiya lazımdır. Ardınca təcili əməliyyat edərək bronxu və ya traxeyanı cərrahi bərpa etmək məsləhətdir. Traxeya zədələnmələrində sternotomiya, bronx zədələnmələrində eynitərəfli torakotomiya edilir. Traxeya və bronxların kəsilmiş yaralarında işlənmə və tikişlər tövsiyə edilir. Küt travmalarda traxeya və bronxun 2-3 həlqəsinin rezeksiyası və reanastomoz lazım gəlir. Traxeya və bronxlara stend, pulmonektomiya və digər rekonstruksiyalar az hallarda lazım gəlir.

 

Qida borusu travması

 

Qida borusu travmaları az rast gəlinən, lakin həyatı təhlükəli zədələnmələrdir. Qida borusu açıq travmalara nisbətən qapalı travmalarda daha çox zədələnir (1:10).

 

Təsnifatı

Yerinə görə

  • boyun hissəsi
  • döş hissəsi
  • qarın hissəsi

Morfologiyasına görə

  • əzilmə-hematomalar
  • yaralanmalar
  • seqmentar defekt və ya devaskulyarizasiya

 

 

Qida borusu travmalarının ağırlıq dərəcələri (Amerika Travma Cərrahiyyəsi Cəmiyyətininin və AIS-90 təsnifatları)

Dərəcə

Açıqlama

Letallıq ehtimalı (%)

I

Əzilmə/hematoma

1-2%

 

Yaralanma – qeyri-tam qat

8-10%

 

 

 

II

Yaralanma – çevrəsinin <50%

5-50%

 

 

 

III

Yaralanma – çevrəsinin >50%

5-50%

 

 

 

IV

Seqmentar defekt və ya devaskulyarizasiya <2 sm

5-50%

 

 

 

V

Seqmentar defekt və ya devaskulyarizasiya >2 sm

5-50%

 

 

Diaqnozu

Qida borusu zədələnmələrinin erkən klinik əlamətləri zəifdir, ona görə də diaqnozu gecikə bilir. Boyunda emfizema, divararalığında hava, qanqusma erkən əlamətləri ola bilər. Boyun fleqmonası, mediastinit peritonit və sepsis adətən gec əlamətləridir. Diaqnozunu dəqiqləşdirmək üçün KT yetərli olmaya bilir, ona görə də suda həll olan kontrastla ezofaqoqrafiya və endoskopik müayinə lazımdır. Diaqnostikada gecikməmək üçün boyun, döş qəfəsi və abdominal travması olanlarda ezofaqoqrafiya və ya endoskopik müayinə tövsiyə edilir.

 

Müalicəsi

Təcili müdaxilə vacib şərtdir. Zədələnmənin xarakterindən, yerindən və müddətindən asılı olaraq birincili tikiş, izolyasiya (yöndəyişmə, diversiya), rezeksiya, stend və sadə drenaj əməliyyatları seçilə bilər (Şəkil 4).

 

Şəkil 4. Qida borusu tikişi

 

Yaralanmalarda (I-III dərəcəli yaralanmalar) ilk seçim birincili tikişdir. Tikişləri əlavə toxumalarla möhkəmləndirmək (plevral və diafraqmal dilçəklər, fundoplikasiya) və ya stend qoymaq olar. Seqmentar defektlərdə və devaskulyarizasiyalarda stabil xəstələrdə qida borusu rezeksiyası və proksimal stoma, qeyri-stabil xəstələrdə isə yöndəyişmə (servikal ezofaqostoma, qastro-ezofageal birləşmənin bağlanası və qidalandırıcı yeyunostomiya) və ya sadə drenaj tətbiq edilə bilər. Gec dövrlərdə (24-48 saatdan sonra) əsas məsələ medastinitin müalicəsi və kirlənmənin qarşısını almaqdır. Bu məqsədlə mediastinumun geniş drenajı, yöndəyişmə və ya stend tətbiq edilər bilər. Qida borusunun total rezeksiyası patoloji qida borusunda ilk seçimdir (Şəkil 5).

 

Şəkil 5. Qida borusu zədələnmələrində taktika

 

 

Ürək travmaları

 

Təsnifatı

Mexanizminə görə

  • açıq
  • qapalı

Morfologiyasına görə

  • yaralanma
  • əzilmə

 

 

Ürək travmalarının ağırlıq dərəcələri (Amerika Travma Cərrahiyyəsi Cəmiyyətinin və AIS-90 təsnifatları)

Dərəcə

Açıqlama

Letallıq ehtimalı (%)

I

Kiçik EKQ dəyişikliyi ilə müşayiət olunan küt zədələnmə (qeyri-spesifik ST və ya T dəyişikliyi, ekstrasistoliyalar və ya sinus taxikardiyası)

8-10%

 

Küt və ya açıq perikard zədələnməsi var, ürək zədələnməsi, tamponada və ya ürək yırtığı yoxdur

8-10%

 

 

 

II

Blokada və ya işemik əlamətlərlə müşayiət olunan küt zədələnmə var, ürək yetməzliyi yoxdur.

8-10%

 

Miokard zədələnməsi var, endokard zədələnməsi və tamponada yoxdur.

8-10%

 

 

 

III

Ventrikulyar kontraksiyalarla (dəqiqədə 6-dan çox) müşayiət olunan küt zədələnmə

5-50%

 

Arakəsmə yırtılması, atrio-ventikulyar qapaq yetməzliyi, məməyəbənzər əzələ disfunksiyası və ya distal koranar damar okkluziyası ilə müşayiət olunan küt və ya açıq zədələnmə, ürək yetməzliyi yoxdur.

5-50%

 

Perikard yırtığı

5-50%

 

Ürək yetməzliyi ilə müşayiət olunan küt zədələnmə

5-50%

 

 

 

IV

Miokard yaralanması və tamponada

5-50%

 

Ürək yetməzliyi ilə müşayiət olunan arakəsmə yırtılması, qapaq yetməzlikləri, məməyəbənzər əzələ disfunksiyası, koronar arteriya tıxanması

5-50%

 

 

 

V

Ürəyin avulsiyası və ya kamera divarının 50%-dən çoxunun defekti

5-50%

 

 

 

 

Ürək yaralanmaları

 

Diaqnozu

Ürək yaralanmaları adətən kəsici alət, odlu silah və ya sümük sınıqları nəticəsində meydana gəlir. Klinik olaraq kiçik perikardial qanaxma və ya ürək tamponadası əlamətləri ilə (Beck triadası – şok, ürək tonlarının zəifləməsi və boyun venalarının şişməsi) büruzə verir. Ağciyər səslərinin eşidilməsi gərgin pnevmotoraksı inkar edə bilir. Lakin diaqnozu dəqiqləşdirmək üçün exokardioqrafiya etmək lazımdır.

Müalicəsi

Ürək tamponadasında ilkin olaraq perikardiosentez və ya subksifoid perikardiotomiya edərək hemodinamik stabilizasiyaya çalışmaq, intubasiyaya şərait yaratmaq və təcili torakotomiya etmək lazımdır (ürək tamponadasında və gərgin pnevmotoraksda mexaniki ventilyasiya hipotenziyanı ağırlaşdıraraq kollaps törədə bilər). Sternotomiya ilk seçimdir. Əməliyyat vaxtı yaradan qanaxmanı dayandırmaq üçün barmaqla zəif sıxma və ya Foley kateteri tətbiq edilir. Yaraları tikmək üçün əvvəlcə dəri stapleri istifadə etmək olar. Stablizasiya əldə etdikdən sonra və ya birbaşa olaraq yorğan tikişləri qoyulur və üzərinə fibrin yapışqan əlavə edilə bilir. Tikişləri qoyarkən koranar damarlara diqqət etmək olar. Koranar damarların periferik şaxələri bağlana bilər, lakin proksimal hissəni qorumaq lazımdır. Qapaqların, arakəsmələrin və məməyəbənzər əzələlərin zədələnmələrinin bərpası mütəxəssis tərəfindən planlı şəkildə aparılır. Bu üsullarla bıçaq yaralanmalarının 70%-ni, güllə yaralanmalarının 35%-ni qurtarmaq olar. Lakin güllə yaralanmalarının 80-90%-i xəstəxanaya çatana qədər həyatlarını itirirlər.

 

Küt zədələnmələr

 

Diaqnozu

Ürəyin küt zədələnmələrinin klinikası asimptomatik formadan tutmuş ürək tamponadası və kardiogen şoka qədər dəyişə bilər. Ürək zədələnməsində ilk müayinə EKQ-dir, enzimlərin böyük klinik əhəmiyyəti yoxdur. EKQ-də dəyişiklik yoxdursa, zədələnmə ehtimalı çox azdır. EKQ-də hər hansı dəyişiklik varsa exokardioqrafiya etmək lazımdır. Transtorakal exokardioqrafiya diaqnozu dəqiqləşdirə bilmirsə transezofageal müayinə lazımdır.

Müalicəsi

Miokard yırtılması və ya qapaq zədələnmələri varsa bərpa əməliyyatı lazım gəlir. Aritmiyalar antiaritmik tədbirlərlə, əzilmələr isə miokard infarktı kimi müalicə edilir.

 

Döşdaxili damarların travmaları

 

Döşdaxili damarlar dedikdə ürəyə daxil olan və çıxan böyük damarlar və orqanlara məxsus arteriya və venalar nəzərdə tutulur. Döş qəfəsi damarlarının zədələnmələri açıq travmalarda daha çox rast gəlinir. Lakin küt travmalarda da damar zədələnmələri baş verə bilər.

Təsnifatı

Döş qəfəsi damarlarının travmaları mexanizminə, yerinə və ağırlıq dərəcəsinə görə təsnif edilə bilər.

 

Döş qəfəsi damarları travmalarının ağırlıq dərəcələri (Amerika Travma Cərrahiyyəsi Cəmiyyətininin və AIS-90 təsnifatları)

Dərəcə

Açıqlama

Letallıq ehtimalı (%)

I

Qabırğaarası arteriya, vena

1-10%

 

Daxili döş arteriyası, venası

1-10%

 

Bronxial arteriya,vena

1-10%

 

Ezofagelar arteriya, vena

1-10%

 

Hemiazygos vena

1-10%

 

 

 

II

Azygos vena

1-10%

 

Daxili vidaci vena

1-10%

 

Körpücükaltı vena

8-50%

 

Adsız vena

8-50%

 

 

 

III

Yuxu arteriyası

8-50%

 

Adsız arteriya

8-50%

 

Körpücükaltı arteriya

8 - 50%

 

 

 

IV

Enən döş aortası

5 – 50%

 

Aşağı boş vena

8 - 50%

 

Pulmonar arteriya şaxəsi

8 - 10%

 

Pulmonar vena şaxəsi

8 - 10%

 

 

 

V

Qalxan aorta və ya aorta qövsü

5 – 50%

 

Yuxarı boş vena

8 - 50%

 

Pulmonar arteriya

5 – 50%

 

Pulmonar vena

5 – 50%

 

 

 

VI

Aorta və ya ağciyər qapısının total trasnseksiyası

5 – 50%

 

Diaqnostikası

Döşdaxili böyük damarlarının zədələnmələrinin əksəriyyəti xəstəxanayaqədərki dövrdə ölümlə nəticələnir. Xəstəxanaya çatdırılan xəstələrdə massiv hemotoraks, ürək tamponadası, şok və genişlənmiş mediastinum əlamətləri (rentgenoloji olaraq) döşdaxili damar zədələnmələrinə şübhə yaradır. Stabil xəstələrdə KT, angioqrafiya diaqnozu dəqiqləşdirə bilər. Bəzən exokardioqrafiya da faydalı ola bilir. Lakin qeyri-stabil xəstələrdə damar zədələnməsi adətən əməliyyat vaxtı müəyyənləşdirilir.

Müalicəsi

Stabil xəstələrdə və təcrübəli klinikalarda angioqrafik müalicələr tətbiq edilə bilir, lakin əksər xəstələrdə cərrahi müdaxilə lazım gəlir. Döşdaxili böyük damarlara müdaxilə üçün orta sternotomiya ilk seçimdir. Böyük arteriya və venaların (aorta, boş venalar, pulmonar arteriya və vena) zədələnmələrində birincili bərpa ilk seçimdir. Bu mümkün olmayanda damar qreftləri istifadə edilə bilər. Körpücükaltı və yuxu arteriyalarının zədələnmələrində də bərpa ilk seçimdir. Qabırğaarası arteriya və venalarını, daxili döş arteriya və venalarını, adsız arteriya və venaları, körpücükaltı, vidaci, aziqos və hemiaziqos venalarını bağlamaq olar.

 

Döş axacağının zədələnməsi

 

Döş axacağı zədələnmələri  adətən açıq travmalarda çox rast gəlinir. Bu zədələnmələr adətən travmadan sonra drenajdan davamlı limfa axıntısı şəkilində büruzə verir və mayedə triqliseridlərin yüksək konsentrasiyası diaqnozu dəqiqləşdirir.

Müalicəsi üçün ilk növbədə konservativ tədbirlər həyata keçirilir. Əvvəl yağsız diet verilir. Bu effektiv olmadıqda parenteral qidalanma və oktreotid başladılır. Adətən 4 həftəlik konservativ müalicə faydalı olur. Əgər 4 həftəlik konservativ müalicəyə baxmayaraq limfa ifrazı 1500 ml-dən çox olarsa cərrahi müalicə tövsiyə olunur. Cərrahi müalicə axarın bağlanılmasından ibarətdir. Əməliyyatdan əvvəl yağlı qida verilməsi əməliyyat vaxtı limfa axarının tapılmasını asanlaşdırır.

 

Diafraqma travmaları

 

 

Diafraqma zədələnmələri döş qəfəsinin və qarının həm açıq həm də küt travmalarında meydana gələ bilir. Döş qəfəsinin açıq yaralanmalarında 10-15% hallarda diafraqmal zədələnmə rast gəlinir, bunların da 40%-i soltərəfli olur.

 

Təsnifatı

Mexanizminə görə

  • açıq
  • qapalı

Morfologiyasına görə

  • əzilmə-hematoma
  • yaralanma (yırtılma, cırılma)

Yerinə görə

  • gümbəzin zədələnməsi
  • əzələ hissəsinin zədələnməsi

Müddətinə görə

  • erkən tapılan
  • gec tapılan (diafrqamal yırtıq)

 

 

Diafraqma travmalarının ağırlıq dərəcələri (Amerika Travma Cərrahiyyəsi Cəmiyyətininin və AIS-90 təsnifatları) - http://www.aast.org

Dərəcə

Açıqlama

Letallıq ehtimalı (%)

I

Əzilmə

1-2%

 

 

 

II

Yaralanma <2 sm

8-10%

 

 

 

III

Yaralanma 2-10 sm

8-10%

 

 

 

IV

Yaralanma >10 sm, toxuma defekti < 25 sm2

8-10%

 

 

 

V

Yaralanma, toxuma defekti > 25 sm2

8-10%

 

Diaqnostikası

Döş qəfəsi və qarın travmalarında diafraqma zədələnməsindən mütləq şübhələnilməlidir. Diafraqma zədələnmələri erkən mərhələdə adətən zəif əlamətlərlə büruzə verir, ona görə də gözdən qaça bilir. Travmadan sonrakı ilk günlərdə hemotoraks əlamətləri ola bilər(50%). Diafrqama yaralanmaları xüsusən soltərəfli yaralar spontan sağala bilmirlər, çünki döşdaxili mənfi təzyiq qarın orqanlarını yaraya sorur. Ona görə də, belə xəstələrdə erkən və gec dövrlərə “yırtıq” əmələ gəlir. Rentgenoloji olaraq xəstələrin təxminən 40%-də normal görüntü olur. Nazoqastrik zondun döş qəfəsi proyeksiyasında görünməsi yüksək şübhə əlaməti sayılır. Diafraqma zədələnmələri KT və əməliyyat vaxtı (laparotomiya, laparoskopiya, torakotomiya, torakoskopiya) dəqiqləşdirilir. KT-də qarındaxili orqanların döş boşluğuna yırtılması xarakterik əlamətdir.

 

Müalicəsi

Hemo- və pnevmotoraksı olan xəstələrə plevral drenaj qoyarkən, xüsusən də soltərəfli formalarda diafraqmal zədələnmə və qarındaxili orqanların herniasiyası unudulmamalıdır. Bunu nəzərə alaraq drenaj barmağın nəzarəti altında qoyulmalıdır. Diafraqma yaralanmalarında defekti bərpa etmək lazımdır. Kiçik yaralanmalarda birincili tikiş kifayət edir. Böyük yaralarda, toxuma defektlərində və gec dövrdəki diafraqmal yırtıqlarda yamaqla bərpa tətbiq edilə bilər. Erkən dövrdə tapılan diafraqmal yaralanmalarda qarındaxili orqanların geniş təftişi lazım gəldiyi üçün qarından yanaşma ilk seçimdir, gec dövrlərdə tapılan zədələnmələrdə (diafraqmal yırtıqlarda) isə ağciyərin dekortikasiyası da lazım gələ bildiyi üçün torakoskopik giriş seçilə bilər.

 

Özət

“Travmanın nəticəsi = anatomik zədələnmə + funksional pozulma + xəstənin rezervi”

Döş qəfəsi travmasında xəstənin stabil olub-olmamasından asılı olmayaraq əvvəlcə standart ardıcıllıqla (YADDAŞ) birinci yoxlama təkrarlanaraq stabillik qiymətləndirilir və gərəkərsə stabilləşdirmə tədbirləri həyata keçirilir. Döş qəfəsi travmalarında ilk növbədə aşağıdakı həyati təhlükəli zədələnmələr yoxlanılmalı və aradan qaldırılmalıdır:

  • hava yolları tıxanması – endotraxeal intubasiya
  • gərgin pnevmotoraks – plevral drenaj
  • açıq pnevmotoraks – plevral drenaj
  • yelkən döş qəfəs – mexaniki ventilyasiya
  • massiv hemotoraks – torakotomiya
  • ürək tamponadası – perikardiosentez və torakotomiya
  • böyük damar zədələnmələri – torakotomiya, angioqrafik müadaxilələr
  • ağciyər əzilməsi – mexaniki ventilyasiya

Xəstə stabildirsə zədələnmələri dəqiqləşdirmək və gözdən qaçırmamaq üçün ikinci yoxlama (“təpədən dırnağa”) yenidən təkrarlanır (üçüncü yoxlama). Bundan sonra döş qəfəsi travmasının xarakteri, zədələnən orqan və ağırlıq dərəcəsi müəyyənləşdirilir. Bu məqsədlə klinik müayinə və stabil xəstələrdə KT edilir. Bu iki standart müayinəyə əlavə olaraq EKQ, exokardioqrafiya, ezofaqoskopiya, bronxoskopiya, laborator və digər müayinələr aparıla bilər.

Zədələnən orqana və ağırlıq dərəcəsinə uyğun müalicə tədbiri seçilir.

 

 

Döş qəfəsi travmaları üzrə suallar

N.Y.Bayramov, Ş.Ə.Məmmədova

 

Suallar

Cavablar

Döş divarı yaralanmalarında xəstəyə yanaşma necə olmalıdır?

  • Yara təftiş edilməli
  • daxilə keçmirsə - I-li işlənmə və tikiş
  • Plevraya keçirsə - plevral denaj, yara işlənməsi, orqan zədələnməsinin aydınlaşdırılması

Döş divarı hematomalarında xəstəyə yanaşma necə olmalıdır?

  • İzləmə
  • Böyüyən hematomalarda - cərrahi müdaxilə
  • İrinləmiş hematomalarda - drenaj

Qabırğa sınıqlarında klinik əlamətlər hansılardır?

  • Nəfəsalmada ağrı
  • Palpator xırıltı ələmətləri
  • Plevra, ağciyər və damar zədələnmə əlamətləri

Döş sümüyünün sınıqlarında klinik əlamətlər nələrdir?

Tənəffüs aktında və palpator ağrı

Döş sümüyünün sınıqlarında ilk yardım üsulları hansılardır?

  • Yerdəyişməyən sınıqlarda konservativ müalicə (ağrıkəsici)
  • Yerdəyişən sınıqlarda isə cərrahi korreksiya

Kürək sümüyü sınıqlarının müalicə üsulları hansılardır?

Konservativ

Körpücük sümüyü sınıqlarında klinik əlamətlər hansılardır?

Ağrı və çiyində deformasiya

Körpücük sümüyü sınıqlarında müalicə üsulları hansılardır?

Cərrahi korreksiya

Döş qəfəsi sümüklərinin sınıqlarında diaqnostika üsulları hansılardır?

Rentgen və ya KT

Ağciyər əzilməsinin klinik əlamətləri hansılardır?

  • Asimptomatik - kiçik ölçülü əzilmə və hematoma
  • Hipoksiya əlamətləri - böyük əzilmələr

Ağciyər əzilməsinin diaqnostika üsulları hansılardır?

Rentgen və KT

Ağciyər əzilməsinin müalicə üsulları hansılardır?

Mexaniki ventilyasiya və bronxial tualet - hipoksiya əlamətləri olanlarda

Ağciyər yaralanmasının klinik əlamətləri hansılardır?

 

  • \Kiçik pnevmotoraks və hemotoraks əlamətləri - periferik ağciyər zədələnmələri
  • \Pnevmotoraks, massiv hemotoraks və endobronxial qanaxma əlamətləri - böyük bronx və damar zədələnmələri

Ağciyər yaralanmasının diaqnostika üsulları hansılardır?

KT, bronxoskopiya   

Ağciyər yaralanmasının müalicə üsulları hansılardır?

  • \Periferik ağciyər zədələnmələri - plevral drenaj, ikincili drenaj, bronxoskopiya, cərrahi əməliyyat
  • \Orta və böyük bronxların zədələnməsi - stend

Ağciyər yaralanmalarında cərrahi əməliyyata göstərişlər nələrdir?

  • İkinci drenaja baxmayaraq davam edən hava qaçağı
  • pay bronxlarının zədələnməsi

Hemotoraksda müalicə üsulları hansılardır?

  • Plevral drenaj
  • Cərrahi müdaxilə

Hemotoraksda cərrahi müdaxiləyə göstərişlər nələrdir?

Massiv və laxtalanmış hemotoraksda (5 gün ərzində)

Hemotoraksda torakotomiyaya göstərişlər nələrdir?

Drenaj edilən anda ilkin olaraq 1,5 litrdən çox qan gəlməsi və ya 6 saatlıq müşahidədə saatda 200 ml-dən çox qan gəlməsi

Endobronxial qanaxmanın diaqnostika üsulları hansılardır?

Bronxoskopiya

Endobronxial qanaxmanın müalicə üsulları hansılardır?

  • Təcili bronxoskopik sanasiya
  • Əks tərəfdəki ağciyər bronxunun intubasiyası - hipoksiya əlamətləri olanlarda
  • Təcili əməliyyat, bronxial stend və ya damar embolizasiyası

Traxeobronxial travmanın klinik əlamətləri hansılardır?

Massiv dərialtı emfizema

Traxeobronxial travmanın diaqnostika üsulları hansılardır?

KT və bronxoskopiya

Traxeobronxial travmanın müalicə üsulları hansılardır?

  • İntubasiya - Stabilizasiya üçün
  • Təcili əməliyyat

Traxeobronxial travmanın müalicəsində əməliyyat üsulları hansılardır?

  • Kəsilmiş yaralarda işlənmə və tikiş
  • Küt travmalarda traxeya və bronxun 2-3 həlqəsinin rezeksiyası və reanastomoz

Qida borusu zədələnmələrinin klinik əlamətləri hansılardır?

  • Erkən əlamətləri – boyunda emfizema, divararalığında hava, qanqusma
  • Gec əlamətləri – boyun fleqmonası, mediastinit peritonit və sepsis

Qida borusu zədələnmələrinin diaqnostika üsulları hansılardır?

  • KT
  • Suda həll olan kontrastla endoskopik müayinə

Qida borusu zədələnmələrinin müalicə üsulları hansılardır?

  • Təcili müdaxilə
  • Birincili tikiş, izolyasiya (yöndəyişmə, diversiya), rezeksiya, stend və sadə drenaj

Qida borusu zədələnmələrinin müalicə üsulları hansılardır?

  • I-III dərəcəli yaralanmalarda birincili tikiş
  • Seqmentar defekt və devaskulyarizasiyalarda:
    • stabil xəstələrdə rezeksiyası və proksimal stoma
    • qeyri-stabil xəstələrdə isə yöndəyişmə və ya sadə drenaj
  • Gec dövrlərdə (24-48 saatdan sonra) - mediastinumun geniş drenajı, yöndəyişmə və ya stend
  • Patoloji qida borusunda - total rezeksiya

Ürəyin zədələnmələrinin diaqnostika üsulları hansılardır?

Exokardioqrafiya

Ürəyin zədələnmələrinin müalicə üsulları hansılardır?

Ürək tamponadasında perikardiosentez və ya subksifoid perikardiotomiya və təcili torakotomiya

Ürəyin küt zədələnmələrinin klinik əlamətləri hansılardır?

Asimptomatik formadan tutmuş ürək tamponadası və kardiogen şoka qədər

Ürəyin küt zədələnmələrinin diaqnostika üsulları hansılardır?

  • EKQ
  • Exokardioqrafiya

Ürəyin küt zədələnmələrinin müalicə üsulları hansılardır?

  • Konservativ - miokard infarktı kimi
  • Cərrahi - miokard və ya qapaq zədələnmələrində

Döşdaxili böyük damarlarının zədələnmələrinin klinik əlamətləri hansılardır?

  • Massiv hemotoraks
  • Ürək tamponadası
  • Şok və genişlənmiş mediastinum əlamətləri (rentgenoloji olaraq)

Döşdaxili böyük damarlarının zədələnmələrinin diaqnostika üsulları hansılardır?

  • Stabil xəstələrdə KT, angioqrafiya, exokardioqrafiya
  • Qeyri-stabil xəstələrdə əməliyyat vaxtı

Döşdaxili böyük damarlarının zədələnmələrinin müalicə üsulları hansılardır?

Cərrahi – birincili bərpa və ya damar qreftləri

Döş axacağı zədələnmələrinin klinik əlamətləri hansılardır?

Drenajdan davamlı limfa axıntısı

Döş axacağı zədələnmələrinin diaqnostika üsulları hansılardır?

Mayedə triqliseridlərin yüksək konsentrasiyası

Döş axacağı zədələnmələrinin müalicə üsulları hansılardır?

  • Konservativ tədbirlər
    • yağsız diet
    • effektiv olmadıqda parenteral qidalanma və oktreotid - 4 həftə
  • Cərrahi müalicə - axarın bağlanılması

Döş axacağı zədələnmələrində cərrahi əməliyyata göstərişlər nələrdir?

4 həftəlik konservativ müalicəyə baxmayaraq limfa ifrazı 1500 ml-dən çox olması

Diafraqma zədələnmələrinin klinik əlamətləri hansılardır?

  • Erkən mərhələdə zəif əlamətlər
  • Gec dövrlərdə yırtıq əlamətləri

Diafraqma zədələnmələrinin diaqnostika üsulları hansılardır?

  • Rentgen - 40% hallarda normal görüntü
  • KT və əməliyyat vaxtı

Diafraqma zədələnmələrinin müalicə üsulları hansılardır?

  • Hemo- və pnevmotoraks olarsa plevral drenaj
  • Defektin bərpası - birincili tikiş, yamaqla bərpa

BOYUN ZƏDƏLƏNMƏLƏRİ

N.Y.Bayramov, F.M.Qapaqov

 

Təsnifatı

Xarakterinə görə

  • Yaralanmalar
  • Küt zədələnmələr

Dərinliyinə görə:

  • səthi yaralar – platizmanı keçməyən
  • dərin (daxilə keçən) – platizmanı keçən

Yerləşməsinə görə yaralanmalar:

  • I zona yaralanmaları – körpücük sümüyü ilə krikoid qığırdaq arasındakı bölgəni əhatə edir, yuxu arteriyaların əsası, körpücükaltı damarların, böyük döşdaxili damarların və traxeyanın zədələnmə ehtimalı yüksəkdir. Bu bölgədəki yaralanmalara müdaxilə üçün sternotomiya və torakotomiya lazım gələ bilər.
  • II zona yaralanmaları – krikoid qığırdaqla alt çənə sümüyünün bucağı arasındakı bölgəni əhatə edir, aerodigestiv orqanların və damarların zədələnmə ehtimalı yüksəkdir. Bu bölgədəki zədələnmələrə cərrahi müdaxilə nisbətən asandır.
  • III zona yaralanmaları – alt çənənin bucağı ilə kəllə əsası arasındakı bölgəni əhatə edir, yuxu arteriyalarının və udlağın zədələnmə ehtimalı yüksəkdir. Bu bölgədəki zədələnmələrə cərrahi müdaxilə çox çətindir və invaziv müdaxilələr tövsiyə olunur (Şəkil 1).

 

Şəkil 1. Boyunda zonalar üzrə orqanların yerləşməsi

 

Klinik əlamətlərinə görə:

  • “böyük əlamətlər” – boyun damarlarında və aerodigestiv orqanlarında böyük zədələnməni göstərən əlamətlərdir:
    • çoxlu və davam edən qanama
    • böyük, böyüyən və ya pulsasiya edən hematoma
    • damarlar üzərində küy
    • infuziyaya cavab verməyən şok
    • mil arteriyasında nəbzin zəifləməsi və ya olmaması
    • nevroloji defisit (serebral işemiya)
    • yaradan hava qabarcıqlarının çıxması
    • massiv qanhayxırma və ya qanqusma
    • nəfəsalma çətinliyi
    • xırıltılı tənəffüs

 

  • “kiçik əlamətlər” – boyun damarlarında və aerodigestiv orqanlarda kiçik zədələnmə əlamətləri:
    • orqana yaxın yaralar
    • kiçik qanaxmalar
    • infuziyaya cavab verən hipotenziya
    • dərialtı və ya mediastinal hava
    • böyüməyən və ya pulsasiya etməyən hematoma
    • səs dəyişikliyi
    • disfagiya
  • asimptomatik

Yaralanan  orqana  görə:

  • damar – böyük torasik damarlar, körpücükaltı arteriyalar, yuxu arteriyaları, vidaci venalar, vertebral arteriyalar, və digər
  • hava yolları – qırtlaq, traxeya
  • həzm traktı – udlaq, qida borusu
  • sinir – diafraqmal, azan, qayıdan, kəllə əsası sinirləri, onurğa beyni
  • sümük –vertebralar
  • tiroid vəzi
  • əzələlər

Boyun yaralanmalarında diaqnostika və müalicə

Boyun yaralanmalarının diaqnostika və müalicəsinə tarixi olaraq dörd yanaşma mövcud olmuşdur: konservativ, aktiv cərrahi, zonalara və klinik-KT nəticələrinə əsaslanan selektiv yanaşma. II Dünya müharibəsinə qədərki dövrdə konservativ taktika tətbiq edilmiş, lakin uğursuz olmuşdur. 1990-cı illərə qədərki dövrdə tətbiq edilən aktiv cərrahi taktikada platizmanı keçən bütün boyun yaralanmalarında geniş cərrahi təftiş tövsiyə edilmişdir (qarın boşluğuna keçən yaralanmalarda olduğu kimi). Bu yanaşmada təxminən xəstələrin yarısında təftişin gərəksiz olduğu ortaya çıxmışdır.

1990-2000-ci illərdə zonalara əsaslanan selektiv yanaşma tətbiq edilməyə başlamışdır. I zonada yerləşən yaralanmalarda xəstədə “böyük əlamətlər” varsa əməliyyat, yoxdursa konservativ müalicə tövsiyə edilir. II zonada yerləşən yaralanmalarda aktiv cərrahi taktika və ya KT edərək göstərişə görə cərrahi əməliyyat tövsiyə edilir. III zona zədələnmələrində isə əsasən konservativ yanaşma və KT angioqrafiya nəticələrinə görə cərrahi müdaxilələr məsləhət görülür.

2000-ci ildən başlayaraq klinik-KT nəticələrinə əsaslanan selektiv qeyri-zonal yanaşma ortaya çıxmış və hazırda geniş yayılmağa başlamışdır. Bu yanaşmada xəstənin stabilliyi, yaralanmanın klinik əlamətləri və stabil xəstələrdə KT nəticələri nəzərə alınaraq diaqnostika və müalicə seçilir (Şəkil 2).

 

Şəkil 2. Boyun zədələnmələrinə klinik-KT nəticələrinə əsaslanan selektiv yanaşma

 

Qeyri-stabil və ya böyük əlamətləri olan xəstələrdə həyatqurtarma tədbirləri başladılır, təcili cərrah çağrılır və əməliyyatxanaya verilir. Həyatqurtarma tədbirləri YADDAŞ ardıcıllığı ilə həyata keçirilir. İlk növbədə hava yolları zədələnmə əlamətləri və ya hava yoluna təhlükə törədən əlamətlər varsa etibarlı hava yolu – endotraxeal intubasiya edilir (yarada kəsilmiş traxeya varsa intubasiya birbaşa traxeya yarasından edilə bilər):

  • yarada hava qabarcıqları
  • dərialtı emfizema
  • xırıltılı səs, səsin karlaşması
  • qanhayxırma
  • boğulma əlamətləri
  • yarada kəsilmiş traxeya
  • yaradan massiv qanaxma
  • boyunda hematoma
  • boyunda küy

 

İntubasiyadan sonra ağciyər tənəffüsündə pozulma varsa ağciyər-bronx zədələnməsinə bağlı pnevmotoraks və ya döşdaxili böyük damar zədələnməsindən şübhələnmək lazımdır və təcili torakotomiya edilməsi məsləhətdir.

Boyun yarasından qanaxma ilk olaraq əllə zərif sıxılaraq dayandırılmağa çalışılır, bu fayda vermədikdə tamponlar və ya Foley kateteri istifadə edilə bilər. Davam edən qanaxmalarda etibarlı hava yolu qoymaq lazım gəlir. İnfuzion terapiya unudulmamalıdır.

Stabil xəstələrdə ilk növbədə etibarlı hava yoluna (endotraxeal intubasiya) ehtiyac olub-olmadığı müəyyənləşdirilir. Hava yolu etibarlılığı təmin edildikdən sonra xəstədə boyun zədələnməsinin “kiçik əlamətləri” yoxlanılır və bu əlamətlərdən hər hansı biri varsa KT edilərək damarlarda və digər orqanlarda zədələnmə axtarılır:

  • orqana yaxın yaralar
  • kiçik qanaxmalar
  • infuziyaya cavab verən hipotenziya
  • dərialtı və ya mediastinal hava
  • böyüməyən və ya pulsasiya etməyən hematoma
  • səs dəyişikliyi
  • disfagiya

KT-də zədələnmə tapılarsa uyğun cərrahi və ya invaziv müdaxilələr edilir. KT-də aerodigestiv zədələnmə tapılmadıqda, lakin xəstədə klinik əlamətlər olarsa (kiçik emfizema, səs dəyişikliyi, disfaqiya, qanqusma) bronxoskopiya və ezofaqoskopiya edilir.

Asimptomatik xəstələrdə izləmə tövsiyə olunur. Bəzi zədələnmələrin gec dövrdə ələmət verdiyini və ya proqressivləşə bildiyini nəzərə alaraq izləmə ən azı 24 saat ərzində aparılır və vaxtaşırı hava yolu, tənəffüs, hemodinamika, beyin fəaliyyəti yoxlanılır. Hər hansı əlamət ortaya çıxarsa KT edilərək qərar verilir.

 

Cərrahi müdaxilənin prinsipləri

Boyun orqanlarına müdaxilə üçün geniş cərrahi giriş sahəsinin təmin edilməsi vacib şərtdir. Döş-körpücük-məməyəbənzər əzələnin ön kənarı ilə aparılan kəsik boyun orqanlarının əksəriyyətinə geniş müdaxilə imkanı yaradır. Körpücükaltı və döş daxili damarlara müdaxilə üçün boyun kəsiyi ilə yanaşı torakotomiya (sternotomiya, yan torakotomiya) gərəkdir.

Damar yaralanmalarında cərrahi və angioqrafik müdaxilə (stend, embolizasiya) tətbiq edilə bilər. Stabil xəstələrdə angioqrafik müdaxilələr, qeyri-stabil xəstələrdə isə cərrahi bərpa ilk seçimdir.

Arterial zədələnmələrdə revaskulyarizasiya ilk seçimdir. Arterial yaraların bərpası üçün cərrahi işlənmə və uc-uca anastomoz, venoz qreft və ya sintetik protezlər istifadə edilə bilər. Yuxu arteriyasının liqasiyası tövsiyə edilmir (beyin nekrozu baş verə bilir), körpücükaltı və vertebral arteriyaların bərpa oluna bilməyən yaralanmalarında liqasiya edilə bilər.

Venoz damar yaralanmalarında liqasiya ilk seçimdir. Hava emboliyasının profilaktikası üçün xəstənin baş tərəfini aşağı əymək lazımdır.

Laringeal yaralanmalarının əksəriyyətinin diaqnozu endoskopiya ilə dəqiqləşdirlir. Kiçik zədələnmələr və əksər hallarda endotraxeal intubasiya və ya laringeal stend ilə müalicə edilə bilir. Böyük zədələnmələrdə cərrahi bərpa əməliyyatı aparıla bilər.

Traxeal yaralanmalarda endotraxeal intubasiya ilə yanaşı cərrahi bərpa lazım gəlir.

Faringo-ezofageal yaralanmalarda erkən cərrahi bərpa, antibiotikoterapiya və drenaj lazımdır. Tikilmiş yaranın üzərinə muskulo-fassial yamaq da qoyula bilər. Eyni tərəfdə damar zədələnməsi də olarsa yara drenajı əks tərəfdən aparılmalıdır.

Boyun fəqərələrinin və onurğa beyninin yaralanmalarında boyun immobilizasiya edilir, onurğa beynini kompressiya edən hematoma, sınıqlar və yad cisim varsa təcili dekompressiv laminektomiya aparılır.

Sinir yaralanmalarında bərpa əməliyyatları aparıla bilər.

 

Qapalı boyun zədələnmələrində diaqnostika və müalicə

Qapalı boyun travmalarında klinik əhəmiyyətli zədələnmələrə aşağıdakıları aid etmək olar:

  • qırtlaq və traxeya zədələnmələri
  • damar zədələnmələri
  • boyun fəqərələri sınıqları
  • onurğa beyni zədələnməsi

Qapalı boyun zədələnmələrində digər boyun orqanlarının zədələnmələri (qida borusu, tiroid, sinir, döş axacağı və s.) az hallarda böyük klinik əhəmiyyət kəsb edir.

Açıq boyun zədələnmələrində olduğu kimi küt zədələnmələrdə də ilk iş boyunun fiksasiyası və adekvat hava yolunun təmin edilməsidir. Bundan sonra klinik müayinələrlə və KT ilə boyun orqanlarında zədələnmənin xarakteri və ağırlıq dərəcəsi müəyyənləşdirilir. Açıq travmadan fərqli olaraq qapalı boyun travmalarında cərrahi müdaxilə az hallarda lazım gəlir.

Qırtlaq və traxeya zədələnmələri asimptomatik ola bilər və ya qırtlaqda ağrı, qanhayxırma, emfizema, səs dəyişikliyi, xırıltılı tənəffüs, boğulma, hipoksiya və koma əlamətləri ilə büruzə verə bilər. KT adətən böyük zədələnmələri göstərə bilir. Kiçik zədələnmələri təyin etmək üçün yumşaq bronxoskopiya lazım gəlir. Qırtlağın və traxeyanın qapalı zədələnmələrinin əksəriyyəti endotraxeal intubasiya və antibiotikoterapiya ilə müalicə olunur. Böyük zədələnmələrində cərrahi korreksiya lazım gəlir.

Küt travmalarda ən çox yuxu və vertebral arteriyaların zədələnmələrinə rast gəlinir. Yuxu və vertebral arteriya zədələnmələri asimptomatik ola bilər və ya hematoma, nevroloji əlamətlərlə (koma, hiperkineziya, boyunun bir tərəfə əyilməsi, KT-də aksional zədələnmə əlamətləri və s.) büruzə verə bilər. Dəqiqləşdirmə üçün KT vacibdir. Hazırkı dövrdə boyun damarlarının qapalı zədələnmələrində yanaşma prinsipi belədir: antikoaqulyant müalicə və cərrahi giriş mümkün olanlarda cərrahi korreksiya, çətin olan hallarda isə endovaskulyar müdaxilə tövsiyə olunur.

Boyun fəqərələri sınıqlarında və onurğa beynu zədələnmələrində ilk tədbir boyunun fikasiyasıdır. Onurğa beynini sıxılması olanlarda və ya qeyri-stabil sınıqlarda cərrahi əməliyyat tövsiyə edilir.

BAŞ VƏ ÜZ ZƏDƏLƏNMƏLƏRİ

N.Y.Bayramov, F.M.Qapaqov

 

Baş zədələnmələrinə ən çox avtomobil qəzalarında, hündürlükdən yıxılmalarda və dalaşmalarda rast gəlinir. Baş zədələnmələrinin təxminən 80%-i yüngül, 10%-i orta, 10%-i isə ağır dərəcəli olur. Travmalarda ölümün təxminən yarısı beyin zədələnmələri ilə əlaqədar olur.

 

Baş zədələnmələri

Təsnifatı

Baş zədələnmələrini klassik olaraq ekstrakranial və intrakranial zədələnmələrinə bölünür. İntrakranial zədələnmələrə adətən beyin zədələnmələri aid edilir.

Ekstrakranial zədələnmələrin morfoloji olaraq aşağıdakı formaları ola bilər:

  • Baş dərisinin yaralanmaları və hematomaları
  • Kəllə sümüklərinin sınığı

Beyin zədələnmələrinin morfoloji növləri:

  • Epidural hematoma
  • Subdural hematoma
  • Subaraxinoid qanaxma
  • İntraparenximal qanaxma
  • İntraventrikulyar qanaxma
  • Beyin əzilməsi
  • Beyin silkələnməsi

 

Ağırlıq dərəcəsinə görə klinik və KT klassifikasiyaları istifadə edilir. KT ağırlıq dərəcələrini təyin etmək üçün spesifik Marshall və Rosterdam şkalaları tətbiq edilir. Klinik olaraq GKŞ-ə görə 3 ağrlıq dərəcəsi ayırd edilir:

  • yüngül dərəcəli – GKŞ 15-13
  • orta dərəcəli – GKŞ 12-9
  • ağır dərəcəli – GKŞ ≤ 8

 

Diaqnostika və müalicə

Baş və beyin zədələnmələrinin diaqnostikasında əsas vasitələr klinik və KT müayinələridir. Bununla yanaşı kəllədaxili təzyiqin ölçülməsi və digər müayinələr aparıla bilər.

Başın yaralanmaları

Başda olan yaralanmalar aktiv qanaxmaya səbəb olurlar. İlkin olaraq zərif aseptik təzyiqlə qanaxma dayandırılır və kəllə sümüyündə sınığın olub-olmaması yoxlanılır, sonra sarğı qoyularaq KT müayinəsi ilə kəllədaxili zədələnmələr yoxlanılır. Kəllə sümüyü sınığı və kəllədaxili zədələnmə inkar edilirsə yaraya tikişlər qoyula bilər. Əks halda neyrocərrahlar tərəfindən sümük sınıqları və kəllədaxili zədələnmələrin müalicəsi həyata keçirilir.

İntrakranial zədələnmələr

İntrakranial zədələnmələrdə beyini ikincili zədələnmədən qorumaq və cərrahi dekompressiyaya göstəriş olub-olmadığını dəqiqləşdirmək əsas müalicə prinsipləridir. Hipoksemiya, hipoperfuziya və kəllədaxili hipertenziya, yüksək hərarət və qıcolmalar ikincili zədələnmə törədən əsas amillərdir. Ona görə də oksigenasiyanı və beyinin perfuziya təzyiqini təmin etmək ən vacib tədbir hesab edilir. Beyin perfuziya təzyiqi dedikdə orta arterial təzyiq (>70-80 mm Hg st) ilə intrakranial təzyiq arasındakı (<10-15 mm Hg st) fərq nəzərdə tutulur. Beyinin perfuziya təzyiqininin 60-70 mm Hg-dən yüksək tutmaq əsas hədəfdir. Bu məqsədlə adekvat arterial təzyiqi təmin etmək və intrakranial təzyiqi azaltmaq lazım gəlir.

Arterial təzyiqi normallaşdırmaq üçün hipertenziyaya yol vermədən farmakoloji vasitələrdən istifadə etmək gərəkdir. İntrakranial təzyiqi azaltmaq üçün subaraxnoid təzyiq monitoru qoyularaq tədbirlər həyata keçirilir:

  • başın 30-45 dərəcə qaldırılması
  • yüngül hiperventilyasiya
  • diuretiklər
  • hipotermiya 32-340 C (əgər koaqulopatiya yoxdursa)
  • qıcolmaların ən azı 1 həftə müalicəsi
  • antipiretiklər
  • göstərişə görə cərrahi dekompressiya

 

Maksillofassial zədələnmələr

 

Diaqnostika və müalicə

Maksillofassial zədələnmələr yumşaq toxumların zədələnmələri və üz sümüklərinin sınıqları şəkilində ortaya çıxa bilər.

Üz yaralanmalarında sinir, vəz axarlarının zədələnmələri və sümük sınıqlarına diqqət edilməlidir. Axar və sinir yaralanmalarını yoxlamaq üçün yara təftiş edilməlidir, sınıqları inkar etmək üçün isə adətən KT lazım gəlir. Çənə sınıqlarında panoramik rentgen də tətbiq edilə bilər. Sadə yaralanmalar 24 saat ərzində işləndikdən sonra birincili tikişlə bərpa oluna bilərlər. Axacaq və sinir yaralanmalarına şübhə olarsa uyğun mütəxəssisə göndərmək lazım gəlir. Sümük sınıqlarında sınığın yerinə və xarakterinə uyğun müalicələr aparılır:

  • Alın sümüyü sınığı – yerdəyişməsi olmayan sınıqlar nəzarət edilir, yerdəyişmiş sınıqlar isə mütəxəssis tərəfindən cərrahi müalicə edilir.
  • Burun sümüyü sınıqları – yerdəyişmiş sınıqlar cərrahi korreksiya edilir. Avaskulyar nekrozun profilaktikası üçün septal hematomalar təcili dekompressiya edilməlidir.
  • Əng sümüyü sınıqlarında mütəxəssis tərəfindən cərrahi korreksiya lazım gəlir.
  • Çənə sınıqları üçün fiksasiya tədbirləri tətbiq edilir (sərt, maksillomandibulyar, cərrahi fiksasiyalar)

 

Özət

Baş və maksillofasial zədələnmələr ən çox avtomobil qəzalarında, hündürlükdən yıxılmalarda və dalaşmalarda rast gəlinir. Baş zədələnmələri ektrakranial (baş dərisi və kəllə süçükləri) və intrakranial (beyin) zədələnmələrinə ayrılır. Beyin zədlədələnmələri yüngül, orta və ağır dərəcəli ola bilər. Bu zədlənmələrin diaqnostikasında əsasən klinik və KT müayinələri tətbiq edilir və əsas prinsip beyin zədələnməsinin olub-olmadığını müəyyənləşdirməkdir. Başın və maksillo-fassial travmaların müalicəsi əsasən uyğun mütəxəssislər tərəfindən həyata keçirilir. İntrakranial zədələnmələrdə beyini ikincili zədələnmədən qorumaq və cərrahi dekompressiyaya göstəriş olub-olmadığını dəqiqləşdirmək əsas müalicə prinsipləridir. Hipoksemiya, hipoperfuziya, kəllədaxili hipertenziya, yüksək hərarət və qıcolmalar ikincili zədələnmə törədən əsas amillərdir. Ona görə də bu amillərin qarşısını almaq ən vacib tədbirlər sayılır. Başın və üz-çənənin travmalarında müalicə əsasən bərpa üzərində qurulur.

 

Baş və üz travmaları üzrə suallar

N.Y.Bayramov, Ş.Ə.Məmmədova

 

Suallar

Cavablar

Baş zədələnmələrinin hansı növləri var?

Ekstrakranial və intrakranial

Ekstrakranial zədələnmələrin hansı morfoloji formaları ola bilər?

  • Baş dərisinin yaralanmaları və hematomaları
  • Kəllə sümüklərinin sınığı

Beyin zədələnmələrinin morfoloji növləri hansılardır?

  • Epidural hematoma
  • Subdural hematoma
  • Subaraxinoidal qanaxma
  • İntraparenximal qanaxma
  • İntraventrikulyar qanaxma
  • Beyin əzilməsi
  • Beyin silkələnməsi

Beyin zədələnmələrinin diaqnostika üsulları hansılardır?

  • Klinik müayinə
  • KT

Başın yaralanmalarında xəstəyə ümumi yanaşma prinsipləri hansılardır?

Qanaxma dayandırılmalı → sınıqlar, kəllədaxili zədələnmə inkar edilməli → yaraya tikişlər qoyulmalı

İntrakranial zədələnmələrdə əsas müalicə prinsipləri nədən ibarətdir?

Cərrahi dekompressiyaya göstəriş olub-olmadığını dəqiqləşdirmək

Ilkin yardım üsullarına nələr aiddir?

Oksigenasiyanı və beyinin perfuziya təzyiqini təmin etmək

Beyin perfuziya təzyiqi nədir?

Orta arterial təzyiq (>70-80 mm Hg st) ilə intrakranial təzyiq arasındakı (<10-15 mm Hg st) fərq

Beyinin perfuziya təzyiqinə nəzarət necə olmalıdır?

Adekvat arterial təzyiqi təmin etmək və intrakranial təzyiqi azaltmaq

İntrakranial təzyiqə nəzarət üsulu hansıdır?

Subaraxinoidal təzyiq monitoru

İntrakranial təzyiqi azaltmaq üçün hansı tədbirlər həyata keçirilir?

  • Başın 30-45 dərəcə qaldırılması
  • Yüngül hiperventilyasiya
  • Diuretiklər
  • Hipotermiya 32-340 C (əgər koaqulopatiya yoxdursa)
  • Qıcolmaların ən azı 1 həftə müalicəsi
  • Antipiretiklər
  • Göstərişə görə cərrahi dekompressiya

Alın sümüyü sınığında xəstəyə ümumi yanaşma prinsipləri nədir?

  • Yerdəyişməsi olmayan sınıqlarda nəzarət
  • Yerdəyişmiş sınıqlarda cərrahi

Burun sümüyü sınıqlarında xəstəyə ümumi yanaşma prinsipləri nədir?

  • Yerdəyişmiş sınıqlarda cərrahi
  • Septal hematomalarda təcili dekompressiya

Maksillofassial sınıqlarda nazoqastral zond qoymaq olarmı?

Xeyr, lakin oral-qastrik zond qoymaq olar

Kəllə əsası sümüklərinin sınıqlarında xarakterik əlamətlər hansılardır?

  • “Yenot gözü” və ya eynək əlaməti – göz ətrafında ekximoz
  • Battle simptomu – qulaq arxasında ekximoz
  • Otorreya, rinorreya
  • hemotimpanium

TRAVMADA YARDIMIN ƏSASLARI

N.Y.Bayramov, F.M.Qapaqov

 

Travma dedikdə fiziki, mexaniki, kimyəvi və bioloji amillərin qısamüddətli təsiri nəticəsində orqanizmdə meydana gələn morfo-funksional pozulma nəzərdə tutulur. Travma əlilliyə və ölümə səbəb olan xəstəliklər arasında ilk yerdə durur və 20-50 yaş qrupu insanlarda ölümün ən çox rast gələn səbəbidir. Ona görə də travma sosial tibbi problem kimi həmişə ön planda tutulur. Sosial-ictimai tədbirlərin hədəfi travmatizmi azaltmaq, tibbi tədbirlərin hədəfi isə ölüm hallarını və əlilliyi azaltmağa yönəlmişdir.

Müasir dövrdə travmalı xəstələrə tibbi yardımın prinsipləri 3 nəzəri-praktik əsasa dayanmışdır:

  • travmanın təbii gedişi
  • həyati vacib orqanların həyati təhlükə dərəcəsi
  • həyati vacib funksiyalar arasındakı qarşılıqlı əlaqə

 

Travmanın təbii gedişinin araşdırılması göstərir ki, travmadan sonra ölüm halları ən çox 3 dövrdə rastlanır:

  • Birinci dövr travmadan sonrakı ilk dəqiqələri əhatə edir və ölüm hallarının 50%-i bu dövrə təsadüf edir. Bu dövrdə ölümün əsas səbəblərini ağır beyin zədələnməsi, aorta, ürək və böyük damarların zədələnmələri, ani böyük qanaxma və həyatla uyuşmayan zədələnəmələr (parçalanma) təşkil edir.
  • İkinci dövr travmadan sonrakı ilk saatları əhatə edir və təxminən ölüm hallarının 30%-ni təşkil edir. Bu dövrdə ölümün ən çox rast gəlinən səbəbləri beyin zədələnməsi, qanaxma və tənəffüs yetməzliyi ilə əlaqədar meydana gələn hipoksiyadır.
  • Ölüm hallarının təxminən 20%-nin rastlandığı üçüncü dövr isə travmadan 24 saat sonrakı müddəti əhatə edir və sepsis əsas ölüm səbəbi kimi ortaya çıxır.

Travmanın təbii gedişinin bir neçə mühüm klinik əhəmiyyəti vardır. Birincisi travmada zaman amilinin nə qədər vacib olduğudur, digəri isə mərhələli yardım prinsipidir – əvvəl həyatqurtarma (hipoksiyanı aradan qaldırma), sonra erkən bərpa və sepsisin profilaktikası. Xüsusən ilkin tibbi və xəstəxana yardımlarının hədəfi ilk dəqiqə və saatlardakı həyatqurtarmadır.

Həyati vacib orqanlar həyati təhlükə dərəcəsinə görə fərqlənirlər. Orqanizmdə vacib olmayan orqan yoxdur, lakin bəzi orqanların yoxluğu qısa müddətdə ölümə səbəb olduğu halda (tənəffüs, qan dövranı, beyin), bəzilərinin yetməzliyi (böyrək, qaraciyər, bağırsaq) daha uzun müddətdə (saat, gün) ölümə səbəb olur, bəzilərinin olmaması isə ölümə yox əlilliyə səbəb ola bilir (ətraflar). Həyati vacib orqanlara əsasən orqanizmin oksigen təminatını həyata keçirən sistemlər aid edilir ki, bunlara hava yolları, ağciyər, qan dövranı və beyin aid edilir. Bu orqanların özlərinin də həyati təhlükə müddəti də müxtəlifdir. Həyati təhlükəni ən qısa müddətdə hava yollarının tutulması, sonra ağciyər tənəffüsünün pozulması, daha sonra qan dövranı pozulması, ən son isə beyin funksiyalarının pozulması törədir. Həyati təhlükə dərəcəsinə əsaslanaraq hansı orqanların zədələnməsinin ilk növbədə aradan qaldırması – öncəlik (birincilik) prinsipi ortaya çıxır ki, bu da müasir YADDAŞ qaydasının əsasında durur.

Müasir tibbi yardımın üçüncü nəzəri-praktik əsasını həyati vacib funksiyalar arasındakı qarşılıqlı əlaqə təşkil edir. Hava yolları zədələnməsi ventilyasiyanı pozur, ağciyər tənəffüsünün pozulması isə ventilyasiya və diffuziyanı pozaraq qanın oksigenasiyasını azaldır. Hipoksemiya bir tərəfdən toxumalarda asidoza, vazodilatasiyaya, ürək fəaliyyətinin azalmasına və hipoperfuziyaya gətirib çıxarır. Digər tərəfdən isə hipoksemiya və hipoperfuziya beyinin oksigen aclığına və komaya gətirib çıxarır. Beyin aktivliyinin pozulması hava yollarının tutulmasına (dilin udlağa qaçması), tənəffüs və vazomotor mərkəzinin fəaliyyətinin zəifləməsinə gətirib çıxarıır. Nəticədə hipoksemiya və hipoperfuziya dərinləşir. Beləliklə “böyük qüsurlu dövran” meydana gəlir – bir patologiyanın törətdiyi patologiya əvvəlkini ağırlaşdırır (Şəkil 1). Belə halda, hava yolunu düzəltmədən , tənəffüsü düzəltmədən, qan dövranını düzəltmədən , beyin fəaliyyətini düzəltmədən tənəffüsü bərpa etmək mümkün olmur. Həyati vacib orqanlar arasındakı bu əlaqəli və yaranan «böyük qüsurlu dövran» müasir həyatqurtarma tədbirlərinə pilləli yanaşmanın əsasını təşkil edir.

 

Şəkil 1. “Böyük qüsurlu dövran”

Travmalı xəstələrə müasir tibbi yardımın prinsipləri

Travmanın təbii gedişinə, həyati vacib funksiyaların təhlükə müddətinə və aralarındakı əlaqəyə əsaslanaraq travmalı xəstələrə müasir tibbi yardımın aşağıdakı prinsipləri ortaya çıxır.

  • Erkən yardım – «zaman həyatdır» prinspinə əsaslanır. Travmatik xəstələrə, yardım nə qədər erkən edilərsə o qədər həyat qazandırma ehtimalı artır, gecikmə isə həyatın itirilməsinə səbəb ola bilir. Xüsusən də, travmadan sonrakı ilk 60 dəqiqə həyatqurtarma üçün çox vacibdir, ona görə də bu müddət “qızıl saat” adlanır. Hazırkı xəstəxanayaqədərki və xəstəxana yardımlarının hədəfi də məhz bu müddətdəki həyatqurtarma tədbirlərini əhatə edir
  • Ardıcıl yardım o deməkdir ki, travmalı xəstələrə yardım dəqiqləşdirilmiş ardıcıllıqla göstərilərilməlidir. Ardıcıllıq prinsipinə görə travmalı xəstələrdə əvəlcə həyati təhlükə törədən, sonra, həyati təhlükə törədə biləcək, sonra isə digər zədələnmələr yoxlanılmalı və aradan qaldırılmalıdır. Həyati təhlükəli zədələnmələrin təyini və erkən aradan qaldırılması üçün ardıcıl olaraq hava yolları və boyun, ağciyər tənəffüsü, qan dövranı, beyin (düşüncə), tam bədən müayinə olunmalı və şərait qiymətləndirilməlidir. Qısa olaraq «YADDAŞ» adlandırdığımız bu ardıcılıq (Yol, Ağciyər, Dövran, beyin (Düşüncə), Açıq müayinə, Şərait) travmatik xəstələrdə mütləq və unudulmaması gərəkən müayinə və müalicə qaydasıdır. İngilis dilli ədəbiyyatlarda bu ardıcıllıq ABCDE (airway, breathing, circulation, disability, exposure, envoirment) şəklində göstərilir.
  • Pilləli yardım o deməkdir ki, həyati vacib orqanlardan birinin müayinəsi və tapılan patologiyası aradan qaldırıldıqdan sonra digərinə keçmək lazımdır (birini bitir, sonra digərinə keç). Məlumdur ki, klassik tibbi paraktikada bütün orqanların müayinəsi bitdikdən sonra tapılan patologiyaların müalicələri başlanır. Həyatqurtarmada tətbiq edilən pilləli yanaşmada isə bir pillədə bir orqanın həyatı təhlükəli patologiyası yoxlanılır və müalicəsi tamamlanır, sonra növbəti pilləyə keçilir – digər orqanın müayinə və müalicəsinə başlanır. Məsələn, hava yolunu müayinə etdikdən və keçiriciliyini bərpa etdikdən sonra ağciyər tənəffüsünün müayinəsi başlanılır.
  • Mərhələli yardım prinsipinə görə travmalı xəstələrdə əvvəl həyatqurtarma tədbirləri, sonra isə bərpa tədbirləri həyata keçirilməlidir və bunun üçün aşağıdakı 3 mərhələli yardımın təşkili tövsiyə olunur:
    • xəstəxanayaqədərki yardım – xəstəni travmatik təsirdən xilas etmə və xəstəxanaya erkən çatdırma (“çıxar və xəstəxanaya qaç”).
    • ilkin xəstəxana yardımı – həyatqurtarma (stabilləşdirmə) və ixtisaslaşmış yardıma göndərmə
    • ixtisaslaşmış yardım – erkən bərpa və sepsisin profilaktikası

 

XƏSTƏXANAYAQƏDƏRKİ YARDIM

 

Xəstəxanayaqədərki yardım mərhələsi qeyri-tibbi şəxslər tərəfindən və ya təcili tibbi yardım briqadaları tərəfindən həyata keçirilir. Qeyri-professionalların funksiyası adətən xəstəni zədələyici amilin təsirindən qurtarma, təcili yardım çağırma və ya xəstəxnaya erkən çatdırmaqdır. Professional briqadaların funksiyası isə aşağıdakılardır:

  • travma bölgəsinin qiymətləndirilməsi və travma mexanizmini müəyyənləşdirilməsi
  • triaj – həyatı təhlükəsi və sağalma ehtimalı yüksək olanları ilk növbədə müalicə etmək
  • stabilizasiya – həyatı vacib funksiyaların qiymətləndirilməsi, stabilizasiyası və monitorizasiyası.
  • travma mərkəzini xəbərdar etmə, erkən və güvənli çatdırma

 

Xəstəxanayaqədərki ilkin yardım mərhələsində sadə və sürətli üsullarla həyatı vacib funksiyaların qiymətləndirilir və həyatqurtarma tədbirləri həyata keçirilir.

  • Nəfəs alırmı?
    • Əgər nəfəs almırsa hava yolunu açmaq və maska ilə nəfəs vermək
  • Nəbzi və ya ürək döyüntüsü varmı?
    • Əgər yoxdursa ürək masajı başlatmaq
  • Davam edən xarici qanaxma varmı?
    • Varsa dayandırmağa çalışmaq
  • Boyun və ya onurğa zədələnməsinə şübhə varmı?
    • Varsa və ya bilinmirsə xəstəni tərpətməzdən əvvəl boyunu və onurğa sütununu qorumaq
  • Sümük sınıqları varsa şina qoymaq

 

Müasir təcili yardım briqadaları xəstəxanayaqədərki mərhələdə travmalı xəstəyə geniş stablizasiya tədbirlərini həyata keçirməyə də imkan verir ki, bunlara etibarlı hava yolunu, adekvat ventilyasiyanı, oksigenasiyanı, qan dövranının qiymətləndirmə və infuzion terapiyanı, onurğanın və sınıqların immoblizasiyasını, hipotermiyanın önlənməsini aid etmək olar.

 

İLKİN XƏSTƏXANA YARDIMI

 

Travmalı xəstəyə yardımın ikinci mərhələsi olan ilkin xəstəxana yardımının məqsədi travmadan sonrakı ikinci dövrdə (“qızıl saatda”) baş verən ölüm hallarının qarşısını almaq üçün həyati funksiyaları (tənəffüs, qan dövranı, beyin) sabitləşdirmək (həyatqurtarma) və vaxt itirmədən ixtisaslaşdırılmış yardıma göndərməkdir. Travmadan sonrakı ilk 60 dəqiqəni əhatə edən “qızıl saatda” ölümün başlıca səbəbinin hipoksiya (hipoksemiya və hipoperfuziyaya) olduğunu nəzərə alaraq orqanizmin oksigenasiyasını təmin etmək bu mərhələdəki həyatqurtarmanın əsas hədəfi sayılır.

Sabitləşdirmə orqanizmin oksigenasiyasını təmin etmək üçün həyati funksiyaları dayanıqlı hala – normaya yaxın hala gətirmək, başqa sözlə pozulmaları düzəltmək mənasına gəlir. Yəni, bu mərhələdə ilk hədəf «travmanı müalicə etmək deyil, xəstənin həyatını qurtarmaqdır».

Hazırda dünyanın bir çox ölkələrinədə ilkin xəstəxana yardımı üçün ATLS (Advanced Travma Life Support) adı ilə bilinən yardım sistemi geniş tətbiq olunmaqdadır. ATLS yardım sistemi iki prinsipə əsaslanır və iki komponentdən ibarətdir. Ardıcıl (YADDAŞ) və pilləli yardım (birini bitir, sonra digərinə keç) ATLS sisteminin əsas prinsipləridir. ATLS sistemi birincili və ikincili yoxlamalar adlanan iki qrup tədbirlərdən ibarətdir.

 

BİRİNCİ YOXLAMA

Birinci yoxlamanın məqsədi xəstənin həyatını qurtarmaqdır, stabilləşdirməkdir – adekvat hava yolunu, ventilyasiyanı, perfuziyanı və beyin fəaliyyətini təmin etməkdir. Bu məqsədlə həyatı vacib orqanlar YADDAŞ ardıcılığı ilə müayinə edilir və tapılan həyatı təhlükəli patologiyalar təcili aradan qaldırılır (“axtar-tap-düzəlt”).

 

  1. Hava Yolları və boyunun stabilizasiyası

Prinsip:

boyunu qorumaq, hava yollarında tıxanma və ya tıxanma ehtimalını aşkarlamaq və təcili açmaq”.

Bütün travmalı xəstələrdə ilk iş hava yollarının yoxlanılması və açıqlığının təmin edilməsidir. Çünki, orqanizmə oksigenin ilk və tək giriş yolu hava yollarıdır. Bu yolun tutulması bir neçə dəqiqə ərzində ölümə səbəb olur və bu yollarının tam açıqlığı təmin olunmazsa digər həyati funksiyaları (tənəffüs, dövran, beyin) düzətmək mümkün deyil.

Hava yolları geniş mənada ağız və burundan başlamış ağciyər alveollarına qədərki boruları əhatə edir. Travma yardım sistemlərində isə hava yolları dedikdə böyük hava yolları – ağız və burun, udlaq, qırtılaq, traxeya, böyük bronxlar nəzərdə tutulur. Hava yollarının tıxanmasına ən çox səbəb olan travmalara beyin, üz-çənə, boyun zədələnmələri aid edilir. Hava yolları tıxanması iki mexanizmlə baş verir: tutulma və sıxılma (Şəkil 2). Tutulma yad cisimlərin, qanın, qusuntu kütlələrinin, dil kökünün və ödemin mənfəzi tıxaması nəticəsində meydana gəlir. Hava yolu ətrafındakı hematoma, ödem, emfizema, qırıqlar yolu sıxaraq və ya deformasiyaya uğradaraq mənfəzin kiçilməsinə səbəb ola bilirlər.

 

 

Şəkil 2. Hava yolu tıxanmaları

 

Müayinələr

Bu ilk pillədə boyun stabilləşdirilir, hava yollarının açıq olub olmadığı və tıxanma ehtimalı qiymətləndirilir.

Boyunun stabilləşdirilməsi üçün normal vəziyyətdə tutulur, hərəkətsizləşdirilir və sabitləşdirilmə boyun fəqərələrinin və onurğa beynin zədələnməsi tam inkar edilənə qədər davam etdirilir.

Hava yollarının açıq, yoxsa tıxalı olduğunu müəyyənləşdirmək üçün cəld klinik müayinələrə (danışma, baxma, eşitmə, palpasiya) aşağdakılar yoxlanılır:

  • danışma ünsiyyəti – xəstə sərbəst danışırsa hava yollarının açıq olduğuna dəlalət edir.
  • hava yollarında (ağız, burun, traxeyaya) hava hərəkətinə baxma, eşitmə və hiss etmə
  • hava yollarında (ağız, burun və udlaqda) yad cisim, qan, qusuntu, deformasiyalar
  • əlavə tənəffüs əzələlərinin tənəffüsdə iştirakı (boyun, döş, qarın, çiyin əzələlərinin)
  • traxeyanın vəziyyəti və tənəffüs vaxtı hərəkəti
  • beyin fəaliyyəti (koma)

 

Aşağıdakı əlamətlərdən hər hansı biri varsa hava yollarında tıxanma əlamətlərinin olduğunu göstərir:

  • danışmayan, danışma çətinliyi olan xəstə
  • apnoe
  • süst, göyərmiş xəstə
  • narahat, həyəcanlı, çabalayan xəstə
  • boğulma əlamətləri: tənəffüs səslərinin olmaması və ya kəskin zəifləməsi ilə birlikdə dartırmalar
  • səsli tənəffüs (xırltılı, fısıltılı)
  • ağızda və udlaqda, yad cisim, qan kütlələri, qusuntu, ciddi deformasiyalar
  • traxeyanın deformasiyası
  • əlavə əzələlərinin tənəffüsdə iştirakı

 

Hava yollarının açılması tədbirləri

Hava yollarınnı açıqlığının təmin edilməsi üçün aşağıdakı üç qrup tədbirlər həyata keçirilir:

  • Ağız və udlağın təmizləməsi
  • Müvəqqəti hava yolu
    • Çənəni açma
    • Çənəni irəli itələmə
    • Orofaringeal boru
    • Nazofarengeal boru
    • Larengial maska
    • Perkutan traxeal kateter
  • Etibarlı (güvənli) hava yolu - endotraxeal intubasiya
    • Orotraxeal
    • Nazotraxeal
    • Cərrahi traxeostomiya

 

Güvənli hava yolu dedikdə traxeya daxilinə boru yerləşdirilməsi və havanın birbaşa traxeyaya keçişi nəzərdə tutulur. Endotraxeal intubasiyaya göstərişlər aşağıdakı 3 qrupda cəmləşdirilir:

  • yolun başqa üsullarla açılması və açıq saxlanması mümkün olmadıqda və ya çətin olarsa - huşsuz vəziyyət, maxsillofassial zədələnmə, qırtlaq zədələnməsi
  • yolun tıxanma ehtimalı yüksək olan vəziyyətlər - aspirasiyadan (qan, qusuntu) və tıxanmadan (traxeya, boyun, qırtlaq zədələnməsi) qorumaq üçün
  • ventilyasiyaya aid göstərişlər: apnoe, hiperventilyasiya lazım olması

Endotraxeal boru 3 üsulla qoyula bilər: nazotraxeal, orotraxeal və cərrahi üsullar. Nazotraxeal intubasiya nəfəs alan, ayıq xəstələrdə istifadə edilə bilər, lakin huşsuz və apnoik xəstələrdə əks göstərişdir. Orotraxeal intubasiya bütün xəstələrdə aparıla bilən və ən çox istifadə olunan üsuldur, ayıq xəstələrdə sakitləşdirici və relaksasiya altında aparılır.

Qırtlaq zədələnmələrində anatomik dəyişikliklər, boyun zədələnmələri, qısa boyun, artrozlarda orotraxeal intubasiya çətin ola bilir. Oro- və ya nazotraxeal intubasiya mümkün olmayan belə hallarda cərrahi üsulla traxeyaya boru qoyulur. Bunun üçün kriko-tiroidotomiya və ya traxeostomiya edilərək boru traxeyaya yerləşdirilir. Güvənli hava yolu qoyarkən bəzi cəhətlərə diqqət etmək lazımdır. Birincisi boyun normal vəziyyətdə saxlanılmalı və hərəkətsizləşdirilməlidir. İkincisi, başı arxaya çevirmə manevri (adi hallarda intubasiyada olduğu kimi) travmalı xəstələrdə edilməməlidir. Çünki bunlar boyunda ola bilən zədələnməni ağırlaşdıra bilər. Üçüncüsü, intubasiya vaxtı qırtlağı arxaya sıxma manevri ilə aspirasiya önəmlidir.

 

Travmalı xəstədə hava yollarının təmini aşağıdakı ardıcıllıqla aparılır (Şəkil 3):

  • Xəstənin başı və boynu normal vəziyyətə gətirilərək immoblizasiya olunur.
  • Ağız açılaraq, qan, yad cisim, qusuntu kütlələrindən təmizlənir.
  • Çənə açılaraq və ya irəliyə itələnərək oksigen verilir. Pulsoksimetriya istifadə edilə bilər.
  • Huşsuz xəstələrdə orofaringeal, huşlu xəstələrdə nazofaringeal boru qoyularaq oksigenasiyaya davam edilir.
  • Bu vaxt xəstəyə güvənli hava yolu lazım olub olmadığı müəyyənləşdirilir. Huşsuz (komatoz) vəziyyət, maksillofassial zədələnmə, aspirasiya, qanaxma, qusma və tıxanma (boyun hematoması, qırtlaq zədələnməsi, xırıltılı səs, inhalyasion yarıq) ehtimalı varsa güvənli hava yolu qoyulması lazımdır. Orotraxeal intubasiya ilk seçimdir və ayıq xəstələrdə sedasiya (midazolam) və relaksant (suksinilxolin) altında edilməsi tövsiyə olunur. Ayıq və nəfəsalan xəstələrdə nazotraxeal intubasiya edilə bilər.
  • Üz-çənə zədələnmələrində ağız, udlaq, burun deformasiyaları və anatomiyanın pozulması intubasiyanı çətinləşdirə bilər. Belə hallarda cərrahi yolla traxeyaya boru qoymaq gərəkir. Əgər müvəqəti tədbirlərlə oksigenasiya təmin olunursa, bunu davam etdirərək krioid membranı (ilk seçim) və ya traxeyanı açaraq boru qoyulur. Əgər müvəqqəti tədbirlərlə oksigenasiya mümkün deyilsə, cərrahi işlərdən əvvəl perkutan traxeostomiya qoyularaq xəstəyə oksigen verilir və cərrahi hava yolu qoyulur . Traxeyaya boru qoyulduqdan sonra təsbit edilir və oksigenasiya vaxtaşarı yoxlanılır.

 

 

Şəkil 3. Travmada hava yolları tıxanmalarında yanaşma

 

 

  1. Ağciyər tənəffüsü

 

Prinsip

“Hipoventilyasiyanı aşkarlamaq və təcili aradan qaldımaq”.

Havayolu müayinəsi bitdikdən və açıqlığı təmin edildikdən sonra ağciyərlərin ventilyasiyası (havalanması) qiymətləndirilir və hipoventilyasiya törədən həyatı təhlükəli zədələnmələr (apnoe, pnevmotoraks, hemotoraks, yelkən döş qəfəsi, traxeo-bronxial zədələnmə, ağciyər əzilməsi, aspirasiya) təcili aradan qaldırılır. Çünki orqanizmin oksigenlə təminatında hava yolu keçişindən sonra ikinci proses ağciyər tənəffüsüdür.

Ağciyər tənəffüsü (oksigenasiya və karbon qazının kənarlaşdırlması) iki ardıcıl mərhələdən ibarətdir və bunları uyğun olaraq iki morfo-funksional sistem həyata keçirir:

  • alveolar ventilyasiya – körük sistemi tərəfindən həyata keçirilir.
  • alveolar-kapilyar mübadilə – alveolo-kapilyar sistemdəki diffuziya və perfuziya vasitəsi ilə həyata keçirilir.

Travmalı xəstələrdə ilk saatlarda ən çox rast gələn tənəffüs pozulması hipoventilyasiyadır. Ventilyasiya (alveolların havalanması) üç prosesin sayəsində həyata keçir: tənəffüs mərkəzindən sinirlərlə gələn impuluslar, döş qəfəsinin hərəkəti (mənfi plevra təzyiqi) və ağciyər toxumasının elastikliyi. Bu proseslərin hər hansı birinin pozulması hipoventilyasiyaya gətirib çıxara bilir (Şəkil 4).

 

Şəkil 4. Hipoventilyasiyanın səbəbləri

 

Müayinələr

Ağciyər ventilyasiyasını qiymətləndirmək üçün döş və qarını örtən paltarlar çıxarılır, cəld və ardıcıl klinik müayinələr aparılaraq aşağıdakılara diqqət edilir:

  • Baxma – döş qəfəsi hərəkəti, simmetriyası, tənəffüs sayı və dərinliyi, yara və zədələnmə, əlavə əzələ hərəkəti, boyun venaları
  • Eşitmə – ağciyər səsləri 
  • Palpasiya – traxeya, qabırğa qırıqları, emfizema
  • Perkusiya – timpanik, kütlük

 

Aşağıdakılardan hər hansı biri varsa ventilyasiyanın pozulmasını göstərə bilir:

  • Apnoe
  • Təngnəfəslik
  • Nəfəs çətinliyi
  • Sianoz
  • Döş qəfəsində asimmetriya və asimmetrik hərəkət
  • Tənəffüs səslərinin azalması və ya eşidilməməsi
  • Nəfəs alan yara
  • Paradoksal hərəkətli pəncərə

 

Müalicə tədbirləri

Travmalı xəstələrdə ventilyasiyanı bərpa etmək üçün 3 əsas tədbir aşağıdakılardır (Şəkil 5).:

  • Oksigen verilməsi
  • Mexaniki ventilyasiya
  • Plevral drenaj (bir boru həyat qurtara bilir)

 

 

Şəkil 5. Hipoventilyasiyada müalicə taktikası

 

Həyatı təhlükəli zədələnmələr və müalicəsi

Apnoe

  • Tərifi. Tənəffüs hərəkət və cəhdlərinin olmamasıdır, ən çox hava yolları tıxanması, beyin və sinir zədələnməsi nəticəsində meydana gələ bilir.
  • Nəfəs almayan sianotik xəstə
  • Müalicəsi. Mexaniki ventilyasiya edilməlidir

Gərgin pnevmotoraks

  • Tərifi. Döş divarında və ya ağciyərdəki zədələnmə yerində qapaq mexanizmi yaranarsa, hava nəfəsalmada plevraya daxil olur, nəfəsvermədə isə geri qayıtmır və gərgin pnevmotoraks meydana gəlir. Gərgin pnevmotoraksda plevra boşluğuna toplanan təzyiqli hava eyni tərəfdəki ağciyəri sıxmaqla yanaşı divararalığını da qarşı tərəfə sıxışdırır, nəticədə həm ventilyasiya, həm də venoz dönüş və hemodinamika ağır dərəcədə pozulur.
  • Klassik pnevmotoraks əlamətləri ilə yanaşı (təngnəfəslik, tənəffüs səslərinin eşidilməməsi, asimmteriya, timpanik səs) boyun venalarında genişlənmə və hipotenziya varsa gərgin pnevmotoraks diaqnozu qoyulur. Rentgen müayinəsi müalicəni gecikdirməməlidir.
  • Müalicəsi. İkinci qabırğaarası sahəyə 14 G iynə yeridilərək dekompressiya edilir, oksigen verilir və ardınca plevral drenaj qoyularaq izlənir.

Açıq və ya qapalı pnevmotoraks

  • Tərifi. Pnevmotoraks döş divarının və ya döşdaxili orqanların zədələnməsi nəticəsində plevra boşluğuna hava yığılmasıdır. Plevradakı mənfi təzyiqin aradan qalxması nəticəsində ağciyər sıxılır və hipoventilyasiya baş verir. Açıq pnevmotoraksda döş qəfəsi divarında plevraya keçən yara olur, qapalı pnevmotoraksda isə xarici mühitlə bariz əlaqə görünmür.
  • Təngnəfəslik, tənəffüs səslərinin eşidilməməsi, asimmteriya, timpanik səs və bəzən də emfizema kimi klassik pnevmotoraks əlamətləri ilə yanaşı «nəfəsalan yara» («fısıldayan», «sorucu») açıq pnevmotoraksın xarakterik əlamətləridir. Qapalı pnevmotoraksda ölçüsünə görə yalnız R-loji müayinə ilə görünən kiçikdən tutmuş, ağciyəri tamamilə büzən böyük dərəcəyə qədər ola bilər. Böyük qapalı pnevmotorakslar hipoventilyasiya əlaməti törədir.
  • Müalicəsi. Açıq pnevmotoraksda oksigen verilir, yaraya qapalı sarğı (3 tərəfi bağlı, bir tərəfi açıq) qoyulur və plevral drenaj edilir. Qapalı pnevmotoraksda plevral drenaj qoyulur.

Hemotoraks

  • Tərifi. Plevra boşluğuna qan yığılmasıdır, ağciyərin sıxılması nəticəsində hipoventilyasiya baş verir.
  • Diaqnozu. Tənəffüs səslərinin eşidilməməsi, perkutor kütlük, şok, rentgen və ya USM-də plevral maye.
  • Müalicəsi. Hemotoraksın ilkin müalicəsi plevral drenajdır. Plevral drenaj əksər hallarda (85-90%) həm də əsas müalicə kimi özünü doğruldur.

Yelkən döş qəfəsi

  • Tərifi. Yelkən döş qəfəsi 3 və daha çox qabırğanın 2 və daha çox yerdən sınığı nəticəsində əmələ gəlir, adətən ağciyər əzilməsinə, hipoventilyasiyaya səbəb olur (Şəkil 6).
  • Təngnəfəslik və döş divarının paradoksal hərəkəti görünür – nəfəs alanda divar içəriyə çəkilir, nəfəs verəndə isə bayıra qabarır.
  • Müalicəsi. Adekvat ağrıkəsicilər (epidural blokada gərəkə bilir), ventilyasiya dəstəyi (adətən mexaniki ventilyasiya) və bəlğəmçıxarma.

 

 

Şəkil 6. Yelkən döş qəfəsi

Traxeobronxial zədələnmə

  • Tərifi. Traxeyanın və böyük bronxların yaralanması nəticəsində havanın mediastinuma, dərialtına və plevraya keçməsidir.
  • Diaqnozu. Böyük dərialtı emfizema və hipoventilyasiya əlamətləri (təngnəfəslik, sianoz və s.) şübhə yaradır, bronxoskopiya diaqnozu dəqiqləşdirir.
  • Müalicəsi. Pnevmotoraks olan tərəfə plevral drenaj qoyularaq hava çıxarılır. Lakin bu ağciyərin açılması üçün yetərsiz ola bilir, ona görə də stabilləşdirmək üçün sağlam bronx intubasiya edilir və təcili bərpa əməliyyatına göndərlilir.

Ağciyər əzilməsi

  • Tərifi. Ağciyərin parenxmasına qansızmalardır, küt travmalarda və yelkən döş qəfəsində çox rast gəlinir.
  • Təngnəfəslik, sianoz, auskultasiyada xırıltılar şübhə yaradır, KT və ya rentgen diaqnozu dəqiqləşdirir.
  • Müalicəsi. Bronxial tualet, ağır vəziyyətlərdə intubasiya və mexaniki ventilyasiya.

Aspirasiya

  • Tərifi. Qusuntu möhtəviyyatının (mədə, bağırsaq, qida və s.), qan və ağız möhtəviyyatının alveollara keçməsi nəticəsində baş verən bronxo-alveolar tıxanma və zədələnmədir.
  • Təngnəfəslik, boğulma əlamətləri və diffuz xırıltılar yüksək şübhə yaradır. Rentgendə kölgəliklər görünə bilir, bronxoskopiyada qida və qan görünməsi diaqnozu dəqiqləşdirir.
  • Müalicəsi. Oksigen verilir, təcili intubasiya edilərək bronxlar təmizlənir.

 

 

 

  1. D. Qan Dövranı

 

Prinsip

Şoku aşkarlamaq və təcili aradan qaldırmaq.

Travmalı xəstələrdə hava yolu və ventilyasiya güvənli hala gətirildikdən sonra qan dövranı qiymətləndirilir. Birincili yoxlamanın bu üçüncü pilləsinin məqsədi şokun olub-olmadığını müəyyənləşdirmək və aradan qaldırmaqdır (Şəkil 7).

Şok hipoperfuziyadır, yəni orqanizmin yetərsiz qan təchizatıdır, kəskin qan dövranı yetməzliyidir. Qan dövranını təmin edən üç əsas morfo-funksional komponentdən hər hansı birinin və ya bir neçəsinin ciddi pozulması hipoperfuziyaya – şoka səbəb olur:

  • qan miqdarının azalması – hipovolemiya
  • damarların genişlənməsi və müqavimətin azalması – vazodilatasiya
  • ürək fəaliyyətinin azalması

 

 

Şəkil 7. Travmalarda şokun səbələri

 

Klassik şəkildə baxılarsa şoku üç ardıcıl mərhələyə ayırmaq olar: kompensasiya, dekompensasiya və refrakter.

Kompensasiya mərhələsində kompensator mexanizmlər aktivləşərək həyati orqanların (ürək, ağciyər, beyin) perfuziyasının qoruyur, («qan dövranının mərkəzləşməsi») lakin periferik orqanların (dəri, qastrointestinal, böyrək, əzələ) hipoperfuziyası baş verir. Bu proseslərin meydana gəlməsində neyrohumoral (simpatik sinir sitemi, kortikosteroidlər, katexolaminlər, antidiuretik hormon və s.) aktivləşmə nəticəsində baş verən periferik vazokonstruksiya və böyrəklərdə suyun reabsorbsiyası əhəmiyyətli rol oynayır. Kompensator mərhələdə adətən təzyiq normal olur (>90 mm Hg st), lakin taxikardiya daimidir.

Dekompensasiya mərhələsində vazodilatasiya, təzyiqin azalması, ümumi hipoperfuziya, işemiyaya uğrayan bölgələrin reperfuziyası və reperfuzion zədələnməsi baş verir. Bu mərhələni başladan mexanizm vazodilatasiyadır. Vazodilatasiya isə işemiyaya məruz qalan bölgələrdə metabolitlərin (laktat, ADF) təsiri nəticəsində baş verir.

Refrakter dövrdə işemiya davam edir, SİRS başlayır, hüceyrə disfunksiyası meydana çıxır, hüceyrələrə və toxumaarası sahəyə maye toplanır – sekvestrasiya. İnfuziyaya baxmayaraq hipotenziya və hipoperfuziyanın düzəlməsi çətinləşir (refrakter). Nəticədə multiorqan yetməzlikləri başlayır.

Səbəbindən, müalicə olunub olunmamasından asılı olmayaraq bütün şoklar orqanizmdə aşağıdakı üç qrup patologiya törədir:

  • Yetərsiz perfuziya və oksigenzasiya (hipoperfuziya, hipovolemiya və işemiya)
  • SİRS, sekvestrasiya asidoz
  • Sellular disfunksiya

 

Müayinələr

Klinik müayinələrlə hemodinamik və perfuziya göstəriciləri yoxlanılır, qanaxmanın və şokun olub-olmadığı müəyyənləşdirilir:

  • Qanaxma əlamətləri:
    • Xarici qanaxma
    • Daxili qanaxma
  • Hemodinamik göstəricilər:
    • Nəbz
    • Arterial təzyiq
    • Nəbz təzyiqi
    • Mərkəzi venoz təzyiq (MVT)
    • Ortostatik hipotenziya

 

  • Perfuziya göstəriciləri:
    • Dərinin hərarəti və rəngi
    • Dırnaqda kapilyar dolma testi
    • Sidik ifrazı
    • Huşun vəziyyəti
    • Arterial pH, qanda laktat

 

Aşağıdakı əlamətlərdən hər hansı biri varsa qan dövranının pozulmasına işarət edir:

  • Qanaxma
  • Taxikardiya
  • Arterial və nəbz təzyiqinin azalması
  • Soyuq və avazımış dəri
  • Sidik ifrazının azalması
  • Alaqaranlıq huş
  • İnfuziyaya cavab verməmə
  • Yerli əlamətlər

 

Xarici qanaxmanın təyini çətinlik törətmir. Şok əlaməti olan, xüsusən də infuziyaya cavab verməyən və ya müvəqqəti cavab verən xəstələrdə daxili qanaxma (döşdaxili, abdominal, çanaq, bud) mütləq yoxlanılmalıdır.

Şok təzyiqin azalması və perfuziyanın zəifləməsi əlamətləri ilə  büruzə verir. Taxikardiya, hipotenziya və azalmış diurez şokun ən çox rast gələn əlamətləridir. Lakin erkən mərhələdə təzyiq normal ola bilər, neyrogen şokda isə taxikardiya olmaya bilər. Praktiki olaraq travmalı xəstədə soyuq dəri və taxikardiya varsa şok kimi qəbul edilib müalicəyə başlanılır, təzyiqin aşağı olması (<90 mm Hg st) isə diaqnozu dəqiqləşdirir.

 

Müalicə tədbirləri

Travmalı xəstədə şokun iki əsas müalicə tədbirləri aşağıdakılardır (Şəkil 8):

  • Qanaxmanı dayandırma
  • Qan həcminin bərpası – infuziya və transfuziya

 

Şokun növləri və aradan qaldırılma yolları

 

Hipovolemik şok

Tərifi. Hipovolemik şok dövr edən qanın həcminin kəskin azalması nəticəsində baş verən hipoperfuziyadır. Bu travmalı xəstələrdə ən çox rastlanan şok növüdür və qanitirməyə bağlı meydana gəlir.

Diaqnozu. Taxikardiya, arteriyal təzyiqin və nəbz təzyiqinin azalması, kapilyar dolmasının azalması, dərinin avazıması və soyuması hemorragik şokun xarakterik əlamətləridir.

Müalicəsi. Hemorragik şokda əsas tədbirlər qanaxmanı dayandırmaq və qan həcmini bərpa etməkdir.

  • Hava yolunun açıq olmasına və ağciyər tənəffüsünə diqqət edilir, oksigen verilir
  • Varsa xarici qanaxma sıxıcı sarğılarla dayandırılır, trunket, damar sıxıcıları ilkin xəstəxana yardımında məsləhət görülmür.
  • Damar yolu açılır, qan analizləri götürülür və infuziyaya başlanılır. Damar yolu üçün ilk seçim dirsək venasına 14-16G kateter qoymaqdır. Bu yol mümkün olmadıqda (periferik venalarda kollaps) ön-yuxarı qalça tinidən sümükdaxili və ya Seldinger üsulu ilə femoral venadan infuziya başladılır.
  • İnfuziya üçün venadan birdönüşə (bolus) 1-2 litr isti Ringer-laktat məhlulu yeridilir (uşaqlarda 20 ml/kg) və cavab qiymətləndirilir.
  • Cavab varsa digər müayinələr davam etdirilir, lakin daxili qanaxma unudulmamalıdır.
  • İlkin bolus infuziyasına baxmayaraq təzyiq artmırsa və ya müvəqqəti artarsa eritrositar kütlə köçürülür və davam edən daxili qanaxma yoxlanılır.
  • Xəstənin qan qrupu bilinirsə eyni qrup köçürülür, qan qrupu bilinmirsə əvvəlcə I (0) qrup qan köçürülür (kişilərə və postmenopozal qadınlara 0Rh(+), premenopozal qadınlara isə 0Rh(-) qan köçürülür). Massiv transfuziya gərəkdirən hallarda (10 vahiddən çox) eritrositar kütlə ilə birlikdə 1:1 nisbətdə plazma köçürmək lazımdır.
  • Daxili qanaxmanı müəyyənləşdirmək üçün döş, qarın boşluğu, çanaq və bud yoxlanılır. Döş qanaxması perkutan kütlük, tənəffüsün zəifləməsi, əlamətləri ilə görünə bilir, plevral drenaj diaqnozu dəqiqləşdirir. Massiv hemotoraks olarsa torakotomiya göstərişdir. Qanındaxili qanaxma USM ilə yoxlanılır, qarında maye təcili laparatomiyaya göstərişdir. Budda və çanaqda sınıqlar varsa təcili immobilizasiya edilir.
  • Venalarında genişlənmə, təngnəfəslik, assimetriya, tənəffüs eşidilməməsi gərgin pnevmotoraks, tənəffüs səslərinin eşidilməməsi isə ürək tamponadası üçün xarakterikdir. Birincisidə iynə dekompressiyası və plevral drenaj, ikincidə perikard punksiyası gərgin norma və ya bradikardiya, hipotenziya isti dəri neyrogen şok əlamətləridir.
  • Sidik katateri qoyulur və diurez izlənir.
 

Kardiogen şok

Tərifi. Kardiogen şok ürəyin körük qabiliyyətinin kəskin azalması nəticəsində baş verən hipoperfuziyadır. Adətən iki qrup səbəbdən əmələ gələ bilər: xarici sıxılma (gərgin penvmotoraks və kardiak tamponada) və miokard zədələnməsi. Ürək sıxılmasının ən çox rast gəlinən səbəbi olan gərgin pnevmotoraksda divararalığının yerdəyişməsi və venaların sıxılması venoz qangəliminin və ürək funksiyasının azalmasına səbəb olur. Kardiak tamponada isə adətən daxilə keçən açıq travmalarda rast gəlinir.Perikarda 20 ml-dən çox qanın kəskin toplanması ürəyin sıxılmasına və şoka səbəb olur. Ürək əzilməsi və infarkt miokard zədələnməsi törədən səbəblərdir.

Diaqnozu. Kardiogen şok üçün xarakterik əlamət klassik şok simptomları ilə yanaşı (avazımış soyuq dəri, hipotenziya) venoz təzyiqin artmasıdır ki, bu da boyun venalarının genişlənməsi şəklində görünür. Kardiogen şokda infuziyaya müvəqqəti cavab alınır. Gərgin pnevmotoraksda şok və boyun venalarının genişlənməsi ilə yanaşı döş qəfəsində asimmetriya görünür, ağciyər səsləri eşidilmir, perkusiyada timpanik səs olur, traxeya yerini dəyişə bilir. Kardiak tamponadanın diaqnozu USM-də perikardda maye görünməsi ilə dəqiqləşdirilir. Miokard infarktının diaqnozu EKQ, EXO və troponin testi ilə müəyyənləşdirilir. Miokard əzilməsinin diaqnostikasında EKQ və EXO vacib rol oynayır.

Müalicəsi. Gərgin pnevmotoraksda iynə və plevral punksiya edilir və plevral drenaj qoyulur. Kardiak tamponadada perikard punksiyası edilir, və infuziya artırılır, hətta təcili torakotomiya lazım gələ bilir. Miokard infarktında klassik müalicələr verilir, lakin antikoaqulyant istifadəsinə aktiv qanaxma inkar edildikdən sonra başlana bilər. Miokard əzilməsində ağırlıq dərəcəsindən asılı olaraq işləmə, dəstək müalicəsi, hətta əməliyyat gərəkə bilər.

 

Vazomotor şok

Tərifi. Vazomotor şok damarların, xüsusən venaların kəskin genişlənməsi və ürəyə qangəliminin azalması nəticəsində baş verən hipoperfuziyadır. Travmalı xəstələrdə beyin kötüyünün zədələnməsi (vazomotor mərkəzin pozulması) və ya onurğa beyninin zədələnməsi simpatik tonusun aradan qalxmasına səbəb olur (neyrogen şok).

Diaqnozu. Hipotenziya ilə yanaşı isti dəri, bradikardiya və rektal tonusun azalması neyrogen şokun xarakterik əlamətləridir. Simpatik tonusun azalması damarlarda dilatasiyaya, arterial təzyiqin düşməsinə, venoz qangəliminin azalmasına və kompensator mexanizm olan taxikardiyanın aradan qalxmasına səbəb olur. (kompensator mexanizmisiz şok).

Müalicə. İnfuziya və vazokonstruktorlar (fenilefrin, noradrenalin) neyrogen şokun əsas müalicə tədbirləridir. 3-4 litr infuziyaya cavab yoxdursa vasokonstruktor istifadə edilə bilir. Bu xəstələrdə çoxlu miqdarda maye yüklənməsi ağciyər ödeminə səbəb ola bilər. Ona görə də, ağciyər ödemini önləmək üçün MVT ölçülərək infuziya davam etdirilir.

 

Şəkil 8. Şokda müalicə taktikası

 

 

  1. Düşüncə-beyin fəaliyyəti

 

Prinsip

Beyin zədələnməsini aşkarlamaq və beyini ikincili zədələnmələrdən (hipoksiya, kəllədaxili hipertenziya) qorumaq (Şəkil 9).

Hava yolu açıqlığı, adekvat ventilyasya və perfuziya təmin edildikdən sonra baş və onurğa beyni yoxlanılmasına başlanır. Birincili yoxlamanın bu dördüncü mərhələsində məqsəd həyati təhlükəli beyin zədələnməsinin olub-olmadığını aşkarlamaq və beyini hipoksiya, kəllədaxili hipertenziya kimi ikincili zədələnmələrdən qorumaqdır.

Beyinin əsas vəzifəsi idarə etməkdir (orqanizmdaxili və orqanizm xarici mühit arasındakı koordinasiya), əsas iş prinsipi isə refleksdir (informasiyanı almaq, dəyərləndirmək və uyğun cavab vermək). Refleks zəncirinin həlqələrindən birinin və bir neçəsinin zədələnməsi idarəetmə funksiyasının pozulmasına gətirib çıxarır. Travma beyində zədələnməni iki yolla törədir: birincili və ikincili zədələnmə.

Birincili zədələnmə travmanın birbaşa təsiri nəticəsində meydana gəlir. Bunlar morfoloji cəhətdən açıq və qapalı, yerli və diffuz şəkildə ola bilir. Yerli zədələnmələrə hematomalar, əzilmələr, diffuz zədələnmələrə isə beyin silkələnməsi aid edilir.

İkincili zədələnmə beyinin hipoksik zədələnməsidir. Hipotenziya, hipoksemiya və kəllədaxili hipertenziya ikincili zədələnməni törədən əsas mexanizmlərdir. Birincilidən fərqli olaraq ikincili zədələnmə qarşısı alına biləndir və beyin travmasının müalicəsində ilk və əsas hədəfdir.

Normal halda kəllədaxili təzyiq 10 mm Hg st (136 mm H2O st) təşkil edir. Təzyiqin 20 mm Hg st-dan çox olması kəllədaxili hipertenziya hesab edilir, 40 mm Hg st-dan çox olması isə ağır zədələnmə törədir. Kəlldaxili hipertenziyanı (kompartman, sıxışma sindromu) törədən mexanizmlərə “kütlə effekti”, venoz tromboz və ödem aid edilə bilər. “Qapalı qutu” olan kəllə daxilində beyin, serebrospinal maye, arteriya və venalar yerləşir. Morro-Kellie qanuna görə, kəllə daxilində kütlə meydana çıxarsa (hematoma, qanaxma, əzilməyə bağlı qanaxma) ilk növbədə serebrospinal maye və venaların həcmi kiçiləcək və kəllədaxili təzyiq artmayacaqdır (kompensasiya fazası). Kütlənin həcmi gedərək böyüyərsə (100-150 ml-dən çox) serebrospinal maye və venalar minimal səviyyəyə qədər kiçilir və bundan sonra kəllədaxili təzyiq həcmin böyüməsi ilə mütənasib olaraq artır. Buna dekompensasiya fazası deyilir.

Kəllədaxili hipertenziyanın ikinci mexanizmi beyin sinuslarının və ya sinuslara açılan məməciklərin trombozudur. Üçüncü mexanizm ödemdir. Yerli, diffuz, hipoksik zədələnmələr və iltihabi reaksiya beyin həcmini artıraraq kəllədaxili hipertenziyaya səbəb ola bilir.

Artmış kələdaxili təzyiq beyini iki yolla zədələyir: perfuziyanın pozulması və yırtıqlaşma. Normal halda beyin qan dövranı 0,5 ml/q təşkil edir, bunun 0,2 ml/q-dan aşağı düşməsi funksiyanın pozulmasına, 0,05 ml/q-dan isə aşağı düşməsi isə ölümə səbəb olur. Beyin perfuziyasını təmin edən amil beyinin perfuziya təzyiqidir (BPT) ki, bu da orta arterial təzyiqlə kəllədaxili təzyiqin fərqinə bərabərdir:

BPT= Orta arterial təzyiq – kəllədaxili təzyiq

Normal halda beyinin perfuziya təzyiqi 80 mm Hg st-dan yüksəkdir. Perfuziya təzyiqi 70 mm Hg st-dan aşağı düşərsə beyində işemiya başlayır. Xüsusən də kəllədaxili təzyiq yüksək olan hallarda zədələnmə daha ağır şəkil alır. Ona görə də perfuzion təzyiqin düzəldilməsi üçün şokun və kəllədaxili təzyiqin aradan qaldırılması ən önəmli tədbirdir.

Kələdaxili təzyiq artdıqda beyini sıxaraq təbii fassial (çadır) və sümük dəliklərindən kənara çıxmasına (yırtılmasına), toxumanın əzilməsinə səbəb olur. Nəticədə kəllənin bir bölgəsində olan zədələnmə ilə yanaşı digər bölgələr də zədələnir.

Bu səbəblərə görə də perfuziyanın, havalanmanın və kəllədaxili təzyiqin düzəldilməsi beyin travmalarında mütləq tədbirlərdir.

 

Şəkil 9. Travmada komanın səbələri və mexanizmləri

 

Müayinə

Klinik müayinələrlə beyininin funksional vəziyyəti, kəllədaxili hipertezniya və yerli nevroloji əlamətlər yoxlanılır:

  • Ayıqlıq və huş
    • Göz açma reaksiyası – ASAB-açıqdır, səsə açır, ağrıya açır, bağlıdır-açmır
    • Glaskov Koma Şkalası (GKŞ) – sözə və ağrı qıcığına üç cavab reaksiyası – göz açma, danışma və hərəki cavablar
  • Kəllədaxili hipertenziya
    • Bəbəklərin ölçüsü və relaksiyası (beyin kötüyü refleksləri)
  • Yerli dəyişiklik
    • Ətraflarda hərəkət və hissiyyat

 

Aşağıdakı əlamətlərdən hər hansı biri varsa beyin zədələnməsindən şübhələnmək lazımdır:

  • Gözaçma reaksiyasının zəifləməsi
  • GKŞ ≤15
  • Amneziya
  • Anizokariya
  • Bəbəyin reaksiyasının azalması
  • Lateralizasiya (hərəkət defisiti)

 

KT beyin zədələnməsinin təyinində “qızıl standart”dır və beyin zədələnməsi olan bütün xəstələrədə yerinə yetirilməlidir. KT edilməsi üçün əsas şərt hemodinamikanın stabil olunmasıdır.

 

Müalicəsi

Birincili yoxlama mərhələsində beyin zədələnmələrinin müalicə prinsipi qoruyucu müalicə prinsipidir – yəni beyini ikincili zədələnmədən qorumaqdır. Ona görə də hipoksemiyanın, şokun və kəllədaxili hipertenziyanın önlənməsi əsas müalicə tədbiridir:

  • Oksigenasiya
  • Şokun müalicəsi
  • Kəllədaxili hipertenziyanı aradan qaldırma
    • Dekompressiya (trepanasiya)
    • Başı 30-45 dərəcə qaldırma
    • Yüngül hiperventilyasiya (CO2 səviyyəsi 30-35 mm Hg st)
    • Diuretiklər (mannitol – 1 q/kq, hipertonik məhlul-7.5% və s.)
    • Sakitləşdiricilər (tiopental və s.)

 

Beyin zədələnmələrinin növləri və yanaşmalar

Beyin zədələnmələrinin müalicəsi adətən neyrocərrahlar tərəfindən yerinə yetirilir. Ümumi prinsipə görə bütün kəllə zədələnmələrində beyin KT edilməlidir, hemodinamikası stabil olmayanlarda (AT<90 mm Hg st) və komatoz xəstələrdə isə qarındaxili zədələnmə mütləq dəqiqləşdirilməlidir (USM, KT). Çünki, şok koma törədər, beyin zədələnməsi isə hemorragik şok törətməz, lakin koma qarın əlamətlərini söndürər.

Koma

Tərifi. Koma beyin yetməzliyidir, beyinin stimullara cavab verməyən vəziyyətdir. Beyin ölümündən fərqli olaraq beyin kötüyünün bəzi funksiyaları, xüsusən tənəffüs funksiyası müəyyən qədər qorunur.

Diaqnozu. Xəstə ayıq deyil, sözlü və ağrı qıcığına qıcıqlara baxmayaraq oyanmır (nə sözlü, nə gözünü açmır, hərəki və sözlü cavabları olmur), GKŞ 8-3 bal təşkil edir.

Müalicəsi. Təcili olaraq intubasiya edilir, süni ventilyasiya başladılır, hemodinamika stabilləşdirilir və qarın boşluğu USM edilir. Qarın daxili qanaxma tapılarsa təcili laparotomiya yerinə yetirilir. Əməliyyat vaxtı kəllədaxili hipertenziya (bəbək genişlənməsi) inkişaf edərsə ventuloqrafiya edilir və ya əməliyyatdan sonra təcili KT yerinə yetirilir. Xəstədə qarındaxili patologiya yoxdursa birbaşa beyin KT edilir və tapılan patologiyaya uyğun müalicə verilir.

Kəllədaxili hipertenziya

Tərifi. Kəlldaxili hipertenziya kəllə daxilində təzyiqin artması nəticəsində (20 mm Hg st-dan çox) beyinin perfuziyasının pozulması və sıxılaraq zədələnməsi olub, kompartman və ya sıxışma sindromu da adlanır. Həm yerli, həm də diffuz beyin zədələnmələri kəllədaxili hipertenziyaya səbəb ola bilirlər, hematoma, venoz tromboz və ödem ən çox rast gəlinən səbəblərdir. Bu sindrom beyin travmalarında ölümün əsas səbəbi sayılır.

Diaqnozu. Koma əlamətləri ilə yanaşı anizokoriya və bəbək refleksinin olmaması xarakterikdir. Beyindaxili hipirtenziyada eyni tərəfdəki okulomotor sinir sıxılır və ilk növbədə parasimpatik liflərin funksiyası pozulur, nəticədə bəbək genişlənir və işığa reaksiyası (daralması) zəifləyir (bəbək beyinin güzgüsüdür). Hipertenziya artarsa okulomotor sinirin hərəki lifləri də paraliz olur ki, bu da gözün çəpləşməsinə (aşağı və bayıra) səbəb olur. İkitərəfli dilatasiya isə adətən hipoksiyalarda və ikitərəfli sinir zədələnməsində rast gəlinir. KT diaqnozu dəqiqləşdirə bilir və beyin çəpərində yerdəyişmə xarakterik əlamətdir.

Müalicəsi. Çıxarıla bilən kütlə varsa (hematoma) dekompressiya ilk seçimdir. Təzyiqi azaltmaq üçün qeyri-cərrahi üsullar kimi baş tərəfin 30-45 dərəcə qaldırılması, diuretik (mannitol ilk seçimdir), sakitləşdirici (tiopental) və yüngül hiperventilyasiya (CO2 30-35 mm Hg st.) tətbiq edilir.

Beyinin digər zədələnmələri

Hemodinamika stabil olan xəstədə yüngül və ya orta dərəcəli beyin zədələnməsi varsa (GKŞ 9-dan çox) beyin KT edilir (əgər bəbək genişlənməsi olarsa KT təcili yerinə yetirilir). KT-də əməliyyat tələb edilən vəziyyət yoxdursa müşahidədə saxlanılır. Yaxşılaşma görünərsə poliklinik nəzarət, nevroloji pisləşmə varsa (GKŞ azalır, bəbək genişlənir) təkrari KT edilir.

Beyin funksiyalarını izləmək üçün GKŞ, bəbəklərin ölçüsü və reaksiyası, KT və gərəkərsə kəllədaxili təzyiq yoxlanılır.

 

 

  1. Açıq müayinə

 

Prinsip

Soyundurmaq və tam vizual müayinə etmək

Hava yolu, ventilyasiya, hemodinamika və beyin yoxlandıqdan və stabilləşdirlildikdən sonra ilkin yoxlamanın növbəti pilləsi kimi açıq müayinə aparılır. Bu pillənin hədəfi xəstənin soyunduraraq təhlükə törədən və ya törədə biləcək zədələnmələri aşkar etmək, soyuqdan qorumaqdır. Bu məqsədlə əvvəlcə xəstənin bütün paltarları soyundurulur, vücudu ilk olaraq təcili vizual müayinə olunur.

 

 

Ş. Şərait

 

Prinsip

Soyuqdan qorumaq

Birinci yoxlamanın hava yolu, ağciyər tənəffüsü, qan dövranı, beyin və açıq müayinə pillələri bitdikdən sonra şərait qiymətləndirilir. Bu pillədə məqsəd xəstəni soyuqdan qorumaqdır.

Soyundurma, qanaxma və infuziyalar xəstədə üşümə və hipotermiyaya səbəb olur. Hipotermiya bir çox sistemlərə, xüsusən də laxtalanma sisteminə (hipokoaqulyasiya) mənfi təsir göstərir, şokun, hipoksiyanın korreksiyanı çətinləşdirir. Ona görə də xəstələri soyuqdan qorumaq üçün aşağıdakı tədbirlər aparılmalıdır:

  • üzərinə isti örtüklər sərilir
  • müayinə otağının hərərəti otaq temperaturundan yuxarı olmalıdr
  • venadaxili infuziyalar isitmiş şəkildə verilir (37-380C)

 

 

İlkin yoxlamanın tamamlanması tədbirləri

 

İlkin yoxlamanın bu son pilləsində məqsəd aparılan aşakarlama və stablizasiya tədbirlərinin nəticələrini obyektiv üsullarla dəqiqləşdirməkdir. Bu məqsədlə aşağıdakı monitorizasiya, laborator və görüntüləmə müayinələri həyata keçirilir.

 

Monitorizasiya

  • EKQ – nəbzi, ürək fəaliyyətini qiymətləndirmək üçün
  • Puls oksimetr – saturasiyanı qiymətləndirmək üçün
  • Avtomatik təzyiq ölçən cihaz – təzyiqə vaxtaşırı nəzarət etmək üçün
  • Kapnoqrafiya - intubasyon boruya CO2-metr taxılır.
  • Sidik kateteri – sidik ifrazını qiymətləndirmək üçün

 

Laboraor müayinələr

  • Qan qrupu və uyğunluq testi
  • Hemoqram – xüsusən hematokrit və hemoqlobini yoxlamaq üçün
  • Biokimya – böyrək, qaraciyər, şəkər analizləri
  • Koaquloqram – INR, APTZ və digər
  • Qan qazları – pH, PaO2, PaCO2, əsas defisiti, laktat
  • Β-HCG – gənc qadınlarda hamiləliyi yoxlamaq üçün
  • Toksikoloji analizlər – etanol və göstərişə görə digər

 

Görüntüləmə müayinələri

  • Rentgen – döş və çanaq rentgenləri bütün küt travmalı xəstələrdə aparılır. Xəstə stabildirsə boyunu qiymətləndirmək üçün KT edilir, stabil deyildirsə 3-proyeksiyalı boyun rentgeni edilir
  • USM – travmalı xəstədə fokuslanmış abdominal sonoqrafiya (FAST) aparılaraq 6 bölgədə mayenin (qanın) olub-olmadığı araşdırılır: sağ parakolik, Morrison cibi, perikard, perisplenik, sol parakolik və suprapubik. USM plevral mayeni də təyin etmək üçün istifadə edilə bilər. Qeyd etmək lazımdır ki, USM-in neqativ olması böyük qarındaxili zədələnməni inkar etmir.
  • KT – stabil xəstələrdə kontrastlı müayinə ilə aparılarsa əksər travmaların aşkarlanmasında ən effektiv üsuldur. Xüsusən də başın, boyunun, döş qəfəsinin, qarının və çanağın müayinəsi üçün əvəzsizdir.

 

 

Stablizasiya tədbirlərinin qiymətləndirilməsi

 

Stabilləşməni qiymətləndirmək üçün aşağıdakı obyektiv göstəricilər istifadə edilə bilər:

  • qanın pH – 7.4
  • Laktat və əsas defisiti
  • Sidik ifrazı – böyüklərdə 0,5-1 ml/kq/saat, uşaqlarda 1-2 ml/kq/saat

 

Qeyd etmək lazımdır ki, travmalı xəstələrin müayinə və müalicəsinin istənilən mərhələsində həyati vacib funksiyaların hər hansı birində pozulma baş verərsə YADDAŞ ardıcıllığı ilə birinci yoxlama yenidən təkrarlanırlar. Bu travmalı xəstənin aparılmasında ən ümdə prinsipdir.

 

 

İKİNCİ YOXLAMA

 

Birinci yoxlama bitdikdən sonra, yəni həyatqurtarma tədbirləri ilə xəstə stabilləşdirildikdən sonra ikinci yoxlama başlanır. İkinci yoxlamanın məqsədi travmalı xəstədə bütün zədələnmələri aşkarlamaq və qeyd etməkdir. Birincili yoxlamadan fərqli olaraq ikinci yoxlamada xəstə anatomik bölgələr üzrə başdan ayağa doğru (“təpədən dırnağa”) ardıcıl müayinə edilir. Baş, boyun, döş, qarın, çanaq-aralıq, onurğa sütunu və ətraflar əvvəlcə klinik müayinə edilir, şübhəli əlamətlər olarsa dəqiqləşdirmək üçün spesifik instrumental və laborator müayinələr başlanılır. Hər bölgənin müayinəsində ilk növbədə həyati təhlükəli, sonra təhlükə törədə biləcək, sonra isə digər zədələnmələri aşkar etmək, ağırlıq dərəcəsini və xarakterini müəyyənləşdirmək lazım gəlir. Yəni bütün bölgələr yoxlanılır, bütün zədələnmələr dəqiqləşdirilir. Qeyd etmək lazımdır ki, bu mərhələdə xəstənin vəziyyəti pisləşərsə, birinci yoxlama yenidən təkrarlanır və həyatqurtarma tədbirləri davam etdirilir. Unutmamaq lazımdır ki, ikincili yoxlama, o cümlədən insturmental müayinələr xəstə sabitdirsə aparıla bilər. Digər tərəfdən travmalarda instrumental və laborator müayinələr və müalicə təcili şəkildə yerinə yetirilməlidir. Bunun üçün travma mərkəzinin təchizatı yetərli olmalıdır.

 

Anamnez

Anamnestik olaraq ən vacib məlumatlar sürətli şəkildə əldə edilir ki, bunlara aşağıdakılar aiddir:

  • allergiya – allergiyasınının olub-olmadığı və nəyə qarşı olduğu soruşulur.
  • dərmanlar – daimi qəbul etdiyi dərmanlar, dozaları və axırıncı qəbul vaxtı öyrənilir.
  • xəstəliklər – hansı xəstəliklərinin olduğu və hazırda hansı xroniki xəstəliyinin mövcudluğu barədə məlumat alınır.
  • qida qəbulu – axırıncı qida qəbulu barədə məlumat alınır.
  • hadisə – travmanın harada və necə baş verdiyi öyrənilir.
  • ünvan – ünvanı və yaxınları barədə məlumat alınır.

 

Baş müayinəsi

Baş və üzdə baxma və palpasiya ilə beyin zədələnməsi, kəllə sümükləri və kəllə əsası sınığı və digər yaralanmalar axtarılır.

  • Huşun vəziyyəti GKŞ ilə qiymətmədirilir
  • Bəbəklərin ölçüsü və işığa reaksiyası qiymətləndirlir
  • Baxma və palpasiya ilə baş və üzdə yaralar, əzilmələr, sınıqlar axtarılır
  • Kəllə əsası sınığı əlamətləri yoxlanılır: periorbital hematoma, mastiod hematoma, hemotimpanium, burun və və qulaqda serebrospinal maye
  • Gözlərdə qanaxma, zədələnmə, görmə, linzalar ətrafında hematoma, şişkinlik axtarılır.
  • Beyin sinirlərinin funksiyaları yoxlanılır (tam nevroloji müayinə)
  • Qulaq və burunda zədələnmələr axtarılır
  • Ağız boşluğu müayinə olunur
  • Kontakt linza, yad cisimlərdən təmizləmə
  • Yaralara aseptik sarğı

 

Boyun müayinəsi

Boyunda baxma və palpasiya ilə ilk növbədə 3 qrup zədələnmə axtarılır:

  • boyun fəqərələri
  • boyun damarları
  • aerodigestiv (traxeya, qırtlaq və qida borusu

Boyun fəqərələrinin müayinəsi travmalı xəstələrdə ən vacib müayinələrdən biridir. Boyun fəqərələrinin zədələnməsi inkar edilənə qədər xəstədəki boyunluq çıxarılmamalıdır. Fəqərə sütunu zədələnmələri adətən boyunda ağrı ilə  büruzə verir, fəqərələrdəki zədələnmələr KT ilə, bağlardakı zədələnmələr isə MRT ilə dəqiqləşdirilir. Boyun fəqərələrinin zədələnmələrini dəqiqləşdirmək üçün xəstənin vəziyyətindən asılı olaraq yanaşmalar seçilir.

  • Ayıq və huşu yerində olan və boyunda ağrıdan şikayət etməyən, palpator olaraq və hərəkət vaxtı fəqərələri səviyyəsində ağrılar olmadıqda fəqərələrdə zədələnmə ehtimalı çox aşağıdır, boyunluq çıxarıla bilər.
  • Ayıq, huşu yerində olan, lakin boyunda ağrısı olan və ya palpator və ya hərəkət vaxtı boyunda ağrı meydana gələn xəstələrdə ilk növbədə boyun KT edilir və fəqərələr qiymətləndirilir. Fəqərələrdə zədələnmə yoxdursa, boyun bağlarını qiymətləndirmək üçün MRT edilir. Çoxsaylı travması olan ayıq xəstələrdə də boyun zədələnməsini inkar etmək üçün KT və MRT lazım gəlir.
  • Huşsuz xəstələrdə boyun qeyri-stabil kimi qəbul edilir və KT edilməsi lazımdır. KT-də liqamentar zədələnməyə şübhə varsa MRT edilir.

Boyunda damar və aerodigestiv zədələnmələri yoxlamaq üçün ilk növbədə aşağıdakılar axtarılır:

  • qanaxma, hematoma
  • boyunda dərialtı hava (emfizema)
  • xırıltılı nəfəs, boğulma əlamətləri
  • palpator ağrı
  • yaraların dərinliyi (səthi – platizmaya qədər, dərin – platizmanı keçən) və yeri (I-III zonalar)

 

Döş qəfəsi müayinəsi

Döş qəfəsində baxma, palpasiya, perkusiya və auskulatasiya müayinələri aparılaraq 6 qrup anatomik strukturda zədələnmənin olub-olmadığına diqqət edilir:

  • pulmonar
  • traxeo-bronxial
  • kardiak
  • böyük damarlar
  • döş qəfəsi divarı
  • qida borusu

 

Aşağdakı əlamətlərin varlığı döş qəfəsi zədələnmələrinə şübhə yaradır:

  • çətin tənəffüs
  • döş qəfəsi asimmetriyası və asimmetrik hərəkət
  • traxeyanın yerdəyişməsi
  • boyun venaların şişkinliyi
  • döş divarında yara, hematoma
  • palpator olaraq qabırğa və döş sümüyü qırıqları
  • ekstranatomik hava – dərialtı emfizema, pnevmotoraks və ya pnevmoperikardium (ağciyər, traxeo-bronxial, qida borusu və boyun zədələnmələri)
  • hemotoraks
  • auskulatativ olaraq tənəffüs səslərinin eşidilməməsi və ya zəifləməsi. Qeyd etmək lazımdır ki, tənəffüs səslərinin eşidilməsi ağciyər zədələnməsini inkar etmir. Ona görə də saturasiya, arterial qan qazları və intubasion borudakı CO2 daha dəqiq müayinə sayılır.

 

Döş qəfəsi zədələnmələrinə şübhə varsa və xəstə stabildirsə KT edilərək zədələnmənin xarakteri dəqiqləşdirilir. Lazım gəldikdə əlavə olaraq bronxoskopiya, exokardioqrafiya və endoskopik müayinə aparılır.

 

Qarın müayinəsi

İkinci yoxlamanın qarın müayinəsində ilk hədəf qarındaxili qanaxma və orqan zədələnməsinin olub-olmadığını aşkarlamaqdır, zədələnmənin xarakteri isə adətən laparotomiya/laparoskopiya və ya bəzən KT ilə dəqiqləşdirilir. Qarındaxili zədələnməni yoxlamaq üçün zədələnmənin açıq yoxsa qapalı olmasından asılı olaraq yanaşma seçilir. Açıq yaralanmalarda yara təftişi, qapalı yaralanmalarda görüntüləmə müayinələri (USM, KT) ilk planda tutulur. Aşağıdakılardan hər hansı biri varsa qarındaxili zədələnməni göstərir:

  • Qeyri-stabil xəstədə açıq və ya qapalı qarın zədələnmmə əlamətləri
  • Qeyri-stabil xəstədə hava yolu, tənəffüsü və beyin funksiyası adekvatdırsa
  • Qarın yarasında orqanlar və ya möhtəviyyat
  • Qarında ağrı və peritonit əlamətləri
  • Görüntüləmədə qarında maye, ekstravazasiya, hematoma və s.

 

Çanaq müayinəsi

Çanq müayinəsində hədəf çanaq halqasının və sümüklərində sınığın olub-olmadığını klinik və rentgenoloji olaraq yoxlamaqdır. Bu məqsədlə çanaq bölgəsinə diqqətlə baxılır və çanaq sümükləri incə palpasiya edilir. Skrotal hematoma, qasıq hematoması, aşağı ətraflarda asimmetriya və palpator ağrı çanaq sümüyü sınığına ciddi şübhə yaradır. Rentgen və KT ilə dəqiqləşdirmək lazım gəlir.

 

Bel müayinəsi

Bel bölgəsinə diqqətlə baxılır, fəqrərələr palpasiya edilir. Ağrı, hematoma, yaralanma varsa və fəqərələr ağrılıdırsa dəqiqləşdirmək üçün KT edilir.

 

Aralıq müayinəsi

Aralıq bölgəsi və genital orqanlarda qanaxma, yaralanma, hematoma axtarılır. Çanaq, ureter, vaginal, rektal zədələnmələr yoxlanılır. Sidik kanalından qan gəlməsi, xaya hematoması, çanaq sümüyü sınığı uretral zədələnməyə yüksək şübhə yaradır. Vaginal müayinə çanaq sümüyü sınıqlarını dəqiqləşdirə bilər. Perrektum müayinədə qan görünməsi rektal zədələnməni göstərir, tonusun azalması spinal zədələnməyə şübhə yaradır. Ureter, vaginal və rektal zədələnmələrə şübhə varsa endokopik müayinələrlə dəqiqləşdirmək lazım gəlir.

 

Ətrafların müayinəsi

Ətraflar baxma, palpasiya edilərək 4 qrup anatomik strukturda zədələnmənin olub-olmadığı araşdırılır: yumşaq toxuma (dəri-dərialtı və əzələ), sümük və oynaqlar, damar və sinirlər. Qanaxma və işemiya əlamətləri (pulsasiyanın itməsi, soyuq, göyərmə və ya avazıma) damar zədələnmə əlamətləridir. Deformasiyalar, palpator və ya hərəkət edərkən ağrı, sümük xırıltısı sümüklərdə zədələnməni göstərir. Hematoma, gərginlik (kompartman), emfizema, krepitasiya yumşaq toxumalarda zədələnmə əlamətləridir. Sinirləri qiymətləndirmək üçün həssaslığı və refleksləri yoxlamaq lazım gəlir.

 

Təkrari qiymətləndirmə

İkinci müayinə bitdikdən sonra həyati funksiyalar yenidən gözdən keçirilir. Əgər qeyri-stabilllik varsa xəstəni stabilləşdirmək üçün YADDAŞ ardıcıllığı ilə birinci yoxlama yenidən başlanır.

 

GÖNDƏRMƏ

 

Xəstə stabildirsə köçürmə ─ ixtisaslaşmış klinikaya göndərmə işləri başlanır. Xəstənin göndərilməsi üçün uyğun klinika xəbərdar edilir. Transport, müşayiətçi, personal və müalicələr təşkil edilməyə başlanır.

Qeyd etmək lazımdır ki, həyati funksiyaları stabil olmayan xəstələr göndərilməməlidir və ya reanimasiya və əməliyyatxana şəraiti olan xüsusi transport vasitələri ilə göndərilməlidir.

 

 

TRAVMADA İXTİSASLAŞMIŞ YARDIM

 

İlkin xəstəxana yardımı mərhələsindəki birincili və ikincili yoxlamalar bitdikdən və xəstə stabilləşdikdən sonra ixtisaslaşmış yardım mərhələsi başlanır. Bu mərhələ bərpa prinsipi üzərində qurulur və xəstədə hərtərəfli müayinələr edilir və bütün yaralanmalar bərpa edilir. İxtisaslaşmış yardım adətən uyğun sahənin mütəxəssisləri tərəfindən həyata keçirilir.

 

Özət

Travma dedikdə fiziki, mexaniki, kimyəvi və bioloji amillərin qısamüddətli təsiri nəticəsində orqanizmdə meydana gələn morfo-funksional pozulma nəzərdə tutulur. Travma əlilliyə və ölümə səbəb olan xəstəliklər arasında ilk yerdə durur və 20-50 yaş qrupu insanlarda ölümün ən çox rast gələn səbəbidir. Travmadan sonra ölüm halları ən çox 3 dövrdə rastlanır:

  • ilk dəqiqələrdə (ölümlərin 50%-ni təşkil edir), ağır beyin zədələnməsi, aorta, ürək və böyük damarların zədələnmələri, ani böyük qanaxma və həyatla uyuşmayan zədələnəmələr əsas səbələrdir
  • ilk saatlarda (ölüm hallarının 30%-ni təşkil edir), beyin zədələnməsinə, qanaxmaya və tənəffüs yetməzliyinə bağlı hipoksiya əsas səbəbdir
  • travmadan 24 saat sonrakı dövrdə (ölüm hallarının 20%-ni təşkil edir), sepsis əsas ölüm səbəbidir

Travmalı xəstələrə müasir tibbi yardım travmanın yuxarıdakı təbii gedişinə və həyati vacib orqanların funksiyasına əsaslanır və aşağıdakı prinsiplər üzərində qurulur:

  • Erkən yardım – travmadan sonrakı ilk 60 dəqiqə həyatqurtarma (“qızıl saat”)
  • Ardıcıl yardım – yardım YADDAŞ adlandırılan ardıcılıqla (Yol, Ağciyər, Dövran, beyin (Düşüncə), Açıq müayinə, Şərait) edilməlidir
  • Pilləli yardım – həyati vacib orqanlardan birinin müayinəsi və tapılan patologiyası aradan qaldırıldıqdan sonra digərinə keçmək lazımdır (birini bitir, sonra digərinə keç)
  • Mərhələli yardım – əvvəl həyatqurtarma tədbirləri, sonra isə bərpa tədbirləri həyata keçirilməlidir: xəstəxanayaqədərki yardım (“çıxar və xəstəxanaya qaç”), ilkin xəstəxana yardımı (həyatqurtarma – stabilləşdirmə və göndərmə), ixtisaslaşmış yardım – erkən bərpa və sepsisin profilaktikası.

Xəstəxanayaqədərki yardım mərhələsində əsas məqsəd xəstəni zədələyici amilin təsirindən qurtarmaq, təcili yardım çağırmaq və ya xəstəxanaya erkən çatdırmaq, ilkin yardımı göstərməkdir. İlk yardımda sadə və sürətli üsullarla həyati vacib funksiyalar qiymətləndirilir və həyatqurtarma tədbirləri həyata keçirilir:

  • Nəfəs alırmı? Əgər nəfəs almırsa hava yolunu açmaq və maska ilə nəfəs vermək
  • Nəbzi və ya ürək döyüntüsü varmı? Əgər yoxdursa ürək masajı başlatmaq
  • Davam edən xarici qanaxma varmı? Varsa dayandırmağa çalışmaq
  • Boyun və ya onurğa zədələnməsinə şübhə varmı? Varsa və ya bilinmirsə xəstəni tərpətməzdən əvvəl boyunu və onurğa sütununu qorumaq
  • Sümük sınıqları varsa şina qoymaq

İlkin xəstəxana yardımı mərhələsində məqsəd travmadan sonrakı ilk 60 dəqiqədə (“qızıl saat”da) baş verən ölüm hallarının qarşısını almaq üçün həyati funksiyaları (tənəffüs, qan dövranı, beyin) sabitləşdirmək (həyatqurtarma) və vaxt itirmədən ixtisaslaşdırılmış yardıma göndərməkdir. Bu məqsədlə birincili (ilkin) və ikincili yoxlamalar adlanan iki qrup tədbirlər həyata keçirilir.

Birinci yoxlama tədbirlərinin məqsədi xəstənin həyatını qurtarmaqdır, yəni stabilləşdirməkdir – orqanizmin adekvat oksigenasiyasına nail olmaq üçün adekvat hava yolunu, ventilyasiyanı, perfuziyanı və beyin fəaliyyətini təmin etməkdir. Bu məqsədlə həyati vacib orqanlar YADDAŞ ardıcılığı ilə müayinə edilir və tapılan həyati təhlükəli patologiyalar təcili aradan qaldırılır (“axtar-tap-düzəlt”).

Birinci yoxlama bitdikdən, yəni həyatqurtarma tədbirləri ilə xəstə stabilləşdirlidikdən sonra ikinci yoxlama başlanır. İkinci yoxlamanın məqsədi travmalı xəstədə bütün zədələnmələri aşkarlamaq, qeyd etmək və ixtisaslaşmış yardıma göndərməkdir. İkinci yoxlamada xəstə anatomik bölgələr üzrə başdan ayağa doğru (“təpədən dırnağa”) ardıcıl müayinə edilir. Baş, boyun, döş, qarın, çanaq-aralıq, onurğa sütunu və ətraflar əvvəlcə klinik müayinə edilir, şübhəli əlamətlər olarsa dəqiqləşdirmək üçün spesifik instrumental və laborator müayinələr başlanılır. Hər bölgənin müayinəsində ilk növbədə həyati təhlükəli, sonra təhlükə törədə biləcək, sonra isə digər zədələnmələri aşkar etmək, ağırlıq dərəcəsini və xarakterini müəyyənləşdirmək lazım gəlir. Unutmamaq lazımdır ki, ikincili yoxlama, o cümlədən instrumental müayinələr xəstə sabitdirsə aparıla bilər. Digər tərəfdən travmalarda instrumental və laborator müayinələr və müalicə təcili şəkildə yerinə yetirilməlidir.

İlkin xəstəxana yardımı mərhələsindəki birincili və ikincili yoxlamalar bitdikdən və xəstə stabilləşdikdən sonra ixtisaslaşmış yardım mərhələsi başlanır. Bu mərhələ bərpa prinsipi üzərində qurulur - xəstədə hərtərəfli müayinələr edilir və bütün yaralanmalar bərpa edilir. İxtisaslaşmış yardım adətən uyğun sahənin mütəxəssisləri tərəfindən həyata keçirilir.

 

 

Travmada birincili və ikincili yoxlamalar üzrə suallar

N.Y.Bayramov, Ş.Ə.Məmmədova

 

Suallar

Cavablar

Travmadan sonra ölüm halları əsasən hansı dövrlərdə müşahidə olunur?

  • İlk dəqiqələrdə (50%)
  • İlk saatlarda (30%)
  • 24 saat sonra (20%)

Travmatik xəstələrdə ölüm baş verməsində əsas mexanizm nədir?

MOY – multiorqan yetməzliyi

MOY-un səbəbləri nələrdir?

  • İlk 24 saatda- hipoksiya
  • Sonrakı dövrdə - SİRS və sepsis

Hipoksiyanın mexanizmləri hansılardır?

  • hipoksemiya
  • hipoperfuziya (şok)

Travmada qüsurlu dövran?

Yolun tıxanması → ventilyasiyanın pozulması → perfuziyanın pozulması → beyində zədələnmələr → ventilyasiya və perfuziyanın pozulması

Travma zamanı yardımın mərhələləri nələrdir?

  • Xəstəxanayaqədərki yardım
  • İlkin xəstəxana yardımı
  • İxtisaslaşdırılmış yardım

Travmada yardım prinsipləri nələrdir?

  • Erkən yardım
  • Ardıcıllıq prinsipi (YADDAŞ)
  • Pilləlilik prinsipi
  • Mərhələli yardım

YADDAŞ prinsipi nədir?

Yol - hava yolu

Ağciyər tənəffüsü

Dövran – qan dövranı

Düşüncə - beyin

Açıq müayinə

Şərait - kateterlər qoyma, şəraiti düzəltmə

Hava yolu müayinəsinin məqsədi nədir?

Hava yollarının açıqlığını və boyunun immoblizasiyasını təmin etmək

Hava yolu tıxanma əlamətləri hansılardır?

  • Danışma çətinliyi
  • Apnoe
  • Səsli tənəffüs
  • Süst düşmə və sianoz
  • Əlavə əzələlərin iştirakı

Hava yolu tıxanmasını dəqiqləşdirmək üçün ən rahat üsul hansıdır?

Xəstəni danışdırmaq

Hava yollarının zədələnmə əlamətləri hansılardır?

  • yarada hava qabarcıqları
  • dərialtı emfizema
  • xırıltılı səs, səsin karlaşması
  • qanhayxırma
  • boğulma əlamətləri
  • yarada kəsilmiş traxeya
  • yaradan massiv qanaxma
  • boyunda hematoma və ya küy

Hava yolları tıxanmalarında yardım üsulları hansılardır?

  • Oksigenasiya
  • Boyun fiksasiyası
  • Ağız və udlağı təmizləmə
  • Müvəqqəti hava yolu
  • Çənəni asma və ya irəli itələmə
  • Orofaringeal və ya nazofarengeal boru
  • Əsas (güvənli) hava yolu (intubasiya) orotraxeal və ya nazotraxeal
  • Cərrahi - krikotiroidotomiya

Ağciyər tənəffüsü müayinəsinin məqsədi nədir?

Ventilyasiyanı pozan həyati təhlükəli zədələnmələri aşkarlamaq

Ağciyər tənəffüsü müayinələrinə nələr daxildir?

  • Baxma, auskultasiya
  • Döş qəfəsi hərəkəti, simmetriyası
  • Tənəffüs sayı, dərinliyi
  • Yara və zədələnmə
  • Əlavə əzələ hərəkəti
  • Boyun venaları

Ventilyasiya pozulması əlamətləri nələrdir?

  • Apnoe
  • Təngnəfəslik
  • Nəfəs çətinliyi
  • Sianoz
  • Asimmetriya
  • Səslərin azalması və ya eşidilməməsi
  • Nəfəs alan yara
  • Hərəkətli pəncərə

Ventilyasiya tədbirlərinə nələr daxildir?

  • Oksigen verilməsi
  • Mexaniki ventilyasiya
  • Plevral drenaj

Qan dövranı müayinəsinin əsas məqsədi nədir?

Qanxama və şok (hipoperfuziya) kimi həyati təhlükəli patologiyaları aşkarlamaq

Qan dövranı müayinəsinə hansı göstəricilər daxildir?

Hemodinamik göstəricilər

  • Nəbz
  • Nəbz təzyiqi
  • Mərkəzi venoz təzyiq (MVT)
  • Ortostatik hipotenziya

Perfuziya göstəriciləri

  • Dərinin hərarəti və rəngi
  • Dırnaqda kapilyar testi
  • Sidik ifrazı
  • Huşun vəziyyəti
  • Arterial pH, qanda laktat

Qan dövranı pozulması əlamətləri hansılardır?

  • Qanaxma
  • Taxikardiya
  • Təzyiqin azalması
  • Soyuq dəri
  • Alaqaranlıq huş
  • İnfuziyaya cavab verməmə
  • Qanaxmanın yerli əlamətləri

Hansı xəstələrdə hipovolemiya zamanı normal arterial təzyiq müşahidə edilə bilər?

Gənc xəstələrdə

Hansı xəstələrdə hipovolemik şok zamanı taxikardiya müşahidə edilməyə bilər?

Onurğa beyni zədələnmələrində, β-blokator istifadəsi zamanı, idmançılarda

Şokda müalicə tədbirlərinə nələr daxildir?

  • Qanaxmanı dayandırma
  • Qan həcminin bərpası – infuziya
  • Oksigen daşımanı artırma və tələbatı azaltma
  • Adekvat toxuma perfuziyasını qorumaq

Beyin müayinələrinin məqsədi nədir?

Beyin zədələnməsini aşkarlamaq və beyini ikincili zədələnmədən qorumaq

İkincili zədələnmə törədən əsas amillər hansılardır?

Hipoksemiya, hipoperfuziya və kəllədaxili hipertenziya, yüksək hərarət və qıcolmalar

Beyi funksiyasını qiymətləndirmək üçün hansı göstəricilər nəzərə alınmalıdır?

  • Mental status - QKŞ (Glasgow Koma Şkalası)
  • Bəbəklərin ölçüsü və reaksiyası
  • Motor və sensor zədələnmələr

QKŞ qiymətləndirmə sisteminin göstəricilərinə nələr daxildir?

  • Gözlərin açma reaksiyası - açıqdır, səsə açır, ağrıya açır, açmır
  • Motor cavab – adekvat, ağrının yerini göstərir, ağrıdan uzaqlaşır, dekortikasion poza, deserebralizasion poza, hərəkət etmir
  • Verbal cavab – adekvat, qarışıq, tək-tək kəlimələr, anlaşılmayan səslər, danışmır

Normal insan QKŞ ilə neçə balla qiymətləndirilir?

15

Ölən insan QKŞ ilə neçə balla qiymətləndirilir?

3

Koma QKŞ ilə neçə balla qiymətləndirilir?

≤8

QKŞ ilə neçə bal intubasiyaya göstərişdir?

≤8

Beyin zədələnmə əlamətləri nələrdir?

  • Amneziya
  • GKŞ ≤15
  • Anizokariya
  • Bəbəyin reaksiyasının azalması
  • Lateralizasiya

Beyin zədələnməsi zamanı beyini qoruma tədbirləri nədən ibarətdir?

  • Oksigenasiya
  • Şokun müalicəsi
  • Kəllədaxili hipertenziyanı aradan qaldırma
  • Dekompressiya
  • Başı qaldırma
  • Hiperventilyasiya
  • Diuretiklər
  • Sakitləşdiricilər

Açıq müayinənin məqsədi nədən ibarətdir?

Böyük zədələnmələri, qanaxmanı gözdən qaçırmamaq, təkrari müayinəni asanlaşdırmaq və ikinci müayinəyə hazırlıq

İkincili müayinə kimlərdə aparılır?

Stabil (stabilləşdirilmiş) xəstələrdə

İxtisaslaşmış yardım nədir?

Birincili və ikincili yoxlamalar bitdikdən sonra mütəxəssislər tərəfindən aparılan müayinə və müalicə