Azərbaycan Respublikası Səhiyyə Nazirliyi Elmi-Tibbi Şurasının 6 dekabr 2018 tarixli 24 saylı və Azərbaycan Respublikası Təhsil Nazirliyinin 07.02.2019 tarixli F-66 saylı qərarı ilə “070101-Müalicə işi” ixtisası üzrə dərslik kimi təsdiq edilmişdir

Yırtıqlar

Bayramov N.Y., Namazov A.E.

Ədəbiyyat

Ümumi ədəbiyyat

  • Ağayev B.A. Cərrahi xəstəliklər. Bakı 2010.
  • Blackbourne LH. Surgical Recall. 4 edition, 2006, LWW, Philadelphia
  • Doherty GM. Current Diagnosis and Treatment: Surgery,  13th edition, 2010, Lang International Edition.
  • Əmiraslanov Ə.T., Qazıyev A.Y. Onkologiya. Bakı, 2010.
  • İsayev H.B. Cərrahi xəstəliklərin patofizologiyası. Bakı 2005
  • Klingensmith ME, Aziz A, Bharat A, Fox AC, Porembka MR. The Washington Manual of Surgery, 6th edition, 2012, LWW, Philadelphia.
  • McNally PR. GI/Liver Secrets Plus. 4 edition. Mosby, Elsevier, 2010
  • Medscape, http://www.medscape.com
  • Oxford Handbook of Clinical Surgery, 3d edition, 2011, Oxford Press
  • Sayek İ. Sayek Temel Cerrahi 1-2. 4-cü baskı, 2016, Güneş Tıp Kitabevleri.
  • Topçubaşov M.A. Xüsusi cərrahlıq. Bakı, 1979
  • UpToDate, http://www.uptodate.com

YIRTIQLAR

Bayramov N.Y., Namazov A.E.

 

YIRTIQLARIN ÜMUMİ XARAKTERİSTİKASI

 

Tərifi

Orqanların yerləşdiyi boşluqdan kənara çıxmasının 3 forması var: yırtıq, eventrasiya və prolaps.

  • Yırtıq orqanların yerləşdiyi boşluğun divarındakı deffektdən peritonla birlikdə kənara çıxmasına deyilir.
  • Eventrasiya (evisserasiya) orqanların yaradan periton səhifəsiz kənara çıxmasıdır.
  • Prolaps (sallanma) orqanın bitişik olduğu təbii dəlikdən təkbaşına və ya digər orqanlarla birlikdə kənara çıxmasıdır.

 

Təsnifatı

Səbəbinə görə

  • Anadangəlmə
  • Qazanılmış
    • Təbii dəliklərdən (birincili)
    • Əməliyyat kəsiyindən (ikincili)
 yirt img 1

Yerinə görə

  • Xarici yırtıqlar
    • Ön divar yırtıqları
      • Qasıq
      • Bud
      • Göbək
      • Ağ xətt
      • Aypara qövs (Spigel)
      • Əməliyyatdan sonrakı
    • Bel yırtıqları
    • Çanaq yırtıqları
      • Obturator
      • Çanaq dibi
  • Daxili yırtıqlar
    • Diafraqmal
    • İntraabdominal
 yirt img 2

Gedişinə görə

  • Düzələn
  • Düzəlməyən
  • Boğulmuş
  • İltihablaşmış
  • Residiv
 yirt img 3

Yırtıq kisəsinin ölçüsünə görə

  • Kiçik (1,5 sm-dən kiçik)
  • Orta (1,5-3 sm)
  • Böyük (3 sm-dən böyük)
 yirt img 4

Yırtıq dəliyinin ölçüsünə görə

  • Kiçik (2 sm-dən kiçik)
  • Orta (2-10 sm)
  • Böyük (10 sm-dən böyük)
 yirt img 5

Yırtığın quruluşuna görə

Tam – yırtıq kisəsi və möhtəviyyatı əzələ-fassiya defektindən dəri altına çıxır.

İntramural – yırtıq kisəsi qarın divarının qatları arasında yerləşir

Sürüşkən – yırtıq kisəsinin bir divarını orqan təşkil edir

 

 

Morfologiyası

Yırtıq 3 komponentdən ibarətdir:

  • Yırtıq kisəsi – peritonun əmələ gətirdiyi kisədir.
  • Yırtıq qapısı – qarın divarındakı əzələ-fassiya defektidir.
  • Yırtıq möhtəviyyatı – qarındaxili orqanlar və ya orqan hissələridir (bağırsaq, piylik, yumurtalıq, uşaqlıq borusu, hətta dalaq, qaraciyər, mədə və s).

Yırtıqların ölçüsü bir neçə millimetrdən tutmuş 40-50 sm-ə qədər çata bilər.

yirt img 6

 

Rast gəlməsi

Yırtıqlar təxminən əhalinin 5-10%-ində rast gəlir. Yırtıqların təxminən 75%-i qasıq  (50%-ni çəp, 25%-ni düz ), 5%-i bud yırtıqlarının, 20% -i isə digər yırtıqların payına düşür. 

 

Səbəbləri

Patogenetik baxımdan yırtığa səbəb olan amilləri iki qrupda cəmləşdirmək olar: əsas və köməkçi.

  • Əsas səbəblər toxumalarının möhkəmliyini zəiflədərək qarın divarında əzələ-fassiya defekti törədən anadangəlmə və qazanılmış  amillərdir.
  • Köməkçi səbəblər isə qarındaxili təzyiqi artıran risk faktorlarıdır.

Defektlər təbii (qasıq, bud, göbək və s.) və ya əməliyyatdan sonra meydana gələn dəliklər ola bilər. Normal halda təbii dəliklər ya çox kiçik olur, ya da qoruma mexanizmləri olur ki,  bunlar yırtığın əmələ gəlməsini əngəlləyir. Lakin aşağıdakı anadangəlmə və ya qazanılmış faktorlar  toxumaların zəifləməsinə, təbii dəliklərin genişlənməsinə və yırtığa şərait yaradır:

  • Anadangəlmə geniş defektlər
  • Anadangəlmə birləşdirici toxuma zəifliyi (kollagen displaziyası)
  • Sürətli arıqlama
  • Hamiləlik
  • İmmunosupressiya
  • Ahıl yaş
  • Sinir zədələnməsi

Əməliyyatdan sonrakı çapıqlarda yırtıq inkişafı 10-15% hallarda rast gəlir. Aşağıdakı amillər çapığın zəifləməsinə və əməliyyatdan sonrakı yırtıqların əmələ gəlməsinə meyl yaradır:

  • Yaranın irinləməsi
  • Erkən postoperativ dövrdə qarındaxili hipertenziya (köp, öksürək, ağır fiziki iş)
  • Piylənmə
  • Anadangəlmə birləşdirici toxuma zəifliyi
  • Sinir zədələnməsi

Qarındaxili təzyiq artıran aşağıdakı amillər yırtığa şərait yaradır:

  • Ağır fiziki iş
  • Qəbzlik
  • Öksürək
  • Prostat adenoması
  • Piylənmə
  • Hamiləlik
  • Assit

 

Patogenezi

Yırtığın meydana gəlməsi üçün iki amilin birlikdə olması vacibdir: defekt və qarındaxili təzyiqin artması. Kiçik defektlərdə yırtığın əmələ gəlməsi üçün qarındaxili təzyiqin çox artması lazım gəlir, böyük defektlərdə isə fizioloji qarındaxili təzyiq yırtıq törədə bilir.  

 

Gedişi və ağırlaşmaları

Yırtığın öz-özünə aradan qalxması, yəni defektin spontan sağalması praktik olaraq mümkün deyil, tam tərsinə yırtıq gedərək böyüyən və ağırlaşmalar törədə bilən xəstəlik hesab edilir.

Yırtıqların aşağıdakı gediş formaları ola bilər:

  • Düzələn - yırıq möhtəviyyatı vaxtaşırı yırtıq kisəsinə daxil olur (öskürərkən, yeriyərkən, fiziki iş zamanı, defekasiya vaxtı və s.) və qarındaxili təzyiq azaldıqda və ya əllə qarın boşluğuna geriyə qayıdır.
  • Düzəlməmə (bitişmə) – yırtıq möhtəviyyatı kisənin divarı ilə bitişmələr əmələ gətirdikdə geriyə qayıtmır. Bu adətən uzunmüddətli yırtıqlarda travmatizasiyaya bağlı meydana gəlir.
  • Boğulma - yırtıqların ən təhlükəli ağırlaşması olub yırtıq möhtəviyyatının yırtıq qapısında sıxışması nəticəsində meydana gəlir. Boğulma yırtıq kisəsinə çoxlu miqdarda möhtəviyyatın birdən - birə daxil olması nəticəsində (elastik boğulma) və ya yırtıq kisəsindəki bağırsaqlarda peristaltikanın zəifləməsi və bağırsaq möhtəviyyatının toplanması nəticəsində meydana gəlir (koprostaz mexanizmi). Boğulma orqanın sıxılmasına, işemiya və nekrozuna səbəb olur.
  • Residiv yırtıqlar üçün xarakterik hadisədir. Residivin baş verməsində aşağıdakı amillərin rolu var:
  • Yırtığın növü
  • Yırtıq qapısıətrafı toxumanın vəziyyəti
  • Yaranın irinləməsi
  • Müalicə üsulu, xüsusən toxumalarda gərginlik və yamaq istifadəsi
  • Yaş
  • Genetik toxuma zəifliyi

Yamaq istifadə edilməyən qasıq yırtıqlarında  5-10%, əməliyyatdan sonrakı yırtıqlarda 30-40%, hiatal yırtıqlarda 40-50% hallarda residiv rast gəlir. Sintetik yamaq istifadəsi residivi dəfələrlə azaltmışdır.Yırtığın ölçüsü, yeri, möhtəviyyatı və s. gedişinə təsir edə bilir. Qapısı kiçik, kisəsi isə böyük olan yırtıqlar, bud yırtığı, spigel yırtığı elastiki boğulmaya, əməliyyatdan sonrakı  və böyük yırtıqlar düzəlməməyə və koprostatik boğulmaya, hiatal  və böyük yırtıqlar residivlərə meyllidir. 

Ağırlaşmaları

  • Boğulma
  • İltihab (aseptik və ya bağırsaq nekrozuna bağlı abses və ya fleqmona)
  • Bağırsaq keçməzliyi
  • Xroniki qəbzlik
  • Digər

 

Klinikası

Yırtıqlar klinik olaraq 3 formada ortaya çıxır – asimptomatik, simptomatik və ağırlaşma əlamətləri ilə.

  • Asimptomatik yırtıqlar çox az rast gəlir, çox kiçik yırtıqlarda və erkən mərhələlərdə görünə bilir.
  • Simptomatik olaraq yırtıqlar şişkinlik (qabarma), ağrı və geriyə qayıtma əlamətləri ilə ortaya çıxır. Şişkinlik və ağrı adətən  fiziki iş vaxtı və ya qarındaxili təzyiq artarkən meydana gəlir. Öskürək simptomu – öskürdükdə qabarmanın görünməsi və ya əllə hiss edilməsi yırtığın xarakterik əlamətidir.  İkinci xarakterik əlaməti yırtığın tam və ya hissəvi olaraq geriyə qayıtmasıdır (spontan və ya palpasiya ilə)
  • Ağırlaşma əlamətləri – boğulma , keçməzlik, iltihabla ortaya çıxır. Davam edən güclü ağrılar və palpator ağrı  fonunda, öskürək təkanının mənfi olması və geriyə qayıtmama boğulmanın xarakterik əlamətləridir. Keçməzlik əlamətlərinin olması bağırsaq boğulmasını göstərir. Yırtıq kisəsində bağırsaqlar nekroza uğradıqda  kisədə və ətrafında abses və fleqmona baş verir. Piylik boğulduqda   başlanğıcda aseptik iltihab baş verir, sonra infeksiya qoşula bilir.

 

Diaqnostikası

Şübhə

Qarın divarının zəif (qasıq, göbək, bel) və əməliyyatdan sonrakı çapıq bölgələrində qabarmanın və ağrının olması ventral yırtığa şübhə yaradır. Qabarma və ağrının fiziki gərginlik vaxtı (iş, öskürək, defekasiya və s.) əmələ gəlməsi və ya artması yırtığa böyük şübhə yaradır.

 

Dəqiqləşdimə

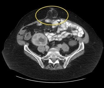
Xarici yırtıqların diaqnozu əksər hallarda klinik olaraq qoyulur, görüntüləmə üsulları erkən mərhələ yırtıqlarda, differensiasiyada, yanaşı xəstəlikləri və yırtığın ağırlaşmalarını müəyyənləşdirmək üçün tətbiq edilir. USM bütün xəstələrdə aparılır, KT isə əməliyyatdansonrakı yırtıqlarda yırtığın ölçülərini və möhtəviyyatını müəyyənləşdirmək və daxili yırtıqları təyin etmək üçün vacibdir. MRT idmançı yırtıqlarını digər xəstəliklərdən (periostit, nevralgiya və s) differensiasiyada ilk seçimdir. Yırtığa böyük şübhə olduqda lakin klinik və görüntüləmə üsulları ilə təsdiq etmək çətinliyi olanlarda laparoskopiya aparıla bilər.

 

Differensiasiya üçün aşağıdakı xəstəlikləri nəzərdə tutmaq lazımdır:

  • Törəmələr (lipoma, qranuloma, bəd xassəli törəmələr)
  • Kistlər
  • Seromalar
  • Limadenopatiya
  • İnfiltratlar

Yırtıqların xarakterik əlamətləri aşağıdakılardır:

  • Klinik əlamətləri:
    • fiziki aktivlik vaxtı ağrı və şişkinliyin meydana gəlməsi və ya artması
    • yırtıq qapısının əllə hiss edilməsi, dəliyinin genişlənməsi
    • öskürək təkanı simptomu: öskürərkən qabarmanın ortaya çıxmasını, böyüməsini və ya hərəkətli strukturu görmə və ya palapator hiss etmə.
    • geriyə qayıtma simptomu: qabarmanın uzanarkən spontan və ya əllə tam və ya hissəvi aradan qalxması
  • Görüntüləmə əlamətləri:
    • USM-də yırtıq kisəsi və Valsalva testində orqanın kisəyə yerdəyişməsi.
    • KT və ya MRT-də qarın divarında defekt, yırtıq kisəsi və yırtıq möhtəviyyatının (bağırsaq, piylik, və digər) görünməsi
    • laparoskopiya və ya laparotomiyada qarın boşluğuna açılan kisənin görünməsi.

yirt img 7

 

Ağırlaşmaların təyini

Yırtıqların ağırlaşmaları arasında boğulma, düzəlməmə, iltihablaşma, fleqmona çox rast gəlinir. Bu ağırlaşmaların diaqnozu klinik və görüntüləmə ilə bəzən də əməliyyat vaxtı qoyulur. Yırtığın boğulmasını və iltihablaşmasını ilk növbədə təsdiq və ya inkar etmək lazımdır, çünki təcili əməliyyat tələb edir.

Boğulmanın xarakterik əlamətləri:

  • kəskin başlayan və davam edən ağrı
  • kəskin ağrılı və gərgin yırtıq qabarı
  • öksürək təkanı simptomunun mənfi olması
  • görüntüləmədə orqanların ödemi və yırtıq kisəsində maye

 

yirt img 8

 

İltihablaşmanın əlamətləri:

  • Yırtıq qabarında ağrı, ödem, qızartı və ümumi iltihab əlamətləri

 

Düzəlməmə əlamətləri:

  • Öskürək simptomu müsbət olur, lakin yırtıq möhtəviyyatı spontan və ya palpator olaraq qarın boşluğuna salına bilmir.

Ağırlıq dərəcəsinin təyini

Yırtığın yerinə, ölçüsünə və ağırlaşmalarına əsaslanan müxtəlif təsnifatlar istifadə edilir.

 

Müalicəsi

Prinsip

Yırtığın yeganə müalicəsi cərrahi əməliyyatdır – yırtıq kisəsinin ləğvi (herniotomiya) və defektin bərpası. Defekti bərpa etmək üçün yerli toxumalar (herniorafiya) və ya sintetik və ya təbii yamaqlar (hernioplastika) tətbiq edilir. Son illər laparoskopik üsulla və yamaqla bərpa standart kimi qəbul edilməkdədir.

Müalicə yanaşması

Yırtıqlarda əməliyyatın vaxtı və üsulunun seçimində ağırlaşması, yeri və ölçüsü nəzərə alınır. Ağırlaşmamış yırtıqlar planlı qaydada, ağırlaşmış yırtıqlar isə təcili qaydada əməliyyat olunurlar.

Boğulmuş yırtıqlar təcili əməliyyat edilir. Laparoskopik abdominal  və ya açıq üsullar  tətbiq edilə bilər (ekstraperitonel giriş məsləhət deyil), boğulmuş orqanın həyat qabiliyyətini yoxlamaq vacib şərtdir.

Yırtıq fleqmonası təcili əməliyyat edilir, birbaşa laparotomiya və ya laparoskopiya girişi ilə bağırsaq rezeksiyası həyata keçirilir, sonra yırtıq kisəsi açılıb təmizlənir.

Nəhəng yırtıqlar adətən qarın boşluğu orqanlarının ən az 1/3 hissəsinin kənara çıxması ilə xarakterizə olunur. Belə yırtıqların bərpası vaxtı orqanların qarın boşluğuna yerləşməsi çətinləşir və kompartman əmələ gələ bilir. Kompartmanın profilaktikası üçün adaptasiya, mərhələli əməliyyatlar və ya rezeksiyalar tətbiq olunur.

Kiçik yırtıqlarda  (1,5 sm-dən kiçik orta xətt yırtıqları) defekti yerli toxumalarla bərpa etmək olar.

Kiçik uşaqlarda rast gəlinən kiçik yırtıqlarda  herniotomiya edilə bilər.

 yirt img 9  yirt img 10

 

QASIQ YIRTIĞI

 

Tərifi

Qasıq kanalından çıxan yırtıqdır.

 

Təsnifatı

Klinik morfoloji xüsusiyyətlərinə görə

  • Çəp qasıq yırtığı – daxili dəlikdən çıxır (aşağı epiqastrik damarların bayır tərəfindən), yırtıq kisəsi toxum ciyəsinin içərisində yerləşir, anadangəlmə və ya qazanılma ola bilir, xayalığa enə bilir, boğulmaya meyillidir.
  • Düz qasıq yırtığı – Hesselbax üçbucağından çıxır (aşağı epiqastrik damarların içəri tərəfindən), qazanılmadır, yırtıq kisəsi toxum ciyəsindən kənarda yerləşir, nadir hallarda xayalığa enir, boğulmaya az meyillidir.
  • Qarışıq (pantolon, ikili) qasıq yırtığı - həm düz, həm də çəp yırtıq eyni vaxtda rast gəlir.
  • İdmançı yırtığı – Hesselbax üçbucağı nahiyyəsində köndələn fassiyanın zəifliyidir, formalaşmış yırtıq kisəsi olmur.
  • Residiv qasıq yırtığı

Tərəfinə görə

Təktərəfli

İkitərəfli

Ölçüsünə görə

Kiçik – 1,5 sm-dən kiçik

Orta – 1,5-3 sm

Böyük – 3 sm-dən böyük

Mərhələsinə görə

I mərhələ - yırtıq kanalda yerləşir, xarici dəliyə çatmır

II mərhələ  - yırtıq kanalda yerləşir, xarici dəliyə çatır, lakin xayalığa enmir

III mərhələ - xayalığa enən yırtıq

Daxili dəliyin və arxa divarın vəziyyətinə, yırtıq kisıəsinin ölçüsünə görə Nuhs təsnifatı

Tip 1. – Çəp qasıq yırtığı, daxili dəlik normaldır, yırtıq kisəsi kanada yerəşir

Tip 2. – Çəp qasıq yırtığı, daxili dəlik genişlənib, lakin arxa divar intakdtır,  yırtıq kisəsi xayalığa enmir.

Tip 3a – düz qasıq yırtığı

Tip 3b- çəp qasıq yırtığı, arxa divar zəifliyi var

Tip 3c – bud yırtığı

Tip 4 – residiv yırtıqlar

Zollinger klassifikasiyası

I tip – çəp qasıq yırtığı

II tip – düz qasıq yırtığı

III tip - qarışıq

IV tip – bud yırtığı

Digər

Residiv yırtıqlar

 yirt img 11  yirt img 12

 

Rastgəlməsi

Yırtıqların 75% qasıq yırtığının payına düşür.

 

Qasıq kanalının və yırtığının anatomiyası

Qasıq kanalı qarının ön divarının aşağı hissəsində yerləşir, kişilərdə toxum ciyəsinin , qadınlarda isə girdə bağın qarın boşluğundan çıxdığı kanaldır.

Qasıq kanalının 4 divarı, iki dəliyi var:

  • Ön divarını xarici çəp əzələnin aponevrozu təşkil edir.
  • Arxa divarını Hesselbax üçbucağı adlanan nahiyyədəki köndələn fassiya təşkil edir. Köndələn fassiya intraabdominal fassiyanın qasıq bölgəsindəki qalınlaşmış hissəsidir. Hesselbax üçbucağının  tərəfləri: aşağıda qasıq bağı, bayırda aşağı epiqastrik damarlar, orta tərəfə isə düz əzələ kənarı təşkil edir.  Qadınlarda çanaq enli və geniş olduğu üçün Hesselabax üçbucağı dar olur və qasıq yırtıqları az rast gəlir. Kişilərdə isə çanaq dar və hündür olduğu   üçün Hesselbax üçbucağı geniş olur və qasıq yırtığı çox rast gəlir.
  • Yuxarı divarını daxili çəp və köndələn əzələlərin aşağı kənarı təşkil edir.
  • Aşağı divarını qasıq bağı təşkil edir. Qasıq bağı yuxarı qalça tini ilə qasıq qabarını birləşdirən aponevroz qalınlaşmasıdır, iliopubik trakt və ya Kuppfer bağı da adlanır.
  • Daxili dəliyi aşağı epiqastrik damarlardan lateralda yerləşir, xarici və köndələn əzələlərin liflərindən dəşkil olunmuş sfinkterəbənzər strukturla əhatə olunur. Bu “sfinkter” yırtığın əmələ gəlməsinin qarşısını alan önəmli strukturdur.
  • Xarici dəlik xarici çəp əzələ aponevrozunun qasıq qabarı səviyyəsində yerləşir.

Qasıq kanalında qalça-qasıq siniri(n. ilio-ingivinalis) ilə yanaşı kişilərdə  toxum ciyəsi, qadınlarda  isə girdə bağ yerləşir. Toxum ciyəsini bayırdan kremaster əzələ (daxili çəp əzələlərin liflərindən təşkil olunur) əhatə edir, daxilində toxum axacağı  (ductus defference),  xaya arteriyası, venoz kələf,  limfa axarları , genitofemoral sinirin ingivinal şaxəsi və zəif piy toxuması var. 

Yırtıq kisəsi anadangəlmə  yırtıqlarda peritonun obliterasiya olunmamış çıxıntısının hesabına əmələ gəlir, qazanılma yırtıqlarda isə peritonun özünün qabarması hesabına əmələ gəlir.

Çəp yırtıqlarda yırtığın qapısını daxili dəlik təşkil edir, yırtıq kisəsi isə adətən toxum ciyəsinin içərisində yerləşir.

Düz yırtıqlarda isə yırtığın daxili dəliyini Hesselbax üçbucağı təşkil edir , yırtıq kisəsi isə adətən toxum ciyəsindən kənarda yerləşir.

İdmançı yırtıqlarında isə arxa divarın zəifliyi qeyd olunur, bariz yırtıq kisəsi formalaşmır.

Yırtığın möhtəviyyatı peritondaxili və ya retroperitoneal orqanlar ola bilər. Kişilərdə peritondaxili orqanlar arasında ən çox nazik bağırsaqlar, qadınlarda isə uşaqlıq boruları və yumurtalıqlar yırtıq möhtəviyyatını təşkil edir. Retroperitoneal orqanlar arasında yırtıq möhtəviyyatını ən çox piy toxuması və sidik kisəsi  təşkil edir. 

yirt img 13

 

Klinika və diaqnostikası

Qasıq yırtıqlarının diaqnozunu əksər hallarda klinik müayinə ilə dəqiqləşdirmək olur:

  • qasıqda fiziki aktivlik vaxtı ağrı və şişkinlik
  • xarici qasıq dəliyinin genişlənməsi
  • öskürək təkanı simptomu
  • şişkinliyin geriyə qayıtması

Diaqnostik çətinlik olarsa USM və KT edilir. İdmançı yırtıqlarının təyini üçün MRT lazım gəlir. MRT yırtıq ilə qasıq sümüyü periostitini differensiasiya etməyə imkan verir.

Differensial diaqnostika

  • limfoadenopatiya
  • varikoz
  • lipoma
  • hidrosele
  • varikosele

 

Müalicəsi

Prinsip

Yırtığın yeganə müalicəsi cərrahi əməliyyatdır - yırtıq kisəsinin ləğvi (herniotomiya) və defektin bərpası (yamaqla və yamaqsız)

 

Üsulları

Qasıq yırtıqlarının əməliyyat üsullarını 3 qrupa bölmək olar: açıq gərginliksiz, açıq gərginlikli və laparoskopik.

Qasıq yırtığının açıq hernioplastika (gərginliksiz) üsullarına aşağıdakılar aiddir:

  • Lixtenşteyn üsulu – qasıq kanalının arxa divarına, köndələn fassiyanın üstünə yamaq qoyulur.
  • Trabukko üsulu – qasıq kanalı ləğv edilir, aponevrozun üstünə, yamaq qoyulur, toxum ciyəsi dəri altına çıxarılır.
  • Sintetik dolğu – daxilə dəliyə sintetik dolğu yerləşdirilir (hazırda az istifadə edilir).
  • Yırtıq sistemi (hernia sistem) – arxa divar ikiqat yamaqla möhkəmləndirilir.

Qasıq kanalının açıq herniorafiya üsulları (yamaqsız, gərginlikli bərpa) hazırda az tətbiq edilir, əsasən toxumaları normal olan gənc xəstələrdə və yamaq qoymağa əks göstəriş olduqda tətbiq edilir

  • Bassini üsulu – arxa divarın möhkəmləndirilməsi üsuludur,  yuxarı çəp və köndələn əzələlərin aponevrozu və köndələn fassiya qasıq bağına tikilir, düz əzələ yatağında gövşədici kəsik aparılır.  Hernioplastikayaqədərki dövrdə ən çox tətbiq edilən üsul idi.
  • Shouldice üsulu - arxa divar 4 qat möhkəmləndirlir: köndələn fassiya kəsilərək ust-üstə ikiqat tikilir, köndələn-çəp əzələ aponevrozu isə ikiqat tikişlə qasıq bağına tikilir.
  • McVay üsulu – arxa divarı möhkəmləndirmək üçün köndələn fassiya  qalça venasına qədər  qasıq sümüyü periostuna (Cooper bağına), venadan lateralda isə isə qasıq bağına   tikilir. Bu üsul bud yırtıqlarında da istifadə edilə bilir.
  • Darn üsulu – arxa divarın gərginliksiz möhkəmləndirmə üsuludur, köndələn və çəp əzələ aponevrozu fəsiləsiz tikişlərlə qasıq bağına gərginliksiz tikilir.
  • Ön divarın möhkəmləndilməsi (Martınov, Spasokukotski, Jirari və s.) nadir hallarda tətbiq edilir.
  • Postemski – qasıq kanalı ləğv edilir, toxum ciyəsi dəri altına çıxarılır, çox az hallarda residiv yırtıqlarda tətbiq edilir.

Qasıq kanalının laparoskopik hernioplastikasının iki üsulu geniş tətbiq olunur:

  • Laparoskopik transabdominal hernioplastika (TAPP) – qarın boşluğuna daxili olunur, periton kəsilir, retroperitoneal sahəyə (köndələn fassiya ilə peritonun arasına) yamaq qoyulur.
  • Laparsokopik total ekstraperitoneal hernioplastika (TEPP) – periton açılmadan retroperitoneal sahəyə daxil olunur, köndələn fassiya ilə peritonun arasına yamaq qoyulur

 

Müalicə seçimi

Qasıq yırtıqlarının müalicəsində standart müalicə kimi açıq və laparoskopik hernioplastika üsulları tətbiq edilir. Hansı üsulun seçimində cərrahın təcrübəsi və xəstənin vəziyyəti nəzərə alınır. Preperitoneal nahiyyədə əvvəllər əməliyyat keçirmiş xəstələrdə (aşağı laparotomiya, histerektomiya, Keysəriyyə, lparoskopik hernioplastika və s) açıq üsul ilk seçimdir, ikitərəfli yırtıqlarda, birincili və ya açıq əməliyyatdan sonra residiv yırtıqlarda laparoskopiya ilk seçimdir.

Açıq üsullar kimi gərginlikli - yamaqsız (Bassini, Shouldice, Mav-Vey və difər) və gərginliklsiz - yamaqlı (Lixtenshtein, Trabukko və s) üsullar tətbiq edilir. Əməliyyat bölgəsində infeksiya olduqda yamaqsız, digər hallarda isə yamaqlı üsullar ilk seçimdir. Laparoskopik üsullar arasında ciddi fərqlər yoxdur, həkimin təcrübəsinə görə hər hansı biri seçilə bilər.

Residiv qasıq yırtığında residiv laparoskopiyadan sonra baş veribsə açıq, açıq əməliyyatdan sonra baş veribsə laparoskopik üsul seçilir. 

 yirt img 14  yirt img 15

 

BUD YIRTIĞI

 

Tərifi

Bud kanalından çıxan yırtıqdır, köndələn fassiyanın bud kanalının daxili dəliyi səviyyəsindəki defekti ilə əlaqədar meydana gəlir.

Hazırkı təsnifatlarda qasıq bölgəsi yırtıqlarının  bir forması kimi təqdim edilir.

 

Bud kanalının anatomiyası

Qasıq kanalından fərqli olaraq normada formalaşmış bud kanalı yoxdur və  onun formalaşması yırtıqlar  zamanı baş verir. Bud kanalı formalaşdıqda üç divarı, daxili və xarici dəlikləri ortaya çıxır :

  • Ön divarını bud fassiyası təşkil edir
  • Arxa divarını dişli əzələ fassiyası təşkil edir
  • Bayır divarını bud venası təşkil edir.
  • Daxili dəliyinin tərəfləri- yuxarıda qasıq bağı, aşağıda dişli bağ, ortada lakunar bağ, bayırda bud venası.
  • Xarici dəliyini isə bud fassiyasındakı gizli dəlik təşkil edir (böyük gizli venanın bud venasına giriş yeri)
  • Lakunar bağ üzərindən aşağı epiqastrik arteriya ilə qapayıcı arteriyanı birləşdirən kollateral damar keçir ki əməliyyat vaxtı bunun zədələnməsi ağır qanaxmaya səbəb ola bilir.

 

Rastgəlməsi

Kişilərdə qasıq yırtıqları arasında 2%, qadınlarda isə 30% hallarda rast gəlinir.

 

Gediş xüsusliyyətləri

  • Nadir hallarda asimptomatik olur.
  • Boğulmaya və residivə meylli yırtıqdır.
  • Bud yırtıqlarının 30%-ində boğulma rastlanır və bunların 50%-ində bağırsaq rezeksiyası lazım gəlir.
  • Yırtığın daxili dəliyinin tərəflərini təşkil edən 4 strukturdan üçünün sərt olması (qasıq, lakunar və dişli bağlar) boğulmaya meyl törədən amil hesab edilir.  

 

Klinika və diaqnostikası

  • Klinikası və diaqnostikası qasıq yırtıqlarına çox bənzəyir.
  • Qasıq yırtıqlarından fərqli olaraq qapısı qasıq bağından aşağıda yerləşir, qadınlarda çox rast gəlir, boğulmaya meyllidir.
  • Diaqnozu dəqiqləşdirmək və differensiasiya məqsədi ilə USM və tomoqrafiya lazım gəlir.

Diferensial diaqnostikası

  • qasıq yırtığı
  • varikoz
  • lipoma
  • limfa düyünü
  • bud arteriyası anevrizması

 

yirt img 16 

Müalicəsi

Bud yırtıqlarının müalicəsində iki üsul tətbiq edilir – laparoskopik və açıq.

  • Laparoskopik üsul qasıq yırtıqlarındakı kimi yerinə yetirilir və boğulma olmayan hallarda tövsiyə edilir.
  • Açıq üsulda 3 giriş yolu tətbiq edərək yamaqlı və yamaqsız bərpa aparıla bilər: preperitoneal, ingivinal və femoral. Defektin yamaqsız bərpasında standart üsul qasıq bağını  Cooper bağına tikməkdən ibarətdir və bud venasının sıxılmamasına diqqət etmək lazımdır.
  • Preperitoneal girişdə (açıq və laparoskopik yolla aparıla bilər) qasıq kanalından yuxarıda köndələn kəsilərək preperitoneal sahə açılır, yırtıq kisəsi ləğv edilir. Defektin bərpası üçün herniorafiya (qasıq bağı Cooper bağına tikilir) və ya yamaqla hernioplastika edilir.
  • İnguinal girişdə (yuxarı giriş) qasıq kanalı açılır, arxa divarındakı köndələn fassiya kəsilir və preperitoneal sahə açılır, qasıq bağının altında yerləşən yırtıq ləğv edilir. Defektin bərpası üçün McVay üsulu ilə herniorafiya (qasıq bağı Cooper bağına tikilir) və ya yamaqla hernioplastika edilə bilər.
  • Femoral girişdə (aşağı giriş) yırtıq üzərində və qasıq bağından aşağı və paralel kəsiklə bud kanalı açılır, yırtıq kisəsi ləğv edilir. Defektin bərpası üçün  herniorafiya (qasıq bağının Cooper bağına tikilməsi) və ya yamaqla hernioplastika tətbiq edilə bilər.

Müalicə yanaşması

Bud yırtığında standart yanaşma laparoskopik üsulla bərpadır. Yamaq qoymağa və laparoskopiyaya əks göstəriş olarsa açıq üsullar tətbiq edilir.

 

GÖBƏK YIRTIĞI

 

Tərifi

Göbək həlqəsindən çıxan yırtıqdır

 

Rastgəlməsi

Uşaqlarda, hamilə qadınlarda və sirrozda  çox rast gəlinir.

 

Risk faktorları

Əsasən anadagəlmə olur, hamiləlik vaxtı  və ya sirrozda genişlənərək bariz hala gəlir. 

 

Gediş xüsusiyyətləri

  • Uşaqlarda əksər hallarda 2-3 yaşına qədər spontan aradan qalxır.
  • Kiçik yırtıqlar uzun müddət böyümədən davam edə bilərlər.
  • Hamiləlik vaxtı ortaya çıxan yırtıqlar doğuşdan sonra kiçilə bilir.
  • Əksər hallarda kiçik olurlar (1,5 sm-dən kiçik) və möhtəviyyatını piylik və ya preperitoneal yağ toxuması təşkil edir.
  • Böyük yırtıqlarda boğulma, o cümlədən bağırsaq boğulması medana gələ bilər.

 

Klinika və diaqnostikası

Kiçik yırtıqlar uzun müddət simptomsuz ola bilirlər. Boğulma əlamətləri olan və boyük yırtıqlar göbəkdə şişkinlik və ağrı əlamətləri ilə ortaya çıxır. Diaqnozu əksər hallarda klinik olaraq təyin edilir.  Differensiasiya üçün KT lazım gəlir.

 yirt img 17  yirt img 18

 

Müalicəsi

  • İki yaşına qədərki uşaqlarda gözləmə tövsiyə olunur.
  • Kiçik (1,5 sm-dən kiçik), böyüməyən və asimptomatik göbək yırtıqları da müşahidə edilə bilər.
  • Simptomatik və ağırlaşma riski yüksək olan yırtıqlar əməliyyat olunmalıdır.
  • Hernirafiya kiçik yırtıqlarda tətbiq olunur: göbəyi çıxarmadan aponevrozdakı defekt təkqat və ya ikiqat (Meyo üsulu) tikişlərlə bərpa olunur.
  • Hernioplastika 3 sm-dən böyük yırtıqlarda göstərişdir. Yamaq aponevrozüstu, aponevrozaltı və ya periton üzərinə qoyula bilər (İPOM –intraperitoneal online mesh). İPOM açıq və ya laparoskopik üsulla edilə bilir.

 

ƏMƏLİYYATDAN SONRAKI YIRTIQLAR

 

Tərifi

Əməliyyatdan sonrakı yarada meydana gələn yırtıqdır

 

Rastgəlməsi

Laparotomiyalardan sonra 10-20% hallarda rast gəlinir.

 

Təsnifatı

  • Yerinə görə - kəsik xəttində, parastomal, təksaylı, çoxsaylı
  • Ölçüsünə görə - kiçik (2 sm-dən kiçik), orta (2-10 sm), böyük (10 sm-dən böyük)
  • Quruluşuna görə - dərialtı, intramural

 

Risk faktorları

Yaranın irinləməsi, erkən postoperativ dövrdə qarındaxili hipertenziya (köp, öksürək, ağır fiziki iş), piylənmə, anadangəlmə birləşdirici toxuma zəifliyi, sinir zədələnməsi, orta kəsik, qidalanma azlığı, siqaret çəkmə və s risk amilləridir.

 

Gediş xüsusiyyətləri

  • Bitişmələr, fistul, iltihab çox rast gəlinir.
  • Düzəlməmə və boğulma ehtimalı yüksəkdir.
  • Əksəriyyəti ilk 5 il ərzində meydana gəlir.
  • Orta və böyük yırtıqlar yamaqsız bərpa olunduqda residiv ehtimalı yüksəkdir (40%), yamaqla bərpadan sonra isə 12-15% civarındadır. Yamaqla bərpadan sonra residivlərin əsas səbəbləri yamağın yerdəyişməsi, sürüşməsi, qabarması, düzgün yerləşdirilməməsi və infeksiyalaşmasıdır.

 

Klinika və diaqnostikası

  • Ölçüsü bir neçə santimetrdən tutmuş qarındaxili mobil orqanların hamısını tutan böyük ölçülərə çata bilər.
  • Diaqnozunu əksər hallarda klinik olaraq təyin etmək mümkün olsa da, tərkibini , ölçüsünü dəqiqləşdirmək və differensiasiya üçün KT lazım gəlir.

Differensial diaqnostikası

  • Törəmələr
  • Qranulomalar
  • Endometrioz

yirt img 19 

 

Müalicəsi

Əməliyyatdan sonrakı orta və böyük yırtıqların standart müalicəsi  yamaqla hernioplastikadır. Yamaq açıq və  laparoskopik yolla qoyula bilər. Kiçik yırtıqlarda (2 sm-dən kiçik) herniorafiya (təkqat və ya ikiqat tikişlər) istifadə edilə bilər.


 

İDMANÇI YIRTIĞI

 

Tərifi

İdmançılarda birtərəfli qasıq ağrısı, klinik və görüntüləmə müayinlərində yırtığın və zədələnmə əlamətlərinin görünməməsi ilə xarakterizə olunan vəziyyət idmançı yırtığı adlandırılır.

 

Səbəbi və mexanizmi

İdmançı yırtığı adətən ağır atletika ilə məşğul olan gənc kişilərdə təsadüf edilir. Xəstəliyin səbəbi multifaktorialdır və adətən xarici çəp əzələ aponevrozunun və ilio-ingivinal sinirin zədələnməsi müşahidə olunur.

 

Klinikası və diaqnostikası

Bu yırtığın xarakterik əlaməti ağrıdır və ağrı adətən qarındaxili təzyiqin kəskin artdığı vəziyyətlərdə meydana gəlir və ya artır. Diaqnostikasında klinik müayinə, müşahidə və MRT əsas rol oynayır. Klinik müayinədə adətən yırtıq əllənmir, lakin qasıq nahiyyəsi ağrılı olur. MRT əzələ zədələnmələri, qasıq sümüyü və sümuküstküyü  zədələnmələrini diferensiasiya etmək üçün edilir. İdmançı yırtığı üçün xarakterik əlamətlər:

  • qasıq nahiyyəsində ağrı və palapator ağrı,
  • kilinik və MRT müayinəsində yırtığın və digər orqanların zədələnmələrinin olmaması,
  • ağrının istirahətdən və qısamüddətli iltihabəlehinə müalicələrdən sonra keçməməsi və ya təkrarlaması.

 

Müalicəsi

İdamnçı yırtığının müalicəsi üçün açıq və ya laparoskopik hernioplastika tövsiyə edilir. Əməliyyat vaxtı aponevrozda kiçik zədələnmələr görünə bilir və əməliyyat 90% hallarda faydalı olur.

 

Özət

Orqanların yerləşdiyi boşluqdan kənara çıxmasının 3 formasına yırtıq, eventrasiya və prolaps aiddir. Yırtıq  orqanların yerləşdiyi boşluğun divarındakı təbii və ya qazanılma dəliklərdən defektdən peritonla birlikdə kənara çıxmasına deyilir. Eventrasiya (evisserasiya) orqanların yaradan periton səhifəsiz kənara çıxmasıdır. Prolaps (sallanma) orqanın bitişik olduğu təbii dəlikdən təkbaşına və ya digər orqanlarla birlikdə kənara çıxmasıdır.

Yırtığın əmələ gəlməsində əsas və köməkçi amillər yer almaqdadır. Əsas səbəbləri toxumalarının möhkəmliyini zəiflədərək qarın divarında əzələ-fassiya defekti törədən anadangəlmə və qazanılmış  amillər təşkil edir, köməkçi səbəblər isə qarındaxili təzyiqi artıraraq yırtığa şərait yaradırlar. Yerinə görə yırtıqların daxili, xarici, qasıq, bud, göbək, bel, əməliyyatdansonrakı növləri, gedişinə görə ağırlaşmamış, düzəlməyən və ağırlaşmış formaları olur. Yırtıqların ağırlaşmaları arasında boğulma ən çox rast gəlinənidir. Yırtıqlar asimptomatik ola bilər, klassik yırtıq əlamətləri ilə və ya ağırlaşmalarla biruzə verə bilir. Diaqnostikasında klinik müayinə əsas yer tutur, görüntüləmə üsulları (USM, KT, MRT) diferensial diaqnostika və diaqnostik çətinlikdə tətbiq edilir. Fiziki aktivlik vaxtı ağrı və şişkinliyin meydana gəlməsi və ya artması, yırtıq qapısının əllə hiss edilməsi, öskürmə vaxtı dəlikdən möhtəviyyatın çıxması, spontan və ya əllə geriyə qayıtması (boğulmuş yırtıqlarda bu əlamətlər adətən olmur), görüntüləmədə defekt və möhtəviyyatın kənara çıxması yırtıqların xarakterik əlamətləridir.

Yırtığın müalicəsi cərrahi yolladır: yırtıq kisəsinin çıxarılması, orqanların boşluğa qaytarılması və  defektin bərpası. Bu məqsədlə üç qrup üsullar mövcuddur: herniotomiya (yırtıq kisəsi ləğv edilir), herniorafiya (herniotomiya edilir və defekt yerli toxumalarla bərpa olunur), hernioplastika – herniotomiyadan sonra defekt yamaqla möhkəmləndirilir (gərginliksiz üsullar da deyilir). Son illər yamaqla bərpa üsullarına üstünlük verilməkdədir.

Qasıq yırtığı qasıq kanalından çıxan yırtıqdır. Çəp, düz, qarışıq və idmançı klinik-morfoloji formaları var. Müalicəsi üçün gərginliksiz (yamaqla bərpa) laparoskopik və ya açıq üsullar ilk seçimdir, gərginlikli üsullar yamağa əks göstəriş olduqda tətbiq edilir (Bassini, Shouldice, McVey və s).

Bud yırtığı bud kanalından çıxan yırtıqdır, köndələn fassiyanın bud kanalının daxili dəliyi səviyyəsindəki defekti ilə əlaqədar meydana gəlir. Klinikası və diaqnostikası qasıq yırtıqlarına çox bənzəyir. Lakin qasıq yırtıqlarından fərqli olaraq qapısı qasıq bağından aşağıda yerləşir, qadınlarda çox rast gəlir, boğulmaya meyllidir. Müalicəsi üçün laparoskopik yamaqla bərpa ilk seçimdir.

Göbək yırtığı göbək həlqəsindən çıxan yırtıqdır. İki yaşına qədər uşaqlarda, kiçik və asimmptomatik hallarda izləmə, digər hallarda isə yamaqla gərginliksiz hernioplastika tövsiyə edilir (açıq və ya laparoskopik).

Əməliyyatdan sonrakı yırtıqlar qarın divarı yaralarında yarada meydana gələn yırtıqdır, çoxkameralı, bitişmələrin və boğulmaların olma ehtimalı yüksəkdir. Standart müalicəsi açıq və ya laparoskopik üsulla yamaqla hernioplastikadır.

İdmançı yırtığı ağır atletika ilə məşğul olan kişilərdə rast gəlinir, xarakterik əlaməti ağrıdır və ağrı adətən qarındaxili təzyiqin kəskin artdığı vəziyyətlərdə meydana gəlir və ya artır. Xarakterik olaraq klinik müayinədə adətən yırtıq əllənmir, lakin qasıq nahiyyəsi ağrılı olur, MRT yırtıq, əzələdə, qasıq sümüyündə, sümüküstlüyündə və digər orqanlarda zədələnmə göstərmir, ağrılar  istirahətdən və ya iltihabəlehinə müalicələrdən sonra keçmir və ya təkrarlayır. İdmançı yırtığının müalicəsi açıq və ya laparoskopik hernioplastikadır.

 

Yırtıqlar üzrə suallar

N.Y.Bayramov, A.K.Səfiyeva, F.F.Əhmədov

Yırtıq üzrə ümumi suallar

Suallar

Cavablar

Yırtıq nədir?

Qarındaxili orqanların yerləşdiyi boşluğun divarındakı defektdən peritonla birlikdə kənara çıxmasıdır.

Rastgəlmə tezliyi?

Təxminən əhalinin 5-10%-ində rast gəlir.

Yırtıqların təxminən 75%-i qasıq  (50%-i çəp, 25%-i düz ), 5%-i bud yırtıqlarının, 20% -i isə digər yırtıqların payına düşür. 

Əmələ gəlməsinə səbəb olan faktorlar?

  • Qarın daxili təzyiqin yüksəlməsi
  • Defekasiya və  sidik ifrazı zamanı gücənmə
  • Öskürmə (XOAX)

Yırtıqlar nəyə görə mütləq təmir olunmalıdır?

Ağırlaşmanın qarşısını almaq üçün (boğulma, nekroz, ağrı, nazik bağırsaq obstruksiyası)

Hansı daha təhlükəlidir -  kiçik yoxsa böyük yırtıq defekti?

Kiçik ölçülü yırtıqlar daha təhlükəlidir, çünki defekt dar olduğu üçün daha çox boğulmağa, dartılmağa meyillidir.

Düzələn yırtıq nədir?

Möhtəviyyatı qarın boşluğuna qayıda bilən yırtıqlar.

Boğulmuş yırtıq nədir?

Yırtıq möhtəviyyatının qapıda pərçimlənməsi və stranqulyasiyasıdır. Nəticədə bağırsaq keçməzliyi və orqanda işemik nekroz baş verir.

Sürüşən yırtıq nədir?

Yırtıq  kisəsinin bir divarını  boşluqlu orqan təşkil edir (sidik kisəsi, kor bağırsaq).

Littre yırtığı  nədir?

Yırtıq möhtəviyyatını Meckel divertikulu təşkil edir.

Spigel yırtığı  nədir?

Yırtıq Spigel xəttindəki defektdən çıxır, lateral yırtıq deyilir.

Daxili yırtıq  nədir?

Yırtıq  intrabdominal ciblərdən və ya qarın-döş boşluğunda olur.

Obturator yırtıq nədir?

Obturator kanaldan çıxan yırtığa deyilir.

Lumbar yırtıq nədir?

Bel nahiyəsindəki Petit və ya Grynfelt dəliklərindən əmələ gəlir.

Petit yırtığı  nədir?

Petit üçbucağından çıxan yırtığa deyilir, eyni zamanda aşağı lumbar üçbucaqdan çıxan yırtıq kimi də tanınır.

Grynfeltt yırtığı nədir?

Grynfeltt-Lesshaft üçbucağından çıxan yırtığa deyilir (yuxarı lumbar üçbucaq).

Pantalon yırtıq  nədir?

Yırtıq kisəsi həm düz, həm də çəp yırtıq kisələrinin birləşməsindən ibarətdir - aşağı epiqastral damarlar yırtıq kisəsini iki yerə ayırır (pantalon – şalvar formasını xatırladır).

Kəsik yırtığı nədir?

Əməliyyatdan sonrakı kəsik yerindən əmələ gələn yırtıqlara deyilir (adətən infeksiyalaşmış yaralardan sonra ortaya çıxır).

Ventral yırtıq nədir?

Qarın divarında olan yırtıqlara deyilir.

Parastomal yırtıqlar  nədir?

Stomiyalar  ətrafında əmələ gələn yırtıqlara deyilir.

Richter yırtığı  nədir?

Bağırsağın bir divarı boğulmaya məruz qalır. Obstruksiya əlamətləri olmadan bağırsaq perforasiyası və  nekrozu verə bilər.

Epiqastrik yırtıq nədir?

Göbəkdən yuxarı ağ xəttdən çıxan yırtıqlara deyilir.

Göbək yırtığı  nədir?

Göbək həlqəsindən çıxan yırtığa deyilir. Assitlərdə, hamiləlikdə, piylənmədə müşahidə olunur.

İntraparietal yırtıq nədir?

Yırtıq kisəsi qarın divarının təbəqələri arasında yerləşən yırtığa deyilir.

Bud yırtığı nədir?

Bud həlqəsindən çıxan və damarlardan içəridə yerləşən yırtığa deyilir.

Hesselbach yırtığı  nədir?

Femoral damarlardan lateralda qasıq bağının altında olan yırtığa  deyilir.

Bochdalek yırtığı nədir?

Diafraqmanın arxa divarından, adətən soldan çıxan yırtığa deyilir.

Morgagni yırtığı  nədir?

Ön parasternal diafraqmatik yırtıq.

Preperitoneal yırtıq nədir?

Peritonla köndələn fassiya arasında olan yırtığa deyilir.

Cooper yırtığı nədir?

Femoral kanaldan çıxan, xayalığa və ya  böyük cinsiyyət dodaqlarına doğru inkişaf  edən yırtıqlar.

Çəp qasıq yırtığı  nədir?

Aşağı epiqastral damarların lateralından çıxan yırtıq.

Düz qasıq yırtığı nədir?

Aşağı epiqastral damarların medialından çıxan yırtıq.

Hiatal yırtıq nədir?

Diafraqmanın ezofageal dəliyindən çıxan yırtığa deyilir.

Amyands yırtığı nədir?

Yırtıq kisəsində perforativ appendiks olur.

Hesselbach üçbucağının tərəfləri hansılardır?

  • Aşağı epiqastral damarlar
  • Qasıq bağı (Lig. Pouparts)
  • Düz əzələ yatağının kənarı

Qarın divarının hansı təbəqələri var?

Dəri, dərialtı təbəqə, Scarp fassiya, xarici çəp əzələ, daxili çəp əzələ, köndələn əzələ, köndələn fassiya, preperitoneal yağ təbəqəsi, periton

Qasıqda kütlənin səbəbləri nə ola bilər?

Qasıq yırtığı, limfoadenopatiya, hematoma, seroma, abses, hidrosele, femoral arteriya anevrizması,  xayalığa enməyən  xayalar, sarkoma, xaya torsionu

Yırtıqların müalicəsində hansı üsullar istifadə olunur?

  • Herniotomiya
  • Herniorafiya
  • Hernioplastika

Herniotomiya nədir?

Yırtıq kisəsi ləğv edilir. Adətən kiçik uşaqlarda tətbiq edilir.

Herniorafiya nədir?

Herniorafiya – herniotomiya edilir və defekt yerli toxumalarla bərpa olunur (məsələn: Bassini üsulu).

Hernioplastika nədir?

Herniotomiyadan sonra yırtıq qapısı yamaqla möhkəmləndirilir (məsələn: Lixtenşteyn üsulu).

Prostat adenoması və yırtığı olan xəstədə ilk olaraq hansı əməliyyat olunmalıdır – TUR yoxsa herniorafiya?

TUR

Hansı ezofageal hiatal yırtıq qastroezofageal reflükslə müştərək gedir?

Sürüşən tip hiatal yırtıq

Təcili yardım şöbəsində “Boğulmaqda olan yırtıq” yerinə necə salına bilər?

  1. Yırtıq üzərinə buz qoyulur;
  2. Sedasiya edilir;
  3. Qasıq yırtığı üçün Trendelenburg    pozisiyası verilir;
  4. Davamlı zəif təzyiqlə basdırılır;
  5. Yerinə salındıqdan sonra bağırsaq        nekrozu əlamətlərini müşahidə        etmək üçün stasionarda saxlanılır;
  6. Xəstə erkən herniorafiyaya hazırlanır.

Qasıq yırtığı plastikası üzrə uşaqlarla böyüklər arasında hansı fərq var?

Yenidoğulmuşlarda və uşaqlarda  

herniotomiya (kisənin liqasiyası) edilir, böyüklərdə isə mütləq herniorafiya və ya hernioplastka lazımdır.

“İpək əlcək” əlaməti nədir?

Yenidoğulmuşlarda yırtıq kisəsi müayinə sırasında ipək əlcəyin barmağını xatırladır.

 

Qasıq yırtığı

Suallar

Cavablar

Düz qasıq yırtığı nədir?

Hesselbach üçbucağından (aşağı epiqastral damarların medialından), daxili qasıq həlqəsini keçmədən qarın divarından çıxan yırtıqlara deyilir.

Rastəlmə tezliyi nə qədərdir?

Təxminən kişilərin 1%-ində rastlanır, yaşla əlaqədar artır.

Düz qasıq yırtığının səbəbi  və ya risk faktorları nələrdir?

Mexaniki faktorların uzunmüddətli təsiri

Çəp qasıq yırtığı nədir?

Qasıq kanalının daxili həlqəsindən çıxaraq (aşağı epiqastral damarların   lateralından), qasıq kanalından keçən və  xarici həlqədən çıxan yırtığa deyilir, xayalığa enə bilir.

Çəp qasıq yırtığının səbəbi  və ya risk faktorları nələrdir?

Əksər hallarda peritonun vaginal çıxıntısının anadangəlmə obliterasiya olunmaması nəticəsində əmələ gəlir.

Rastgəlmə tezliyi nə qədərdir?

  • Kişilərin 5%- ində rast gəlinir.
  • Həm qadınlar, həm də kişilər arasında yayğındır.

Ağırlaşmaları nələrdir?

  • Boğulma 
  • İltihab (aseptik və ya bağırsaq nekrozuna bağlı abses və ya fleqmona) 
  • Bağırsaq keçməzliyi 
  • Xroniki qəbizlik 
  • Digər 

Boğulma riski nə qədərdir?

Çəp qasıq yırtığı düz qasıq yırtığına nisbətən daha çox boğulmağa meyillidir. Bud yırtığının boğulma riski daha yüksəkdir.

Klinik əlamətləri hansılardır?

  • qasıqda fiziki aktivlik vaxtı ağrı və şişkinlik 
  • xarici qasıq dəliyinin genişlənməsi 
  • öksürək təkanı simptomu 
  • şişkinliyin geriyə qayıtması  

Qasıq yırtığının diaqnozu necə qoyulur?

Diaqnoz anamnez və fiziki müayinələr əsasında qoyulur. Şəhadət barmağı xarici həlqədən daxil edilərək yırtıq kisəsi əllənir. Xəstənin diaqnozu tam aydın deyilsə ayaqüstündə  də müayinə etmək gərəkir.

Qasıq yırtığını dəqiqləşdimək  üçün hansı müayinələr lazımdır?

USM və KT

Laborator əlamətləri nələrdir?

Yoxdur

Görüntlüləmə əlamətləri nələrdir?

  • USM-də yırtıq kisəsi və Valsalva testində orqanın kisəyə yerdəyişməsi. 
  • KT və ya MRT-də qarın divarında defekt, yırtıq kisəsi və yırtıq möhtəviyyatının (bağırsaq, piylik  və digər) görünməsi

Diaqnostik kriteriyalarını sadala?

  • Klinik olaraq öksürək simtomu və/və ya geriyə qayıtma simtomu 
  • USM-də yırtıq kisəsi və Valsalva testində orqanın kisəyə yerdəyişməsi. 
  • KT və ya MRT-də qarın divarında defekt, yırtıq kisəsi və yırtıq möhtəviyyatının (bağırsaq, piylik və digər) 
  • Laparoskopiya və ya laparotomiyada qarın boşluğuna açılan kisənin görünməsi. 

Qasıq yırtığını hansı xəstəliklərdən differensiasiya etmək lazımdır?

  • Qasıq limfoadenopatiyası
  • Femoral limfoadenopatiya
  • Abses
  • Ektopik xaya
  • Hidrosele
  • Varikoz
  • Lipoma

Qasıq yırtığının müalicə üsulları hansılardır?

Yırtığın yeganə müalicəsi cərrahi əməliyyatdır.  Boğulma varsa təcili, boğulma əlamətləri yoxdursa  planlı cərrahi əməliyyat.

Əməliyyat üsulları hansılardır?

  • Herniotomiya
  • Herniorafiya
  • Hernioplastika

Bassini üsulu?

Arxa divarı möhkəmləndirilməsi üsuludur,  yuxarı çəp və köndələn əzələlərin aponevrozu və köndələn fassiya qasıq bağına tikilir, düz əzələ yatağında gövşədici kəsik aparılır.

McVay üsulu ?

Kuper bağı qarnın köndələn fassiyasına tikilir.

Shouldice üsulu?

Arxa divar 4 qat möhkəmləndirilir: köndələn fassiya kəsilərək üst-üstə ikiqat tikilir, köndələn-çəp əzələ aponevrozu isə ikiqat tikişlə qasıq bağına tikilir.

Lixtenşteyn üsulu?

Arxa divarı möhkəmləndirmək üçün köndələn fassiya  qalça venasına qədər  qasıq sümüyü periostuna (Cooper bağına), venadan lateralda isə qasıq bağına   tikilir. Bu üsul bud yırtıqlarında da istifadə edilə bilir.

TAPP əməliyyatı nədir?

Laparoskopik təmirin növüdür –

TransAbdominal PrePeritoneal qasıq yırtığı təmiri

TEPP əməliyyatı nədir?

Laparoskopik təmirin növüdür – TotalAbdominalPeritoneal plastika

Yırtıqların  Laparoskopik təmirinə əsas göstərişlər hansıdır?

  • İki tərəfli qasıq yırtığı
  • Residiv yırtıq
  • Fiziki aktivliyin erkən bərpası zamanı

 

Qasıq yırtığı əməliyyatı

Suallar

Cavablar

İlk identifikasiya olunan dərilatı təbəqənin adı nədir?

Scarp fassiyası (arıq adamlarda zəif olur)

Liqasiya olunan dərialtı venanın adı nədir?

Səthi epiqastrik vena

İlioinguinal sinir kəsilərsə nə ola bilər?

Budun iç səthində və xayalığın lateral səthində keyləşmə olur ki, buda 6 ay müddətinə keçir.

Cremaster əzələsi qarının hansı əzələ qatından əmələ gəlir?

Daxili çəp əzələdən

Poupart bağı qarının hansı əzələ qatından əmələ gəlir?

Xarici çəp əzələ aponevrozundan

Poupart bağı nəyə birləşir?

Ön yuxarı qalça tininə və qasıq qabarına

Qasıq kanalında hansı sinir olur?

İlioinguinal sinir

Toxum ciyəsi nədir?

Cremaster əzələ lifləri, ductus deferens, testikulyar arteriya, testikulyar venoz kələf, genito-femoral sinirin genital şaxəsi.

Yırtıq kisəsi nədən əmələ gəlir?

Periton (düz) və ya processus vaginalis-dən (çəp)

Kişilərdə qasıq yırtığı möhtəviyyatı daha çox nə təşkil edir?

Nazik bağırsaq

Qadınlarda qasıq yırtığı möhtəviyyatı daha çox nə təşkil edir?

Yumurtalıq və borular

Qadınlarda qasıq kanalında nə yerləşir?

Girdə bağ

Toxum ciyəsi “lipoması” nədir?

Ciyə üzərində peritonönü piy toxumasıdır (həqiqi lipoma deyil), amortizasiya rolu oynayır, bəzən böyük olur və özünü yırtıq kimi göstərir. Əməliyyat vaxtı adətən çıxarılır.

Əməliyyat vaxtı tikiş bud arteriyası və  ya venasından keçərsə nə etmək lazımdır?

Tikişi bacardıqca tez çıxartmaq və qanaxma varsa tamponada etmək.

Hesselbach üçbucağında hansı tip yırtıq olur?

Düz qasıq yırtığı

Gövşədici kəsik nədir?

Düz əzələ yatağında aparılan kəsikdir, qasıq bağında gərginliyi azaltmaq üçün aparılır.

 

Bud yırtığı

Suallar

Cavablar

Bud yırtığı nədir?

Bud kanalından çıxan yırtıqdır, köndələn fassiyanın bud kanalının daxili dəliyi səviyyəsindəki defekti ilə əlaqədar meydana gəlir,  bud damarlarından medialda yerləşir.

Bud kanalının sərhədləri hansılardır?

Arxadan Kuper bağı, öndən İnguinal bağ, bayırdan bud venası, içəridən lakunar bağ.

Bud yırtığı yırtıqların neçə fazini təşkil edir?

5%

Qadınlarda bud yırtığı qasıq yırtıqlarının neçə faizini təşkil edir?

30%

Bud yırtığının səbəbi  və ya risk faktorları nələrdir?

Qadın cinsi, hamiləlik, gücənmə

Gediş xüsusiyyəti necədir?

  • Nadir hallarda asimptomatik olur.  
  • Boğulmaya və residivə meylli yırtıqdır.  
  • Bud yırtıqlarının 30%-ində boğulma rastlanır və bunların 50%-ində bağırsaq rezeksiyası lazım gəlir.  

Ağırlaşmaları nələrdir?

Boğulma

Ən çox rast gələn fəsadı hansıdır?

Boğulma (xəstələrin 1/3-ində)

Klinik əlamətləri hansılardır?

Qasıqda şişkinlik, ağrı

Hansı xəstələrdə şübhələnmək lazımdır?

Qasıqda kütləsi olanlarda

Dəqiqləşdimək  üçün hansı müayinələr lazımdır?

USM və KT

Laborator əlamətləri nələrdir?

Yoxdur

Görüntlüləmə əlamətləri nələrdir?

Yırtıq kisəinin görünməsi

Müalicə üsulları hansılardır?

Cərrahi müalicə

Əməliyyat üsulları hansılardır?

  • Yamaqsız - McVay (Kuper bağı təmiri) üsulu
  • Yamaqla plastika

Xəstəliyin ən xarakterik özəlliyini bir cümlə ilə necə ifadə edərsiniz?

Ən çox boğulma rastlanan yırtıqdır

 

Göbək yırtığı 

Suallar

Cavablar

Göbək yırtığı  nədir?

Göbək həlqəsindən çıxan yırtıqdır.

Göbək yırtığının səbəbi  və ya risk faktorları nələrdir?

Əsasən anadagəlmə olur, hamiləlik vaxtı  və ya sirrozda genişlənərək bariz hala gəlir.

Gediş xüsusiyyəti necədir?

  • Uşaqlarda əksər hallarda 2-3 yaşına qədər spontan aradan qalxır. 
  • Kiçik yırtıqlar uzun müddət böyümədən davam edə bilərlər. 
  • Hamiləlik vaxtı ortaya çıxan yırtıqlar doğuşdan sonra kiçilə bilir. 
  • Əksər hallarda kiçik olurlar (1,5 sm-dən kiçik) və möhtəviyyatını piylik və ya preperitoneal yağ toxuması təşkil edir.   
  • Böyük yırtıqlarda boğulma, o cümlədən bağırsaq boğulması meydana gələ bilər.  

Klinik əlamətləri hansılardır?

  • Kiçik yırtıqlar uzun müddət simptomsuz ola bilirlər. 
  • Boğulma əlamətləri olan və böyük yırtıqlar göbəkdə şişkinlik və ağrı əlamətləri ilə ortaya çıxır.  

Hansı xəstələrdə şübhələnmək lazımdır?

Göbəkdə ağrı və şişkinlik olanlarda

Dəqiqləşdimək  üçün hansı müayinələr lazımdır?

  • Diaqnozu əksər hallarda klinik olaraq təyin edilir.  
  • Differensiasiya üçün USM, KT lazım gəlir. 

Müalicə üsulları hansılardır?

  • Müşahidə (İki yaşına qədərki uşaqlarda, kiçik (1,5 sm-dən kiçik), böyüməyən və asimptomatik yırtıqlarda)
  • Cərrahi müalicə  

Əməliyyata göstərişlər nələrdir?

Simptomatik və  ağırlaşma riski yüksək olan yırtıqlar

Əməliyyat üsulları hansılardır?

  • Herniorafiya – kiçik yırtıqlarda tətbiq olunur: göbəyi çıxarmadan aponevrozdakı defekt təkqat və ya ikiqat (Meyo üsulu) tikişlərlə bərpa olunur. 
  • Hernioplastika –  3 sm-dən böyük yırtıqlarda göstərişdir. 

 

Əməliyyatdan sonrakı yırtıqlar 

Suallar

Cavablar

Əməliyyatdan sonrakı yırtıqlar nədir?

Əməliyyatdan sonrakı yarada meydana gələn yırtıqdır.

Rastgəlmə tezliyi nə qədərdir?

Laparotomiyalardan sonra 10-20% hallarda rast gəlinir. 

Səbəbi  və ya risk faktorları nələrdir?

  • Yaranın irinləməsi
  • Erkən postoperativ dövrdə qarındaxili hipertenziya (köp, öksürək, ağır fiziki iş) piylənmə
  • Anadangəlmə birləşdirici toxuma zəifliyi
  • Sinir zədələnməsi
  • Orta kəsik
  • Qidalanma azlığı
  • Siqaret çəkmə və s.

Əməliyyatdan sonrakı yırtıqlar gediş xüsusiyyəti necədir?

  • Bitişmələr, fistul, iltihab çox rast gəlinir. 
  • Düzəlməmə  və boğulma ehtimalı yüksəkdir. 
  • Əksəriyyəti ilk 5 il ərzində meydana gəlir. 

Ağırlaşmaları nələrdir?

  • Boğulma 
  • İltihab
  • Bağırsaq keçməzliyi 
  • Xroniki qəbizlik 

Klinik əlamətləri hansılardır?

Əməliyyatdan sonrakı çapıqda ağrı, şişkinlik

Dəqiqləşdimək  üçün hansı müayinələr lazımdır?

  • Diaqnozu əksər hallarda klinik olaraq təyin edilir.
  • Tərkibini , ölçüsünü dəqiqləşdirmək və differensiasiya etmək üçün KT lazım gəlir.  

Müalicə üsulları hansılardır?

Standart müalicəsi  hernioplastikadır.

Əməliyyat üsulları hansılardır?

Açıq vəya laparoskopik

 

Hiatal yirtiqlar

Suallar

Cavablar

Hansı növləri var?

Paraezofageal

Sürüşkən

 

Paraezofageal hiatal yirtiq

Suallar

Cavablar

Paraezofageal yırtıq nədir?

Mədənin tam və ya hissəvi olaraq ezofageal hiatusdan döş qəfəsinə  keçməsidir, qastroezofageal birləşmə yerini dəyişmir.

Paraezofageal yırtığın rastgəlmə tezliyi nə qədərdir?

Bütün hiatal yırtıqların 5%-ni təşkil edir.

Hansı əlamətləri var?

Kəskin və ya xroniki mexaniki keçməzlik,  disfagiya, strangulyasiya, bəzən asimptomatik.

Hansı ağırlaşmaları var?

Qanaxma, boğulma, strangulyasiya, obstruksiya

Müalicəsi nədir?

 Cərrahi, çünki ağırlaşmaları ağır dərəcəli olur.

 

Sürüşən tip hiatal yırtıqlar

Suallar

Cavablar

Nədir?

Mədə və qastroezofageal birləşmənin ezofageal hiatusdan döş boşluğuna yırtığıdır.

Rast gəlmə tezliyi nə qədərdir?

Bütün hiatal yırtıqların 90% ni təşkil edir.

Simptomları hansılardır?

Əksər hallarda asimptomatik  gedir. Lakin xəstələrdə reflüks, disfagiya, ağciyər problemləri ola bilər.

Diaqnoz necə qoyulur?

Rentgenoskopiya, manometriya, endoskopiya.

Ağırlaşmaları hansılardır?

  • Reflüks
  • Ezofagit
  • Barret ezofaqusu
  • Xərçəng
  • Striktur
  • Xora
  • Qanaxma
  • Aspirasion pnevmoniya

Müalicəsi nədir?

  • 85% hallarda konservativ müalicə:
    • antasidlər
    • HKB və ya H2 blokator
    • yeməkdən sonra başın yuxarı qaldırılması
    • kiçik porslarla yemək
    • yatmazdan öncə yemək yeməmək.
  • Konservativ müalicəyə cavab verməyən hallarda cərrahi müalicə tövsiyə olunur.

Cərrahi müalicəsi nədir?

Laparoskopik fundoplikasiya – Toupet və ya Nissen